购物车
  • TargetMol
    您的购物车当前为空

Anti-Phospho-HSF1 (Ser326) Antibody (1V417)

Synonyms: p-HSF1 (Ser362), p-HSF1 (S326), Phospho-HSF1 (S326), HSTF1, HSF1 (p-Ser362), HSF1 (p-S326), heat shock transcription factor 1
货号 TMAC-03226 一键复制产品信息
Rating icon 还可以
202603开学季活动

Anti-Phospho-HSF1 (Ser326) Antibody (1V417) 是一种 Rabbit 抗体,靶向 Phospho-HSF1 (Ser326)。Anti-Phospho-HSF1 (Ser326) Antibody (1V417) 可用于 WB,ICC,IHC,IP,FCM。

Anti-Phospho-HSF1 (Ser326) Antibody (1V417)

一键复制产品信息
Rating icon 还可以
202603开学季活动
货号 TMAC-03226

别名 p-HSF1 (Ser362), p-HSF1 (S326), Phospho-HSF1 (S326), HSTF1, HSF1 (p-Ser362), HSF1 (p-S326), heat shock transcription factor 1

Anti-Phospho-HSF1 (Ser326) Antibody (1V417) 是一种 Rabbit 抗体,靶向 Phospho-HSF1 (Ser326)。Anti-Phospho-HSF1 (Ser326) Antibody (1V417) 可用于 WB,ICC,IHC,IP,FCM。

Anti-Phospho-HSF1 (Ser326) Antibody (1V417)
规格价格库存数量
50 μL
¥ 1,495
5日内发货
100 μL
¥ 2,480
5日内发货
库存状态实时更新,以官网显示为准,现货产品可直接加购物车下单
大包装 & 定制
加入购物车

TargetMol的所有产品仅用作科学研究或药证申报,不能被用于人体,我们不向个人提供产品和服务。请您遵守承诺用途,不得违反法律法规规定用于任何其他用途。

实验操作小课堂
常见问题解答
查看更多

资源下载:产品操作手册

产品介绍


生物活性
产品描述
Anti-Phospho-HSF1 (Ser326) Antibody (1V417) is a Rabbit antibody targeting Phospho-HSF1 (Ser326). Anti-Phospho-HSF1 (Ser326) Antibody (1V417) can be used in FCM,ICC,IHC,IP,WB.
别名
p-HSF1 (Ser362), p-HSF1 (S326), Phospho-HSF1 (S326), HSTF1, HSF1 (p-Ser362), HSF1 (p-S326), heat shock transcription factor 1
Ig Type
IgG
克隆号
1V417
反应种属
Human
验证活性
1. Western blot analysis of p-HSF1 (S326) on different lysates using anti-p-HSF1 (S326) antibody at 1/1,000 dilution. Positive control: Lane 1: Hela, Lane 2: BT20, Lane 3: AGS.
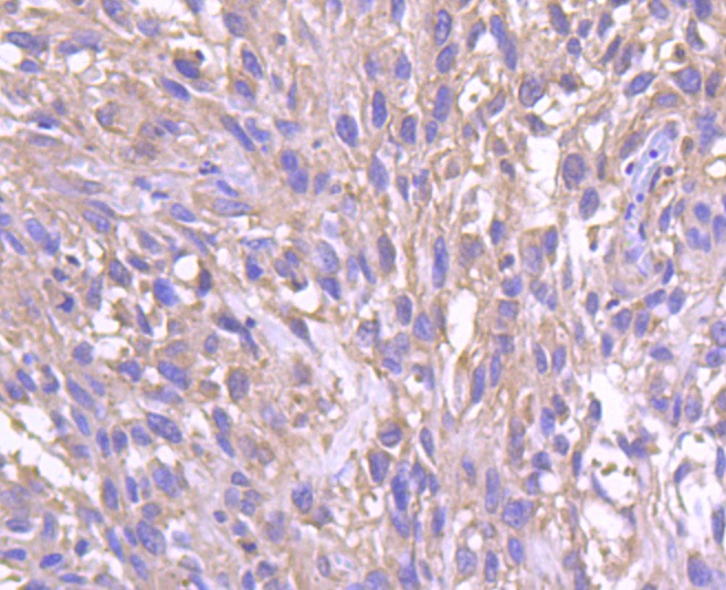
2. Immunohistochemical analysis of paraffin-embedded human breast carcinoma tissue using anti-p-HSF1 (S326) antibody. Counter stained with hematoxylin.
3. ICC staining p-HSF1 (S326) in Hela cells (green). The nuclear counter stain is DAPI (blue). Cells were fixed in paraformaldehyde, permeabilised with 0.25% Triton X100/PBS.
4. ICC staining p-HSF1 (S326) in AGS cells (green). The nuclear counter stain is DAPI (blue). Cells were fixed in paraformaldehyde, permeabilised with 0.25% Triton X100/PBS.
5. ICC staining p-HSF1 (S326) in MCF-7 cells (green). The nuclear counter stain is DAPI (blue). Cells were fixed in paraformaldehyde, permeabilised with 0.25% Triton X100/PBS.
6. Flow cytometric analysis of Hela cells with p-HSF1 (S326) antibody at 1/50 dilution (red) compared with an unlabelled control (cells without incubation with primary antibody; black). Alexa Fluor 488-conjugated goat anti rabbit IgG was used as the secondary.
verifiedActivityverifiedActivityverifiedActivityverifiedActivityverifiedActivityverifiedActivity
应用FCMICCIHCIPWB
推荐剂量
WB: 1:1000-2000; IHC: 1:50-200; ICC: 1:50-200; FCM: 1:50-100
抗体种类
Monoclonal
宿主来源Rabbit
构建方式Recombinant Antibody
纯化方式ProA affinity purified
性状Liquid
缓冲液1*TBS (pH7.4), 1%BSA, 40%Glycerol. Preservative: 0.05% Sodium Azide.
研究背景Prokaryotic and eukaryotic cells respond to thermal and chemical stress by inducing a group of genes collectively designated heat shock genes. In eukaryotes, this gene expression is regulated primarily at the transcription level. Heat shock transcription factors 1 and 2 (HSF1 and HSF2), also designated HSTF1 and HSTF2, are involved in this regulation. HSF1 and HSF2 are upregulated by estrogen at both the mRNA and protein level. HSF1 is normally found as a monomer, whose transcriptional activity is repressed by constitutive phosphorylation. Upon activation, HSF1 forms trimers, gains DNA binding activity and is translocated to the nucleus. HSF2 activity is associated with differentiation and development and, like HSF1, binds DNA as a trimer. Both HSF1 and HSF2 are known to be induced by proteasome inhibitors of the ubiquitin pathway.
偶联与修饰
偶联
Unconjugated
其他可选修饰符
Phospho
抗原信息
免疫原
A synthesized phosphopeptide: human HSF1 around the phosphorylation site of Ser326
抗原种属
Human
Uniprot ID
化学信息
分子量Theoretical: 82 kDa.
储存&溶解度
储存方式Store at -20°C or -80°C for 12 months. Avoid repeated freeze-thaw cycles.
运输方式Shipping with blue ice.

计算器

  • 稀释 计算器
  • 配液 计算器
Related Tags: buy Anti-Phospho-HSF1 (Ser326) Antibody (1V417) | purchase Anti-Phospho-HSF1 (Ser326) Antibody (1V417) | Anti-Phospho-HSF1 (Ser326) Antibody (1V417) cost | order Anti-Phospho-HSF1 (Ser326) Antibody (1V417) | Anti-Phospho-HSF1 (Ser326) Antibody (1V417) molecular weight