购物车
  • TargetMol
    您的购物车当前为空

Anti-Phospho-STAT3 (Ser727) Antibody (9W152)

Synonyms: STAT3 (p-Ser727), STAT3 (p-S727), p-STAT3 (Ser727), p-STAT3 (S727)
货号 TMAC-03275 一键复制产品信息
Rating icon 还可以

Anti-Phospho-STAT3 (Ser727) Antibody (9W152) 是一种 Rabbit 抗体,靶向 Phospho-STAT3 (Ser727)。Anti-Phospho-STAT3 (Ser727) Antibody (9W152) 可用于 WB,IHC,ICC/IF,IP。

Anti-Phospho-STAT3 (Ser727) Antibody (9W152)

一键复制产品信息
Rating icon 还可以
货号 TMAC-03275

别名 STAT3 (p-Ser727), STAT3 (p-S727), p-STAT3 (Ser727), p-STAT3 (S727)

Anti-Phospho-STAT3 (Ser727) Antibody (9W152) 是一种 Rabbit 抗体,靶向 Phospho-STAT3 (Ser727)。Anti-Phospho-STAT3 (Ser727) Antibody (9W152) 可用于 WB,IHC,ICC/IF,IP。

Anti-Phospho-STAT3 (Ser727) Antibody (9W152)
规格价格库存数量
50 μL
¥ 1,485
5日内发货
100 μL
¥ 2,495
5日内发货
库存状态实时更新,以官网显示为准,现货产品可直接加购物车下单
大包装 & 定制
加入购物车

TargetMol的所有产品仅用作科学研究或药证申报,不能被用于人体,我们不向个人提供产品和服务。请您遵守承诺用途,不得违反法律法规规定用于任何其他用途。

实验操作小课堂
常见问题解答
查看更多

资源下载:产品操作手册

产品介绍


生物活性
产品描述
Anti-Phospho-STAT3 (Ser727) Antibody (9W152) is a Rabbit antibody targeting Phospho-STAT3 (Ser727). Anti-Phospho-STAT3 (Ser727) Antibody (9W152) can be used in ICC/IF,IHC,IP,WB.
别名
STAT3 (p-Ser727), STAT3 (p-S727), p-STAT3 (Ser727), p-STAT3 (S727)
Ig Type
IgG
克隆号
9W152
反应种属
Human,Mouse,Rat
验证活性
1. Western blot analysis of Phospho-STAT3 (S727) on different lysates using anti-Phospho-STAT3 (S727) antibody at 1/1,000 dilution. Positive control: Lane 1: Hela, Lane 2: NIH/3T3.
2. Immunohistochemical analysis of paraffin-embedded rat liver tissue using anti-Phospho-STAT3 (S727) antibody. Counter stained with hematoxylin.
3. Immunohistochemical analysis of paraffin-embedded rat brain tissue using anti-Phospho-STAT3 (S727) antibody. Counter stained with hematoxylin.
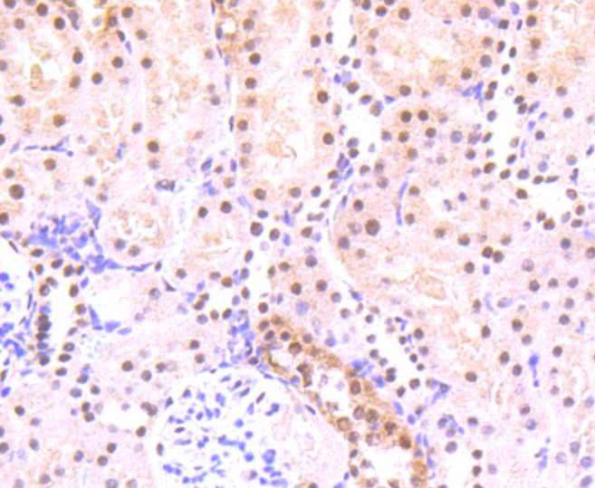
4. Immunohistochemical analysis of paraffin-embedded rat kidney tissue using anti-Phospho-STAT3 (S727) antibody. Counter stained with hematoxylin.
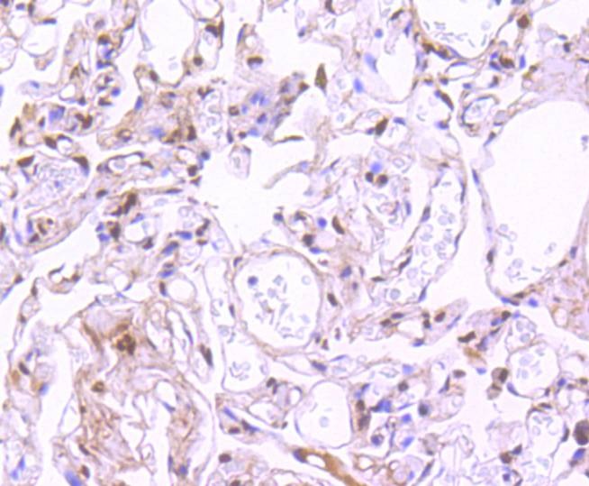
5. Immunohistochemical analysis of paraffin-embedded human lung tissue using anti-Phospho-STAT3 (S727) antibody. Counter stained with hematoxylin.
6. ICC staining Phospho-STAT3 (S727) in Hela cells (green). The nuclear counter stain is DAPI (blue). Cells were fixed in paraformaldehyde, permeabilised with 0.25% Triton X100/PBS.
7. ICC staining Phospho-STAT3 (S727) in A431 cells (green). The nuclear counter stain is DAPI (blue). Cells were fixed in paraformaldehyde, permeabilised with 0.25% Triton X100/PBS.
8. ICC staining Phospho-STAT3 (S727) in NIH/3T3 cells (green). The nuclear counter stain is DAPI (blue). Cells were fixed in paraformaldehyde, permeabilised with 0.25% Triton X100/PBS.
verifiedActivityverifiedActivityverifiedActivityverifiedActivityverifiedActivityverifiedActivityverifiedActivityverifiedActivity
应用ICC/IFIHCIPWB
推荐剂量
WB: 1:1000-2000; IHC: 1:50-200; ICC/IF: 1:50-200
抗体种类
Monoclonal
宿主来源Rabbit
构建方式Recombinant Antibody
纯化方式ProA affinity purified
性状Liquid
缓冲液1*TBS (pH7.4), 1%BSA, 40%Glycerol. Preservative: 0.05% Sodium Azide.
研究背景Membrane receptor signaling by various ligands, including interferons and growth hormones such as EGF, induces activation of JAK kinases which then leads to tyrosine phosphorylation of the various Stat transcription factors. Stat1 and Stat2 are induced by IFN-α and form a heterodimer which is part of the ISGF3 transcription factor complex. Although early reports indicate Stat3 activation by EGF and IL-6, it has been shown that Stat3β appears to be activated by both while Stat3α is activated by EGF, but not by IL-6. Highest expression of Stat4 is seen in testis and myeloid cells. IL-12 has been identified as an activator of Stat4. Stat5 has been shown to be activated by Prolactin and by IL-3. Stat6 is involved in IL-4 activated signaling pathways.
偶联与修饰
偶联
Unconjugated
其他可选修饰符
Phospho
抗原信息
免疫原
A synthesized phosphopeptide: human STAT3 around the phosphorylation site of Ser727
抗原种属
human
Uniprot ID
化学信息
分子量Theoretical: 88 kDa.
储存&溶解度
储存方式Store at -20°C or -80°C for 12 months. Avoid repeated freeze-thaw cycles.
运输方式Shipping with blue ice.

计算器

  • 稀释 计算器
  • 配液 计算器
Related Tags: buy Anti-Phospho-STAT3 (Ser727) Antibody (9W152) | purchase Anti-Phospho-STAT3 (Ser727) Antibody (9W152) | Anti-Phospho-STAT3 (Ser727) Antibody (9W152) cost | order Anti-Phospho-STAT3 (Ser727) Antibody (9W152) | Anti-Phospho-STAT3 (Ser727) Antibody (9W152) molecular weight