购物车
  • 全部删除
  • TargetMol
    您的购物车当前为空

Anti-Phospho-MST1 (Thr183) Polyclonal Antibody

Rating icon 还可以
产品编号 TMAB-01456
别名 YSK3, TIIAC, serine/threonine kinase 4, p-MST1 (Thr183), p-MST1 (T183), MST1 (p-Thr183), MST1 (p-T183), MST1, KRS2

Anti-Phospho-MST1 (Thr183) Polyclonal Antibody 是一种 Rabbit 抗体,靶向 Phospho-MST1 (Thr183)。Anti-Phospho-MST1 (Thr183) Polyclonal Antibody 可用于 FCM,ICC/IF,IF,IHC-Fr,IHC-P。

Anti-Phospho-MST1 (Thr183) Polyclonal Antibody

Anti-Phospho-MST1 (Thr183) Polyclonal Antibody

一键复制产品信息
Rating icon 还可以
产品编号 TMAB-01456 别名 YSK3, TIIAC, serine/threonine kinase 4, p-MST1 (Thr183), p-MST1 (T183), MST1 (p-Thr183), MST1 (p-T183), MST1, KRS2

Anti-Phospho-MST1 (Thr183) Polyclonal Antibody 是一种 Rabbit 抗体,靶向 Phospho-MST1 (Thr183)。Anti-Phospho-MST1 (Thr183) Polyclonal Antibody 可用于 FCM,ICC/IF,IF,IHC-Fr,IHC-P。

规格价格库存数量
50 μL
¥ 1,175
5日内发货
100 μL
¥ 1,965
5日内发货
200 μL
¥ 2,780
5日内发货
大包装 & 定制
加入购物车
TargetMol 的所有产品仅用作科学研究或药证申报,不能被用于人体,我们不向个人提供产品和服务。请您遵守承诺用途,不得违反法律法规规定用于任何其他用途。
实验操作小课堂
常见问题解答
查看更多
联系我们获取更多批次信息
资源下载

产品介绍

生物活性
产品描述
Anti-Phospho-MST1 (Thr183) Polyclonal Antibody is a Rabbit antibody targeting Phospho-MST1 (Thr183). Anti-Phospho-MST1 (Thr183) Polyclonal Antibody can be used in FCM,ICC/IF,IF,IHC-Fr,IHC-P.
别名YSK3, TIIAC, serine/threonine kinase 4, p-MST1 (Thr183), p-MST1 (T183), MST1 (p-Thr183), MST1 (p-T183), MST1, KRS2
Ig Type
IgG
交叉反应
Human (predicted:Mouse,Rat,Chicken,Cow,Horse,Rabbit)
验证活性
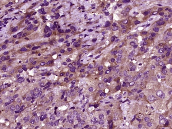
1. Paraformaldehyde-fixed, paraffin embedded (human liver carcinoma); Antigen retrieval by boiling in sodium citrate buffer (pH6.0) for 15 min; Block endogenous peroxidase by 3% hydrogen peroxide for 20 min; Blocking buffer (normal goat serum) at 37°C for 30 min; Antibody incubation with (MST1 (Thr183)) Polyclonal Antibody, Unconjugated (TMAB-01456) at 1:400 overnight at 4°C, followed by operating according to SP Kit (Rabbit) instructionsand DAB staining.
2. HepG2 cell; 4% Paraformaldehyde-fixed; Triton X-100 at room temperature for 20 min; Blocking buffer (normal goat serum) at 37°C for 20 min; Antibody incubation with (Phospho-MST1 (Thr183)) polyclonal Antibody, Unconjugated (TMAB-01456) 1:25, 90 minutes at 37°C; followed by a conjugated Goat Anti-Rabbit IgG antibody at 37°C for 90 minutes, DAPI (blue) was used to stain the cell nucleus.
3. Blank control (black line): HepG2. Primary Antibody (green line): Rabbit Anti-Phospho-MST1 (Thr183) antibody (TMAB-01456)
Dilution: 2 μg/Test;
Secondary Antibody (white blue line): Goat anti-rabbit IgG-FITC
Dilution: 0.5 μg/Test.
Isotype control (orange line): Normal Rabbit IgG
Protocol
The cells were fixed with 4% PFA (10 min at room temperature) and then permeabilized with 90% ice-cold methanol for 20 min at-20°C, The cells were then incubated in 5% BSA to block non-specific protein-protein interactions for 30 min at room temperature. Cells stained with Primary Antibody for 30 min at room temperature. The secondary antibody used for 40 min at room temperature.
verifiedActivityverifiedActivityverifiedActivity
应用FCMICC/IFIFIHC-FrIHC-P
推荐剂量
IHC-P: 1:100-500; IHC-Fr: 1:100-500; ICC/IF: 1:25; IF: 1:100-500; FCM: 2ug/Test
抗体种类
Polyclonal
宿主来源Rabbit
亚细胞定位Cytoplasm. Nucleus. Note=The caspase-cleaved form cycles between the nucleus and cytoplasm.
组织特异性Expressed in prostate cancer and levels increase from the normal to the malignant state (at protein level). Ubiquitously expressed.
构建方式Polyclonal Antibody
纯化方式Protein A purified
性状Liquid
缓冲液0.01M TBS (pH7.4) with 1% BSA, 0.02% Proclin300 and 50% Glycerol.
浓度1 mg/mL
研究背景The protein encoded by this gene is a cytoplasmic kinase that is structurally similar to the yeast Ste20p kinase, which acts upstream of the stress-induced mitogen-activated protein kinase cascade. The encoded protein can phosphorylate myelin basic protein and undergoes autophosphorylation. A caspase-cleaved fragment of the encoded protein has been shown to be capable of phosphorylating histone H2B. The particular phosphorylation catalyzed by this protein has been correlated with apoptosis, and it's possible that this protein induces the chromatin condensation observed in this process. [provided by RefSeq, Jul 2008]
抗原信息
免疫原
KLH conjugated Synthesised phosphopeptide: human Mst1 around the phosphorylation site of Thr183
抗原种属
Human
基因名称
STK4
基因ID
蛋白名称
Serine/threonine-protein kinase 4
Uniprot ID
研究领域
Apoptosis,Hypertrophy,Other Kinases
功能
Stress-activated, pro-apoptotic kinase which, following caspase-cleavage, enters the nucleus and induces chromatin condensation followed by internucleosomal DNA fragmentation. Key component of the Hippo signaling pathway which plays a pivotal role in organ size control and tumor suppression by restricting proliferation and promoting apoptosis. The core of this pathway is composed of a kinase cascade wherein STK3/MST2 and STK4/MST1, in complex with its regulatory protein SAV1, phosphorylates and activates LATS1/2 in complex with its regulatory protein MOB1, which in turn phosphorylates and inactivates YAP1 oncoprotein and WWTR1/TAZ. Phosphorylation of YAP1 by LATS2 inhibits its translocation into the nucleus to regulate cellular genes important for cell proliferation, cell death, and cell migration. STK3/MST2 and STK4/MST1 are required to repress proliferation of mature hepatocytes, to prevent activation of facultative adult liver stem cells (oval cells), and to inhibit tumor formation (By similarity). Phosphorylates 'Ser-14' of histone H2B (H2BS14ph) during apoptosis. Phosphorylates FOXO3 upon oxidative stress, which results in its nuclear translocation and cell death initiation. Phosphorylates MOBKL1A, MOBKL1B and RASSF2. Phosphorylates TNNI3 (cardiac Tn-I) and alters its binding affinity to TNNC1 (cardiac Tn-C) and TNNT2 (cardiac Tn-T). Phosphorylates FOXO1 on 'Ser-212' and regulates its activation and stimulates transcription of PMAIP1 in a FOXO1-dependent manner. Phosphorylates SIRT1 and inhibits SIRT1-mediated p53/TP53 deacetylation, thereby promoting p53/TP53 dependent transcription and apoptosis upon DNA damage. Acts as an inhibitor of PKB/AKT1. Phosphorylates AR on 'Ser-650' and suppresses its activity by intersecting with PKB/AKT1 signaling and antagonizing formation of AR-chromatin complexes.
化学信息
分子量Theoretical: 56 kDa.
存储&运输
储存方式Store at -20°C or -80°C for 12 months. Avoid repeated freeze-thaw cycles.
运输方式Shipping with blue ice.

计算器

  • 稀释 计算器

关键词

评论列表

4个月前
5.0
Rating icon 很棒

评论内容

Related Tags: buy Anti-Phospho-MST1 (Thr183) Polyclonal Antibody | purchase Anti-Phospho-MST1 (Thr183) Polyclonal Antibody | Anti-Phospho-MST1 (Thr183) Polyclonal Antibody cost | order Anti-Phospho-MST1 (Thr183) Polyclonal Antibody | Anti-Phospho-MST1 (Thr183) Polyclonal Antibody molecular weight