购物车
  • TargetMol
    您的购物车当前为空

Anti-Phospho-FOXO3a (Ser253) Polyclonal Antibody

Synonyms: p-FOXO3a (Ser253), p-FOXO3a (S253), MGC31925, MGC12739, FOXO3a (p-Ser253), FOXO3a (p-S253), FOXO3, FOXO2, FOX O3A, Forkhead(Drosophila) homolog(rhabdomyosarcoma) like 1, Forkhead in rhabdomyosarcoma like 1, Forkhead Drosophila homolog of in rhabdomyosarcoma like 1, Forkhead box protein O3A, Forkhead box O3A, FKHRL1P2, FKHRL1, FKHRL 1, FKHR2, DKFZp781A0677, AF6q21
货号 TMAB-01414 一键复制产品信息
Rating icon 还可以

Anti-Phospho-FOXO3a (Ser253) Polyclonal Antibody 是一种 Rabbit 抗体,靶向 Phospho-FOXO3a (Ser253)。Anti-Phospho-FOXO3a (Ser253) Polyclonal Antibody 可用于 FCM, IF, IHC-Fr, IHC-P。

Anti-Phospho-FOXO3a (Ser253) Polyclonal Antibody

一键复制产品信息
Rating icon 还可以
货号 TMAB-01414

别名 p-FOXO3a (Ser253), p-FOXO3a (S253), MGC31925, MGC12739, FOXO3a (p-Ser253), FOXO3a (p-S253), FOXO3, FOXO2, FOX O3A, Forkhead(Drosophila) homolog(rhabdomyosarcoma) like 1, Forkhead in rhabdomyosarcoma like 1, Forkhead Drosophila homolog of in rhabdomyosarcoma like 1, Forkhead box protein O3A, Forkhead box O3A, FKHRL1P2, FKHRL1, FKHRL 1, FKHR2, DKFZp781A0677, AF6q21

Anti-Phospho-FOXO3a (Ser253) Polyclonal Antibody 是一种 Rabbit 抗体,靶向 Phospho-FOXO3a (Ser253)。Anti-Phospho-FOXO3a (Ser253) Polyclonal Antibody 可用于 FCM, IF, IHC-Fr, IHC-P。

Anti-Phospho-FOXO3a (Ser253) Polyclonal Antibody
规格价格库存数量
50 μL
¥ 1,165
5日内发货
100 μL
¥ 1,970
5日内发货
200 μL
¥ 2,785
5日内发货
库存状态实时更新,以官网显示为准,现货产品可直接加购物车下单
大包装 & 定制
加入购物车
TargetMol的所有产品仅用作科学研究或药证申报,不能被用于人体,我们不向个人提供产品和服务。请您遵守承诺用途,不得违反法律法规规定用于任何其他用途。
实验操作小课堂
常见问题解答
查看更多

资源下载:产品操作手册

产品介绍


生物活性
产品描述
Anti-Phospho-FOXO3a (Ser253) Polyclonal Antibody is a Rabbit antibody targeting Phospho-FOXO3a (Ser253). Anti-Phospho-FOXO3a (Ser253) Polyclonal Antibody can be used in FCM, IF, IHC-Fr, IHC-P.
别名p-FOXO3a (Ser253), p-FOXO3a (S253), MGC31925, MGC12739, FOXO3a (p-Ser253), FOXO3a (p-S253), FOXO3, FOXO2, FOX O3A, Forkhead(Drosophila) homolog(rhabdomyosarcoma) like 1, Forkhead in rhabdomyosarcoma like 1, Forkhead Drosophila homolog of in rhabdomyosarcoma like 1, Forkhead box protein O3A, Forkhead box O3A, FKHRL1P2, FKHRL1, FKHRL 1, FKHR2, DKFZp781A0677, AF6q21
Ig Type
IgG
反应种属
Human,Rat (predicted:Mouse,Chicken,Dog,Pig,Cow,Horse,Sheep)
验证活性
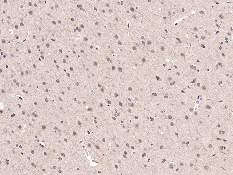
1. Paraformaldehyde-fixed, paraffin embedded (Rat brain); Antigen retrieval by microwave in sodium citrate buffer (pH6.0); Block endogenous peroxidase by 3% hydrogen peroxide for 30 minutes; Blocking buffer (3% BSA) at RT for 30 min; Antibody incubation with (Phospho-FoxO3a (Ser253)) Polyclonal Antibody, Unconjugated (TMAB-01414) at 1:400 overnight at 4°C, followed by conjugation to the secondary antibody (labeled with HRP) and DAB staining.
2. Blank control: THP-1. Primary Antibody (green line): Rabbit Anti-Phospho-FoxO3a (Ser253) antibody (TMAB-01414)
Dilution: 1 μg/10^6 cells;
Isotype Control Antibody (orange line): Rabbit IgG.
Secondary Antibody: Goat anti-rabbit IgG-FITC
Dilution: 0.5 μg/test.
Protocol
The cells were fixed with 4% PFA (10 min at room temperature) and then permeabilized with 90% ice-cold methanol for 20 min at-20°C. The cells were then incubated in 5% BSA to block non-specific protein-protein interactions for 30 min at room temperature. Cells stained with Primary Antibody for 30 min at room temperature. The secondary antibody used for 40 min at room temperature.
verifiedActivityverifiedActivity
应用FCMIFIHC-FrIHC-P
推荐剂量
IHC-P: 1:100-500; IHC-Fr: 1:100-500; IF: 1:100-500; FCM: 1ug/Test
抗体种类
Polyclonal
宿主来源Rabbit
亚细胞定位Cytoplasm, cytosol. Nucleus. Note=Translocates to the nucleus upon oxidative stress and in the absence of survival factors. Tissue Specificity : Ubiquitous.
组织特异性Ubiquitous.
构建方式Polyclonal Antibody
纯化方式Protein A purified
性状Liquid
缓冲液0.01M TBS (pH7.4) with 1% BSA, 0.02% Proclin300 and 50% Glycerol.
浓度1 mg/mL
研究背景This gene belongs to the forkhead family of transcription factors which are characterized by a distinct forkhead domain. This gene likely functions as a trigger for apoptosis through expression of genes necessary for cell death. Translocation of this gene with the MLL gene is associated with secondary acute leukemia. Alternatively spliced transcript variants encoding the same protein have been observed. [provided by RefSeq, Jul 2008]
抗原信息
免疫原
KLH conjugated Synthesised phosphopeptide: human FoxO3a around the phosphorylation site of Ser253
抗原种属
Human
基因名称
FOXO3
基因ID
蛋白名称
Forkhead box protein O3
Uniprot ID
研究领域
Forkhead Box,FOXO
功能
Transcriptional activator which triggers apoptosis in the absence of survival factors, including neuronal cell death upon oxidative stress. Recognizes and binds to the DNA sequence 5'-[AG]TAAA[TC]A-3'. Participates in post-transcriptional regulation of MYC: following phosphorylation by MAPKAPK5, promotes induction of miR-34b and miR-34c expression, 2 post-transcriptional regulators of MYC that bind to the 3'UTR of MYC transcript and prevent its translation.
化学信息
分子量Theoretical: 71 kDa.
储存&溶解度
储存方式Store at -20°C or -80°C for 12 months. Avoid repeated freeze-thaw cycles.
运输方式Shipping with blue ice.

计算器

  • 稀释 计算器
  • 配液 计算器
Related Tags: buy Anti-Phospho-FOXO3a (Ser253) Polyclonal Antibody | purchase Anti-Phospho-FOXO3a (Ser253) Polyclonal Antibody | Anti-Phospho-FOXO3a (Ser253) Polyclonal Antibody cost | order Anti-Phospho-FOXO3a (Ser253) Polyclonal Antibody | Anti-Phospho-FOXO3a (Ser253) Polyclonal Antibody molecular weight