购物车
  • TargetMol
    您的购物车当前为空

Anti-PKC beta Antibody (5T436)

Synonyms: Protein kinase C beta type, Protein kinase C beta, PRKCB2, PRKCB II, Prkcb, PKCβ, PKCbeta, PKC-B, PKCB, PKC β, PKC Beta, PKC B, KPCB_HUMAN
货号 TMAC-03314 一键复制产品信息
Rating icon 还可以

Anti-PKC beta Antibody (5T436) 是一种 Rabbit 抗体,靶向 PKC beta。Anti-PKC beta Antibody (5T436) 可用于 FCM,ICC/IF,IHC,IP,WB。

Anti-PKC beta Antibody (5T436)

一键复制产品信息
Rating icon 还可以
货号 TMAC-03314

别名 Protein kinase C beta type, Protein kinase C beta, PRKCB2, PRKCB II, Prkcb, PKCβ, PKCbeta, PKC-B, PKCB, PKC β, PKC Beta, PKC B, KPCB_HUMAN

Anti-PKC beta Antibody (5T436) 是一种 Rabbit 抗体,靶向 PKC beta。Anti-PKC beta Antibody (5T436) 可用于 FCM,ICC/IF,IHC,IP,WB。

Anti-PKC beta Antibody (5T436)
规格价格库存数量
50 μL
¥ 1,490
5日内发货
100 μL
¥ 2,480
5日内发货
库存状态实时更新,以官网显示为准,现货产品可直接加购物车下单
大包装 & 定制
加入购物车
TargetMol的所有产品仅用作科学研究或药证申报,不能被用于人体,我们不向个人提供产品和服务。请您遵守承诺用途,不得违反法律法规规定用于任何其他用途。
实验操作小课堂
常见问题解答
查看更多

资源下载:产品操作手册

产品介绍


生物活性
产品描述
Anti-PKC beta Antibody (5T436) is a Rabbit antibody targeting PKC beta. Anti-PKC beta Antibody (5T436) can be used in FCM,ICC/IF,IHC,IP,WB.
别名Protein kinase C beta type, Protein kinase C beta, PRKCB2, PRKCB II, Prkcb, PKCβ, PKCbeta, PKC-B, PKCB, PKC β, PKC Beta, PKC B, KPCB_HUMAN
Ig Type
IgG
克隆号
5T436
反应种属
Human,Mouse,Rat
验证活性
1. Western blot analysis of PKC beta 2 on Raji cell lysates using anti-PKC beta 2 antibody at 1/1,000 dilution.
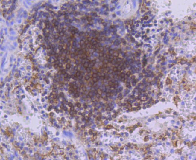
2. Immunohistochemical analysis of paraffin-embedded human spleen tissue using anti-PKC beta 2 antibody. Counter stained with hematoxylin.
3. Immunohistochemical analysis of paraffin-embedded mouse brain tissue using anti-PKC beta 2 antibody. Counter stained with hematoxylin.
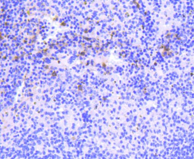
4. Immunohistochemical analysis of paraffin-embedded mouse spleen tissue using anti-PKC beta 2 antibody. Counter stained with hematoxylin.
5. ICC staining PKC beta 2 in SH-SY-5Y cells (green). The nuclear counter stain is DAPI (blue). Cells were fixed in paraformaldehyde, permeabilised with 0.25% Triton X100/PBS.
6. Flow cytometric analysis of Hela cells with PKC beta 2 antibody at 1/50 dilution (blue) compared with an unlabelled control (cells without incubation with primary antibody; red). Alexa Fluor 488-conjugated goat anti rabbit IgG was used as the secondary antibody.
verifiedActivityverifiedActivityverifiedActivityverifiedActivityverifiedActivityverifiedActivity
应用FCMICC/IFIHCIPWB
推荐剂量
WB: 1:1000-2000; IHC: 1:50-200; ICC/IF: 1:50-200; FCM: 1:50-100
抗体种类
Monoclonal
宿主来源Rabbit
构建方式Recombinant Antibody
纯化方式ProA affinity purified
性状Liquid
缓冲液1*TBS (pH7.4), 1%BSA, 40%Glycerol. Preservative: 0.05% Sodium Azide.
研究背景Members of the protein kinase C (PKC) family play a key regulatory role in a variety of cellular functions including cell growth and differentiation, gene expression, hormone secretion and membrane function. PKCs were originally identified as serine/threonine protein kinases whose activity was dependent on calcium and phospholipids. Diacylglycerols (DAG) and tumor promoting phorbol esters bind to and activate PKC. PKCs can be subdivided into at least two major classes including conventional PKC isoforms (α, βI, βII and γ) and novel PKC isoforms. Patterns of expression for each PKC isoform differ among tissues and PKC family members exhibit clear differences in their cofactor dependencies. For instance, the kinase activities of nPKC δ and ?? are independent of Ca2+. On the other hand, nPKC δ and ε, as well as all of the cPKC members, possess phorbol ester-binding activities and kinase activities.
偶联与修饰
偶联
Unconjugated
抗原信息
免疫原
Recombinant Protein
Uniprot ID
化学信息
分子量Theoretical: 77 kDa.
储存&溶解度
储存方式Store at -20°C or -80°C for 12 months. Avoid repeated freeze-thaw cycles.
运输方式Shipping with blue ice.

计算器

  • 稀释 计算器
  • 配液 计算器
Related Tags: buy Anti-PKC beta Antibody (5T436) | purchase Anti-PKC beta Antibody (5T436) | Anti-PKC beta Antibody (5T436) cost | order Anti-PKC beta Antibody (5T436) | Anti-PKC beta Antibody (5T436) molecular weight