购物车
  • TargetMol
    您的购物车当前为空

Anti-Phospho-IRE1 (Ser726) Polyclonal Antibody

Synonyms: p-IRE1 (Ser726), p-IRE1 (S726), IRE1P, IRE1a, IRE1 (p-Ser726), IRE1 (p-S726), IRE1, hIRE1p, endoplasmic reticulum to nucleus signaling 1
货号 TMAB-01433 一键复制产品信息
Rating icon 还可以
202603开学季活动

Anti-Phospho-IRE1 (Ser726) Polyclonal Antibody 是一种 Rabbit 抗体,靶向 Phospho-IRE1 (Ser726)。Anti-Phospho-IRE1 (Ser726) Polyclonal Antibody 可用于 FCM, IF, IHC-Fr, IHC-P。

Anti-Phospho-IRE1 (Ser726) Polyclonal Antibody

一键复制产品信息
Rating icon 还可以
202603开学季活动
货号 TMAB-01433

别名 p-IRE1 (Ser726), p-IRE1 (S726), IRE1P, IRE1a, IRE1 (p-Ser726), IRE1 (p-S726), IRE1, hIRE1p, endoplasmic reticulum to nucleus signaling 1

Anti-Phospho-IRE1 (Ser726) Polyclonal Antibody 是一种 Rabbit 抗体,靶向 Phospho-IRE1 (Ser726)。Anti-Phospho-IRE1 (Ser726) Polyclonal Antibody 可用于 FCM, IF, IHC-Fr, IHC-P。

Anti-Phospho-IRE1 (Ser726) Polyclonal Antibody
规格价格库存数量
50 μL
¥ 1,170
5日内发货
100 μL
¥ 1,965
5日内发货
200 μL
¥ 2,790
5日内发货
库存状态实时更新,以官网显示为准,现货产品可直接加购物车下单
大包装 & 定制
加入购物车

TargetMol的所有产品仅用作科学研究或药证申报,不能被用于人体,我们不向个人提供产品和服务。请您遵守承诺用途,不得违反法律法规规定用于任何其他用途。

实验操作小课堂
常见问题解答
查看更多

资源下载:产品操作手册

产品介绍


生物活性
产品描述
Anti-Phospho-IRE1 (Ser726) Polyclonal Antibody is a Rabbit antibody targeting Phospho-IRE1 (Ser726). Anti-Phospho-IRE1 (Ser726) Polyclonal Antibody can be used in FCM, IF, IHC-Fr, IHC-P.
别名
p-IRE1 (Ser726), p-IRE1 (S726), IRE1P, IRE1a, IRE1 (p-Ser726), IRE1 (p-S726), IRE1, hIRE1p, endoplasmic reticulum to nucleus signaling 1
Ig Type
IgG
反应种属
Human,Rat (predicted:Mouse,Dog,Pig,Cow,Horse,Rabbit)
验证活性
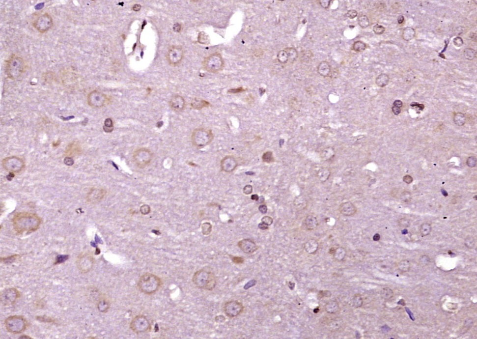
1. Paraformaldehyde-fixed, paraffin embedded (rat brain tissue); Antigen retrieval by boiling in sodium citrate buffer (pH6.0) for 15 min; Block endogenous peroxidase by 3% hydrogen peroxide for 20 min; Blocking buffer (normal goat serum) at 37°C for 30 min; Antibody incubation with (IRE1a (Ser 726)) Polyclonal Antibody, Unconjugated (TMAB-01433) at 1:400 overnight at 4°C, followed by operating according to SP Kit (Rabbit) instructionsand DAB staining.
2. Blank control: Raji.
Primary Antibody (green line): Rabbit Anti-phospho-IRE1a (Ser 726) antibody (TMAB-01433)
Dilution: 1 μg/10^6 cells;
Isotype Control Antibody (orange line): Rabbit IgG.
Secondary Antibody: Goat anti-rabbit IgG-PE
Dilution: 1 μg/test.
Protocol
The cells were fixed with 4% PFA (10 min at room temperature) and then permeabilized with PBST for 20 min at room temperature. The cells were then incubated in 5% BSA to block non-specific protein-protein interactions for 30 min at at room temperature. Cells stained with Primary Antibody for 30 min at room temperature. The secondary antibody used for 40 min at room temperature.
verifiedActivityverifiedActivity
应用FCMIFIHC-FrIHC-P
推荐剂量
IHC-P: 1:100-500; IHC-Fr: 1:100-500; IF: 1:100-500; FCM: 1ug/test
抗体种类
Polyclonal
宿主来源Rabbit
亚细胞定位Endoplasmic reticulum membrane; Single-pass type I membrane protein.
组织特异性Ubiquitously expressed. High levels observed in pancreatic tissue.
构建方式Polyclonal Antibody
纯化方式Protein A purified
性状Liquid
缓冲液0.01M TBS (pH7.4) with 1% BSA, 0.02% Proclin300 and 50% Glycerol.
浓度1 mg/mL
研究背景ERN2, endoplasmic reticulum to nucleus signaling 2, induces translational repression through 28S ribosomal RNA cleavage in response to ER stress. It is pro-apoptotic and appears to play no role in the unfolded-protein response, unlike closely related proteins.
抗原信息
免疫原
KLH conjugated synthesised phosphopeptide: human IRE1a around the phosphorylation site of Ser726
抗原种属
Human
基因名称
ERN1
基因ID
蛋白名称
Serine/threonine-protein kinase/endoribonuclease IRE1
Uniprot ID
研究领域
Other Kinases
功能
Induces translational repression through 28S ribosomal RNA cleavage in response to ER stress. Pro-apoptotic. Appears to play no role in the unfolded-protein response, unlike closely related proteins.
化学信息
分子量Theoretical: 107 kDa.
储存&溶解度
储存方式Store at -20°C or -80°C for 12 months. Avoid repeated freeze-thaw cycles.
运输方式Shipping with blue ice.

计算器

  • 稀释 计算器
  • 配液 计算器
Related Tags: buy Anti-Phospho-IRE1 (Ser726) Polyclonal Antibody | purchase Anti-Phospho-IRE1 (Ser726) Polyclonal Antibody | Anti-Phospho-IRE1 (Ser726) Polyclonal Antibody cost | order Anti-Phospho-IRE1 (Ser726) Polyclonal Antibody | Anti-Phospho-IRE1 (Ser726) Polyclonal Antibody molecular weight