购物车
  • TargetMol
    您的购物车当前为空

Anti-PRNP/Prion Antibody (2B223)

Synonyms: PrPc, PrP33-35C, PrP27-30, PrP, PRIP, prion protein, p27-30, KURU, GSS, CJD, CD230, ASCR, AltPrP
货号 TMAC-03420 一键复制产品信息
Rating icon 还可以
202603开学季活动

Anti-PRNP/Prion Antibody (2B223) 是一种 Rabbit 抗体,靶向 PRNP/Prion。Anti-PRNP/Prion Antibody (2B223) 可用于 FCM,ICC/IF,IHC,WB。

Anti-PRNP/Prion Antibody (2B223)

一键复制产品信息
Rating icon 还可以
202603开学季活动
货号 TMAC-03420

别名 PrPc, PrP33-35C, PrP27-30, PrP, PRIP, prion protein, p27-30, KURU, GSS, CJD, CD230, ASCR, AltPrP

Anti-PRNP/Prion Antibody (2B223) 是一种 Rabbit 抗体,靶向 PRNP/Prion。Anti-PRNP/Prion Antibody (2B223) 可用于 FCM,ICC/IF,IHC,WB。

Anti-PRNP/Prion Antibody (2B223)
规格价格库存数量
50 μL
¥ 1,485
5日内发货
100 μL
¥ 2,495
5日内发货
库存状态实时更新,以官网显示为准,现货产品可直接加购物车下单
大包装 & 定制
加入购物车

TargetMol的所有产品仅用作科学研究或药证申报,不能被用于人体,我们不向个人提供产品和服务。请您遵守承诺用途,不得违反法律法规规定用于任何其他用途。

实验操作小课堂
常见问题解答
查看更多

资源下载:产品操作手册

产品介绍


生物活性
产品描述
Anti-PRNP/Prion Antibody (2B223) is a Rabbit antibody targeting PRNP/Prion. Anti-PRNP/Prion Antibody (2B223) can be used in FCM,ICC/IF,IHC,WB.
别名
PrPc, PrP33-35C, PrP27-30, PrP, PRIP, prion protein, p27-30, KURU, GSS, CJD, CD230, ASCR, AltPrP
Ig Type
IgG
克隆号
2B223
反应种属
Human,Mouse,Rat
验证活性
1. Western blot analysis of PrP on different lysates using anti-PrP antibody at 1/1,000 dilution. Positive control: Lane 1: Rat brain, Lane 2: Mouse brain.
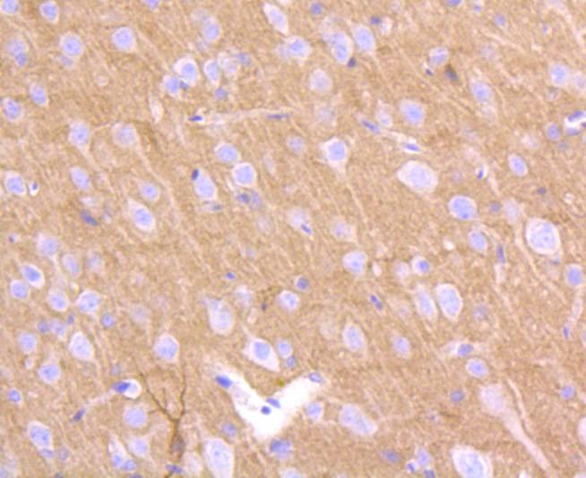
2. Immunohistochemical analysis of paraffin-embedded rat brain tissue using anti-PrP antibody. Counter stained with hematoxylin.
3. Immunohistochemical analysis of paraffin-embedded mouse brain tissue using anti-PrP antibody. Counter stained with hematoxylin.
4. ICC staining PrP in N2A cells (green). The nuclear counter stain is DAPI (blue). Cells were fixed in paraformaldehyde, permeabilised with 0.25% Triton X100/PBS.
5. ICC staining PrP in SHG-44 cells (green). The nuclear counter stain is DAPI (blue). Cells were fixed in paraformaldehyde, permeabilised with 0.25% Triton X100/PBS.
6. ICC staining PrP in SH-SY-5Y cells (green). The nuclear counter stain is DAPI (blue). Cells were fixed in paraformaldehyde, permeabilised with 0.25% Triton X100/PBS.
7. Flow cytometric analysis of SH-SY-5Y cells with PrP antibody at 1/50 dilution (red) compared with an unlabelled control (cells without incubation with primary antibody; black). Alexa Fluor 488-conjugated goat anti rabbit IgG was used as the secondary antibody.
verifiedActivityverifiedActivityverifiedActivityverifiedActivityverifiedActivityverifiedActivityverifiedActivity
应用FCMICC/IFIHCWB
推荐剂量
WB: 1:1000-5000; IHC: 1:50-200; ICC/IF: 1:50-200; FCM: 1:50-100
抗体种类
Monoclonal
宿主来源Rabbit
构建方式Recombinant Antibody
纯化方式ProA affinity purified
性状Liquid
缓冲液1*TBS (pH7.4), 1%BSA, 40%Glycerol. Preservative: 0.05% Sodium Azide.
研究背景Prion diseases, or transmissible spongiform encephalopathies (TSEs), are manifested as genetic, infectious or sporadic, lethal neurodegenerative disorders involving alterations of the prion protein (PrP). Characteristic of prion diseases, cellular PrP (PrPc) is converted to the disease form, PrPSc, through alterations in the protein folding conformations. PrPc is constitutively expressed in normal adult brain and is sensitive to proteinase K digestion, while the altered PrPSc conformation is resistant to proteases, resulting in a distinct molecular mass after PK treatment. Consistent with the transient infection process of prion diseases, incubation of PrPc with PrPSc both in vitro and in vivo produces PrPc that is resistant to protease degradation. Infectious PrPSc is found at high levels in the brains of animals affected by TSEs, including scrapie in sheep, BSE in cattle and Cruetzfeldt-Jakob disease in humans.
偶联与修饰
偶联
Unconjugated
抗原信息
免疫原
Recombinant Protein
Uniprot ID
化学信息
分子量Theoretical: 28 kDa.
储存&溶解度
储存方式Store at -20°C or -80°C for 12 months. Avoid repeated freeze-thaw cycles.
运输方式Shipping with blue ice.

计算器

  • 稀释 计算器
  • 配液 计算器

关键词

Related Tags: buy Anti-PRNP/Prion Antibody (2B223) | purchase Anti-PRNP/Prion Antibody (2B223) | Anti-PRNP/Prion Antibody (2B223) cost | order Anti-PRNP/Prion Antibody (2B223) | Anti-PRNP/Prion Antibody (2B223) molecular weight