购物车
  • TargetMol
    您的购物车当前为空

Anti-PMS2 Antibody (2B500)

Synonyms: Postmeiotic segregation increased, S. cerevisiae, 2, PMSL2, PMS2CL, PMS2_HUMAN, PMS2 postmeiotic segregation increased 2 (S. cerevisiae), PMS2 postmeiotic segregation increased 2, PMS2, PMS1 protein homolog 2, PMS 2, Mismatch repair gene PMSL2, Mismatch repair endonuclease PMS2, HNPCC4, H_DJ0042M02.9, DNA mismatch repair protein PMS2, DNA mismatch repair gene homologue
货号 TMAC-03386 一键复制产品信息
Rating icon 还可以
202603开学季活动

Anti-PMS2 Antibody (2B500) 是一种 Rabbit 抗体,靶向 PMS2。Anti-PMS2 Antibody (2B500) 可用于 FCM,ICC/IF,IHC,IP,WB。

Anti-PMS2 Antibody (2B500)

一键复制产品信息
Rating icon 还可以
202603开学季活动
货号 TMAC-03386

别名 Postmeiotic segregation increased, S. cerevisiae, 2, PMSL2, PMS2CL, PMS2_HUMAN, PMS2 postmeiotic segregation increased 2 (S. cerevisiae), PMS2 postmeiotic segregation increased 2, PMS2, PMS1 protein homolog 2, PMS 2, Mismatch repair gene PMSL2, Mismatch repair endonuclease PMS2, HNPCC4, H_DJ0042M02.9, DNA mismatch repair protein PMS2, DNA mismatch repair gene homologue

Anti-PMS2 Antibody (2B500) 是一种 Rabbit 抗体,靶向 PMS2。Anti-PMS2 Antibody (2B500) 可用于 FCM,ICC/IF,IHC,IP,WB。

Anti-PMS2 Antibody (2B500)
规格价格库存数量
50 μL
¥ 1,490
5日内发货
100 μL
¥ 2,495
5日内发货
库存状态实时更新,以官网显示为准,现货产品可直接加购物车下单
大包装 & 定制
加入购物车

TargetMol的所有产品仅用作科学研究或药证申报,不能被用于人体,我们不向个人提供产品和服务。请您遵守承诺用途,不得违反法律法规规定用于任何其他用途。

实验操作小课堂
常见问题解答
查看更多

资源下载:产品操作手册

产品介绍


生物活性
产品描述
Anti-PMS2 Antibody (2B500) is a Rabbit antibody targeting PMS2. Anti-PMS2 Antibody (2B500) can be used in FCM,ICC/IF,IHC,IP,WB.
别名
Postmeiotic segregation increased, S. cerevisiae, 2, PMSL2, PMS2CL, PMS2_HUMAN, PMS2 postmeiotic segregation increased 2 (S. cerevisiae), PMS2 postmeiotic segregation increased 2, PMS2, PMS1 protein homolog 2, PMS 2, Mismatch repair gene PMSL2, Mismatch repair endonuclease PMS2, HNPCC4, H_DJ0042M02.9, DNA mismatch repair protein PMS2, DNA mismatch repair gene homologue
Ig Type
IgG
克隆号
2B500
反应种属
Human
验证活性
1. Western blot analysis of PMS2 on Hela cell lysates. Proteins were transferred to a PVDF membrane and blocked with 5% BSA in PBS for 1 hour at room temperature. The primary antibody was used at a 1:1,000 dilution in 5% BSA at room temperature for 2 hours. Goat Anti-Mouse IgG-HRP Secondary Antibody (HA1006) at 1:5,000 dilution was used for 1 hour at room temperature.
2. Immunohistochemical analysis of paraffin-embedded human colon cancer tissue using anti-PMS2 antibody. The section was pre-treated using heat mediated antigen retrieval with sodium citrate buffer (pH6) for 20 mins. The tissues were blocked in 5% BSA for 30 minutes at room temperature, washed with ddH2O and PBS, and then probed with the antibody (ET1605-1) at 1/200 dilution, for 30 minutes at room temperature and detected using an HRP conjugated compact polymer system. DAB was used as the chrogen. Counter stained with hematoxylin and mounted with DPX.
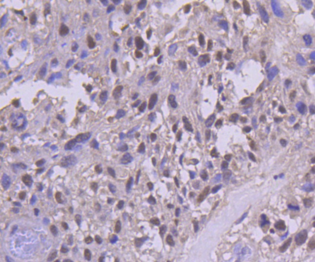
3. Immunohistochemical analysis of paraffin-embedded human breast cancer tissue using anti-PMS2 antibody. The section was pre-treated using heat mediated antigen retrieval with sodium citrate buffer (pH6) for 20 mins. The tissues were blocked in 5% BSA for 30 minutes at room temperature, washed with ddH2O and PBS, and then probed with the antibody (ET1605-1) at 1/200 dilution, for 30 minutes at room temperature and detected using an HRP conjugated compact polymer system. DAB was used as the chrogen. Counter stained with hematoxylin and mounted with DPX.
4. ICC staining PMS2 in Hela cells (red). Formalin fixed cells were permeabilized with 0.1% Triton X-100 in TBS for 10 minutes at room temperature and blocked with 1% Blocker BSA for 15 minutes at room temperature. Cells were probed with Carbonic anhydrase 2 monoclonal antibody at a dilution of 1:100 for at least 1 hour at room temperature, washed with PBS. Alexa Fluor 488 Goat anti-Mouse IgG was used as the secondary antibody at 1/100 dilution. The nuclear counter stain is DAPI (blue).
5. Flow cytometric analysis of PMS2 was done on Hela cells. The cells were fixed, permeabilized and stained with APE1 antibody at 1/100 dilution (red) compared with an unlabelled control (cells without incubation with primary antibody; black). After incubation of the primary antibody on room temperature for an hour, the cells was stained with a Alexa Fluor 488-conjugated goat anti-rabbit IgG Secondary antibody at 1/500 dilution for 30 minutes.
verifiedActivityverifiedActivityverifiedActivityverifiedActivityverifiedActivity
应用FCMICC/IFIHCIPWB
推荐剂量
WB: 1:1000-2000; IHC: 1:50-100; ICC/IF: 1:50-200; FCM: 1:50-100
抗体种类
Monoclonal
宿主来源Rabbit
构建方式Recombinant Antibody
纯化方式ProA affinity purified
性状Liquid
缓冲液1*TBS (pH7.4), 1%BSA, 40%Glycerol. Preservative: 0.05% Sodium Azide.
研究背景The finding that mutations in DNA mismatch repair genes are associated with hereditary nonpolyposis colorectal cancer (HNPCC) has resulted in considerable interest in the understanding of the mechanism of DNA mismatch repair. Initially, inherited mutations in the MSH2 and MLH1 homologs of the bacterial DNA mismatch repair genes MutS and MutL were demonstrated at high frequency in HNPCC and were shown to be associated with microsatellite instability. The demonstration that 10 to 45% of pancreatic, gastric, breast, ovarian and small cell lung cancers also display microsatellite instability has been interpreted to suggest that DNA mismatch repair is not restricted to HNPCC tumors but is a common feature in tumor initiation or progression. Two additional homologs of the prokaryotic MutL gene, designated PMS1 and PMS2, have been identified and shown to be mutated in the germline of HNPCC patients.
偶联与修饰
偶联
Unconjugated
抗原信息
免疫原
Recombinant Protein
Uniprot ID
化学信息
分子量Theoretical: 96 kDa.
储存&溶解度
储存方式Store at -20°C or -80°C for 12 months. Avoid repeated freeze-thaw cycles.
运输方式Shipping with blue ice.

计算器

  • 稀释 计算器
  • 配液 计算器
Related Tags: buy Anti-PMS2 Antibody (2B500) | purchase Anti-PMS2 Antibody (2B500) | Anti-PMS2 Antibody (2B500) cost | order Anti-PMS2 Antibody (2B500) | Anti-PMS2 Antibody (2B500) molecular weight