购物车
  • TargetMol
    您的购物车当前为空

Anti-Phospho-IkB alpha/NFKBIA (Tyr305) Polyclonal Antibody

Synonyms: p-IkB alpha/NFKBIA (Y305), p-IkB alpha/NFKBIA (Tyr305), nuclear factor of κ light polypeptide gene enhancer in B-cells inhibitor, alpha, nuclear factor of kappa light polypeptide gene enhancer in B-cells inhibitor, α, nuclear factor of kappa light polypeptide gene enhancer in B-cells inhibitor, alpha, NFKBI, MAD-3, IKBA, IkB α, IkB alpha/NFKBIA (p-Y305), IkB alpha/NFKBIA (p-Tyr305)
货号 TMAB-01428Cas号 一键复制产品信息纯度:
Rating icon 还可以

Anti-Phospho-IkB alpha/NFKBIA (Tyr305) Polyclonal Antibody 是一种 Rabbit 抗体,靶向 Phospho-IkB alpha/NFKBIA (Tyr305)。Anti-Phospho-IkB alpha/NFKBIA (Tyr305) Polyclonal Antibody 可用于 FCM,IF,IHC-Fr,IHC-P,WB。

Anti-Phospho-IkB alpha/NFKBIA (Tyr305) Polyclonal Antibody

一键复制产品信息
Rating icon 还可以
货号 TMAB-01428

别名 p-IkB alpha/NFKBIA (Y305), p-IkB alpha/NFKBIA (Tyr305), nuclear factor of κ light polypeptide gene enhancer in B-cells inhibitor, alpha, nuclear factor of kappa light polypeptide gene enhancer in B-cells inhibitor, α, nuclear factor of kappa light polypeptide gene enhancer in B-cells inhibitor, alpha, NFKBI, MAD-3, IKBA, IkB α, IkB alpha/NFKBIA (p-Y305), IkB alpha/NFKBIA (p-Tyr305)

Anti-Phospho-IkB alpha/NFKBIA (Tyr305) Polyclonal Antibody 是一种 Rabbit 抗体,靶向 Phospho-IkB alpha/NFKBIA (Tyr305)。Anti-Phospho-IkB alpha/NFKBIA (Tyr305) Polyclonal Antibody 可用于 FCM,IF,IHC-Fr,IHC-P,WB。

Anti-Phospho-IkB alpha/NFKBIA (Tyr305) Polyclonal Antibody
规格价格库存数量
50 μL
¥ 1,170
5日内发货
100 μL
¥ 1,975
5日内发货
200 μL
¥ 2,780
5日内发货
库存状态实时更新,以官网显示为准,现货产品可直接加购物车下单
大包装 & 定制
加入购物车

TargetMol的所有产品仅用作科学研究或药证申报,不能被用于人体,我们不向个人提供产品和服务。请您遵守承诺用途,不得违反法律法规规定用于任何其他用途。

实验操作小课堂
常见问题解答
查看更多

资源下载:产品操作手册

产品介绍


生物活性
产品描述
Anti-Phospho-IkB alpha/NFKBIA (Tyr305) Polyclonal Antibody is a Rabbit antibody targeting Phospho-IkB alpha/NFKBIA (Tyr305). Anti-Phospho-IkB alpha/NFKBIA (Tyr305) Polyclonal Antibody can be used in FCM,IF,IHC-Fr,IHC-P,WB.
别名
p-IkB alpha/NFKBIA (Y305), p-IkB alpha/NFKBIA (Tyr305), nuclear factor of κ light polypeptide gene enhancer in B-cells inhibitor, alpha, nuclear factor of kappa light polypeptide gene enhancer in B-cells inhibitor, α, nuclear factor of kappa light polypeptide gene enhancer in B-cells inhibitor, alpha, NFKBI, MAD-3, IKBA, IkB α, IkB alpha/NFKBIA (p-Y305), IkB alpha/NFKBIA (p-Tyr305)
Ig Type
IgG
反应种属
Human,Mouse,Rat (predicted:Pig,Cow,Rabbit,Sheep)
验证活性
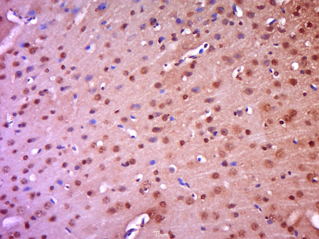
1. Paraformaldehyde-fixed, paraffin embedded (mouse brain); Antigen retrieval by boiling in sodium citrate buffer (pH6.0) for 15 min; Block endogenous peroxidase by 3% hydrogen peroxide for 20 min; Blocking buffer (normal goat serum) at 37°C for 30 min; Antibody incubation with (phospho-IKB alpha (Tyr305)) Polyclonal Antibody, Unconjugated (TMAB-01428) at 1:400 overnight at 4°C, followed by a conjugated secondary antibody for 20 min and DAB staining.
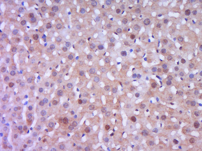
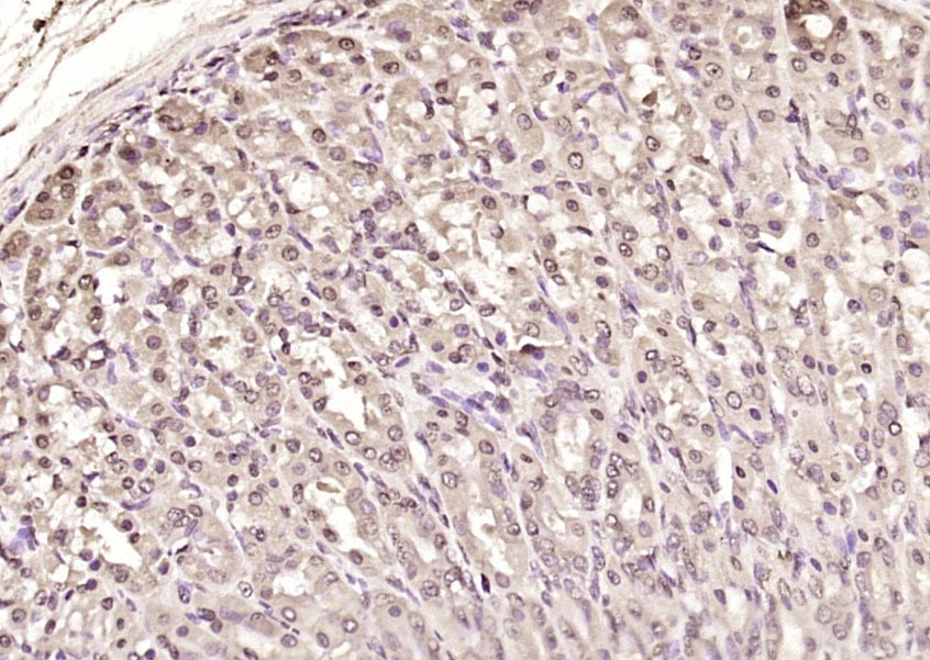
2. Paraformaldehyde-fixed, paraffin embedded (Mouse liver); Antigen retrieval by boiling in sodium citrate buffer (pH6.0) for 15 min; Block endogenous peroxidase by 3% hydrogen peroxide for 20 min; Blocking buffer (normal goat serum) at 37°C for 30 min; Antibody incubation with (p-IKB alpha (Tyr305)) Polyclonal Antibody, Unconjugated (TMAB-01428) at 1:400 overnight at 4°C, followed by operating according to SP Kit (Rabbit) instructionsand DAB staining.
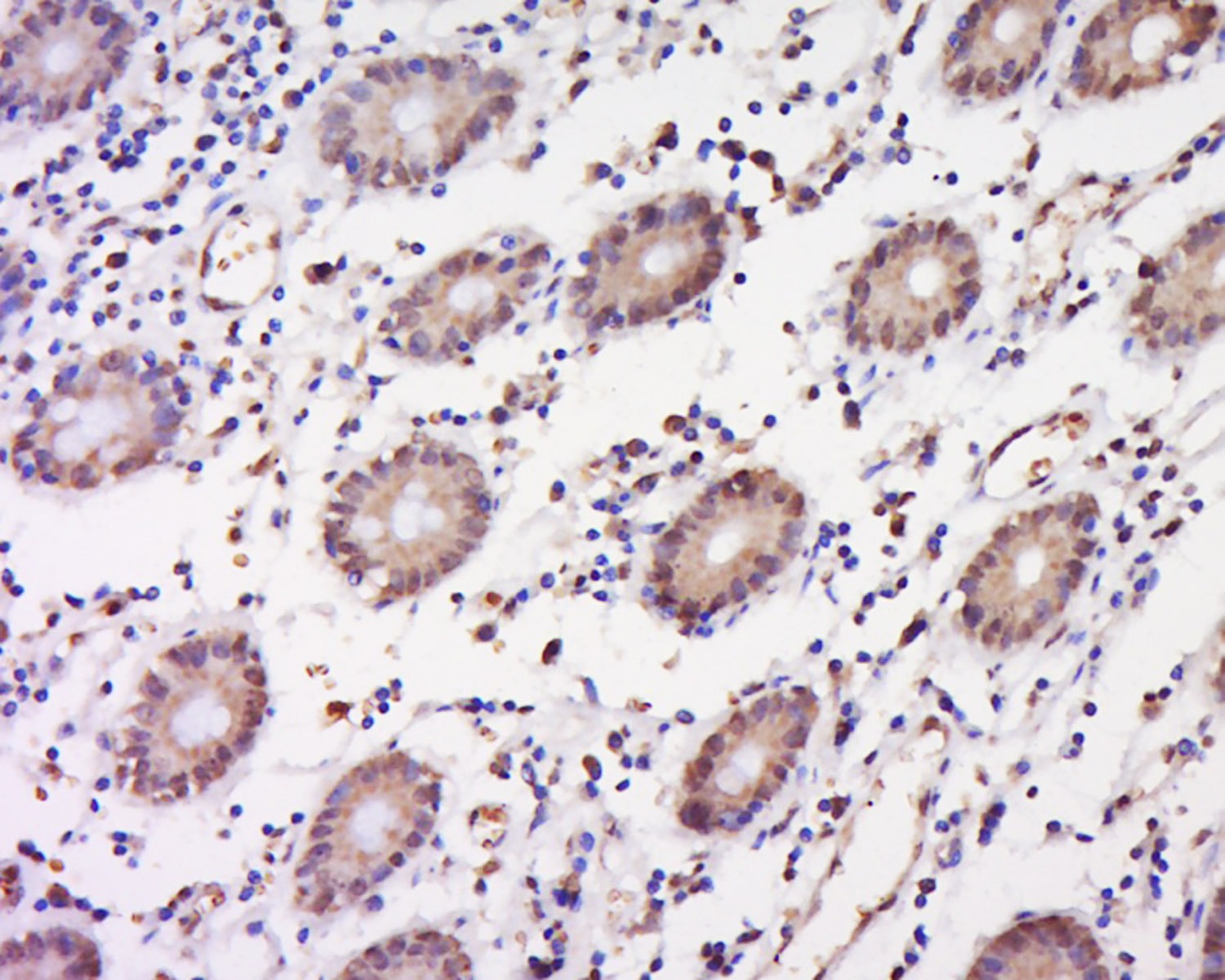
3. Tissue/cell: human colon carcinoma; 4% Paraformaldehyde-fixed and paraffin-embedded;
Antigen retrieval: citrate buffer (0.01M, pH6.0), Boiling bathing for 15 min; Block endogenous peroxidase by 3% Hydrogen peroxide for 30 min; Blocking buffer (normal goat serum) at 37°C for 20 min;
Incubation: Anti-NFKBIA Polyclonal Antibody, Unconjugated (TMAB-01428) 1:200, overnight at 4°C, followed by conjugation to the secondary antibody and DAb staining.
4. Blank control (blue line): Jurkat (fixed with 2% paraformaldehyde (10 min), then permeabilized with 90% ice-cold methanol for 30 min on ice).
Primary Antibody (green line): Rabbit Anti-phospho-IKB alpha (Tyr305) antibody (TMAB-01428), Dilution: 1 μg/10^6 cells;
Isotype Control Antibody (orange line): Rabbit IgG.
Secondary Antibody (white blue line): Goat anti-rabbit IgG-FITC, Dilution: 1 μg/test.
5. Sample: 293T Cell (Human) Lysate at 40 μg
Primary: Anti-p-NFKBIa (Tyr305)(TMAB-01428) at 1/300 dilution
Secondary: IRDye800CW Goat Anti-Rabbit IgG at 1/20000 dilution
Predicted band size: 35 kDa
Observed band size: 38 kDa
6. Blank control (blue line): Hela (fixed with 70% methanol (Overnight at 4°C) and then permeabilized with 90% ice-cold methanol for 20 min at-20°C).
Primary Antibody (green line): Rabbit Anti-phospho-IKB alpha (Tyr305) antibody (TMAB-01428), Dilution: 1 μg/10^6 cells;
Isotype Control Antibody (orange line): Rabbit IgG.
Secondary Antibody (white blue line): Goat anti-rabbit IgG-PE, Dilution: 1 μg/test.
7. Blank control: Hela.
Primary Antibody (green line): Rabbit Anti-phospho-IKB alpha (Tyr305) antibody (TMAB-01428)
Dilution: 1 μg/10^6 cells;
Isotype Control Antibody (orange line): Rabbit IgG.
Secondary Antibody: Goat anti-rabbit IgG-AF647
Dilution: 1 μg/test.
Protocol
The cells were fixed with 4% PFA (10 min at room temperature) and then permeabilized with 90% ice-cold methanol for 20 min at-20°C. The cells were then incubated in 5% BSA to block non-specific protein-protein interactions for 30 min at room temperature. Cells stained with Primary Antibody for 30 min at room temperature. The secondary antibody used for 40 min at room temperature.
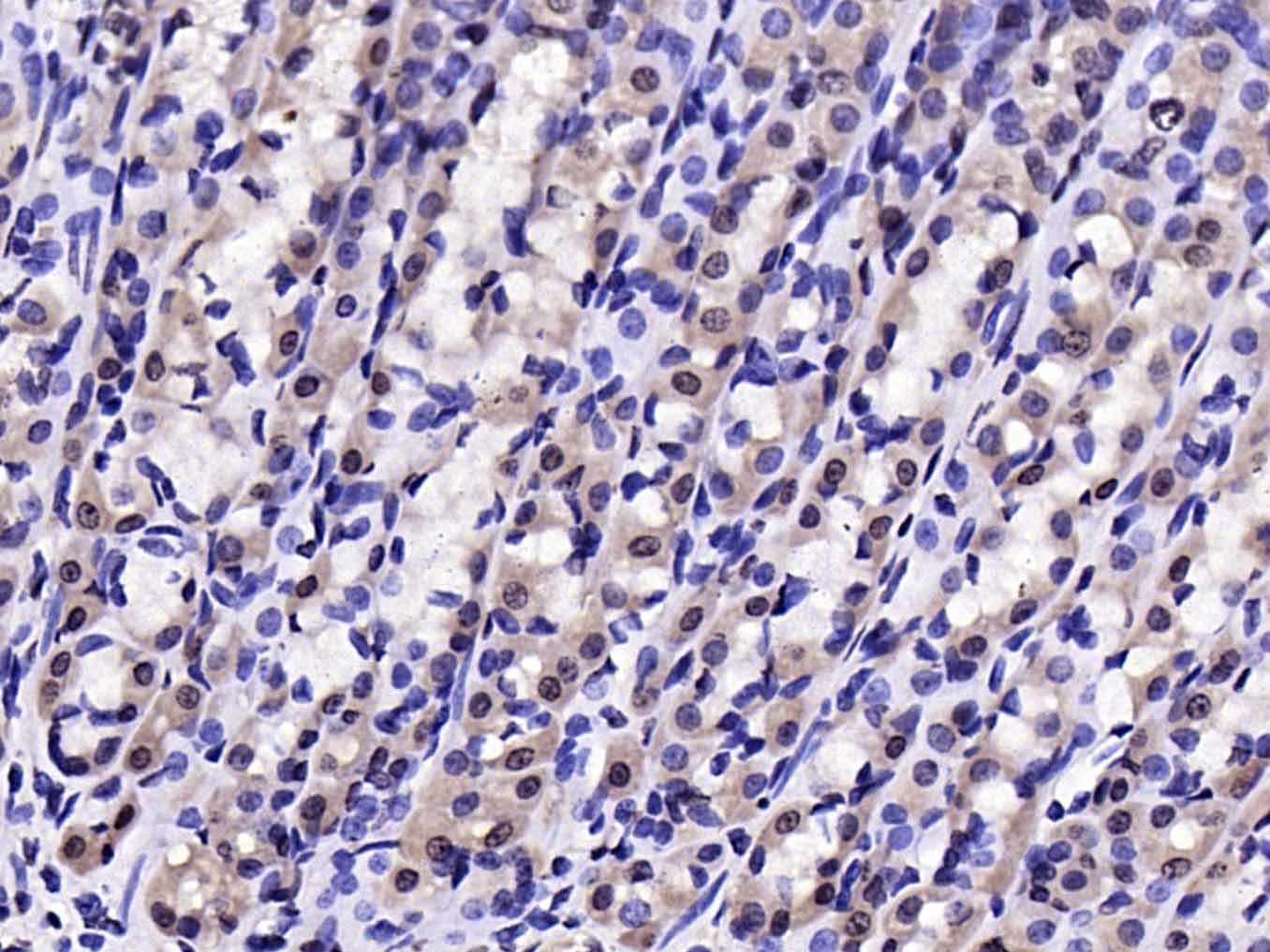
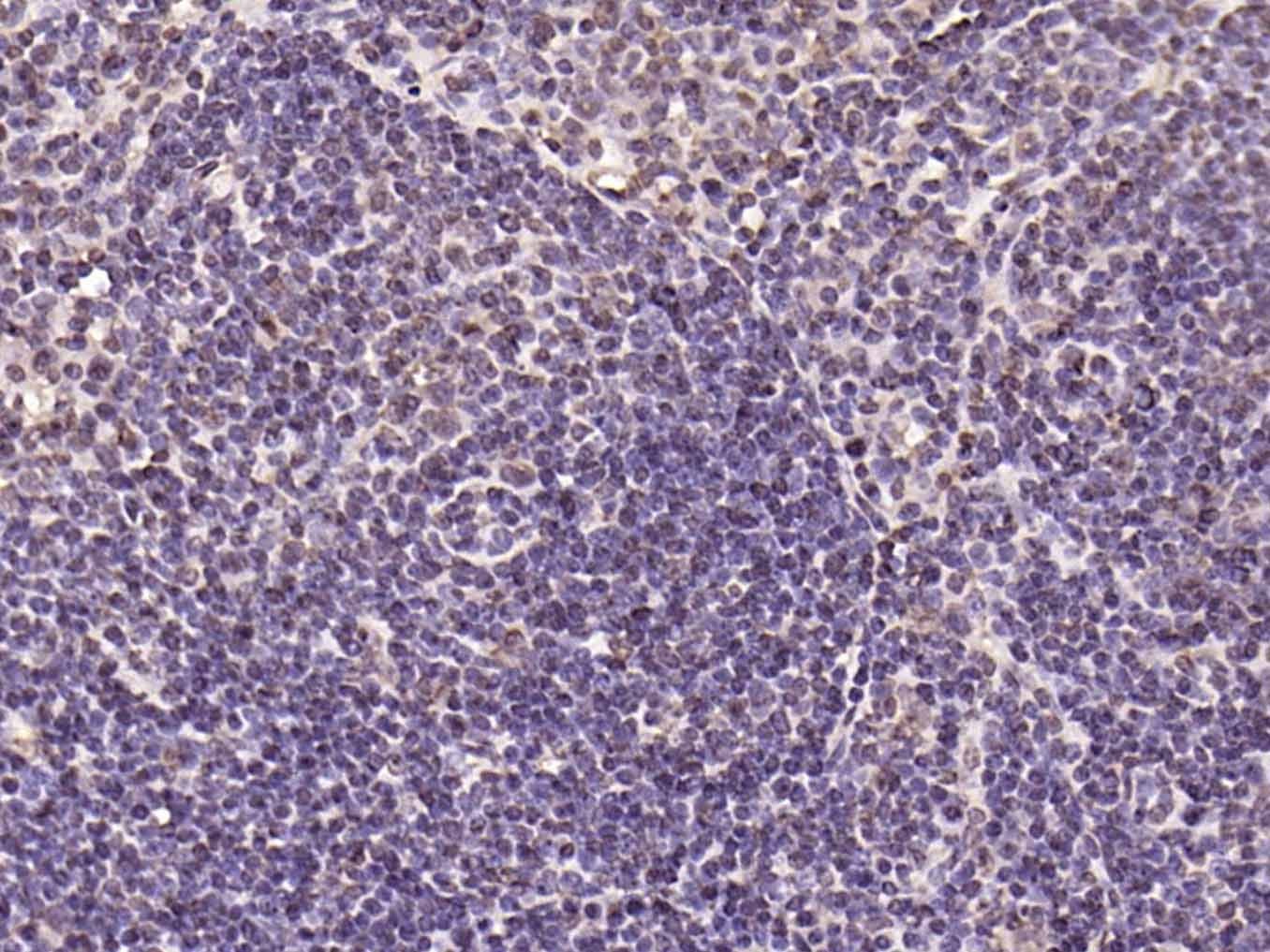
8. Paraformaldehyde-fixed, paraffin embedded (rat lymphoid); Antigen retrieval by boiling in sodium citrate buffer (pH6.0) for 15 min; Block endogenous peroxidase by 3% hydrogen peroxide for 20 min; Blocking buffer (normal goat serum) at 37°C for 30 min; Antibody incubation with (phospho-IKB alpha (Tyr305)) Polyclonal Antibody, Unconjugated (TMAB-01428) at 1:200 overnight at 4°C, followed by operating according to SP Kit (Rabbit) instructionsand DAB staining.
9. Paraformaldehyde-fixed, paraffin embedded (rat stomach); Antigen retrieval by boiling in sodium citrate buffer (pH6.0) for 15 min; Block endogenous peroxidase by 3% hydrogen peroxide for 20 min; Blocking buffer (normal goat serum) at 37°C for 30 min; Antibody incubation with (phospho-IKB alpha (Tyr305)) Polyclonal Antibody, Unconjugated (TMAB-01428) at 1:200 overnight at 4°C, followed by operating according to SP Kit (Rabbit) instructionsand DAB staining.
10. Paraformaldehyde-fixed, paraffin embedded (rat adrenal gland); Antigen retrieval by boiling in sodium citrate buffer (pH6.0) for 15 min; Block endogenous peroxidase by 3% hydrogen peroxide for 20 min; Blocking buffer (normal goat serum) at 37°C for 30 min; Antibody incubation with (phospho-IKB alpha (Tyr305)) Polyclonal Antibody, Unconjugated (TMAB-01428) at 1:200 overnight at 4°C, followed by operating according to SP Kit (Rabbit) instructionsand DAB staining.
11. Paraformaldehyde-fixed, paraffin embedded (rat stomach); Antigen retrieval by boiling in sodium citrate buffer (pH6.0) for 15 min; Block endogenous peroxidase by 3% hydrogen peroxide for 20 min; Blocking buffer (normal goat serum) at 37°C for 30 min; Antibody incubation with (phospho-IKB alpha (Tyr305)) Polyclonal Antibody, Unconjugated (TMAB-01428) at 1:200 overnight at 4°C, followed by operating according to SP Kit (Rabbit) instructionsand DAB staining.
verifiedActivityverifiedActivityverifiedActivityverifiedActivityverifiedActivityverifiedActivityverifiedActivityverifiedActivityverifiedActivityverifiedActivityverifiedActivity
应用FCMIFIHC-FrIHC-PWB
推荐剂量
WB: 1:500-2000; IHC-P: 1:100-500; IHC-Fr: 1:100-500; IF: 1:100-500; FCM: 1μg/Test
抗体种类
Polyclonal
宿主来源Rabbit
亚细胞定位Cytoplasm. Nucleus. Shuttles between the nucleus and the cytoplasm by a nuclear localization signal (NLS) and a CRM1-dependent nuclear export.
组织特异性Highly expressed in lymph node, thymus followed by liver, brain, muscle, kidney, gastrointestinal and reproductive tract.
构建方式Polyclonal Antibody
纯化方式Protein A purified
性状Liquid
缓冲液0.01M TBS (pH7.4) with 1% BSA, 0.02% Proclin300 and 50% Glycerol.
浓度1 mg/mL
研究背景This gene encodes a member of the NF-kappa-B inhibitor family, which contain multiple ankrin repeat domains. The encoded protein interacts with REL dimers to inhibit NF-kappa-B/REL complexes which are involved in inflammatory responses. The encoded protein moves between the cytoplasm and the nucleus via a nuclear localization signal and CRM1-mediated nuclear export. Mutations in this gene have been found in ectodermal dysplasia anhidrotic with T-cell immunodeficiency autosomal dominant disease. [provided by RefSeq, Aug 2011]
抗原信息
免疫原
KLH conjugated Synthesised phosphopeptide: human IKB alpha around the phosphorylation site of Tyr305
抗原种属
Human
基因名称
NFKBIA
基因ID
蛋白名称
NF-kappa-B inhibitor alpha
Uniprot ID
研究领域
NFkB pathway,NFkB pathway,TLR Signaling,NFkB Pathway
功能
Inhibits the activity of dimeric NF-kappa-B/REL complexes by trapping REL dimers in the cytoplasm through masking of their nuclear localization signals. On cellular stimulation by immune and proinflammatory responses, becomes phosphorylated promoting ubiquitination and degradation, enabling the dimeric RELA to translocate to the nucleus and activate transcription.
化学信息
分子量Theoretical: 35 kDa. Actual: 38 kDa.
储存&溶解度
储存方式Store at -20°C or -80°C for 12 months. Avoid repeated freeze-thaw cycles.
运输方式Shipping with blue ice.

计算器

  • 稀释 计算器
  • 配液 计算器
Related Tags: buy Anti-Phospho-IkB alpha/NFKBIA (Tyr305) Polyclonal Antibody | purchase Anti-Phospho-IkB alpha/NFKBIA (Tyr305) Polyclonal Antibody | Anti-Phospho-IkB alpha/NFKBIA (Tyr305) Polyclonal Antibody cost | order Anti-Phospho-IkB alpha/NFKBIA (Tyr305) Polyclonal Antibody | Anti-Phospho-IkB alpha/NFKBIA (Tyr305) Polyclonal Antibody molecular weight