购物车
  • 全部删除
  • TargetMol
    您的购物车当前为空

Anti-Phospho-IKBKA/IKBKB (Ser176, 180) Polyclonal Antibody

Rating icon 还可以
产品编号 TMAB-01431
别名 TCF16, p-IKK alpha/beta (Ser176, 180), p-IKK alpha/beta (S176, 180), Nuclear factor of kappa light chain gene enhancer in B cells inhibitor, Nuclear Factor Of Kappa Light Chain Gene Enhancer In B Cells Inhibitor, Nuclear factor NFkappaB inhibitor kinase alpha, Nuclear factor NF kappa B inhibitor kinase beta, Nuclear factor NF kappa B inhibitor kinase alpha, Nuclear Factor Kappa B Inhibitor Kinase alpha, NFKBIKB, NFKBIKA, MGC131801, Inhibitor of nuclear factor kappa B kinase subunit beta, Inhibitor of nuclear factor kappa B kinase beta subunit, Inhibitor Of Nuclear Factor Kappa B Kinase alpha Subunit, Inhibitor of kappa light polypeptide gene enhancer in B cells kinase beta, Inhibitor Of Kappa Light Polypeptide Gene Enhancer In B Cells, Inhibitor of kappa light polypeptide gene enhancer in B cells, Inhibitor of kappa light chain gene enhancer in B cells, IKKB, IKKalpha, IKKAI kappa B kinase 2, IKKA, IKK2, IKK1, IKK beta, IKK B, IKK alpha/beta (p-Ser176, 180), IKK alpha/beta (p-S176, 180), IKK alpha, IKK a kinase, IKK A, IKK 2, IKK 1, IkBKB, IKBKA, IkB kinase alpha subunit, IkappaB kinase, I kappa B kinase beta, I Kappa B Kinase alpha, I Kappa B Kinase 1, Conserved helix loop ubiquitous kinase, Conserved Helix Loop Helix Ubiquitous Kinase, CHUK1, CHUK

Anti-Phospho-IKBKA/IKBKB (Ser176, 180) Polyclonal Antibody 是一种 Rabbit 抗体,靶向 Phospho-IKBKA/IKBKB (Ser176, 180)。Anti-Phospho-IKBKA/IKBKB (Ser176, 180) Polyclonal Antibody 可用于 FCM,ICC/IF,IF,IHC-Fr,IHC-P。

Anti-Phospho-IKBKA/IKBKB (Ser176, 180) Polyclonal Antibody

Anti-Phospho-IKBKA/IKBKB (Ser176, 180) Polyclonal Antibody

一键复制产品信息
Rating icon 还可以
产品编号 TMAB-01431 别名 TCF16, p-IKK alpha/beta (Ser176, 180), p-IKK alpha/beta (S176, 180), Nuclear factor of kappa light chain gene enhancer in B cells inhibitor, Nuclear Factor Of Kappa Light Chain Gene Enhancer In B Cells Inhibitor, Nuclear factor NFkappaB inhibitor kinase alpha, Nuclear factor NF kappa B inhibitor kinase beta, Nuclear factor NF kappa B inhibitor kinase alpha, Nuclear Factor Kappa B Inhibitor Kinase alpha, NFKBIKB, NFKBIKA, MGC131801, Inhibitor of nuclear factor kappa B kinase subunit beta, Inhibitor of nuclear factor kappa B kinase beta subunit, Inhibitor Of Nuclear Factor Kappa B Kinase alpha Subunit, Inhibitor of kappa light polypeptide gene enhancer in B cells kinase beta, Inhibitor Of Kappa Light Polypeptide Gene Enhancer In B Cells, Inhibitor of kappa light polypeptide gene enhancer in B cells, Inhibitor of kappa light chain gene enhancer in B cells, IKKB, IKKalpha, IKKAI kappa B kinase 2, IKKA, IKK2, IKK1, IKK beta, IKK B, IKK alpha/beta (p-Ser176, 180), IKK alpha/beta (p-S176, 180), IKK alpha, IKK a kinase, IKK A, IKK 2, IKK 1, IkBKB, IKBKA, IkB kinase alpha subunit, IkappaB kinase, I kappa B kinase beta, I Kappa B Kinase alpha, I Kappa B Kinase 1, Conserved helix loop ubiquitous kinase, Conserved Helix Loop Helix Ubiquitous Kinase, CHUK1, CHUK

Anti-Phospho-IKBKA/IKBKB (Ser176, 180) Polyclonal Antibody 是一种 Rabbit 抗体,靶向 Phospho-IKBKA/IKBKB (Ser176, 180)。Anti-Phospho-IKBKA/IKBKB (Ser176, 180) Polyclonal Antibody 可用于 FCM,ICC/IF,IF,IHC-Fr,IHC-P。

规格价格库存数量
50 μL
¥ 1,175
5日内发货
100 μL
¥ 1,960
5日内发货
200 μL
¥ 2,795
5日内发货
大包装 & 定制
加入购物车
TargetMol 的所有产品仅用作科学研究或药证申报,不能被用于人体,我们不向个人提供产品和服务。请您遵守承诺用途,不得违反法律法规规定用于任何其他用途。
实验操作小课堂
常见问题解答
查看更多
联系我们获取更多批次信息
资源下载

产品介绍

生物活性
产品描述
Anti-Phospho-IKBKA/IKBKB (Ser176, 180) Polyclonal Antibody is a Rabbit antibody targeting Phospho-IKBKA/IKBKB (Ser176, 180). Anti-Phospho-IKBKA/IKBKB (Ser176, 180) Polyclonal Antibody can be used in FCM,ICC/IF,IF,IHC-Fr,IHC-P.
别名TCF16, p-IKK alpha/beta (Ser176, 180), p-IKK alpha/beta (S176, 180), Nuclear factor of kappa light chain gene enhancer in B cells inhibitor, Nuclear Factor Of Kappa Light Chain Gene Enhancer In B Cells Inhibitor, Nuclear factor NFkappaB inhibitor kinase alpha, Nuclear factor NF kappa B inhibitor kinase beta, Nuclear factor NF kappa B inhibitor kinase alpha, Nuclear Factor Kappa B Inhibitor Kinase alpha, NFKBIKB, NFKBIKA, MGC131801, Inhibitor of nuclear factor kappa B kinase subunit beta, Inhibitor of nuclear factor kappa B kinase beta subunit, Inhibitor Of Nuclear Factor Kappa B Kinase alpha Subunit, Inhibitor of kappa light polypeptide gene enhancer in B cells kinase beta, Inhibitor Of Kappa Light Polypeptide Gene Enhancer In B Cells, Inhibitor of kappa light polypeptide gene enhancer in B cells, Inhibitor of kappa light chain gene enhancer in B cells, IKKB, IKKalpha, IKKAI kappa B kinase 2, IKKA, IKK2, IKK1, IKK beta, IKK B, IKK alpha/beta (p-Ser176, 180), IKK alpha/beta (p-S176, 180), IKK alpha, IKK a kinase, IKK A, IKK 2, IKK 1, IkBKB, IKBKA, IkB kinase alpha subunit, IkappaB kinase, I kappa B kinase beta, I Kappa B Kinase alpha, I Kappa B Kinase 1, Conserved helix loop ubiquitous kinase, Conserved Helix Loop Helix Ubiquitous Kinase, CHUK1, CHUK
Ig Type
IgG
交叉反应
Human,Mouse (predicted:Rat,Chicken,Dog,Pig,Cow,Horse)
验证活性
1. Hela cell; 4% Paraformaldehyde-fixed; Triton X-100 at room temperature for 20 min; Blocking buffer (normal goat serum) at 37°C for 20 min; Antibody incubation with (Phospho-IKK alpha/beta (Ser176 + Ser180)) polyclonal Antibody, Unconjugated (TMAB-01431) 1:100, 90 minutes at 37°C; followed by a conjugated Goat Anti-Rabbit IgG antibody at 37°C for 90 minutes, DAPI (blue) was used to stain the cell nucleus.
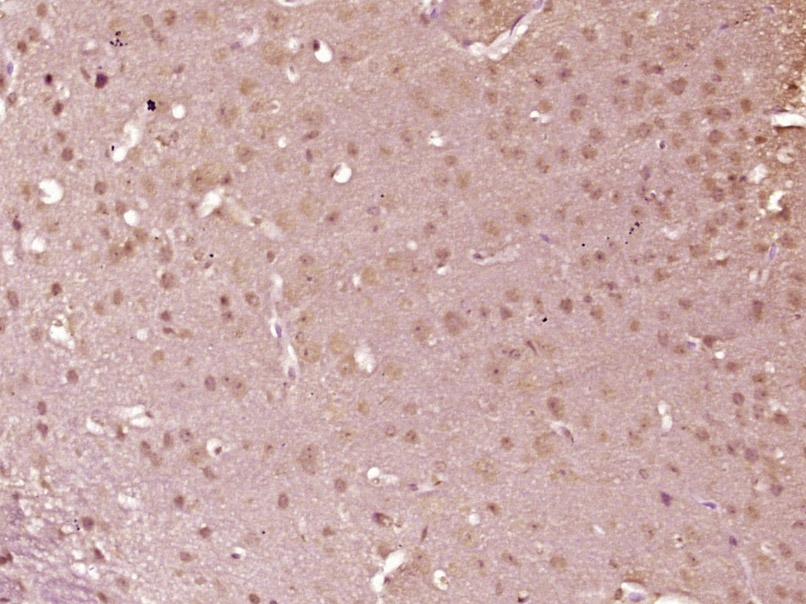
2. Paraformaldehyde-fixed, paraffin embedded (Mouse brain); Antigen retrieval by boiling in sodium citrate buffer (pH6.0) for 15 min; Block endogenous peroxidase by 3% hydrogen peroxide for 20 min; Blocking buffer (normal goat serum) at 37°C for 30 min; Antibody incubation with (Phospho-IKK alpha/beta (Ser176 + Ser180)) Polyclonal Antibody, Unconjugated (TMAB-01431) at 1:400 overnight at 4°C, followed by operating according to SP Kit (Rabbit) instructionsand DAB staining.
3. Paraformaldehyde-fixed, paraffin embedded (mouse brain); Antigen retrieval by boiling in sodium citrate buffer (pH6.0) for 15 min; Block endogenous peroxidase by 3% hydrogen peroxide for 20 min; Blocking buffer (normal goat serum) at 37°C for 30 min; Antibody incubation with (Phospho-IKK alpha,beta (Ser176 + Ser180)) Polyclonal Antibody, Unconjugated (TMAB-01431) at 1:200 overnight at 4°C, followed by operating according to SP Kit (Rabbit) instructionsand DAB staining.
4. Blank control (black line): NIH/3T3. Primary Antibody (green line): Rabbit Anti-Phospho-IKK alpha/beta (Ser176 + Ser180) antibody (TMAB-01431)
Dilution: 1 μg/Test;
Secondary Antibody (white blue line): Goat anti-rabbit IgG-AF488
Dilution: 0.5 μg/Test.
Isotype control (orange line): Normal Rabbit IgG
Protocol
The cells were fixed with 4% PFA (10 min at room temperature) and then permeabilized with 90% ice-cold methanol for 20 min at-20°C, The cells were then incubated in 5% BSA to block non-specific protein-protein interactions for 30 min at room temperature. Cells stained with Primary Antibody for 30 min at room temperature. The secondary antibody used for 40 min at room temperature.
verifiedActivityverifiedActivityverifiedActivityverifiedActivity
应用FCMICC/IFIFIHC-FrIHC-P
推荐剂量
IHC-P: 1:100-500; IHC-Fr: 1:100-500; ICC/IF: 1:100; IF: 1:100-500; FCM: 1ug/Test
抗体种类
Polyclonal
宿主来源Rabbit
亚细胞定位Cytoplasm. Nucleus. Note=Shuttles between the cytoplasm and the nucleus.
组织特异性Widely expressed.
构建方式Polyclonal Antibody
纯化方式Protein A purified
性状Liquid
缓冲液0.01M TBS (pH7.4) with 1% BSA, 0.02% Proclin300 and 50% Glycerol.
浓度1 mg/mL
研究背景Nuclear factor kappa B (NFkB) is a ubiquitous transcription factor and an essential mediator of gene expression during activation of immune and inflammatory responses. NFkB mediates the expression of a great variety of genes in response to extracellular stimuli including IL1, TNF alpha, and bacterial product LPS. NFkB is associated with IkB proteins in the cell cytoplasm, which inhibit NFkB activity. IKK is a serine protein kinase, and the IKK complex contains alpha and beta subunits (IKK alpha and IKK beta). IKK alpha and IKK beta interact with each other and both are essential for NFkB activation. IKK alpha specifically phosphorylates IkBa. IKKa is expressed in variety of human tissues.
抗原信息
免疫原
KLH conjugated synthesised phosphopeptide: human IKK alpha/beta around the phosphorylation site of Ser176/Ser180
抗原种属
Human
基因名称
CHUK
基因ID
蛋白名称
Inhibitor of nuclear factor kappa-B kinase subunit alpha
Uniprot ID
研究领域
NFkB Pathway,Other Kinases,TLR Signaling,IKK,Inflammatory mediators,IKK
功能
Serine kinase that plays an essential role in the NF-kappa-B signaling pathway which is activated by multiple stimuli such as inflammatory cytokines, bacterial or viral products, DNA damages or other cellular stresses. Acts as part of the canonical IKK complex in the conventional pathway of NF-kappa-B activation and phosphorylates inhibitors of NF-kappa-B on serine residues. These modifications allow polyubiquitination of the inhibitors and subsequent degradation by the proteasome. In turn, free NF-kappa-B is translocated into the nucleus and activates the transcription of hundreds of genes involved in immune response, growth control, or protection against apoptosis. Negatively regulates the pathway by phosphorylating the scaffold protein TAXBP1 and thus promoting the assembly of the A20/TNFAIP3 ubiquitin-editing complex (composed of A20/TNFAIP3, TAX1BP1, and the E3 ligases ITCH and RNF11). Therefore, CHUK plays a key role in the negative feedback of NF-kappa-B canonical signaling to limit inflammatory gene activation. As part of the non-canonical pathway of NF-kappa-B activation, the MAP3K14-activated CHUK/IKKA homodimer phosphorylates NFKB2/p100 associated with RelB, inducing its proteolytic processing to NFKB2/p52 and the formation of NF-kappa-B RelB-p52 complexes. In turn, these complexes regulate genes encoding molecules involved in B-cell survival and lymphoid organogenesis. Participates also in the negative feedback of the non-canonical NF-kappa-B signaling pathway by phosphorylating and destabilizing MAP3K14/NIK. Within the nucleus, phosphorylates CREBBP and consequently increases both its transcriptional and histone acetyltransferase activities. Modulates chromatin accessibility at NF-kappa-B-responsive promoters by phosphorylating histones H3 at 'Ser-10' that are subsequently acetylated at 'Lys-14' by CREBBP. Additionally, phosphorylates the CREBBP-interacting protein NCOA3.
化学信息
分子量Theoretical: 85/87 kDa.
存储&运输
储存方式Store at -20°C or -80°C for 12 months. Avoid repeated freeze-thaw cycles.
运输方式Shipping with blue ice.

计算器

  • 稀释 计算器

关键词

评论列表

4个月前
5.0
Rating icon 很棒

评论内容

Related Tags: buy Anti-Phospho-IKBKA/IKBKB (Ser176, 180) Polyclonal Antibody | purchase Anti-Phospho-IKBKA/IKBKB (Ser176, 180) Polyclonal Antibody | Anti-Phospho-IKBKA/IKBKB (Ser176, 180) Polyclonal Antibody cost | order Anti-Phospho-IKBKA/IKBKB (Ser176, 180) Polyclonal Antibody | Anti-Phospho-IKBKA/IKBKB (Ser176, 180) Polyclonal Antibody molecular weight