购物车
  • TargetMol
    您的购物车当前为空

Anti-PKCE Antibody (5H978)

Synonyms: Protein Kinase C ε Type, Protein Kinase C Epsilon Type, PRKCE, PKCE, nPKC-ε, nPKC-Epsilon
货号 TMAC-03317 一键复制产品信息
Rating icon 还可以

Anti-PKCE Antibody (5H978) 是一种 Rabbit 抗体,靶向 PKCE。Anti-PKCE Antibody (5H978) 可用于 FCM,ICC,IHC,WB。

Anti-PKCE Antibody (5H978)

一键复制产品信息
Rating icon 还可以
货号 TMAC-03317

别名 Protein Kinase C ε Type, Protein Kinase C Epsilon Type, PRKCE, PKCE, nPKC-ε, nPKC-Epsilon

Anti-PKCE Antibody (5H978) 是一种 Rabbit 抗体,靶向 PKCE。Anti-PKCE Antibody (5H978) 可用于 FCM,ICC,IHC,WB。

Anti-PKCE Antibody (5H978)
规格价格库存数量
50 μL
¥ 1,480
5日内发货
100 μL
¥ 2,485
5日内发货
库存状态实时更新,以官网显示为准,现货产品可直接加购物车下单
大包装 & 定制
加入购物车
TargetMol的所有产品仅用作科学研究或药证申报,不能被用于人体,我们不向个人提供产品和服务。请您遵守承诺用途,不得违反法律法规规定用于任何其他用途。
实验操作小课堂
常见问题解答
查看更多

资源下载:产品操作手册

产品介绍


生物活性
产品描述
Anti-PKCE Antibody (5H978) is a Rabbit antibody targeting PKCE. Anti-PKCE Antibody (5H978) can be used in FCM,ICC,IHC,WB.
别名Protein Kinase C ε Type, Protein Kinase C Epsilon Type, PRKCE, PKCE, nPKC-ε, nPKC-Epsilon
Ig Type
IgG
克隆号
5H978
反应种属
Human,Mouse,Rat
验证活性
1. Western blot analysis of PKC epsilon on different cell lysate using anti-PKC epsilon antibody at 1/1,000 dilution. Positive control: Lane1: Jurkat, Lane2: MCF-7, Lane3: HT-29.
2. Immunohistochemical analysis of paraffin-embedded rat brain tissue using anti-PKC epsilon antibody. Counter stained with hematoxylin.
3. Immunohistochemical analysis of paraffin-embedded human kidney tissue using anti-PKC epsilon antibody. Counter stained with hematoxylin.
4. Immunohistochemical analysis of paraffin-embedded mouse testis tissue using anti-PKC epsilon antibody. Counter stained with hematoxylin.
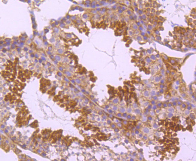
5. Immunohistochemical analysis of paraffin-embedded human pancreas tissue using anti-PKC epsilon antibody. Counter stained with hematoxylin.
6. ICC staining PKC epsilon in 293T cells (green). The nuclear counter stain is DAPI (blue). Cells were fixed in paraformaldehyde, permeabilised with 0.25% Triton X100/PBS.
7. ICC staining PKC epsilon in Hela cells (green). The nuclear counter stain is DAPI (blue). Cells were fixed in paraformaldehyde, permeabilised with 0.25% Triton X100/PBS.
8. Flow cytometric analysis of SH-SY5Y cells with PKC epsilon antibody at 1/100 dilution (red) compared with an unlabelled control (cells without incubation with primary antibody; black).
verifiedActivityverifiedActivityverifiedActivityverifiedActivityverifiedActivityverifiedActivityverifiedActivityverifiedActivity
应用FCMICCIHCWB
推荐剂量
WB: 1:500-1000; IHC: 1:50-200; ICC: 1:50-200; FCM: 1:50-100
抗体种类
Monoclonal
宿主来源Rabbit
构建方式Recombinant Antibody
纯化方式ProA affinity purified
性状Liquid
缓冲液1*TBS (pH7.4), 1%BSA, 40%Glycerol. Preservative: 0.05% Sodium Azide.
研究背景This is calcium-independent, phospholipid-dependent, serine- and threonine-specific enzyme. PKC is activated by diacylglycerol which in turn phosphorylates a range of cellular proteins. PKC also serves as the receptor for phorbol esters, a class of tumor promoters.
偶联与修饰
偶联
Unconjugated
抗原信息
免疫原
Recombinant Protein
Uniprot ID
化学信息
分子量Theoretical: 84 kDa.
储存&溶解度
储存方式Store at -20°C or -80°C for 12 months. Avoid repeated freeze-thaw cycles.
运输方式Shipping with blue ice.

计算器

  • 稀释 计算器
  • 配液 计算器
Related Tags: buy Anti-PKCE Antibody (5H978) | purchase Anti-PKCE Antibody (5H978) | Anti-PKCE Antibody (5H978) cost | order Anti-PKCE Antibody (5H978) | Anti-PKCE Antibody (5H978) molecular weight