购物车
  • 全部删除
  • TargetMol
    您的购物车当前为空

Anti-Phospho-FOXO3 (Ser253) Antibody (7U72)

Rating icon 还可以
产品编号 TMAC-03216
别名 p-FOXO3 (Ser253), p-FOXO3 (S253), FOXO3 (p-Ser253), FOXO3 (p-S253)

Anti-Phospho-FOXO3 (Ser253) Antibody (7U72) 是一种 Rabbit 抗体,靶向 Phospho-FOXO3 (Ser253)。Anti-Phospho-FOXO3 (Ser253) Antibody (7U72) 可用于 WB,IHC。

Anti-Phospho-FOXO3 (Ser253) Antibody (7U72)

Anti-Phospho-FOXO3 (Ser253) Antibody (7U72)

一键复制产品信息
Rating icon 还可以
产品编号 TMAC-03216 别名 p-FOXO3 (Ser253), p-FOXO3 (S253), FOXO3 (p-Ser253), FOXO3 (p-S253)

Anti-Phospho-FOXO3 (Ser253) Antibody (7U72) 是一种 Rabbit 抗体,靶向 Phospho-FOXO3 (Ser253)。Anti-Phospho-FOXO3 (Ser253) Antibody (7U72) 可用于 WB,IHC。

规格价格库存数量
50 μL
¥ 1,485
5日内发货
100 μL
¥ 2,490
5日内发货
大包装 & 定制
加入购物车
TargetMol 的所有产品仅用作科学研究或药证申报,不能被用于人体,我们不向个人提供产品和服务。请您遵守承诺用途,不得违反法律法规规定用于任何其他用途。
实验操作小课堂
常见问题解答
查看更多
联系我们获取更多批次信息
资源下载

产品介绍

生物活性
产品描述
Anti-Phospho-FOXO3 (Ser253) Antibody (7U72) is a Rabbit antibody targeting Phospho-FOXO3 (Ser253). Anti-Phospho-FOXO3 (Ser253) Antibody (7U72) can be used in IHC,WB.
别名p-FOXO3 (Ser253), p-FOXO3 (S253), FOXO3 (p-Ser253), FOXO3 (p-S253)
Ig Type
IgG
克隆号
7U72
交叉反应
Human,Mouse,Rat
验证活性
1. Western blot analysis of Phospho-FOXO3a (S253) on different lysates using anti-Phospho-FOXO3a (S253) antibody at 1/1,000 dilution. Positive control: Lane 1: Hela, Lane 2: PC12.
2. Immunohistochemical analysis of paraffin-embedded human tonsil tissue using anti-Phospho-FOXO3a (S253) antibody. Counter stained with hematoxylin.
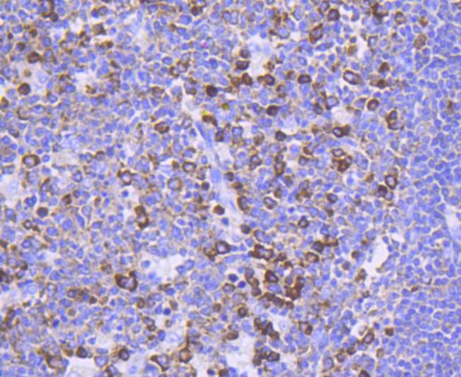
3. Immunohistochemical analysis of paraffin-embedded human breast carcinoma tissue using anti-Phospho-FOXO3a (S253) antibody. Counter stained with hematoxylin.
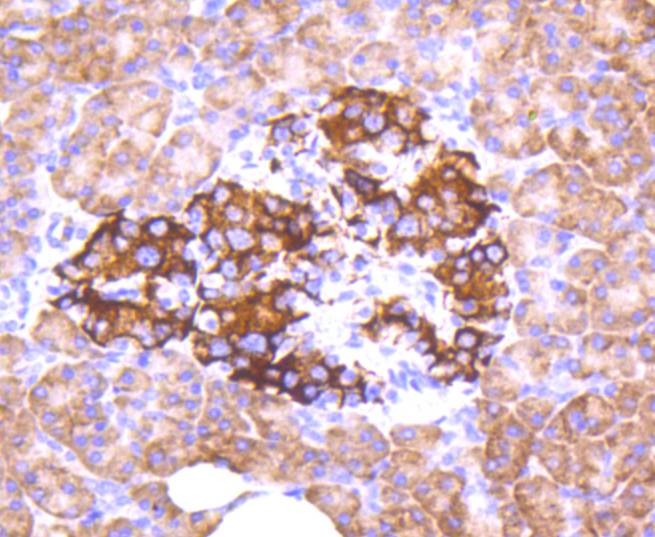
4. Immunohistochemical analysis of paraffin-embedded human pancreas tissue using anti-Phospho-FOXO3a (S253) antibody. Counter stained with hematoxylin.
5. Immunohistochemical analysis of paraffin-embedded mouse pancreas tissue using anti-Phospho-FOXO3a (S253) antibody. Counter stained with hematoxylin.
verifiedActivityverifiedActivityverifiedActivityverifiedActivityverifiedActivity
应用IHCWB
推荐剂量
WB: 1:1000-5000; IHC: 1:50-200
抗体种类
Monoclonal
宿主来源Rabbit
构建方式Recombinant Antibody
纯化方式ProA affinity purified
性状Liquid
缓冲液1*TBS (pH7.4), 1%BSA, 40%Glycerol. Preservative: 0.05% Sodium Azide.
研究背景FKHRL1 (for forkhead in rhabdomyosarcoma) is a member of the FKHR subfamily of forkhead transcription factors. Transcriptional activation of FKHR proteins is regulated by the serine/threonine kinase Akt1, which phosphorylates FKHRL1 at threonine-32 and serine-253. Phosphorylation by Akt1 negatively regulates FKHRL1 by promoting its export from the nucleus. Phosphorylated FKHRL1 associates with 14-3-3 proteins and this complex is retained in the cytoplasm. Growth factor withdrawal stimulates FKHRL1 dephosphorylation and nuclear translocation, leading to FKHR-induced gene-specific transcriptional activation. Within the nucleus, dephospho-rylated FKHRL1 triggers apoptosis by inducing the expression of genes that are critical for cell death.
偶联与修饰
偶联
Unconjugated
其他可选修饰符
Phospho
抗原信息
免疫原
A synthesized phosphopeptide: human FOXO3a around the phosphorylation site of Ser253
抗原种属
human
Uniprot ID
化学信息
分子量Theoretical: 71 kDa.
存储&运输
储存方式Store at -20°C or -80°C for 12 months. Avoid repeated freeze-thaw cycles.
运输方式Shipping with blue ice.

计算器

  • 稀释 计算器

关键词

评论列表

4个月前
5.0
Rating icon 很棒

评论内容

Related Tags: buy Anti-Phospho-FOXO3 (Ser253) Antibody (7U72) | purchase Anti-Phospho-FOXO3 (Ser253) Antibody (7U72) | Anti-Phospho-FOXO3 (Ser253) Antibody (7U72) cost | order Anti-Phospho-FOXO3 (Ser253) Antibody (7U72) | Anti-Phospho-FOXO3 (Ser253) Antibody (7U72) molecular weight