购物车
  • 全部删除
  • TargetMol
    您的购物车当前为空

Anti-PMP22 Antibody (3X860)

Rating icon 还可以
产品编号 TMAC-03385
别名 SR13 myelin protein, Schwann cell membrane glycoprotein (SAG), Protein CD25, Pmp-22, PMP-22, Pmp22, Peripheral myelin protein 22, Cd25

Anti-PMP22 Antibody (3X860) 是一种 Rabbit 抗体,靶向 PMP22。Anti-PMP22 Antibody (3X860) 可用于 FCM,ICC,IHC,WB。

Anti-PMP22 Antibody (3X860)

Anti-PMP22 Antibody (3X860)

一键复制产品信息
Rating icon 还可以
产品编号 TMAC-03385 别名 SR13 myelin protein, Schwann cell membrane glycoprotein (SAG), Protein CD25, Pmp-22, PMP-22, Pmp22, Peripheral myelin protein 22, Cd25

Anti-PMP22 Antibody (3X860) 是一种 Rabbit 抗体,靶向 PMP22。Anti-PMP22 Antibody (3X860) 可用于 FCM,ICC,IHC,WB。

规格价格库存数量
50 μL
¥ 1,485
5日内发货
100 μL
¥ 2,495
5日内发货
大包装 & 定制
加入购物车
TargetMol 的所有产品仅用作科学研究或药证申报,不能被用于人体,我们不向个人提供产品和服务。请您遵守承诺用途,不得违反法律法规规定用于任何其他用途。
实验操作小课堂
常见问题解答
查看更多
联系我们获取更多批次信息
资源下载

产品介绍

生物活性
产品描述
Anti-PMP22 Antibody (3X860) is a Rabbit antibody targeting PMP22. Anti-PMP22 Antibody (3X860) can be used in FCM,ICC,IHC,WB.
别名SR13 myelin protein, Schwann cell membrane glycoprotein (SAG), Protein CD25, Pmp-22, PMP-22, Pmp22, Peripheral myelin protein 22, Cd25
Ig Type
IgG
克隆号
3X860
交叉反应
Human,Rat
验证活性
1. Western blot analysis of PMP22 on PC-12 cell using anti-PMP22 antibody at 1/500 dilution.
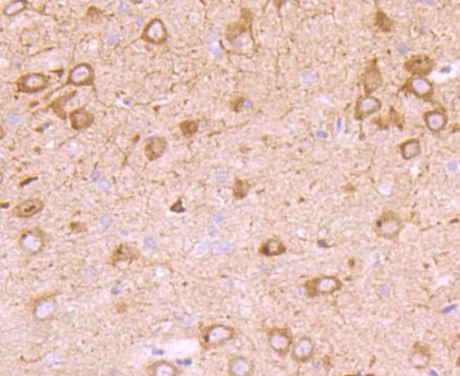
2. Immunohistochemical analysis of paraffin-embedded rat brain tissue using anti-PMP22 antibody. Counter stained with hematoxylin.
3. ICC staining PMP22 in N2A cells (green). The nuclear counter stain is DAPI (blue). Cells were fixed in paraformaldehyde, permeabilised with 0.25% Triton X100/PBS.
4. Flow cytometric analysis of SH-SY5Y cells with PMP22 antibody at 1/100 dilution (red) compared with an unlabelled control (cells without incubation with primary antibody; black).
verifiedActivityverifiedActivityverifiedActivityverifiedActivity
应用FCMICCIHCWB
推荐剂量
WB: 1:500; IHC: 1:50-200; ICC: 1:50-200; FCM: 1:50-100
抗体种类
Monoclonal
宿主来源Rabbit
构建方式Recombinant Antibody
纯化方式ProA affinity purified
性状Liquid
缓冲液1*TBS (pH7.4), 1%BSA, 40%Glycerol. Preservative: 0.05% Sodium Azide.
研究背景PLP (myelin proteolipid protein or lipophilin) is a major constituent of myelin. The two isoforms of the myelin proteolipid protein, PLP and DM20, are very hydrophobic integral membrane proteins that account for about half of the protein content of adult CNS myelin. A mutation in the gene which encodes PLP is linked to Pelizaeus-Merzbacher disease (PMD), a chronic infantile type of diffuse cerebral sclerosis. The gene which encodes PLP maps to human chromosome Xq13-q22. The glycoprotein zero (also designated P-zero or myelin peripheral protein) is the major structural protein of peripheral myelin, accounting for more than 50% of the protein present in the sheath of peri-pheral nerves. Zero is an integral membrane glycoprotein whose expression is restricted to Schwann cells. The gene which encodes zero maps to human chromosome 1q22. PMP22 (peripheral myelin protein 22) is a growth-regulated membrane protein which is expressed by Schwann cells and is localized mainly in compact peripheral nervous system myelin. The gene which encodes PMP22 maps to human chromosome 17p11.2.
偶联与修饰
偶联
Unconjugated
抗原信息
免疫原
Recombinant Protein
Uniprot ID
化学信息
分子量Theoretical: 22 kDa.
存储&运输
储存方式Store at -20°C or -80°C for 12 months. Avoid repeated freeze-thaw cycles.
运输方式Shipping with blue ice.

计算器

  • 稀释 计算器

关键词

评论列表

4个月前
5.0
Rating icon 很棒

评论内容

Related Tags: buy Anti-PMP22 Antibody (3X860) | purchase Anti-PMP22 Antibody (3X860) | Anti-PMP22 Antibody (3X860) cost | order Anti-PMP22 Antibody (3X860) | Anti-PMP22 Antibody (3X860) molecular weight