购物车
  • TargetMol
    您的购物车当前为空

Anti-Phospho-NFKB1 (Ser337) Polyclonal Antibody

Synonyms: p-NFKB1 (Ser337), p-NFKB1 (S337), Nuclear factor of kappa light polypeptide gene enhancer in B-cells 1, Nuclear factor NF-kappa-B p105 subunit, NFKB1 (p-Ser337), NFKB1 (p-S337), NFKB1, EBP-1, DNA-binding factor KBF1
货号 TMAB-01470 一键复制产品信息
Rating icon 还可以

Anti-Phospho-NFKB1 (Ser337) Polyclonal Antibody 是一种 Rabbit 抗体,靶向 Phospho-NFKB1 (Ser337)。Anti-Phospho-NFKB1 (Ser337) Polyclonal Antibody 可用于 FCM,IF,IHC-Fr,IHC-P,WB。

Anti-Phospho-NFKB1 (Ser337) Polyclonal Antibody

一键复制产品信息
Rating icon 还可以
货号 TMAB-01470

别名 p-NFKB1 (Ser337), p-NFKB1 (S337), Nuclear factor of kappa light polypeptide gene enhancer in B-cells 1, Nuclear factor NF-kappa-B p105 subunit, NFKB1 (p-Ser337), NFKB1 (p-S337), NFKB1, EBP-1, DNA-binding factor KBF1

Anti-Phospho-NFKB1 (Ser337) Polyclonal Antibody 是一种 Rabbit 抗体,靶向 Phospho-NFKB1 (Ser337)。Anti-Phospho-NFKB1 (Ser337) Polyclonal Antibody 可用于 FCM,IF,IHC-Fr,IHC-P,WB。

Anti-Phospho-NFKB1 (Ser337) Polyclonal Antibody
规格价格库存数量
50 μL
¥ 1,175
5日内发货
100 μL
¥ 1,965
5日内发货
200 μL
¥ 2,780
5日内发货
库存状态实时更新,以官网显示为准,现货产品可直接加购物车下单
大包装 & 定制
加入购物车
TargetMol的所有产品仅用作科学研究或药证申报,不能被用于人体,我们不向个人提供产品和服务。请您遵守承诺用途,不得违反法律法规规定用于任何其他用途。
实验操作小课堂
常见问题解答
查看更多

资源下载:产品操作手册

产品介绍


生物活性
产品描述
Anti-Phospho-NFKB1 (Ser337) Polyclonal Antibody is a Rabbit antibody targeting Phospho-NFKB1 (Ser337). Anti-Phospho-NFKB1 (Ser337) Polyclonal Antibody can be used in FCM,IF,IHC-Fr,IHC-P,WB.
别名p-NFKB1 (Ser337), p-NFKB1 (S337), Nuclear factor of kappa light polypeptide gene enhancer in B-cells 1, Nuclear factor NF-kappa-B p105 subunit, NFKB1 (p-Ser337), NFKB1 (p-S337), NFKB1, EBP-1, DNA-binding factor KBF1
Ig Type
IgG
反应种属
Human,Mouse (predicted:Rat,Pig,Cow)
验证活性
1. Sample:
Raji (Human) Cell Lysate at 30 μg
Primary: Anti-Phospho-NFKB1 (Ser337) (TMAB-01470) at 1/300 dilution
Secondary: IRDye800CW Goat Anti-Rabbit IgG at 1/20000 dilution
Predicted band size: 48/105 kDa
Observed band size: 48 kDa
2. Blank control (blue line): A549 (fixed with 70% ethanol (Overnight at 4°C) and then permeabilized with 90% ice-cold methanol for 30 min on ice).
Primary Antibody (green line): Rabbit Anti-Phospho-NFKB1 (Ser337) antibody (TMAB-01470), Dilution: 1 μg/10^6 cells;
Isotype Control Antibody (orange line): Rabbit IgG.
Secondary Antibody (white blue line): Goat anti-rabbit IgG-FITC, Dilution: 1 μg/test.
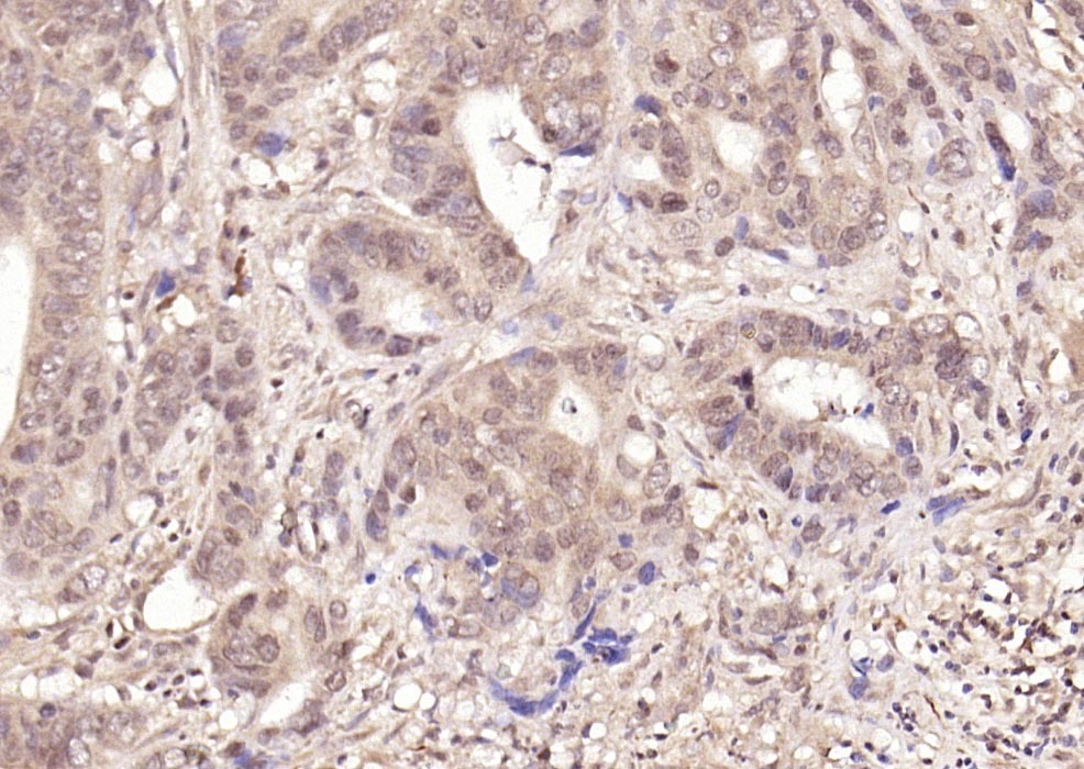
3. Paraformaldehyde-fixed, paraffin embedded (human rectal carcinoma); Antigen retrieval by boiling in sodium citrate buffer (pH6.0) for 15 min; Block endogenous peroxidase by 3% hydrogen peroxide for 20 min; Blocking buffer (normal goat serum) at 37°C for 30 min; Antibody incubation with (Phospho-NFKB1 (Ser337)) Polyclonal Antibody, Unconjugated (TMAB-01470) at 1:200 overnight at 4°C, followed by operating according to SP Kit (Rabbit) instructionsand DAB staining.
4. Paraformaldehyde-fixed, paraffin embedded (human rectal carcinoma); Antigen retrieval by boiling in sodium citrate buffer (pH6.0) for 15 min; Block endogenous peroxidase by 3% hydrogen peroxide for 20 min; Blocking buffer (normal goat serum) at 37°C for 30 min; Antibody incubation with (Phospho-NFKB1 (Ser337)) Polyclonal Antibody, Unconjugated (TMAB-01470) at 1:200 overnight at 4°C, followed by operating according to SP Kit (Rabbit) instructionsand DAB staining.
5. Paraformaldehyde-fixed, paraffin embedded (Mouse brain); Antigen retrieval by boiling in sodium citrate buffer (pH6.0) for 15 min; Block endogenous peroxidase by 3% hydrogen peroxide for 20 min; Blocking buffer (normal goat serum) at 37°C for 30 min; Antibody incubation with (Phospho-NFKB1 (Ser337)) Polyclonal Antibody, Unconjugated (TMAB-01470) at 1:400 overnight at 4°C, followed by operating according to SP Kit (Rabbit) instructionsand DAB staining.
6. Sample:
U87-MG (Human) Lysate at 30 μg
MCF7 (Human) Lysate at 30 μg
Primary: Anti-Phospho-NFKB1 (Ser337) (TMAB-01470) at 1/300 dilution
Secondary: IRDye800CW Goat Anti-Rabbit IgG at 1/20000 dilution
Predicted band size: 48/105 kDa
Observed band size: 48/105 kDa
verifiedActivityverifiedActivityverifiedActivityverifiedActivityverifiedActivityverifiedActivity
应用FCMIFIHC-FrIHC-PWB
推荐剂量
WB: 1:500-2000; IHC-P: 1:100-500; IHC-Fr: 1:100-500; IF: 1:100-500; FCM: 1μg/Test
抗体种类
Polyclonal
宿主来源Rabbit
亚细胞定位Nucleus. Cytoplasm. Note=Nuclear, but also found in the cytoplasm in an inactive form complexed to an inhibitor (I-kappa-B).
构建方式Polyclonal Antibody
纯化方式Protein A purified
性状Liquid
缓冲液0.01M TBS (pH7.4) with 1% BSA, 0.02% Proclin300 and 50% Glycerol.
浓度1 mg/mL
研究背景This gene encodes a 105 kD protein which can undergo cotranslational processing by the 26S proteasome to produce a 50 kD protein. The 105 kD protein is a Rel protein-specific transcription inhibitor and the 50 kD protein is a DNA binding subunit of the NF-kappa-B (NFKB) protein complex. NFKB is a transcription regulator that is activated by various intra- and extra-cellular stimuli such as cytokines, oxidant-free radicals, ultraviolet irradiation, and bacterial or viral products. Activated NFKB translocates into the nucleus and stimulates the expression of genes involved in a wide variety of biological functions. Inappropriate activation of NFKB has been associated with a number of inflammatory diseases while persistent inhibition of NFKB leads to inappropriate immune cell development or delayed cell growth. Two transcript variants encoding different isoforms have been found for this gene. [provided by RefSeq, Sep 2009].
抗原信息
免疫原
KLH conjugated Synthesised phosphopeptide: human NF KappaB p105 around the phosphorylation site of Ser337
抗原种属
Human
基因名称
NFKB1
基因ID
蛋白名称
Nuclear factor NF-kappa-B p105 subunit
Uniprot ID
研究领域
p50,NFkB pathway,p50,NFkB pathway,Transcription Factors,Macrophage / Inflamm.,NFkB Pathway
功能
NF-kappa-B is a pleiotropic transcription factor present in almost all cell types and is the endpoint of a series of signal transduction events that are initiated by a vast array of stimuli related to many biological processes such as inflammation, immunity, differentiation, cell growth, tumorigenesis and apoptosis. NF-kappa-B is a homo- or heterodimeric complex formed by the Rel-like domain-containing proteins RELA/p65, RELB, NFKB1/p105, NFKB1/p50, REL and NFKB2/p52 and the heterodimeric p65-p50 complex appears to be most abundant one. The dimers bind at kappa-B sites in the DNA of their target genes and the individual dimers have distinct preferences for different kappa-B sites that they can bind with distinguishable affinity and specificity. Different dimer combinations act as transcriptional activators or repressors, respectively. NF-kappa-B is controlled by various mechanisms of post-translational modification and subcellular compartmentalization as well as by interactions with other cofactors or corepressors. NF-kappa-B complexes are held in the cytoplasm in an inactive state complexed with members of the NF-kappa-B inhibitor (I-kappa-B) family. In a conventional activation pathway, I-kappa-B is phosphorylated by I-kappa-B kinases (IKKs) in response to different activators, subsequently degraded thus liberating the active NF-kappa-B complex which translocates to the nucleus. NF-kappa-B heterodimeric p65-p50 and RelB-p50 complexes are transcriptional activators. The NF-kappa-B p50-p50 homodimer is a transcriptional repressor, but can act as a transcriptional activator when associated with BCL3. NFKB1 appears to have dual functions such as cytoplasmic retention of attached NF-kappa-B proteins by p105 and generation of p50 by a cotranslational processing. The proteasome-mediated process ensures the production of both p50 and p105 and preserves their independent function, although processing of NFKB1/p105 also appears to occur post-translationally. p50 binds to the kappa-B consensus sequence 5'-GGRNNYYCC-3', located in the enhancer region of genes involved in immune response and acute phase reactions. In a complex with MAP3K8, NFKB1/p105 represses MAP3K8-induced MAPK signaling; active MAP3K8 is released by proteasome-dependent degradation of NFKB1/p105.
化学信息
分子量Theoretical: 48/105 kDa. Actual: 48 kDa.
储存&溶解度
储存方式Store at -20°C or -80°C for 12 months. Avoid repeated freeze-thaw cycles.
运输方式Shipping with blue ice.

计算器

  • 稀释 计算器
  • 配液 计算器
Related Tags: buy Anti-Phospho-NFKB1 (Ser337) Polyclonal Antibody | purchase Anti-Phospho-NFKB1 (Ser337) Polyclonal Antibody | Anti-Phospho-NFKB1 (Ser337) Polyclonal Antibody cost | order Anti-Phospho-NFKB1 (Ser337) Polyclonal Antibody | Anti-Phospho-NFKB1 (Ser337) Polyclonal Antibody molecular weight