购物车
  • TargetMol
    您的购物车当前为空

Anti-Proteasome 20S C2 Antibody (1C993)

Synonyms: psmA1, PSMA 1, PSC2, PSC 2, PSA1_HUMAN, Protein P30 33K, Proteasome subunit nu, Proteasome subunit alpha type-1, Proteasome subunit alpha type I, Proteasome subunit alpha type 1, Proteasome nu chain, Proteasome component C2, Proteasome alpha 1 subunit, Proteasome (prosome macropain) subunit alpha type 1, PROS-30, PROS30, PROS 30, NU, Multicatalytic endopeptidase complex subunit C2, MGC23915, MGC22853, MGC21459, MGC1667, MGC14751, MGC14575, MGC14542, Macropain subunit nu, Macropain subunit C2, HC2, HC 2, 30 kDa prosomal protein
货号 TMAC-03439 一键复制产品信息
Rating icon 还可以
202603开学季活动

Anti-Proteasome 20S C2 Antibody (1C993) 是一种 Rabbit 抗体,靶向 Proteasome 20S C2。Anti-Proteasome 20S C2 Antibody (1C993) 可用于 FCM,IHC,IP,WB。

Anti-Proteasome 20S C2 Antibody (1C993)

一键复制产品信息
Rating icon 还可以
202603开学季活动
货号 TMAC-03439

别名 psmA1, PSMA 1, PSC2, PSC 2, PSA1_HUMAN, Protein P30 33K, Proteasome subunit nu, Proteasome subunit alpha type-1, Proteasome subunit alpha type I, Proteasome subunit alpha type 1, Proteasome nu chain, Proteasome component C2, Proteasome alpha 1 subunit, Proteasome (prosome macropain) subunit alpha type 1, PROS-30, PROS30, PROS 30, NU, Multicatalytic endopeptidase complex subunit C2, MGC23915, MGC22853, MGC21459, MGC1667, MGC14751, MGC14575, MGC14542, Macropain subunit nu, Macropain subunit C2, HC2, HC 2, 30 kDa prosomal protein

Anti-Proteasome 20S C2 Antibody (1C993) 是一种 Rabbit 抗体,靶向 Proteasome 20S C2。Anti-Proteasome 20S C2 Antibody (1C993) 可用于 FCM,IHC,IP,WB。

Anti-Proteasome 20S C2 Antibody (1C993)
规格价格库存数量
50 μL
¥ 1,485
5日内发货
100 μL
¥ 2,495
5日内发货
库存状态实时更新,以官网显示为准,现货产品可直接加购物车下单
大包装 & 定制
加入购物车

TargetMol的所有产品仅用作科学研究或药证申报,不能被用于人体,我们不向个人提供产品和服务。请您遵守承诺用途,不得违反法律法规规定用于任何其他用途。

实验操作小课堂
常见问题解答
查看更多

资源下载:产品操作手册

产品介绍


生物活性
产品描述
Anti-Proteasome 20S C2 Antibody (1C993) is a Rabbit antibody targeting Proteasome 20S C2. Anti-Proteasome 20S C2 Antibody (1C993) can be used in FCM,IHC,IP,WB.
别名
psmA1, PSMA 1, PSC2, PSC 2, PSA1_HUMAN, Protein P30 33K, Proteasome subunit nu, Proteasome subunit alpha type-1, Proteasome subunit alpha type I, Proteasome subunit alpha type 1, Proteasome nu chain, Proteasome component C2, Proteasome alpha 1 subunit, Proteasome (prosome macropain) subunit alpha type 1, PROS-30, PROS30, PROS 30, NU, Multicatalytic endopeptidase complex subunit C2, MGC23915, MGC22853, MGC21459, MGC1667, MGC14751, MGC14575, MGC14542, Macropain subunit nu, Macropain subunit C2, HC2, HC 2, 30 kDa prosomal protein
Ig Type
IgG
克隆号
1C993
反应种属
Human,Mouse,Rat
验证活性
1. Western blot analysis of Proteasome 20S C2 on different lysates using anti-Proteasome 20S C2 antibody at 1/500 dilution. Positive control: Lane 1: PC-3M, Lane 2: K562, Lane 3: Rat testis, Lane 4: Mouse testis, Lane 5: Mouse colon.
2. Immunohistochemical analysis of paraffin-embedded human pancreas tissue using anti-Proteasome 20S C2 antibody. Counter stained with hematoxylin.
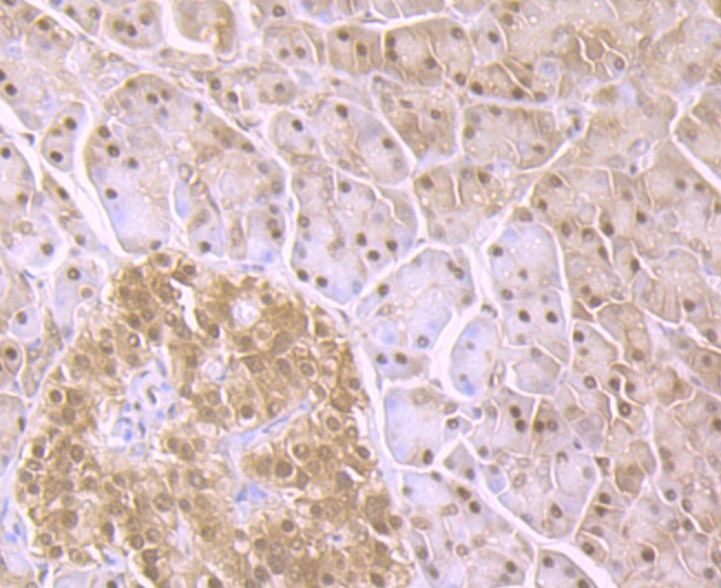
3. Immunohistochemical analysis of paraffin-embedded rat testis tissue using anti-Proteasome 20S C2 antibody. Counter stained with hematoxylin.
4. Immunohistochemical analysis of paraffin-embedded mouse cerebellum tissue using anti-Proteasome 20S C2 antibody. Counter stained with hematoxylin.
5. Immunohistochemical analysis of paraffin-embedded human liver cancer tissue using anti-Proteasome 20S C2 antibody. Counter stained with hematoxylin.
6. Flow cytometric analysis of K562 cells with Proteasome 20S C2 antibody at 1/100 dilution (red) compared with an unlabelled control (cells without incubation with primary antibody; black). Alexa Fluor 488-conjugated goat anti rabbit IgG was used as the secondary antibody.
verifiedActivityverifiedActivityverifiedActivityverifiedActivityverifiedActivityverifiedActivity
应用FCMIHCIPWB
推荐剂量
WB: 1:500-2000; IHC: 1:50-200; ICC: 1:50-200; FCM: 1:50-100
抗体种类
Monoclonal
宿主来源Rabbit
构建方式Recombinant Antibody
纯化方式ProA affinity purified
性状Liquid
缓冲液1*TBS (pH7.4), 1%BSA, 40%Glycerol. Preservative: 0.05% Sodium Azide.
研究背景Component of the 20S core proteasome complex involved in the proteolytic degradation of most intracellular proteins. This complex plays numerous essential roles within the cell by associating with different regulatory particles. Associated with two 19S regulatory particles, forms the 26S proteasome and thus participates in the ATP-dependent degradation of ubiquitinated proteins. The 26S proteasome plays a key role in the maintenance of protein homeostasis by removing misfolded or damaged proteins that could impair cellular functions, and by removing proteins whose functions are no longer required. Associated with the PA200 or PA28, the 20S proteasome mediates ubiquitin-independent protein degradation. This type of proteolysis is required in several pathways including spermatogenesis (20S-PA200 complex) or generation of a subset of MHC class I-presented antigenic peptides (20S-PA28 complex).
偶联与修饰
偶联
Unconjugated
抗原信息
免疫原
Recombinant Protein
Uniprot ID
化学信息
分子量Theoretical: 30 kDa.
储存&溶解度
储存方式Store at -20°C or -80°C for 12 months. Avoid repeated freeze-thaw cycles.
运输方式Shipping with blue ice.

计算器

  • 稀释 计算器
  • 配液 计算器
Related Tags: buy Anti-Proteasome 20S C2 Antibody (1C993) | purchase Anti-Proteasome 20S C2 Antibody (1C993) | Anti-Proteasome 20S C2 Antibody (1C993) cost | order Anti-Proteasome 20S C2 Antibody (1C993) | Anti-Proteasome 20S C2 Antibody (1C993) molecular weight