购物车
  • TargetMol
    您的购物车当前为空

Anti-Phospho-SIRT1 (Thr530) Antibody (4S678)

Synonyms: sirtuin 1, SIRT1 (p-Thr530), SIRT1 (p-T530), SIR2L1, p-SIRT1 (Thr530), p-SIRT1 (T530)
货号 TMAC-03266 一键复制产品信息
Rating icon 还可以

Anti-Phospho-SIRT1 (Thr530) Antibody (4S678) 是一种 Rabbit 抗体,靶向 Phospho-SIRT1 (Thr530)。Anti-Phospho-SIRT1 (Thr530) Antibody (4S678) 可用于 WB,ICC/IF,IHC,FCM。

Anti-Phospho-SIRT1 (Thr530) Antibody (4S678)

一键复制产品信息
Rating icon 还可以
货号 TMAC-03266

别名 sirtuin 1, SIRT1 (p-Thr530), SIRT1 (p-T530), SIR2L1, p-SIRT1 (Thr530), p-SIRT1 (T530)

Anti-Phospho-SIRT1 (Thr530) Antibody (4S678) 是一种 Rabbit 抗体,靶向 Phospho-SIRT1 (Thr530)。Anti-Phospho-SIRT1 (Thr530) Antibody (4S678) 可用于 WB,ICC/IF,IHC,FCM。

Anti-Phospho-SIRT1 (Thr530) Antibody (4S678)
规格价格库存数量
50 μL
¥ 1,485
5日内发货
100 μL
¥ 2,495
5日内发货
库存状态实时更新,以官网显示为准,现货产品可直接加购物车下单
大包装 & 定制
加入购物车

TargetMol的所有产品仅用作科学研究或药证申报,不能被用于人体,我们不向个人提供产品和服务。请您遵守承诺用途,不得违反法律法规规定用于任何其他用途。

实验操作小课堂
常见问题解答
查看更多

资源下载:产品操作手册

产品介绍


生物活性
产品描述
Anti-Phospho-SIRT1 (Thr530) Antibody (4S678) is a Rabbit antibody targeting Phospho-SIRT1 (Thr530). Anti-Phospho-SIRT1 (Thr530) Antibody (4S678) can be used in FCM,ICC/IF,IHC,WB.
别名
sirtuin 1, SIRT1 (p-Thr530), SIRT1 (p-T530), SIR2L1, p-SIRT1 (Thr530), p-SIRT1 (T530)
Ig Type
IgG
克隆号
4S678
反应种属
Human
验证活性
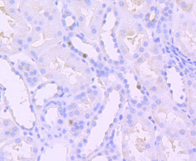
1. Immunohistochemical analysis of paraffin-embedded human kidney tissue using anti-Phospho-SIRT1 (T530) antibody. Counter stained with hematoxylin.
2. ICC staining Phospho-SIRT1 (T530) in HepG2 cells (green). The nuclear counter stain is DAPI (blue). Cells were fixed in paraformaldehyde, permeabilised with 0.25% Triton X100/PBS.
3. ICC staining Phospho-SIRT1 (T530) in Hela cells (green). The nuclear counter stain is DAPI (blue). Cells were fixed in paraformaldehyde, permeabilised with 0.25% Triton X100/PBS.
4. ICC staining Phospho-SIRT1 (T530) in 293 cells (green). The nuclear counter stain is DAPI (blue). Cells were fixed in paraformaldehyde, permeabilised with 0.25% Triton X100/PBS.
5. Flow cytometric analysis of 293 cells with Phospho-SIRT1 (T530) antibody at 1/50 dilution (red) compared with an unlabelled control (cells without incubation with primary antibody; black). Alexa Fluor 488-conjugated goat anti rabbit IgG was used as the secondary antibody.
verifiedActivityverifiedActivityverifiedActivityverifiedActivityverifiedActivity
应用FCMICC/IFIHCWB
推荐剂量
WB: 1:1000; IHC: 1:50-200; ICC/IF: 1:100-500; FCM: 1:50-100
抗体种类
Monoclonal
宿主来源Rabbit
构建方式Recombinant Antibody
纯化方式ProA affinity purified
性状Liquid
缓冲液1*TBS (pH7.4), 1%BSA, 40%Glycerol. Preservative: 0.05% Sodium Azide.
研究背景The silent information regulator (SIR2) family of genes are highly-conserved from prokaryotes to eukaryotes and are involved in diverse processes, including transcriptional regulation, cell cycle progression, DNA-damage repair and aging. In S. cerevisiae, Sir2p deacetylates histones in an NAD-dependent manner, which regulates silencing at the telomeric, rDNA and silent mating-type loci. Sir2p is the founding member of a large family, designated sirtuins, which contain a conserved catalytic domain. The human homologs, which include SIRT1-7, are divided into four main branches: SIRT1-3 are class I, SIRT4 is class II, SIRT5 is class III and SIRT6-7 are class IV. SIRT1 has the closest homology to the yeast Sir2p and is widely expressed in fetal and adult tissues. SIRT1 is highly expressed in heart, brain and skeletal muscle, with low expression in lung and placenta. SIRT1 regulates the p53-dependent DNA damage response pathway by binding to and deacetylating p53, specifically at Lys 382.
偶联与修饰
偶联
Unconjugated
其他可选修饰符
Phospho
抗原信息
免疫原
A synthesized phosphopeptide: human SIRT1 around the phosphorylation site of Thr530
抗原种属
human
Uniprot ID
化学信息
分子量Theoretical: 82 kDa.
储存&溶解度
储存方式Store at -20°C or -80°C for 12 months. Avoid repeated freeze-thaw cycles.
运输方式Shipping with blue ice.

计算器

  • 稀释 计算器
  • 配液 计算器
Related Tags: buy Anti-Phospho-SIRT1 (Thr530) Antibody (4S678) | purchase Anti-Phospho-SIRT1 (Thr530) Antibody (4S678) | Anti-Phospho-SIRT1 (Thr530) Antibody (4S678) cost | order Anti-Phospho-SIRT1 (Thr530) Antibody (4S678) | Anti-Phospho-SIRT1 (Thr530) Antibody (4S678) molecular weight