购物车
  • 全部删除
  • TargetMol
    您的购物车当前为空

Anti-PSENEN Antibody (3P624)

Rating icon 还可以
产品编号 TMAC-03154
别名 PSENEN, Presenilin enhancer protein 2, PEN2, Gamma-secretase subunit PEN-2

Anti-PSENEN Antibody (3P624) 是一种 Rabbit 抗体,靶向 PSENEN。Anti-PSENEN Antibody (3P624) 可用于 FCM,ICC,IHC,WB。

Anti-PSENEN Antibody (3P624)

Anti-PSENEN Antibody (3P624)

一键复制产品信息
Rating icon 还可以
产品编号 TMAC-03154 别名 PSENEN, Presenilin enhancer protein 2, PEN2, Gamma-secretase subunit PEN-2

Anti-PSENEN Antibody (3P624) 是一种 Rabbit 抗体,靶向 PSENEN。Anti-PSENEN Antibody (3P624) 可用于 FCM,ICC,IHC,WB。

规格价格库存数量
50 μL
¥ 1,480
5日内发货
100 μL
¥ 2,485
5日内发货
大包装 & 定制
加入购物车
TargetMol 的所有产品仅用作科学研究或药证申报,不能被用于人体,我们不向个人提供产品和服务。请您遵守承诺用途,不得违反法律法规规定用于任何其他用途。
实验操作小课堂
常见问题解答
查看更多
联系我们获取更多批次信息
资源下载

产品介绍

生物活性
产品描述
Anti-PSENEN Antibody (3P624) is a Rabbit antibody targeting PSENEN. Anti-PSENEN Antibody (3P624) can be used in FCM,ICC,IHC,WB.
别名PSENEN, Presenilin enhancer protein 2, PEN2, Gamma-secretase subunit PEN-2
Ig Type
IgG
克隆号
3P624
交叉反应
Human,Mouse,Rat
验证活性
1. Western blot analysis of PEN2 on mouse spleen tissue lysate using anti-PEN2 antibody at 1/2,000 dilution.
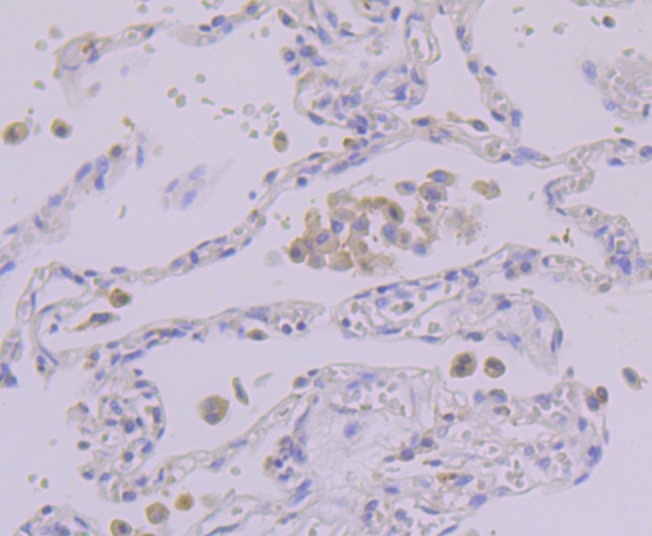
2. Immunohistochemical analysis of paraffin-embedded human lung cancer tissue using anti-PEN2 antibody. Counter stained with hematoxylin.
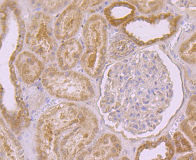
3. Immunohistochemical analysis of paraffin-embedded human kidney tissue using anti-PEN2 antibody. Counter stained with hematoxylin.
4. Immunohistochemical analysis of paraffin-embedded rat cerebellum tissue using anti-PEN2 antibody. Counter stained with hematoxylin.
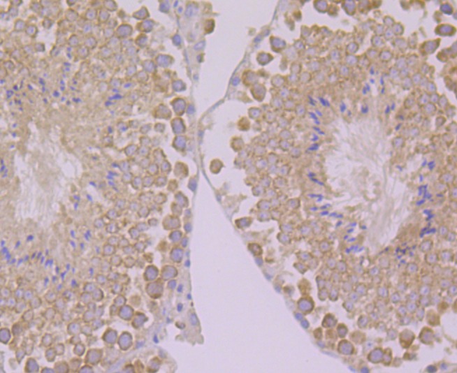
5. Immunohistochemical analysis of paraffin-embedded mouse testis tissue using anti-PEN2 antibody. Counter stained with hematoxylin.
6. Immunohistochemical analysis of paraffin-embedded human tonsil tissue using anti-PEN2 antibody. Counter stained with hematoxylin.
7. ICC staining PEN2 in A549 cells (green). The nuclear counter stain is DAPI (blue). Cells were fixed in paraformaldehyde, permeabilised with 0.25% Triton X100/PBS.
8. ICC staining PEN2 in SH-SY-5Y cells (green). The nuclear counter stain is DAPI (blue). Cells were fixed in paraformaldehyde, permeabilised with 0.25% Triton X100/PBS.
9. Flow cytometric analysis of A549 cells with PEN2 antibody at 1/100 dilution (purple) compared with an unlabelled control (cells without incubation with primary antibody; yellow). Alexa Fluor 488-conjugated goat anti-rabbit IgG was used as the secondary antibody.
verifiedActivityverifiedActivityverifiedActivityverifiedActivityverifiedActivityverifiedActivityverifiedActivityverifiedActivityverifiedActivity
应用FCMICCIHCWB
推荐剂量
WB: 1:500-2000; IHC: 1:50-200; ICC: 1:50-200; FCM: 1:50-100
抗体种类
Monoclonal
宿主来源Rabbit
构建方式Recombinant Antibody
纯化方式ProA affinity purified
性状Liquid
缓冲液1*TBS (pH7.4), 1%BSA, 40%Glycerol. Preservative: 0.05% Sodium Azide.
研究背景Four proteins comprise the gamma-secretase complex: presenilin, nicastrin, aph-1, and PEN-2. Together, these proteins mediate cell surface signaling pathways for a variety of type I membrane proteins, notably amyloid-beta precursor protein, a protein implicated in the development of Alzheimer's disease, via intramembrane proteolysis. The proteins assemble into a proteolytically active complex in the golgi/trans-golgi network (TGN) compartments. Assembly leads to autocleavage of presenilin into two subunits to create the active site of gamma-secretase, an important step in understanding the mechanisms involved in the etiology and possible treatment of Alzheimer's disease.
偶联与修饰
偶联
Unconjugated
抗原信息
免疫原
A synthesized peptide: C-terminal human PEN2
抗原种属
human
Uniprot ID
化学信息
分子量Theoretical: 12 kDa.
存储&运输
储存方式Store at -20°C or -80°C for 12 months. Avoid repeated freeze-thaw cycles.
运输方式Shipping with blue ice.

计算器

  • 稀释 计算器

关键词

评论列表

4个月前
5.0
Rating icon 很棒

评论内容

Related Tags: buy Anti-PSENEN Antibody (3P624) | purchase Anti-PSENEN Antibody (3P624) | Anti-PSENEN Antibody (3P624) cost | order Anti-PSENEN Antibody (3P624) | Anti-PSENEN Antibody (3P624) molecular weight