购物车
  • TargetMol
    您的购物车当前为空

Anti-Phospho-IRF3 (Ser386) Polyclonal Antibody

Synonyms: p-IRF3 (Ser386), p-IRF3 (S386), Phospho-IRF3 (S386), MGC94729, IRF3 (p-Ser386), IRF3 (p-S386), IRF 3, Interferon regulatory factor 3, IIAE7
货号 TMAB-01434 一键复制产品信息
Rating icon 还可以

Anti-Phospho-IRF3 (Ser386) Polyclonal Antibody 是一种 Rabbit 抗体,靶向 Phospho-IRF3 (Ser386)。Anti-Phospho-IRF3 (Ser386) Polyclonal Antibody 可用于 FCM, IF, IHC-Fr, IHC-P, WB。

Anti-Phospho-IRF3 (Ser386) Polyclonal Antibody

一键复制产品信息
Rating icon 还可以
货号 TMAB-01434

别名 p-IRF3 (Ser386), p-IRF3 (S386), Phospho-IRF3 (S386), MGC94729, IRF3 (p-Ser386), IRF3 (p-S386), IRF 3, Interferon regulatory factor 3, IIAE7

Anti-Phospho-IRF3 (Ser386) Polyclonal Antibody 是一种 Rabbit 抗体,靶向 Phospho-IRF3 (Ser386)。Anti-Phospho-IRF3 (Ser386) Polyclonal Antibody 可用于 FCM, IF, IHC-Fr, IHC-P, WB。

Anti-Phospho-IRF3 (Ser386) Polyclonal Antibody
规格价格库存数量
50 μL
¥ 1,160
5日内发货
100 μL
¥ 1,975
5日内发货
200 μL
¥ 2,790
5日内发货
库存状态实时更新,以官网显示为准,现货产品可直接加购物车下单
大包装 & 定制
加入购物车
TargetMol的所有产品仅用作科学研究或药证申报,不能被用于人体,我们不向个人提供产品和服务。请您遵守承诺用途,不得违反法律法规规定用于任何其他用途。
实验操作小课堂
常见问题解答
查看更多

资源下载:产品操作手册

产品介绍


生物活性
产品描述
Anti-Phospho-IRF3 (Ser386) Polyclonal Antibody is a Rabbit antibody targeting Phospho-IRF3 (Ser386). Anti-Phospho-IRF3 (Ser386) Polyclonal Antibody can be used in FCM, IF, IHC-Fr, IHC-P, WB.
别名p-IRF3 (Ser386), p-IRF3 (S386), Phospho-IRF3 (S386), MGC94729, IRF3 (p-Ser386), IRF3 (p-S386), IRF 3, Interferon regulatory factor 3, IIAE7
Ig Type
IgG
反应种属
Human,Mouse (predicted:Rat,Dog,Pig,Cow,Rabbit)
验证活性
1. Paraformaldehyde-fixed, paraffin embedded (human brain glioma); Antigen retrieval by boiling in sodium citrate buffer (pH6.0) for 15 min; Block endogenous peroxidase by 3% hydrogen peroxide for 20 min; Blocking buffer (normal goat serum) at 37°C for 30 min; Antibody incubation with (IRF3 (Ser386)) Polyclonal Antibody, Unconjugated (TMAB-01434) at 1:400 overnight at 4°C, followed by operating according to SP Kit (Rabbit) instructionsand DAB staining.
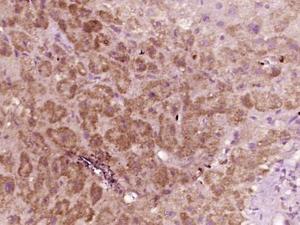
2. Paraformaldehyde-fixed, paraffin embedded (human liver carcinoma); Antigen retrieval by boiling in sodium citrate buffer (pH6.0) for 15 min; Block endogenous peroxidase by 3% hydrogen peroxide for 20 min; Blocking buffer (normal goat serum) at 37°C for 30 min; Antibody incubation with (IRF3 (Ser386)) Polyclonal Antibody, Unconjugated (TMAB-01434) at 1:400 overnight at 4°C, followed by operating according to SP Kit (Rabbit) instructionsand DAB staining.
3. Sample: Bones (Mouse) Lysate at 40 μg
Primary: Anti-phospho-IRF3 (Ser386) (TMAB-01434) at 1/300 dilution
Secondary: IRDye800CW Goat Anti-Rabbit IgG at 1/20000 dilution
Predicted band size: 47 kDa
Observed band size: 47 kDa
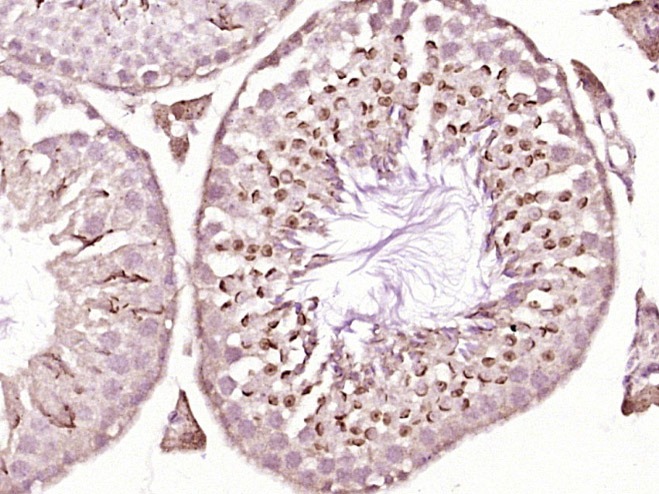
4. Paraformaldehyde-fixed, paraffin embedded (mouse testis tissue); Antigen retrieval by boiling in sodium citrate buffer (pH6.0) for 15 min; Block endogenous peroxidase by 3% hydrogen peroxide for 20 min; Blocking buffer (normal goat serum) at 37°C for 30 min; Antibody incubation with (IRF3 (Ser386)) Polyclonal Antibody, Unconjugated (TMAB-01434) at 1:400 overnight at 4°C, followed by operating according to SP Kit (Rabbit) instructionsand DAB staining.
5. Paraformaldehyde-fixed, paraffin embedded (mouse brain tissue); Antigen retrieval by boiling in sodium citrate buffer (pH6.0) for 15 min; Block endogenous peroxidase by 3% hydrogen peroxide for 20 min; Blocking buffer (normal goat serum) at 37°C for 30 min; Antibody incubation with (IRF3 (Ser386)) Polyclonal Antibody, Unconjugated (TMAB-01434) at 1:400 overnight at 4°C, followed by operating according to SP Kit (Rabbit) instructionsand DAB staining.
6. Blank control: A431. Primary Antibody (green line): Rabbit Anti-phospho-IRF3 (Ser386) antibody (TMAB-01434)
Dilution: 1 μg/10^6 cells;
Isotype Control Antibody (orange line): Rabbit IgG.
Secondary Antibody: Goat anti-rabbit IgG-AF647
Dilution: 1 μg/test.
Protocol
The cells were fixed with 4% PFA (10 min at room temperature) and then permeabilized with 90% ice-cold methanol for 20 min at-20°C. The cells were then incubated in 5% BSA to block non-specific protein-protein interactions for 30 min at at room temperature. Cells stained with Primary Antibody for 30 min at room temperature. The secondary antibody used for 40 min at room temperature.
verifiedActivityverifiedActivityverifiedActivityverifiedActivityverifiedActivityverifiedActivity
应用FCMIFIHC-FrIHC-PWB
推荐剂量
FCM=1 μg/Test; IF=1:100-500; IHC-Fr=1:100-500; IHC-P=1:100-500; WB=1:500-2000
抗体种类
Polyclonal
宿主来源Rabbit
亚细胞定位Cytoplasm. Nucleus. Note=Shuttles between cytoplasmic and nuclear compartments, with export being the prevailing effect. When activated, IRF3 interaction with CREBBP prevents its export to the cytoplasm.
组织特异性Expressed constitutively in a variety of tissues.
构建方式Polyclonal Antibody
纯化方式Protein A purified
性状Liquid
缓冲液0.01M TBS (pH7.4) with 1% BSA, 0.02% Proclin300 and 50% Glycerol.
浓度1 mg/mL
研究背景This gene encodes a member of the interferon regulatory transcription factor (IRF) family. The encoded protein is found in an inactive cytoplasmic form that upon serine/threonine phosphorylation forms a complex with CREBBP. This complex translocates to the nucleus and activates the transcription of interferons alpha and beta, as well as other interferon-induced genes. Alternatively spliced transcript variants encoding multiple isoforms have been observed for this gene. [provided by RefSeq, Nov 2011].
抗原信息
免疫原
KLH conjugated synthesised phosphopeptide: human IRF3 around the phosphorylation site of Ser386
抗原种属
Human
基因名称
IRF3
基因ID
蛋白名称
Interferon regulatory factor 3
Uniprot ID
研究领域
SARS Coronavirus,TLR Signaling,Interferons,Other factors
功能
Key transcriptional regulator of type I interferon (IFN)-dependent immune responses and plays a critical role in the innate immune response against DNA and RNA viruses. Regulates the transcription of type I IFN genes (IFN-alpha and IFN-beta) and IFN-stimulated genes (ISG) by binding to an interferon-stimulated response element (ISRE) in their promoters. Acts as a more potent activator of the IFN-beta (IFNB) gene than the IFN-alpha (IFNA) gene and plays a critical role in both the early and late phases of the IFNA/B gene induction. Found in an inactive form in the cytoplasm of uninfected cells and following viral infection, double-stranded RNA (dsRNA), or toll-like receptor (TLR) signaling, becomes phosphorylated by IKBKE and TBK1 kinases. This induces a conformational change, leading to its dimerization and nuclear localization and association with CREB binding protein (CREBBP) to form dsRNA-activated factor 1 (DRAF1), a complex which activates the transcription of the type I IFN and ISG genes. Can activate distinct gene expression programs in macrophages and can induce significant apoptosis in primary macrophages.
化学信息
分子量Theoretical: 47 kDa. Actual: 47 kDa.
储存&溶解度
储存方式Store at -20°C or -80°C for 12 months. Avoid repeated freeze-thaw cycles.
运输方式Shipping with blue ice.

计算器

  • 稀释 计算器
  • 配液 计算器
Related Tags: buy Anti-Phospho-IRF3 (Ser386) Polyclonal Antibody | purchase Anti-Phospho-IRF3 (Ser386) Polyclonal Antibody | Anti-Phospho-IRF3 (Ser386) Polyclonal Antibody cost | order Anti-Phospho-IRF3 (Ser386) Polyclonal Antibody | Anti-Phospho-IRF3 (Ser386) Polyclonal Antibody molecular weight