购物车
  • TargetMol
    您的购物车当前为空

Anti-PSMA1 Antibody (8C777)

Synonyms: PSMA 1, PSC2, PSC 2, PSA1_HUMAN, Protein P30 33K, Proteasome subunit nu, Proteasome subunit alpha type-1, Proteasome subunit alpha type I, Proteasome subunit alpha type 1, Proteasome nu chain, Proteasome component C2, Proteasome alpha 1 subunit, Proteasome (prosome macropain) subunit alpha type 1, PROS-30, PROS30, PROS 30, NU, Multicatalytic endopeptidase complex subunit C2, MGC23915, MGC22853, MGC21459, MGC1667, MGC14751, MGC14575, MGC14542, Macropain subunit nu, Macropain subunit C2, HC2, HC 2, 30 kDa prosomal protein
货号 TMAC-03453 一键复制产品信息
Rating icon 还可以

Anti-PSMA1 Antibody (8C777) 是一种 Rabbit 抗体,靶向 PSMA1。Anti-PSMA1 Antibody (8C777) 可用于 FCM,ICC/IF,IHC,IP,WB。

Anti-PSMA1 Antibody (8C777)

一键复制产品信息
Rating icon 还可以
货号 TMAC-03453

别名 PSMA 1, PSC2, PSC 2, PSA1_HUMAN, Protein P30 33K, Proteasome subunit nu, Proteasome subunit alpha type-1, Proteasome subunit alpha type I, Proteasome subunit alpha type 1, Proteasome nu chain, Proteasome component C2, Proteasome alpha 1 subunit, Proteasome (prosome macropain) subunit alpha type 1, PROS-30, PROS30, PROS 30, NU, Multicatalytic endopeptidase complex subunit C2, MGC23915, MGC22853, MGC21459, MGC1667, MGC14751, MGC14575, MGC14542, Macropain subunit nu, Macropain subunit C2, HC2, HC 2, 30 kDa prosomal protein

Anti-PSMA1 Antibody (8C777) 是一种 Rabbit 抗体,靶向 PSMA1。Anti-PSMA1 Antibody (8C777) 可用于 FCM,ICC/IF,IHC,IP,WB。

Anti-PSMA1 Antibody (8C777)
规格价格库存数量
50 μL
¥ 1,495
5日内发货
100 μL
¥ 2,495
5日内发货
库存状态实时更新,以官网显示为准,现货产品可直接加购物车下单
大包装 & 定制
加入购物车
TargetMol的所有产品仅用作科学研究或药证申报,不能被用于人体,我们不向个人提供产品和服务。请您遵守承诺用途,不得违反法律法规规定用于任何其他用途。
实验操作小课堂
常见问题解答
查看更多

资源下载:产品操作手册

产品介绍


生物活性
产品描述
Anti-PSMA1 Antibody (8C777) is a Rabbit antibody targeting PSMA1. Anti-PSMA1 Antibody (8C777) can be used in FCM,ICC/IF,IHC,IP,WB.
别名PSMA 1, PSC2, PSC 2, PSA1_HUMAN, Protein P30 33K, Proteasome subunit nu, Proteasome subunit alpha type-1, Proteasome subunit alpha type I, Proteasome subunit alpha type 1, Proteasome nu chain, Proteasome component C2, Proteasome alpha 1 subunit, Proteasome (prosome macropain) subunit alpha type 1, PROS-30, PROS30, PROS 30, NU, Multicatalytic endopeptidase complex subunit C2, MGC23915, MGC22853, MGC21459, MGC1667, MGC14751, MGC14575, MGC14542, Macropain subunit nu, Macropain subunit C2, HC2, HC 2, 30 kDa prosomal protein
Ig Type
IgG
克隆号
8C777
反应种属
Human,Mouse,Rat
验证活性
1. Western blot analysis of PSMA1 on different cell lysates using anti-PSMA1 antibody at 1/500 dilution. Positive control: Lane 1: Jurkat, Lane 2: Hela, Lane 3: HepG2, Lane 4: 293.
2. Western blot analysis of PSMA1 on different lysates using anti-PSMA1 antibody at 1/500 dilution. Positive control: Lane 1: PC-12, Lane 2: Mouse spleen tissue, Lane 3: Rat spleen tissue.
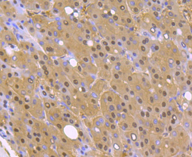
3. Immunohistochemical analysis of paraffin-embedded human liver cancer tissue using anti-PSMA1 antibody. Counter stained with hematoxylin.
4. Immunohistochemical analysis of paraffin-embedded rat testis tissue using anti-PSMA1 antibody. Counter stained with hematoxylin.
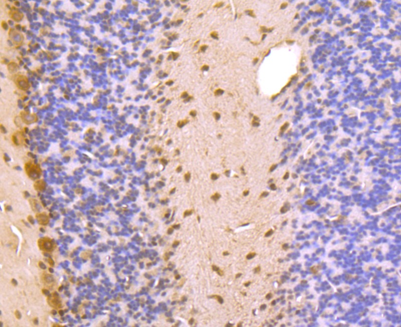
5. Immunohistochemical analysis of paraffin-embedded mouse cerebellum tissue using anti-PSMA1 antibody. Counter stained with hematoxylin.
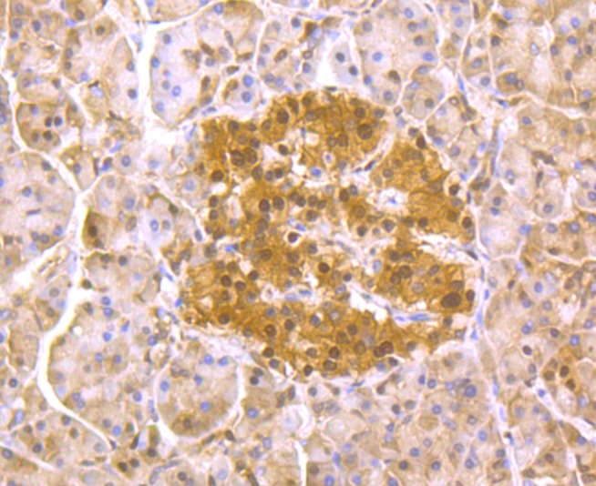
6. Immunohistochemical analysis of paraffin-embedded human pancreas tissue using anti-PSMA1 antibody. Counter stained with hematoxylin.
7. ICC staining PSMA1 in HepG2 cells (green). The nuclear counter stain is DAPI (blue). Cells were fixed in paraformaldehyde, permeabilised with 0.25% Triton X100/PBS.
8. ICC staining PSMA1 in MCF-7 cells (green). The nuclear counter stain is DAPI (blue). Cells were fixed in paraformaldehyde, permeabilised with 0.25% Triton X100/PBS.
9. ICC staining PSMA1 in PC-3M cells (green). The nuclear counter stain is DAPI (blue). Cells were fixed in paraformaldehyde, permeabilised with 0.25% Triton X100/PBS.
verifiedActivityverifiedActivityverifiedActivityverifiedActivityverifiedActivityverifiedActivityverifiedActivityverifiedActivityverifiedActivity
应用FCMICC/IFIHCIPWB
推荐剂量
WB: 1:500-2000; IHC: 1:50-200; ICC/IF: 1:200-1000; FCM: 1:50-100
抗体种类
Monoclonal
宿主来源Rabbit
构建方式Recombinant Antibody
纯化方式ProA affinity purified
性状Liquid
缓冲液1*TBS (pH7.4), 1%BSA, 40%Glycerol. Preservative: 0.05% Sodium Azide.
研究背景The proteasome is a multicatalytic proteinase complex which is characterized by its ability to cleave peptides with Arg, Phe, Tyr, Leu, and Glu adjacent to the leaving group at neutral or slightly basic pH. The proteasome has an ATP-dependent proteolytic activity. Mediates the lipopolysaccharide-induced signal transduction in the macrophage proteasome. Might be involved in the inflammatory response of macrophages during the interaction with C.albicans heat-inactivated cells.
偶联与修饰
偶联
Unconjugated
抗原信息
免疫原
Recombinant Protein
Uniprot ID
化学信息
分子量Theoretical: 30 kDa.
储存&溶解度
储存方式Store at -20°C or -80°C for 12 months. Avoid repeated freeze-thaw cycles.
运输方式Shipping with blue ice.

计算器

  • 稀释 计算器
  • 配液 计算器
Related Tags: buy Anti-PSMA1 Antibody (8C777) | purchase Anti-PSMA1 Antibody (8C777) | Anti-PSMA1 Antibody (8C777) cost | order Anti-PSMA1 Antibody (8C777) | Anti-PSMA1 Antibody (8C777) molecular weight