购物车
全部删除
您的购物车当前为空
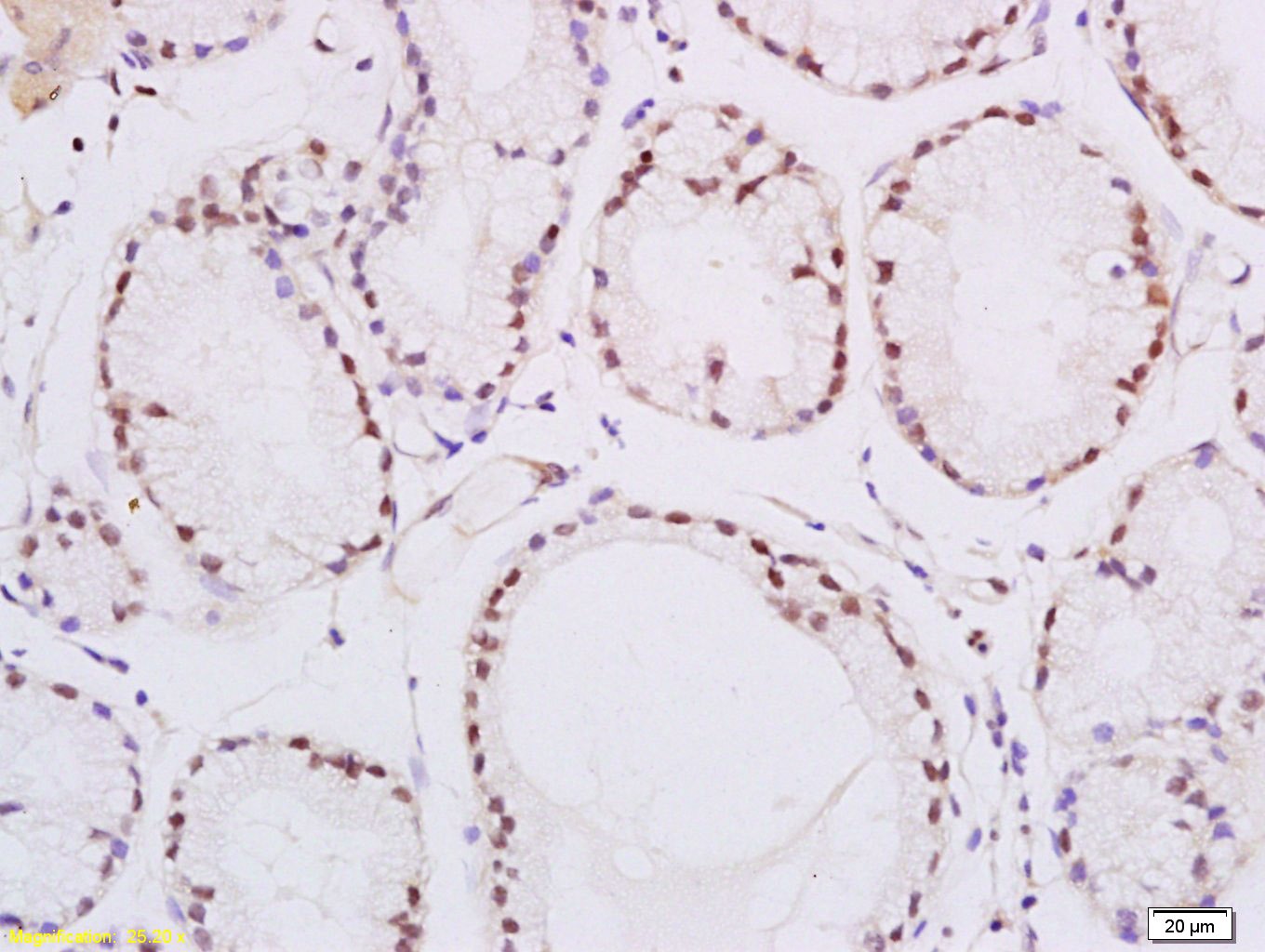
种类:Rabbit Polyclonal
应用:WB,IHC-P,IHC-Fr,IF
交叉反应:Mouse (predicted:Rat)
种类:Rabbit Polyclonal
应用:WB,IHC-P,IHC-Fr,IF
交叉反应:Mouse (predicted:Rat)

| 产品描述 | Anti-PPAR delta+beta Polyclonal Antibody is a Rabbit antibody targeting PPAR delta+beta. Anti-PPAR delta+beta Polyclonal Antibody can be used in WB,IHC-P,IHC-Fr,IF. |
| Ig Type | IgG |
| 交叉反应 | Mouse (predicted:Rat) |
| 应用 | WBIHC-PIHC-FrIF |
| 推荐剂量 | WB: 1:500-2000; IHC-P: 1:100-500; IHC-Fr: 1:100-500; IF: 1:100-500 |
| 抗体种类 | Polyclonal |
| 宿主来源 | Rabbit |
| 亚细胞定位 | Nucleus. |
| 组织特异性 | Ubiquitous with maximal levels in placenta and skeletal muscle. |
| 构建方式 | Hybridoma Polyclonal Antibody |
| 纯化方式 | Protein A purified |
| 性状 | Liquid |
| 缓冲液 | 0.01M TBS (pH7.4) with 1% BSA, 0.02% Proclin300 and 50% Glycerol. |
| 浓度 | 1mg/ml |
| 研究背景 | Receptor that binds peroxisome proliferators such as hypolipidemic drugs and fatty acids. Once activated by a ligand, the receptor binds to a promoter element in the gene for acyl-CoA oxidase and activates its transcription. It therefore controls the peroxisomal beta-oxidation pathway of fatty acids. Heterodimer with the retinoid X receptor. Subcellular located at nuclear Tissue specificity: Heart, adrenal and intestine. Belongs to the nuclear hormone receptor family. NR1 subfamily. It Contains 1 nuclear receptor DNA-binding domain. |
| 免疫原 | KLH conjugated synthetic peptide: mouse PPAR delta + beta |
| 抗原种属 | Mouse |
| 基因名称 | PPARD |
| 基因ID | |
| 蛋白名称 | Peroxisome proliferator-activated receptor delta |
| Uniprot ID | |
| 功能 | Ligand-activated transcription factor. Receptor that binds peroxisome proliferators such as hypolipidemic drugs and fatty acids. Has a preference for poly-unsaturated fatty acids, such as gamma-linoleic acid and eicosapentanoic acid. Once activated by a ligand, the receptor binds to promoter elements of target genes. Regulates the peroxisomal beta-oxidation pathway of fatty acids. Functions as transcription activator for the acyl-CoA oxidase gene. Decreases expression of NPC1L1 once activated by a ligand. |
| 分子量 | Theoretical: 48 kDa. |
| 储存方式 | Store at 2°C-8°C for 1 month. Store at -20°C or -80°C for 12 months. Avoid repeated freeze-thaw cycles. |
| 运输方式 | Shipping with blue ice. |
评论内容