购物车
  • TargetMol
    您的购物车当前为空

Anti-PLCγ1 Antibody (8G514)

Synonyms: PLCy1, PLC-II, PLCgamma1, PLC148, PLC1, PLC γ1, PLC γ 1, PLC y1, PLC y 1, PLC gamma1, PLC gamma 1, NCKAP3, IDAA
货号 TMAC-03370 一键复制产品信息
Rating icon 还可以

Anti-PLCγ1 Antibody (8G514) 是一种 Mouse 抗体,靶向 PLCγ1。Anti-PLCγ1 Antibody (8G514) 可用于 FCM,ICC,IHC,WB。

Anti-PLCγ1 Antibody (8G514)

一键复制产品信息
Rating icon 还可以
货号 TMAC-03370

别名 PLCy1, PLC-II, PLCgamma1, PLC148, PLC1, PLC γ1, PLC γ 1, PLC y1, PLC y 1, PLC gamma1, PLC gamma 1, NCKAP3, IDAA

Anti-PLCγ1 Antibody (8G514) 是一种 Mouse 抗体,靶向 PLCγ1。Anti-PLCγ1 Antibody (8G514) 可用于 FCM,ICC,IHC,WB。

Anti-PLCγ1 Antibody (8G514)
规格价格库存数量
50 μL
¥ 1,990
5日内发货
100 μL
¥ 2,985
5日内发货
库存状态实时更新,以官网显示为准,现货产品可直接加购物车下单
大包装 & 定制
加入购物车
TargetMol的所有产品仅用作科学研究或药证申报,不能被用于人体,我们不向个人提供产品和服务。请您遵守承诺用途,不得违反法律法规规定用于任何其他用途。
实验操作小课堂
常见问题解答
查看更多

资源下载:产品操作手册

产品介绍


生物活性
产品描述
Anti-PLCγ1 Antibody (8G514) is a Mouse antibody targeting PLCγ1. Anti-PLCγ1 Antibody (8G514) can be used in FCM,ICC,IHC,WB.
别名PLCy1, PLC-II, PLCgamma1, PLC148, PLC1, PLC γ1, PLC γ 1, PLC y1, PLC y 1, PLC gamma1, PLC gamma 1, NCKAP3, IDAA
克隆号
8G514
反应种属
Human,Mouse,Rat
验证活性
1. Western blot analysis of PLCG1 on human PLCG1 recombinant protein using anti-PLCG1 antibody at 1/1,000 dilution.
2. Western blot analysis of PLCG1 on HEK293 (1) and PLCG1-hIgGFc transfected HEK293 (2) cell lysate using anti-PLCG1 antibody at 1/1,000 dilution.
3. Western blot analysis of PLCG1 on different cell lysate using anti-PLCG1 antibody at 1/1,000 dilution. Positive control: Line1: Hela, Line2: A431, Line3: C6, Line4: NIH/3T3, Line5: COS7, Line6: HCT116.
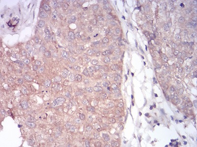
4. Immunohistochemical analysis of paraffin-embedded human cervical cancer tissues using anti-PLCG1 antibody. Counter stained with hematoxylin.
5. Immunohistochemical analysis of paraffin-embedded human bladder cancer tissues using anti-PLCG1 antibody. Counter stained with hematoxylin.
6. ICC staining PLCG1 (green) and Actin filaments (red) in Hela cells. The nuclear counter stain is DAPI (blue). Cells were fixed in paraformaldehyde, permeabilised with 0.25% Triton X100/PBS.
7. Flow cytometric analysis of Jurkat cells with PLCG1 antibody at 1/100 dilution (green) compared with an unlabelled control (cells without incubation with primary antibody; red).
verifiedActivityverifiedActivityverifiedActivityverifiedActivityverifiedActivityverifiedActivityverifiedActivity
应用FCMICCIHCWB
推荐剂量
WB: 1:500-2000; IHC: 1:50-200; ICC: 1:50-200; FCM: 1:100-200
抗体种类
Monoclonal
宿主来源Mouse
构建方式Hybridoma Monoclonal Antibody
纯化方式ProA affinity purified
性状Liquid
缓冲液1*TBS (pH7.4), 1%BSA, 40%Glycerol. Preservative: 0.05% Sodium Azide.
研究背景Phospholipase C-gamma 1 (PLC g1) is an isozyme of the phosphoinositide-specific PLC family, which occupies a central role in hormonal signal transduction pathways and is a substrate for the epidermal growth factor receptor tyrosine kinase. Following activation of TrkB, PLC g1 is phosphorylated on Tyrosine 783, Tyrosine 771 and Tyrosine 1253. Tyrosine 783 lies just downstream of the kinase domain in a relatively short sequence motif characteristic of the Trk family of protein-tyrosine kinase receptors. The sequence around Tyrosine 783 fits a consensus sequence for binding PLC g1. PLC g1 also forms a complex with TrkB consistent with the possibility that one of the TrkB autophosphorylation sites provides a binding site for the PLC g1 SH2 domains, as is the case for other receptor protein-tyrosine kinases.
偶联与修饰
偶联
Unconjugated
抗原信息
免疫原
Recombinant Protein
Uniprot ID
化学信息
分子量Theoretical: 148 kDa.
储存&溶解度
储存方式Store at -20°C or -80°C for 12 months. Avoid repeated freeze-thaw cycles.
运输方式Shipping with blue ice.

计算器

  • 稀释 计算器
  • 配液 计算器
Related Tags: buy Anti-PLCγ1 Antibody (8G514) | purchase Anti-PLCγ1 Antibody (8G514) | Anti-PLCγ1 Antibody (8G514) cost | order Anti-PLCγ1 Antibody (8G514) | Anti-PLCγ1 Antibody (8G514) molecular weight