购物车
  • 全部删除
  • TargetMol
    您的购物车当前为空

Anti-Progesterone Receptor Polyclonal Antibody

Rating icon 还可以
产品编号 TMAB-01578
别名 Progestin receptor form B, Progestin receptor form A, Progesterone receptor, PRGR, PRB, PRA, PR, PGR, Nuclear receptor subfamily 3 group C member 3, NR3C3

Anti-Progesterone Receptor Polyclonal Antibody 是一种 Rabbit 抗体,靶向 Progesterone Receptor。Anti-Progesterone Receptor Polyclonal Antibody 可用于 FCM,IF,IHC-Fr,IHC-P,WB。

Anti-Progesterone Receptor Polyclonal Antibody

Anti-Progesterone Receptor Polyclonal Antibody

一键复制产品信息
Rating icon 还可以
产品编号 TMAB-01578 别名 Progestin receptor form B, Progestin receptor form A, Progesterone receptor, PRGR, PRB, PRA, PR, PGR, Nuclear receptor subfamily 3 group C member 3, NR3C3

Anti-Progesterone Receptor Polyclonal Antibody 是一种 Rabbit 抗体,靶向 Progesterone Receptor。Anti-Progesterone Receptor Polyclonal Antibody 可用于 FCM,IF,IHC-Fr,IHC-P,WB。

规格价格库存数量
50 μL
¥ 1,160
5日内发货
100 μL
¥ 1,970
5日内发货
200 μL
¥ 2,780
5日内发货
大包装 & 定制
加入购物车
TargetMol 的所有产品仅用作科学研究或药证申报,不能被用于人体,我们不向个人提供产品和服务。请您遵守承诺用途,不得违反法律法规规定用于任何其他用途。
实验操作小课堂
常见问题解答
查看更多
联系我们获取更多批次信息
资源下载

产品介绍

生物活性
产品描述
Anti-Progesterone Receptor Polyclonal Antibody is a Rabbit antibody targeting Progesterone Receptor. Anti-Progesterone Receptor Polyclonal Antibody can be used in FCM,IF,IHC-Fr,IHC-P,WB.
别名Progestin receptor form B, Progestin receptor form A, Progesterone receptor, PRGR, PRB, PRA, PR, PGR, Nuclear receptor subfamily 3 group C member 3, NR3C3
Ig Type
IgG
交叉反应
Human,Mouse,Rat (predicted:Rabbit)
验证活性
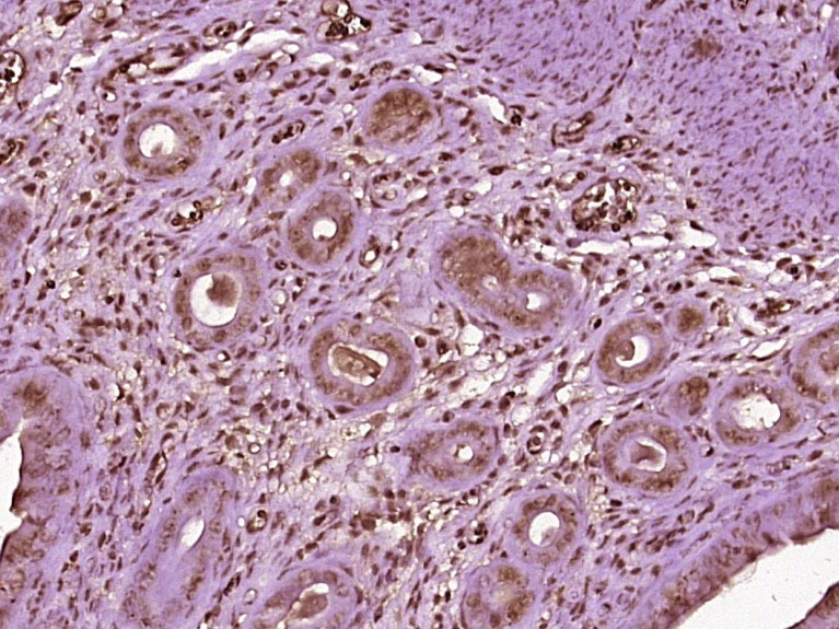
1. Paraformaldehyde-fixed, paraffin embedded (mouse uterus tissue); Antigen retrieval by boiling in sodium citrate buffer (pH6.0) for 15 min; Block endogenous peroxidase by 3% hydrogen peroxide for 20 min; Blocking buffer (normal goat serum) at 37°C for 30 min; Antibody incubation with (PRGR) Polyclonal Antibody, Unconjugated (TMAB-01578) at 1:400 overnight at 4°C, followed by operating according to SP Kit (Rabbit) instructionsand DAB staining.
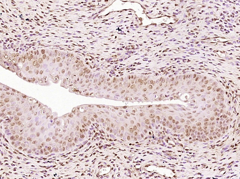
2. Paraformaldehyde-fixed, paraffin embedded (Rat uterus); Antigen retrieval by boiling in sodium citrate buffer (pH6.0) for 15 min; Block endogenous peroxidase by 3% hydrogen peroxide for 20 min; Blocking buffer (normal goat serum) at 37°C for 30 min; Antibody incubation with (Progesterone Receptor) Polyclonal Antibody, Unconjugated (TMAB-01578) at 1:400 overnight at 4°C, followed by operating according to SP Kit (Rabbit) instructionsand DAB staining.
3. Blank control: MCF7. Primary Antibody (green line): Rabbit Anti-Progesterone Receptor antibody (TMAB-01578)
Dilution: 1 μg/10^6 cells;
Isotype Control Antibody (orange line): Rabbit IgG.
Secondary Antibody: Goat anti-rabbit IgG-AF647
Dilution: 1 μg/test.
Protocol
The cells were fixed with 4% PFA (10 min at room temperature) and then permeabilized with 90% ice-cold methanol for 20 min at-20°C. The cells were then incubated in 5% BSA to block non-specific protein-protein interactions for 30 min at room temperature. Cells stained with Primary Antibody for 30 min at room temperature. The secondary antibody used for 40 min at room temperature.
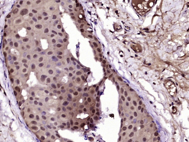
4. Paraformaldehyde-fixed, paraffin embedded (Human breast cancer); Antigen retrieval by boiling in sodium citrate buffer (pH6.0) for 15 min; Block endogenous peroxidase by 3% hydrogen peroxide for 20 min; Blocking buffer (normal goat serum) at 37°C for 30 min; Antibody incubation with (Progesterone Receptor) Polyclonal Antibody, Unconjugated (TMAB-01578) at 1:400 overnight at 4°C, followed by operating according to SP Kit (Rabbit) instructions and DAB staining.
5. 25 μg total protein per Lane of various lysates probed with Progesterone Receptor polyclonal antibody, unconjugated (TMAB-01578) at 1:1000 dilution and 4°C overnight incubation. Followed by conjugated secondary antibody incubation at RT for 60 min.
verifiedActivityverifiedActivityverifiedActivityverifiedActivityverifiedActivity
应用FCMIFIHC-FrIHC-PWB
推荐剂量
WB: 1:500-2000; IHC-P: 1:100-500; IHC-Fr: 1:100-500; IF: 1:100-500; FCM: 1ug/Test
抗体种类
Polyclonal
宿主来源Rabbit
亚细胞定位Nucleus. Cytoplasm. Note=Nucleoplasmic shuttling is both homone- and cell cycle-dependent. On hormone stimulation, retained in the cytoplasm in the G(1) and G(2)/M phases. Isoform A: Nucleus. Cytoplasm. Note=Mainly nuclear.
组织特异性Isoform A: Nucleus. Cytoplasm. Note=Mainly nuclear.
构建方式Polyclonal Antibody
纯化方式Protein A purified
性状Liquid
缓冲液0.01M TBS (pH7.4) with 1% BSA, 0.02% Proclin300 and 50% Glycerol.
浓度1 mg/mL
研究背景Estrogen and progesterone receptor are members of a family of transcription factors that are regulated by the binding of their cognate ligands. The interaction of hormone-bound estrogen receptors with estrogen responsive elements(EREs) alters transcription of ERE-containing genes. The carboxy terminal region of the estrgen receptor contains the ligand binding domain, the amino terminus serves as the transactivation domain, and the DNA binding domain is centrally located. Two forms of estrogen receptor have been identified, ER alpha and ER beta. ER alpha and ER beta have been shown to be differentially activated by various ligands. The biological response to progesterone is mediated by two distinct forms of the human progesterone receptor (hPR-Aand hPR-B), which arise from alternative splicing. In most cells, hPR-B functions as a transcriptional activator of progesterone-responsive gene, whereas hPR-A function as a transcriptional inhibitor of all steroid hormone receptors.
抗原信息
免疫原
KLH conjugated synthetic peptide: human Progesterone Receptor
抗原种属
Human
基因名称
PGR
基因ID
蛋白名称
Progesterone receptor
Uniprot ID
研究领域
Progesterone,Receptors,Progesterone,Zinc Finger,Gonadotrophic axis,Progesterone
功能
The steroid hormones and their receptors are involved in the regulation of eukaryotic gene expression and affect cellular proliferation and differentiation in target tissues. Progesterone receptor isoform B (PRB) is involved activation of c-SRC/MAPK signaling on hormone stimulation.
Isoform A is inactive in stimulating c-Src/MAPK signaling on hormone stimulation.
化学信息
分子量Theoretical: 103 kDa.
存储&运输
储存方式Store at -20°C or -80°C for 12 months. Avoid repeated freeze-thaw cycles.
运输方式Shipping with blue ice.

计算器

  • 稀释 计算器

评论列表

4个月前
5.0
Rating icon 很棒

评论内容

Related Tags: buy Anti-Progesterone Receptor Polyclonal Antibody | purchase Anti-Progesterone Receptor Polyclonal Antibody | Anti-Progesterone Receptor Polyclonal Antibody cost | order Anti-Progesterone Receptor Polyclonal Antibody | Anti-Progesterone Receptor Polyclonal Antibody molecular weight