购物车
  • TargetMol
    您的购物车当前为空

Anti-PIST Antibody (5T628)

Synonyms: PIST, GOPC1, golgi-associated PDZ and coiled-coil motif containing, FIG, dJ94G16.2, CAL
货号 TMAC-03304 一键复制产品信息
Rating icon 还可以

Anti-PIST Antibody (5T628) 是一种 Rabbit 抗体,靶向 PIST。Anti-PIST Antibody (5T628) 可用于 FCM,ICC,IF,IHC,IP,WB。

Anti-PIST Antibody (5T628)

一键复制产品信息
Rating icon 还可以
货号 TMAC-03304

别名 PIST, GOPC1, golgi-associated PDZ and coiled-coil motif containing, FIG, dJ94G16.2, CAL

Anti-PIST Antibody (5T628) 是一种 Rabbit 抗体,靶向 PIST。Anti-PIST Antibody (5T628) 可用于 FCM,ICC,IF,IHC,IP,WB。

Anti-PIST Antibody (5T628)
规格价格库存数量
50 μL
¥ 1,480
5日内发货
100 μL
¥ 2,480
5日内发货
库存状态实时更新,以官网显示为准,现货产品可直接加购物车下单
大包装 & 定制
加入购物车
TargetMol的所有产品仅用作科学研究或药证申报,不能被用于人体,我们不向个人提供产品和服务。请您遵守承诺用途,不得违反法律法规规定用于任何其他用途。
实验操作小课堂
常见问题解答
查看更多

资源下载:产品操作手册

产品介绍


生物活性
产品描述
Anti-PIST Antibody (5T628) is a Rabbit antibody targeting PIST. Anti-PIST Antibody (5T628) can be used in FCM,ICC,IF,IHC,IP,WB.
别名PIST, GOPC1, golgi-associated PDZ and coiled-coil motif containing, FIG, dJ94G16.2, CAL
Ig Type
IgG
克隆号
5T628
反应种属
Human,Mouse
验证活性
1. Western blot analysis of PIST on SiHa cell using anti-PIST antibody at 1/1,000 dilution.
2. Immunohistochemical analysis of paraffin-embedded human liver cancer tissue using anti-PIST antibody. Counter stained with hematoxylin.
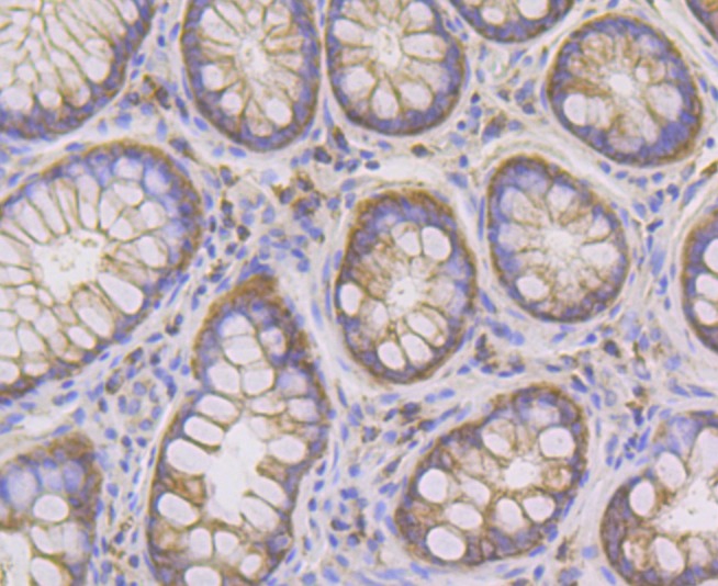
3. Immunohistochemical analysis of paraffin-embedded human colon tissue using anti-PIST antibody. Counter stained with hematoxylin.
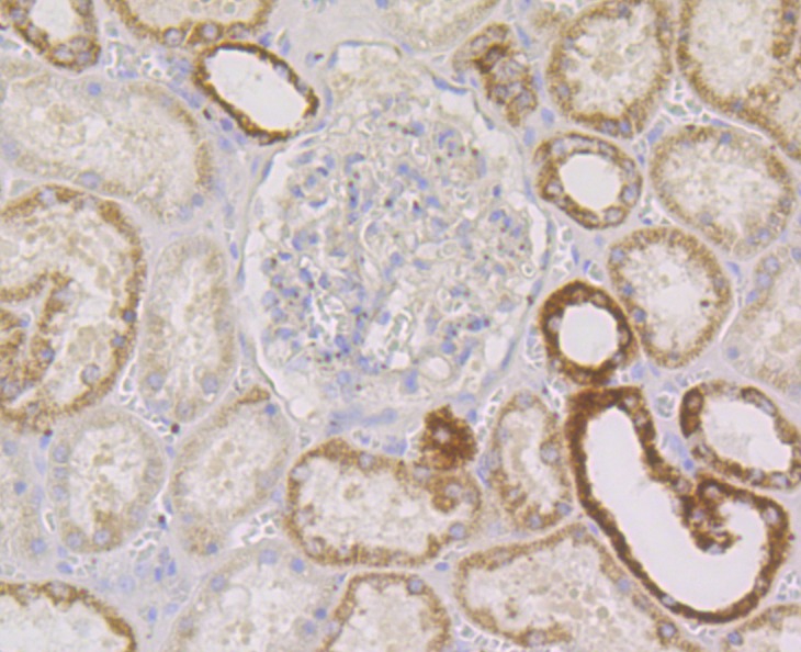
4. Immunohistochemical analysis of paraffin-embedded human kidney tissue using anti-PIST antibody. Counter stained with hematoxylin.
5. Immunohistochemical analysis of paraffin-embedded mouse brain tissue using anti-PIST antibody. Counter stained with hematoxylin.
6. ICC staining PIST in HepG2 cells (green). The nuclear counter stain is DAPI (blue). Cells were fixed in paraformaldehyde, permeabilised with 0.25% Triton X100/PBS.
7. ICC staining PIST in MCF-7 cells (green). The nuclear counter stain is DAPI (blue). Cells were fixed in paraformaldehyde, permeabilised with 0.25% Triton X100/PBS.
8. ICC staining PIST in SKOV-3 cells (green). The nuclear counter stain is DAPI (blue). Cells were fixed in paraformaldehyde, permeabilised with 0.25% Triton X100/PBS.
9. Flow cytometric analysis of MCF-7 cells with PIST antibody at 1/100 dilution (purple) compared with an unlabelled control (cells without incubation with primary antibody; yellow). Alexa Fluor 488-conjugated goat anti-rabbit IgG was used as the secondary antibody.
verifiedActivityverifiedActivityverifiedActivityverifiedActivityverifiedActivityverifiedActivityverifiedActivityverifiedActivityverifiedActivity
应用FCMICCIFIHCIPWB
推荐剂量
WB: 1:500-2000; IHC: 1:50-200; ICC: 1:50-200; IP: 1:10-50; FCM: 1:50-100
抗体种类
Monoclonal
宿主来源Rabbit
构建方式Recombinant Antibody
纯化方式ProA affinity purified
性状Liquid
缓冲液1*TBS (pH7.4), 1%BSA, 40%Glycerol. Preservative: 0.05% Sodium Azide.
研究背景PIST (PDZ protein interacting specifically with TC10), also known as GOPC (golgi associated PDZ and coiled-coil motif containing), CAL or FIG, is a 462 amino acid protein that localizes to the cytoplasm, as well as to the membrane of the golgi apparatus and to the cell junction. Expressed ubiquitously and containing one PDZ (DHR) domain, PIST functions as a homooligomer that interacts with a variety of proteins and plays a role in intracellular protein trafficking and degradation. Additionally, PIST is thought to regulate ionic currents via membrane channel modification and may also play a role in autophagy. Chromosomal aberrations in the gene encoding PIST are found in glioblastoma multiform (GBM), a common and aggressive form of brain tumor, suggesting a role for mutated PIST in carcinogenesis. Three isoforms of PIST exist due to alternative splicing events.
偶联与修饰
偶联
Unconjugated
抗原信息
免疫原
Recombinant Protein: human PIST aa 1-100
抗原种属
human
Uniprot ID
化学信息
分子量Theoretical: 51 kDa.
储存&溶解度
储存方式Store at -20°C or -80°C for 12 months. Avoid repeated freeze-thaw cycles.
运输方式Shipping with blue ice.

计算器

  • 稀释 计算器
  • 配液 计算器

关键词

Related Tags: buy Anti-PIST Antibody (5T628) | purchase Anti-PIST Antibody (5T628) | Anti-PIST Antibody (5T628) cost | order Anti-PIST Antibody (5T628) | Anti-PIST Antibody (5T628) molecular weight