购物车
  • 全部删除
  • TargetMol
    您的购物车当前为空

Anti-Prohibitin Antibody (1C561)

Rating icon 还可以
产品编号 TMAC-03437
别名 Prohibitin 1, Phb1, Phb, B-cell receptor-associated protein 32 (BAP 32)

Anti-Prohibitin Antibody (1C561) 是一种 Rabbit 抗体,靶向 Prohibitin。Anti-Prohibitin Antibody (1C561) 可用于 FCM,ICC,IHC,IP,WB。

Anti-Prohibitin Antibody (1C561)

Anti-Prohibitin Antibody (1C561)

一键复制产品信息
Rating icon 还可以
产品编号 TMAC-03437 别名 Prohibitin 1, Phb1, Phb, B-cell receptor-associated protein 32 (BAP 32)

Anti-Prohibitin Antibody (1C561) 是一种 Rabbit 抗体,靶向 Prohibitin。Anti-Prohibitin Antibody (1C561) 可用于 FCM,ICC,IHC,IP,WB。

规格价格库存数量
50 μL
¥ 1,480
5日内发货
100 μL
¥ 2,480
5日内发货
大包装 & 定制
加入购物车
TargetMol 的所有产品仅用作科学研究或药证申报,不能被用于人体,我们不向个人提供产品和服务。请您遵守承诺用途,不得违反法律法规规定用于任何其他用途。
实验操作小课堂
常见问题解答
查看更多
联系我们获取更多批次信息
资源下载

产品介绍

生物活性
产品描述
Anti-Prohibitin Antibody (1C561) is a Rabbit antibody targeting Prohibitin. Anti-Prohibitin Antibody (1C561) can be used in FCM,ICC,IHC,IP,WB.
别名Prohibitin 1, Phb1, Phb, B-cell receptor-associated protein 32 (BAP 32)
Ig Type
IgG
克隆号
1C561
交叉反应
Human,Mouse,Rat,zebrafish
验证活性
1. Western blot analysis of Prohibitin on different lysates using anti-Prohibitin antibody at 1/1,000 dilution. Positive control: Lane 1: 293, Lane 2: Jurkat, Lane 3: Mouse kidney, Lane 4: HepG2.
2. Western blot analysis of Prohibitin on hybrid fish (crucian-carp) liver tissue lysate using anti-Prohibitin antibody at 1/500 dilution.
3. Immunohistochemical analysis of paraffin-embedded human liver cancer tissue using anti-Prohibitin antibody. Counter stained with hematoxylin.
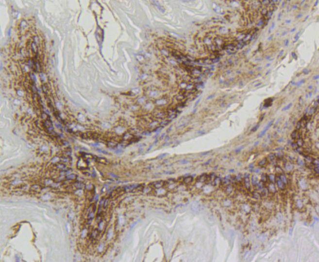
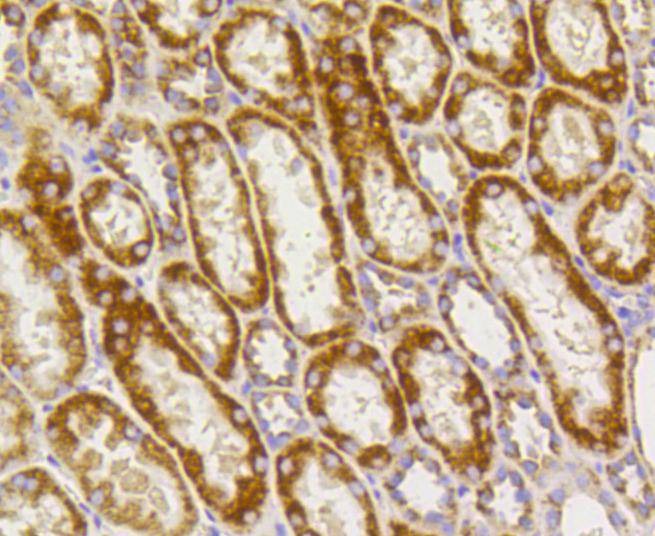
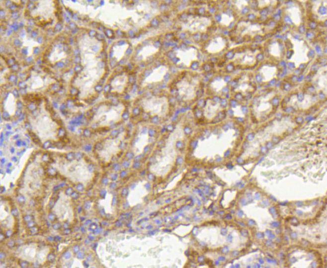
4. Immunohistochemical analysis of paraffin-embedded human kidney tissue using anti-Prohibitin antibody. Counter stained with hematoxylin.
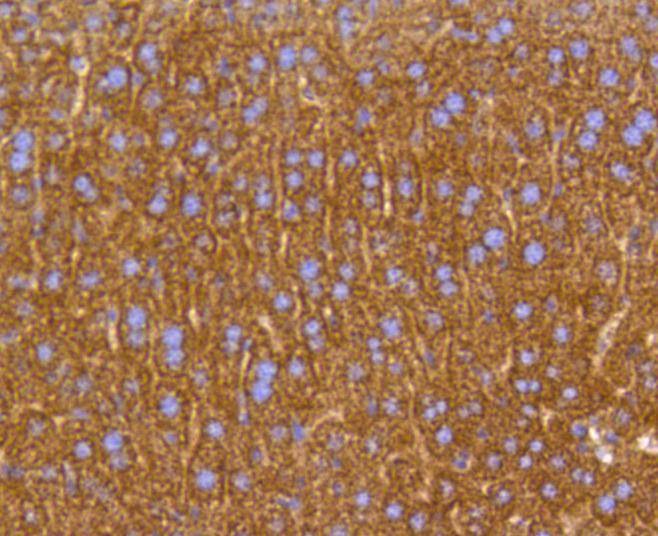
5. Immunohistochemical analysis of paraffin-embedded mouse liver tissue using anti-Prohibitin antibody. Counter stained with hematoxylin.
6. Immunohistochemical analysis of paraffin-embedded mouse kidney tissue using anti-Prohibitin antibody. Counter stained with hematoxylin.
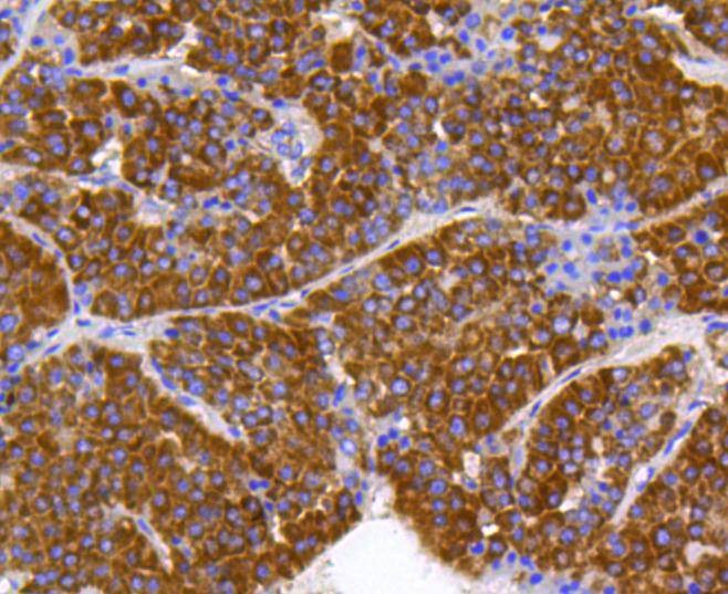
7. Immunohistochemical analysis of paraffin-embedded mouse stomach tissue using anti-Prohibitin antibody. Counter stained with hematoxylin.
8. Immunohistochemical analysis of paraffin-embedded mouse heart tissue using anti-Prohibitin antibody. Counter stained with hematoxylin.
9. ICC staining Prohibitin in NIH/3T3 cells (green). The nuclear counter stain is DAPI (blue). Cells were fixed in paraformaldehyde, permeabilised with 0.25% Triton X100/PBS.
10. ICC staining Prohibitin in HepG2 cells (green). The nuclear counter stain is DAPI (blue). Cells were fixed in paraformaldehyde, permeabilised with 0.25% Triton X100/PBS.
11. Flow cytometric analysis of HepG2 cells with Prohibitin antibody at 1/50 dilution (blue) compared with an unlabelled control (cells without incubation with primary antibody; red). Alexa Fluor 488-conjugated goat anti rabbit IgG was used as the seco antibody.
verifiedActivityverifiedActivityverifiedActivityverifiedActivityverifiedActivityverifiedActivityverifiedActivityverifiedActivityverifiedActivityverifiedActivityverifiedActivity
应用FCMICCIHCIPWB
推荐剂量
WB: 1:1000-2000; IHC: 1:200-500; ICC: 1:50-200; FCM: 1:50-100
抗体种类
Monoclonal
宿主来源Rabbit
构建方式Recombinant Antibody
纯化方式ProA affinity purified
性状Liquid
缓冲液1*TBS (pH7.4), 1%BSA, 40%Glycerol. Preservative: 0.05% Sodium Azide.
研究背景Prohibitin is an evolutionarily conserved protein that has antiproliferative activity. The gene encoding human prohibitin maps to chromosome 17q21 and is ubiquitously expressed. Prohibitin is a post-synthetically modified protein that is localized in the inner membrane of mitochondria, where it regulates the cell cycle by blocking the transition between the G1 and S phases, and on the plasma membrane of B cells, where it mediates B cell maturation. Prohibitin mRNA and protein levels are high in G1, decline during the S phase, rise again in G2 and decline in M phase, which suggests that prohibitin controls the cell cycle by using both transcriptional and posttranslational mechanisms. Prohibitin is also a potential tumor suppressor protein that binds to retinoblastoma (Rb) and subsequently inhibits the activity of E2F family members in response to specific signaling cascades. Prohibitin 2 is a repressor of estrogen receptor activity, and is required for somatic and germline differentiation in the larval gonad during embryonic development. Mutations in the Prohibitin genes are correlated with breast cancer development and/or progressionin more than 80% of the cell lines analyzed.
偶联与修饰
偶联
Unconjugated
抗原信息
免疫原
Recombinant Protein
Uniprot ID
化学信息
分子量Theoretical: 30 kDa.
存储&运输
储存方式Store at -20°C or -80°C for 12 months. Avoid repeated freeze-thaw cycles.
运输方式Shipping with blue ice.

计算器

  • 稀释 计算器

关键词

评论列表

4个月前
5.0
Rating icon 很棒

评论内容

Related Tags: buy Anti-Prohibitin Antibody (1C561) | purchase Anti-Prohibitin Antibody (1C561) | Anti-Prohibitin Antibody (1C561) cost | order Anti-Prohibitin Antibody (1C561) | Anti-Prohibitin Antibody (1C561) molecular weight