购物车
  • TargetMol
    您的购物车当前为空

Anti-Phospho-P38 MAPK (Thr180) Polyclonal Antibody

Synonyms: SAPK2A, RK, PRKM15, PRKM14, p-p38 MAPK (Thr180), p-p38 MAPK (T180), Phospho-p38 MAPK (T180), p38ALPHA, p38 MAPK (p-Thr180), p38 MAPK (p-T180), p38, Mxi2, EXIP, CSPB1, Csbp2, Csbp1, CSBP
货号 TMAB-01471 一键复制产品信息
Rating icon 还可以

Anti-Phospho-P38 MAPK (Thr180) Polyclonal Antibody 是一种 Rabbit 抗体,靶向 Phospho-P38 MAPK (Thr180)。Anti-Phospho-P38 MAPK (Thr180) Polyclonal Antibody 可用于 FCM,IF,IHC-Fr,IHC-P,WB。

Anti-Phospho-P38 MAPK (Thr180) Polyclonal Antibody

一键复制产品信息
Rating icon 还可以
货号 TMAB-01471

别名 SAPK2A, RK, PRKM15, PRKM14, p-p38 MAPK (Thr180), p-p38 MAPK (T180), Phospho-p38 MAPK (T180), p38ALPHA, p38 MAPK (p-Thr180), p38 MAPK (p-T180), p38, Mxi2, EXIP, CSPB1, Csbp2, Csbp1, CSBP

Anti-Phospho-P38 MAPK (Thr180) Polyclonal Antibody 是一种 Rabbit 抗体,靶向 Phospho-P38 MAPK (Thr180)。Anti-Phospho-P38 MAPK (Thr180) Polyclonal Antibody 可用于 FCM,IF,IHC-Fr,IHC-P,WB。

Anti-Phospho-P38 MAPK (Thr180) Polyclonal Antibody
规格价格库存数量
50 μL
¥ 1,160
5日内发货
100 μL
¥ 1,960
5日内发货
200 μL
¥ 2,785
5日内发货
库存状态实时更新,以官网显示为准,现货产品可直接加购物车下单
大包装 & 定制
加入购物车
TargetMol的所有产品仅用作科学研究或药证申报,不能被用于人体,我们不向个人提供产品和服务。请您遵守承诺用途,不得违反法律法规规定用于任何其他用途。
实验操作小课堂
常见问题解答
查看更多

资源下载:产品操作手册

产品介绍


生物活性
产品描述
Anti-Phospho-P38 MAPK (Thr180) Polyclonal Antibody is a Rabbit antibody targeting Phospho-P38 MAPK (Thr180). Anti-Phospho-P38 MAPK (Thr180) Polyclonal Antibody can be used in FCM,IF,IHC-Fr,IHC-P,WB.
别名SAPK2A, RK, PRKM15, PRKM14, p-p38 MAPK (Thr180), p-p38 MAPK (T180), Phospho-p38 MAPK (T180), p38ALPHA, p38 MAPK (p-Thr180), p38 MAPK (p-T180), p38, Mxi2, EXIP, CSPB1, Csbp2, Csbp1, CSBP
Ig Type
IgG
反应种属
Human,Mouse,Rat (predicted:Chicken,Dog,Pig,Horse,Rabbit)
验证活性
1. Sample:
Muscle (Mouse) Lysate at 40 μg
Muscle (Rat) Lysate at 40 μg
Primary: Anti-phospho-P38 MAPK (Thr180) (TMAB-01471) at 1/300 dilution
Secondary: IRDye800CW Goat Anti-Rabbit IgG at 1/20000 dilution
Predicted band size: 41 kDa
Observed band size: 41 kDa
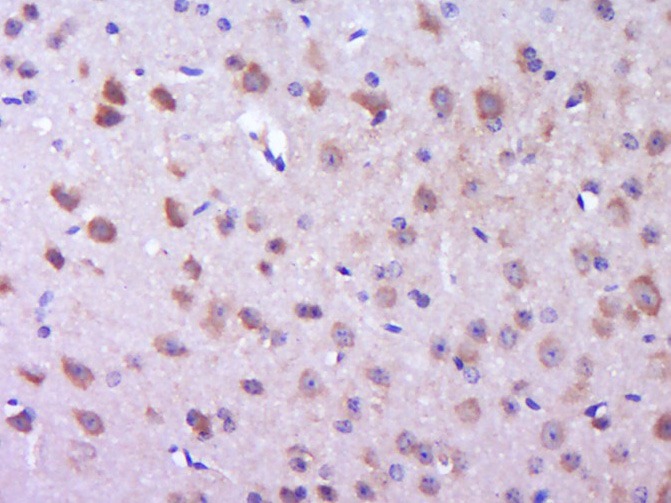
2. Paraformaldehyde-fixed, paraffin embedded (Mouse brain); Antigen retrieval by boiling in sodium citrate buffer (pH6.0) for 15 min; Block endogenous peroxidase by 3% hydrogen peroxide for 20 min; Blocking buffer (normal goat serum) at 37°C for 30 min; Antibody incubation with (p-P38 MAPK (Thr180)) Polyclonal Antibody, Unconjugated (TMAB-01471) at 1:400 overnight at 4°C, followed by operating according to SP Kit (Rabbit) instructionsand DAB staining.
3. Blank control (blue): Hela (fixed with 2% paraformaldehyde (10 min),then permeabilized with 0.3%tritionx-100 for 5 min at room temperature). Primary Antibody: Rabbit Anti-phospho-P38 MAPK (Thr180) antibody (TMAB-01471) dilution: 1 μg in 100 μL 1X PBS containing 0.5% BSA; Isotype Control Antibody: Rabbit Igg (orange),used under the same conditions); Secondary Antibody: Goat anti-rabbit IgG-FITC), Dilution: 1:200 in 1 X PBS containing 0.5% BSA.
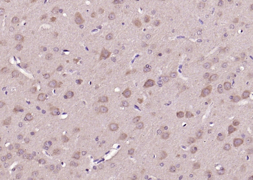
4. Paraformaldehyde-fixed, paraffin embedded (rat brain); Antigen retrieval by boiling in sodium citrate buffer (pH6.0) for 15 min; Block endogenous peroxidase by 3% hydrogen peroxide for 20 min; Blocking buffer (normal goat serum) at 37°C for 30 min; Antibody incubation with (phospho-P38 MAPK (Thr180)) Polyclonal Antibody, Unconjugated (TMAB-01471) at 1:200 overnight at 4°C, followed by operating according to SP Kit (Rabbit) instructionsand DAB staining.
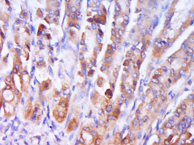
5. Paraformaldehyde-fixed, paraffin embedded (Rat stomach); Antigen retrieval by boiling in sodium citrate buffer (pH6.0) for 15 min; Block endogenous peroxidase by 3% hydrogen peroxide for 20 min; Blocking buffer (normal goat serum) at 37°C for 30 min; Antibody incubation with (p-P38 MAPK (Thr180)) Polyclonal Antibody, Unconjugated (TMAB-01471) at 1:400 overnight at 4°C, followed by operating according to SP Kit (Rabbit) instructions and DAB staining.
verifiedActivityverifiedActivityverifiedActivityverifiedActivityverifiedActivity
应用FCMIFIHC-FrIHC-PWB
推荐剂量
WB: 1:500-2000; IHC-P: 1:100-500; IHC-Fr: 1:100-500; IF: 1:100-500; FCM: 1μg/Test
抗体种类
Polyclonal
宿主来源Rabbit
亚细胞定位Cytoplasm. Nucleus.
组织特异性Brain, heart, placenta, pancreas and skeletal muscle. Expressed to a lesser extent in lung, liver and kidney.
构建方式Polyclonal Antibody
纯化方式Protein A purified
性状Liquid
缓冲液0.01M TBS (pH7.4) with 1% BSA, 0.02% Proclin300 and 50% Glycerol.
浓度1 mg/mL
研究背景The protein encoded by this gene is a member of the MAP kinase family. MAP kinases act as an integration point for multiple biochemical signals, and are involved in a wide variety of cellular processes such as proliferation, differentiation, transcription regulation and development. This kinase is activated by various environmental stresses and proinflammatory cytokines. The activation requires its phosphorylation by MAP kinase kinases(MKKs), or its autophosphorylation triggered by the interaction of MAP3K7IP1/TAB1 protein with this kinase. The substrates of this kinase include transcription regulator ATF2, MEF2C, and MAX, cell cycle regulator CDC25B, and tumor suppressor p53, which suggest the roles of this kinase in stress related transcription and cell cycle regulation, as well as in genotoxic stress response. Four alternatively spliced transcript variants of this gene encoding distinct isoforms have been reported.
抗原信息
免疫原
KLH conjugated Synthesised phosphopeptide: human MAPK14 around the phosphorylation site of Thr180
抗原种属
Human
基因名称
MAPK14
基因ID
蛋白名称
Mitogen-activated protein kinase 14
Uniprot ID
研究领域
MAPK pathway,TLR Signaling,Other Cell Signaling Kits,MAPK Pathway
功能
Serine/threonine kinase which acts as an essential component of the MAP kinase signal transduction pathway. MAPK14 is one of the four p38 MAPKs which play an important role in the cascades of cellular responses evoked by extracellular stimuli such as proinflammatory cytokines or physical stress leading to direct activation of transcription factors. Accordingly, p38 MAPKs phosphorylate a broad range of proteins and it has been estimated that they may have approximately 200 to 300 substrates each. Some of the targets are downstream kinases which are activated through phosphorylation and further phosphorylate additional targets. RPS6KA5/MSK1 and RPS6KA4/MSK2 can directly phosphorylate and activate transcription factors such as CREB1, ATF1, the NF-kappa-B isoform RELA/NFKB3, STAT1 and STAT3, but can also phosphorylate histone H3 and the nucleosomal protein HMGN1. RPS6KA5/MSK1 and RPS6KA4/MSK2 play important roles in the rapid induction of immediate-early genes in response to stress or mitogenic stimuli, either by inducing chromatin remodeling or by recruiting the transcription machinery. On the other hand, two other kinase targets, MAPKAPK2/MK2 and MAPKAPK3/MK3, participate in the control of gene expression mostly at the post-transcriptional level, by phosphorylating ZFP36 (tristetraprolin) and ELAVL1, and by regulating EEF2K, which is important for the elongation of mRNA during translation. MKNK1/MNK1 and MKNK2/MNK2, two other kinases activated by p38 MAPKs, regulate protein synthesis by phosphorylating the initiation factor EIF4E2. MAPK14 interacts also with casein kinase II, leading to its activation through autophosphorylation and further phosphorylation of TP53/p53. In the cytoplasm, the p38 MAPK pathway is an important regulator of protein turnover. For example, CFLAR is an inhibitor of TNF-induced apoptosis whose proteasome-mediated degradation is regulated by p38 MAPK phosphorylation. In a similar way, MAPK14 phosphorylates the ubiquitin ligase SIAH2, regulating its activity towards EGLN3. MAPK14 may also inhibit the lysosomal degradation pathway of autophagy by interfering with the intracellular trafficking of the transmembrane protein ATG9. Another function of MAPK14 is to regulate the endocytosis of membrane receptors by different mechanisms that impinge on the small GTPase RAB5A. In addition, clathrin-mediated EGFR internalization induced by inflammatory cytokines and UV irradiation depends on MAPK14-mediated phosphorylation of EGFR itself as well as of RAB5A effectors. Ectodomain shedding of transmembrane proteins is regulated by p38 MAPKs as well. In response to inflammatory stimuli, p38 MAPKs phosphorylate the membrane-associated metalloprotease ADAM17. Such phosphorylation is required for ADAM17-mediated ectodomain shedding of TGF-alpha family ligands, which results in the activation of EGFR signaling and cell proliferation. Another p38 MAPK substrate is FGFR1. FGFR1 can be translocated from the extracellular space into the cytosol and nucleus of target cells, and regulates processes such as rRNA synthesis and cell growth. FGFR1 translocation requires p38 MAPK activation. In the nucleus, many transcription factors are phosphorylated and activated by p38 MAPKs in response to different stimuli. Classical examples include ATF1, ATF2, ATF6, ELK1, PTPRH, DDIT3, TP53/p53 and MEF2C and MEF2A. The p38 MAPKs are emerging as important modulators of gene expression by regulating chromatin modifiers and remodelers. The promoters of several genes involved in the inflammatory response, such as IL6, IL8 and IL12B, display a p38 MAPK-dependent enrichment of histone H3 phosphorylation on 'Ser-10' (H3S10ph) in LPS-stimulated myeloid cells. This phosphorylation enhances the accessibility of the cryptic NF-kappa-B-binding sites marking promoters for increased NF-kappa-B recruitment. Phosphorylates CDC25B and CDC25C which is required for binding to 14-3-3 proteins and leads to initiation of a G2 delay after ultraviolet radiation. Phosphorylates TIAR following DNA damage, releasing TIAR from GADD45A mRNA and preventing mRNA degradation. The p38 MAPKs may also have kinase-independent roles, which are thought to be due to the binding to targets in the absence of phosphorylation. Protein O-Glc-N-acylation catalyzed by the OGT is regulated by MAPK14, and, although OGT does not seem to be phosphorylated by MAPK14, their interaction increases upon MAPK14 activation induced by glucose deprivation. This interaction may regulate OGT activity by recruiting it to specific targets such as neurofilament H, stimulating its O-Glc-N-acylation. Required in mid-fetal development for the growth of embryo-derived blood vessels in the labyrinth layer of the placenta. Also plays an essential role in developmental and stress-induced erythropoiesis, through regulation of EPO gene expression. Isoform MXI2 activation is stimulated by mitogens and oxidative stress and only poorly phosphorylates ELK1 and ATF2. Isoform EXIP may play a role in the early onset of apoptosis. Phosphorylates S100A9 at 'Thr-113'.
化学信息
分子量Theoretical: 41 kDa. Actual: 41 kDa.
储存&溶解度
储存方式Store at -20°C or -80°C for 12 months. Avoid repeated freeze-thaw cycles.
运输方式Shipping with blue ice.

计算器

  • 稀释 计算器
  • 配液 计算器
Related Tags: buy Anti-Phospho-P38 MAPK (Thr180) Polyclonal Antibody | purchase Anti-Phospho-P38 MAPK (Thr180) Polyclonal Antibody | Anti-Phospho-P38 MAPK (Thr180) Polyclonal Antibody cost | order Anti-Phospho-P38 MAPK (Thr180) Polyclonal Antibody | Anti-Phospho-P38 MAPK (Thr180) Polyclonal Antibody molecular weight