购物车
  • 全部删除
  • TargetMol
    您的购物车当前为空

Anti-Plzf Polyclonal Antibody

Rating icon 还可以
产品编号 TMAB-01553
别名 Znf145, Zinc finger protein PLZF, Zinc finger protein 145(Kruppel like expressed in promyelocytic leukemia), Zinc finger protein 145, Zinc finger and BTB domain-containing protein 16, Zinc finger and BTB domain containing 16, Zfp145, ZBTB16, ZBT16, Promyelocytic leukemia zinc finger protein

Anti-Plzf Polyclonal Antibody 是一种 Rabbit 抗体,靶向 Plzf。Anti-Plzf Polyclonal Antibody 可用于 FCM,ICC/IF,IF,IHC-Fr,IHC-P。

Anti-Plzf Polyclonal Antibody

Anti-Plzf Polyclonal Antibody

一键复制产品信息
Rating icon 还可以
产品编号 TMAB-01553 别名 Znf145, Zinc finger protein PLZF, Zinc finger protein 145(Kruppel like expressed in promyelocytic leukemia), Zinc finger protein 145, Zinc finger and BTB domain-containing protein 16, Zinc finger and BTB domain containing 16, Zfp145, ZBTB16, ZBT16, Promyelocytic leukemia zinc finger protein

Anti-Plzf Polyclonal Antibody 是一种 Rabbit 抗体,靶向 Plzf。Anti-Plzf Polyclonal Antibody 可用于 FCM,ICC/IF,IF,IHC-Fr,IHC-P。

规格价格库存数量
50 μL
¥ 1,170
5日内发货
100 μL
¥ 1,965
5日内发货
200 μL
¥ 2,795
5日内发货
大包装 & 定制
加入购物车
TargetMol 的所有产品仅用作科学研究或药证申报,不能被用于人体,我们不向个人提供产品和服务。请您遵守承诺用途,不得违反法律法规规定用于任何其他用途。
实验操作小课堂
常见问题解答
查看更多
联系我们获取更多批次信息
资源下载

产品介绍

生物活性
产品描述
Anti-Plzf Polyclonal Antibody is a Rabbit antibody targeting Plzf. Anti-Plzf Polyclonal Antibody can be used in FCM,ICC/IF,IF,IHC-Fr,IHC-P.
别名Znf145, Zinc finger protein PLZF, Zinc finger protein 145(Kruppel like expressed in promyelocytic leukemia), Zinc finger protein 145, Zinc finger and BTB domain-containing protein 16, Zinc finger and BTB domain containing 16, Zfp145, ZBTB16, ZBT16, Promyelocytic leukemia zinc finger protein
Ig Type
IgG
交叉反应
Human,Mouse (predicted:Rat,Dog,Cow,Horse)
验证活性
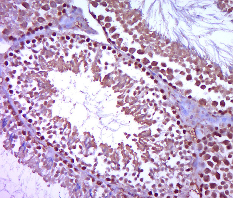
1. Paraformaldehyde-fixed, paraffin embedded (mouse testis tissue); Antigen retrieval by boiling in sodium citrate buffer (pH6.0) for 15 min; Block endogenous peroxidase by 3% hydrogen peroxide for 20 min; Blocking buffer (normal goat serum) at 37°C for 30 min; Antibody incubation with (Plzf) Polyclonal Antibody, Unconjugated (TMAB-01553) at 1:400 overnight at 4°C, followed by a conjugated secondary for 20 min and DAB staining.
2. Paraformaldehyde-fixed, paraffin embedded (mouse brain tissue); Antigen retrieval by boiling in sodium citrate buffer (pH6.0) for 15 min; Block endogenous peroxidase by 3% hydrogen peroxide for 20 min; Blocking buffer (normal goat serum) at 37°C for 30 min; Antibody incubation with (Plzf) Polyclonal Antibody, Unconjugated (TMAB-01553) at 1:400 overnight at 4°C, followed by a conjugated secondary for 20 min and DAB staining.
3. Blank control: Molt4. Primary Antibody (green line): Rabbit Anti-PLZF antibody (TMAB-01553)
Dilution: 1 μg/10^6 cells;
Isotype Control Antibody (orange line): Rabbit IgG.
Secondary Antibody: Goat anti-rabbit IgG-PE
Dilution: 1 μg/test.
Protocol
The cells were fixed with 4% PFA (10 min at room temperature) and then permeabilized with PBST for 20 min at room temperature. The cells were then incubated in 5% BSA to block non-specific protein-protein interactions for 30 min at at room temperature. Cells stained with Primary Antibody for 30 min at room temperature. The secondary antibody used for 40 min at room temperature.
4. Hela cell; 4% Paraformaldehyde-fixed; Triton X-100 at room temperature for 20 min; Blocking buffer (normal goat serum) at 37°C for 20 min; Antibody incubation with (Plzf) polyclonal Antibody, Unconjugated (TMAB-01553) 1:25, 90 minutes at 37°C; followed by a conjugated Goat Anti-Rabbit IgG antibody at 37°C for 90 minutes, DAPI (blue) was used to stain the cell nucleus.
verifiedActivityverifiedActivityverifiedActivityverifiedActivity
应用FCMICC/IFIFIHC-FrIHC-P
推荐剂量
IHC-P: 1:100-500; IHC-Fr: 1:100-500; ICC/IF: 1:25; IF: 1:100-500; FCM: 1ug/Test
抗体种类
Polyclonal
宿主来源Rabbit
亚细胞定位Nucleus.
组织特异性Within the hematopoietic system, PLZF is expressed in bone marrow, early myeloid cell lines and peripheral blood mononuclear cells. Also expressed in the ovary, and at lower levels, in the kidney and lung.
构建方式Polyclonal Antibody
纯化方式Protein A purified
性状Liquid
缓冲液0.01M TBS (pH7.4) with 1% BSA, 0.02% Proclin300 and 50% Glycerol.
浓度1 mg/mL
研究背景Probable transcription factor. May play a role in myeloid maturation and in the development and/or maintenance of other differentiated tissues. Probable substrate-recognition component of an E3 ubiquitin-protein ligase complex which mediates the ubiquitination and subsequent proteasomal degradation of target proteins.
抗原信息
免疫原
KLH conjugated synthetic peptide: human Plzf
抗原种属
Human
基因名称
ZBTB16
基因ID
蛋白名称
Zinc finger and BTB domain-containing protein 16
Uniprot ID
功能
Probable transcription factor. May play a role in myeloid maturation and in the development and/or maintenance of other differentiated tissues. Probable substrate-recognition component of an E3 ubiquitin-protein ligase complex which mediates the ubiquitination and subsequent proteasomal degradation of target proteins.
化学信息
分子量Theoretical: 74 kDa.
存储&运输
储存方式Store at -20°C or -80°C for 12 months. Avoid repeated freeze-thaw cycles.
运输方式Shipping with blue ice.

计算器

  • 稀释 计算器

评论列表

4个月前
5.0
Rating icon 很棒

评论内容

Related Tags: buy Anti-Plzf Polyclonal Antibody | purchase Anti-Plzf Polyclonal Antibody | Anti-Plzf Polyclonal Antibody cost | order Anti-Plzf Polyclonal Antibody | Anti-Plzf Polyclonal Antibody molecular weight