购物车
  • TargetMol
    您的购物车当前为空

Anti-Phospho-POLR2A (Ser5) Antibody (1R812)

Synonyms: RPOL2, RPO2, RpIILS, RPBh1, RPB1, RNA-directed RNA polymerase II subunit RPB1, RNA polymerase II subunit B1, p-POLR2A (Ser5), p-POLR2A (S5), Polymerase (RNA) II (DNA directed) polypeptide A 220kDa, POLRA, POLR2A (p-Ser5), POLR2A (p-S5), Polr2a, POLR2, Phospho-POLR2A (S5), hsRPB1, hRPB220, DNA-directed RNA polymerase III largest subunit, DNA-directed RNA polymerase II subunit RPB1, DNA-directed RNA polymerase II largest subunit RNA polymerase II 220 kd subunit, DNA directed RNA polymerase II A
货号 TMAC-03253 一键复制产品信息
Rating icon 还可以
202603开学季活动

Anti-Phospho-POLR2A (Ser5) Antibody (1R812) 是一种 Rabbit 抗体,靶向 Phospho-POLR2A (Ser5)。Anti-Phospho-POLR2A (Ser5) Antibody (1R812) 可用于 WB,IP,ICC/IF,IHC,FCM。

Anti-Phospho-POLR2A (Ser5) Antibody (1R812)

一键复制产品信息
Rating icon 还可以
202603开学季活动
货号 TMAC-03253

别名 RPOL2, RPO2, RpIILS, RPBh1, RPB1, RNA-directed RNA polymerase II subunit RPB1, RNA polymerase II subunit B1, p-POLR2A (Ser5), p-POLR2A (S5), Polymerase (RNA) II (DNA directed) polypeptide A 220kDa, POLRA, POLR2A (p-Ser5), POLR2A (p-S5), Polr2a, POLR2, Phospho-POLR2A (S5), hsRPB1, hRPB220, DNA-directed RNA polymerase III largest subunit, DNA-directed RNA polymerase II subunit RPB1, DNA-directed RNA polymerase II largest subunit RNA polymerase II 220 kd subunit, DNA directed RNA polymerase II A

Anti-Phospho-POLR2A (Ser5) Antibody (1R812) 是一种 Rabbit 抗体,靶向 Phospho-POLR2A (Ser5)。Anti-Phospho-POLR2A (Ser5) Antibody (1R812) 可用于 WB,IP,ICC/IF,IHC,FCM。

Anti-Phospho-POLR2A (Ser5) Antibody (1R812)
规格价格库存数量
50 μL
¥ 1,480
5日内发货
100 μL
¥ 2,485
5日内发货
库存状态实时更新,以官网显示为准,现货产品可直接加购物车下单
大包装 & 定制
加入购物车

TargetMol的所有产品仅用作科学研究或药证申报,不能被用于人体,我们不向个人提供产品和服务。请您遵守承诺用途,不得违反法律法规规定用于任何其他用途。

实验操作小课堂
常见问题解答
查看更多

资源下载:产品操作手册

产品介绍


生物活性
产品描述
Anti-Phospho-POLR2A (Ser5) Antibody (1R812) is a Rabbit antibody targeting Phospho-POLR2A (Ser5). Anti-Phospho-POLR2A (Ser5) Antibody (1R812) can be used in FCM,ICC/IF,IHC,IP,WB.
别名
RPOL2, RPO2, RpIILS, RPBh1, RPB1, RNA-directed RNA polymerase II subunit RPB1, RNA polymerase II subunit B1, p-POLR2A (Ser5), p-POLR2A (S5), Polymerase (RNA) II (DNA directed) polypeptide A 220kDa, POLRA, POLR2A (p-Ser5), POLR2A (p-S5), Polr2a, POLR2, Phospho-POLR2A (S5), hsRPB1, hRPB220, DNA-directed RNA polymerase III largest subunit, DNA-directed RNA polymerase II subunit RPB1, DNA-directed RNA polymerase II largest subunit RNA polymerase II 220 kd subunit, DNA directed RNA polymerase II A
Ig Type
IgG
克隆号
1R812
反应种属
Human,Mouse,Rat
验证活性
1. Western blot analysis of Phospho-POLR2A (S5) on different cells lysates using anti- Phospho-POLR2A (S5) antibody at 1/500 dilution. Positive control: Line 1: Hela, Line 2: MCF-7.
2. Immunohistochemical analysis of paraffin-embedded human breast cancer tissue using anti- Phospho-POLR2A (S5) antibody. Counter stained with hematoxylin.
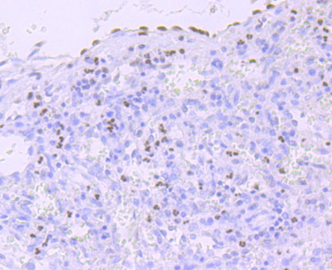
3. Immunohistochemical analysis of paraffin-embedded human spleen tissue using anti- Phospho-POLR2A (S5) antibody. Counter stained with hematoxylin.
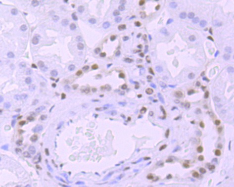
4. Immunohistochemical analysis of paraffin-embedded human kidney tissue using anti- Phospho-POLR2A (S5) antibody. Counter stained with hematoxylin.
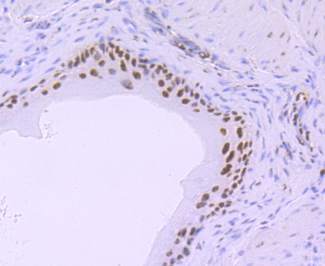
5. Immunohistochemical analysis of paraffin-embedded mouse bladder tissue using anti- Phospho-POLR2A (S5) antibody. Counter stained with hematoxylin.
6. ICC staining Phospho-POLR2A (S5) in Hela cells (red). The nuclear counter stain is DAPI (blue). Cells were fixed in paraformaldehyde, permeabilised with 0.25% Triton X100/PBS.
7. ICC staining Phospho-POLR2A (S5) in MCF-7 cells (red). The nuclear counter stain is DAPI (blue). Cells were fixed in paraformaldehyde, permeabilised with 0.25% Triton X100/PBS.
8. ICC staining Phospho-POLR2A (S5) in PC-12 cells (red). The nuclear counter stain is DAPI (blue). Cells were fixed in paraformaldehyde, permeabilised with 0.25% Triton X100/PBS.
9. Flow cytometric analysis of Hela cells with Phospho-POLR2A (S5) antibody at 1/50 dilution (red) compared with an unlabelled control (cells without incubation with primary antibody; black). Alexa Fluor 488-conjugated goat anti rabbit IgG was used as the secondary antibody.
verifiedActivityverifiedActivityverifiedActivityverifiedActivityverifiedActivityverifiedActivityverifiedActivityverifiedActivityverifiedActivity
应用FCMICC/IFIHCIPWB
推荐剂量
WB: 1:500-2000; IHC: 1:50-200; ICC/IF: 1:100-500; FCM: 1:50-100
抗体种类
Monoclonal
宿主来源Rabbit
构建方式Recombinant Antibody
纯化方式ProA affinity purified
性状Liquid
缓冲液1*TBS (pH7.4), 1%BSA, 40%Glycerol. Preservative: 0.05% Sodium Azide.
研究背景DNA-dependent RNA polymerase catalyzes the transcription of DNA into RNA using the four ribonucleoside triphosphates as substrates. Largest and catalytic component of RNA polymerase II which synthesizes mRNA precursors and many functional non-coding RNAs. Forms the polymerase active center together with the second largest subunit. Pol II is the central component of the basal RNA polymerase II transcription machinery. It is composed of mobile elements that move relative to each other. RPB1 is part of the core element with the central large cleft, the clamp element that moves to open and close the cleft and the jaws that are thought to grab the incoming DNA template. At the start of transcription, a single-stranded DNA template strand of the promoter is positioned within the central active site cleft of Pol II. A bridging helix emanates from RPB1 and crosses the cleft near the catalytic site and is thought to promote translocation of Pol II by acting as a ratchet that moves the RNA-DNA hybrid through the active site by switching from straight to bent conformations at each step of nucleotide addition. During transcription elongation, Pol II moves on the template as the transcript elongates. Elongation is influenced by the phosphorylation status of the C-terminal domain (CTD) of Pol II largest subunit (RPB1), which serves as a platform for assembly of factors that regulate transcription initiation, elongation, termination and mRNA processing. Acts as an RNA-dependent RNA polymerase when associated with small delta antigen of Hepatitis delta virus, acting both as a replicate and transcriptase for the viral RNA circular genome.
偶联与修饰
偶联
Unconjugated
其他可选修饰符
Phospho
抗原信息
免疫原
A synthesized phosphopeptide: human POLR2A around the phosphorylation site of Ser5
抗原种属
Human
Uniprot ID
化学信息
分子量Theoretical: 250 kDa.
储存&溶解度
储存方式Store at -20°C or -80°C for 12 months. Avoid repeated freeze-thaw cycles.
运输方式Shipping with blue ice.

计算器

  • 稀释 计算器
  • 配液 计算器
Related Tags: buy Anti-Phospho-POLR2A (Ser5) Antibody (1R812) | purchase Anti-Phospho-POLR2A (Ser5) Antibody (1R812) | Anti-Phospho-POLR2A (Ser5) Antibody (1R812) cost | order Anti-Phospho-POLR2A (Ser5) Antibody (1R812) | Anti-Phospho-POLR2A (Ser5) Antibody (1R812) molecular weight