购物车
  • 全部删除
  • TargetMol
    您的购物车当前为空

Anti-Phospho-ERK1/2 (Thr202 , Tyr204) Polyclonal Antibody

Rating icon 还可以
产品编号 TMAB-01409
别名 PRKM3, Phospho-ERK1/2 (T202, Y204), p-ERK1/2 (Thr202, Tyr204), p-ERK1/2 (T202, Y204), p44-MAPK, P44MAPK, p44-ERK1, P44ERK1, HUMKER1A, HS44KDAP, ERT2, ERK-2, Erk2, ERK1/2 (p-Thr202, Tyr204), ERK1/2 (p-T202, Y204), ERK-1, ERK1

Anti-Phospho-ERK1/2 (Thr202 , Tyr204) Polyclonal Antibody 是一种 Rabbit 抗体,靶向 Phospho-ERK1/2 (Thr202 , Tyr204)。Anti-Phospho-ERK1/2 (Thr202 , Tyr204) Polyclonal Antibody 可用于 FCM,ICC/IF,IF,IHC-Fr,IHC-P。

Anti-Phospho-ERK1/2 (Thr202 , Tyr204) Polyclonal Antibody

Anti-Phospho-ERK1/2 (Thr202 , Tyr204) Polyclonal Antibody

一键复制产品信息
Rating icon 还可以
产品编号 TMAB-01409 别名 PRKM3, Phospho-ERK1/2 (T202, Y204), p-ERK1/2 (Thr202, Tyr204), p-ERK1/2 (T202, Y204), p44-MAPK, P44MAPK, p44-ERK1, P44ERK1, HUMKER1A, HS44KDAP, ERT2, ERK-2, Erk2, ERK1/2 (p-Thr202, Tyr204), ERK1/2 (p-T202, Y204), ERK-1, ERK1

Anti-Phospho-ERK1/2 (Thr202 , Tyr204) Polyclonal Antibody 是一种 Rabbit 抗体,靶向 Phospho-ERK1/2 (Thr202 , Tyr204)。Anti-Phospho-ERK1/2 (Thr202 , Tyr204) Polyclonal Antibody 可用于 FCM,ICC/IF,IF,IHC-Fr,IHC-P。

规格价格库存数量
50 μL
¥ 1,165
5日内发货
100 μL
¥ 1,960
5日内发货
200 μL
¥ 2,780
5日内发货
大包装 & 定制
加入购物车
TargetMol 的所有产品仅用作科学研究或药证申报,不能被用于人体,我们不向个人提供产品和服务。请您遵守承诺用途,不得违反法律法规规定用于任何其他用途。
实验操作小课堂
常见问题解答
查看更多
联系我们获取更多批次信息
资源下载

产品介绍

生物活性
产品描述
Anti-Phospho-ERK1/2 (Thr202 , Tyr204) Polyclonal Antibody is a Rabbit antibody targeting Phospho-ERK1/2 (Thr202 , Tyr204). Anti-Phospho-ERK1/2 (Thr202 , Tyr204) Polyclonal Antibody can be used in FCM,ICC/IF,IF,IHC-Fr,IHC-P.
别名PRKM3, Phospho-ERK1/2 (T202, Y204), p-ERK1/2 (Thr202, Tyr204), p-ERK1/2 (T202, Y204), p44-MAPK, P44MAPK, p44-ERK1, P44ERK1, HUMKER1A, HS44KDAP, ERT2, ERK-2, Erk2, ERK1/2 (p-Thr202, Tyr204), ERK1/2 (p-T202, Y204), ERK-1, ERK1
Ig Type
IgG
交叉反应
Human,Mouse,Rat (predicted:Chicken,Dog,Pig,Cow,Horse,Rabbit,GuineaPig)
验证活性
1. Blank control (blue line): U251 (fixed with 2% paraformaldehyde (10 min) and then permeabilized with 0.1% PBS-Tween for 20 min at room temperature).
Primary Antibody (green line): Rabbit Anti-phospho-ERK12 (Thr202 + Tyr204) antibody (TMAB-01409), Dilution: 3 μg/10^6 cells;
Isotype Control Antibody (orange line): Rabbit IgG.
Secondary Antibody (white blue line): Goat anti-rabbit IgG-PE, Dilution: 1 μg/test.
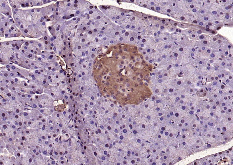
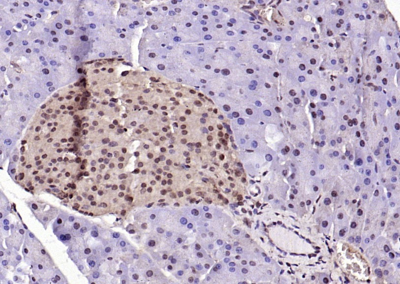
2. Paraformaldehyde-fixed, paraffin embedded (mouse pancreas); Antigen retrieval by boiling in sodium citrate buffer (pH6.0) for 15 min; Block endogenous peroxidase by 3% hydrogen peroxide for 20 min; Blocking buffer (normal goat serum) at 37°C for 30 min; Antibody incubation with (phospho-ERK12 (Thr202 + Tyr204)) Polyclonal Antibody, Unconjugated (TMAB-01409) at 1:200 overnight at 4°C, followed by operating according to SP Kit (Rabbit) instructionsand DAB staining.
3. Paraformaldehyde-fixed, paraffin embedded (rat brain); Antigen retrieval by boiling in sodium citrate buffer (pH6.0) for 15 min; Block endogenous peroxidase by 3% hydrogen peroxide for 20 min; Blocking buffer (normal goat serum) at 37°C for 30 min; Antibody incubation with (phospho-ERK12 (Thr202 + Tyr204)) Polyclonal Antibody, Unconjugated (TMAB-01409) at 1:200 overnight at 4°C, followed by operating according to SP Kit (Rabbit) instructionsand DAB staining.
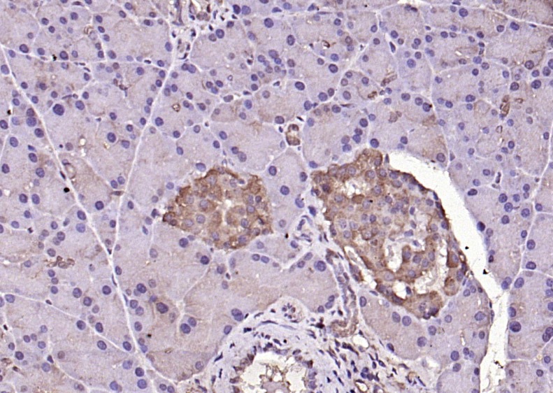
4. Paraformaldehyde-fixed, paraffin embedded (rat pancreas); Antigen retrieval by boiling in sodium citrate buffer (pH6.0) for 15 min; Block endogenous peroxidase by 3% hydrogen peroxide for 20 min; Blocking buffer (normal goat serum) at 37°C for 30 min; Antibody incubation with (phospho-ERK12 (Thr202 + Tyr204)) Polyclonal Antibody, Unconjugated (TMAB-01409) at 1:200 overnight at 4°C, followed by operating according to SP Kit (Rabbit) instructionsand DAB staining.
5. Paraformaldehyde-fixed, paraffin embedded (mouse pancreas); Antigen retrieval by boiling in sodium citrate buffer (pH6.0) for 15 min; Block endogenous peroxidase by 3% hydrogen peroxide for 20 min; Blocking buffer (normal goat serum) at 37°C for 30 min; Antibody incubation with (phospho-ERK12 (Thr202 + Tyr204)) Polyclonal Antibody, Unconjugated (TMAB-01409) at 1:200 overnight at 4°C, followed by operating according to SP Kit (Rabbit) instructionsand DAB staining.
6. Tissue/cell: Hela cell; 4% Paraformaldehyde-fixed; Triton X-100 at room temperature for 20 min; Blocking buffer (normal goat serum) at 37°C for 20 min; Antibody incubation with (phospho-ERK1/2 (Thr202 + Tyr204)) polyclonal Antibody, Unconjugated (TMAB-01409) 1:100, 90 minutes at 37°C; followed by a FITC conjugated Goat Anti-Rabbit IgG antibody at 37°C for 90 minutes, DAPI (blue) was used to stain the cell nucleus.
7. Tissue/cell: HUVEC cell; 4% Paraformaldehyde-fixed; Triton X-100 at room temperature for 20 min; Blocking buffer (normal goat serum) at 37°C for 20 min; Antibody incubation with (phospho-ERK1/2 (Thr202 + Tyr204)) polyclonal Antibody, Unconjugated (TMAB-01409) 1:100, 90 minutes at 37°C; followed by a FITC conjugated Goat Anti-Rabbit IgG antibody at 37°C for 90 minutes, DAPI (blue) was used to stain the cell nucleus.
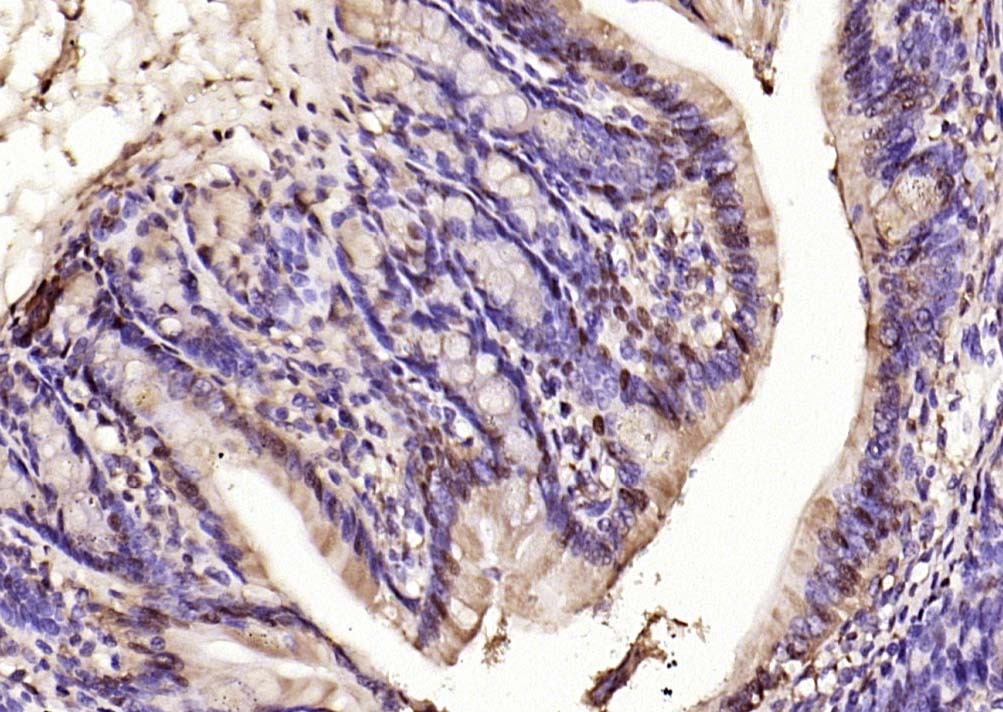
8. Paraformaldehyde-fixed, paraffin embedded (rat colon); Antigen retrieval by boiling in sodium citrate buffer (pH6.0) for 15 min; Block endogenous peroxidase by 3% hydrogen peroxide for 20 min; Blocking buffer (normal goat serum) at 37°C for 30 min; Antibody incubation with (phospho-ERK12 (Thr202 + Tyr204)) Polyclonal Antibody, Unconjugated (TMAB-01409) at 1:2000 overnight at 4°C, followed by operating according to SP Kit (Rabbit) instructionsand DAB staining.
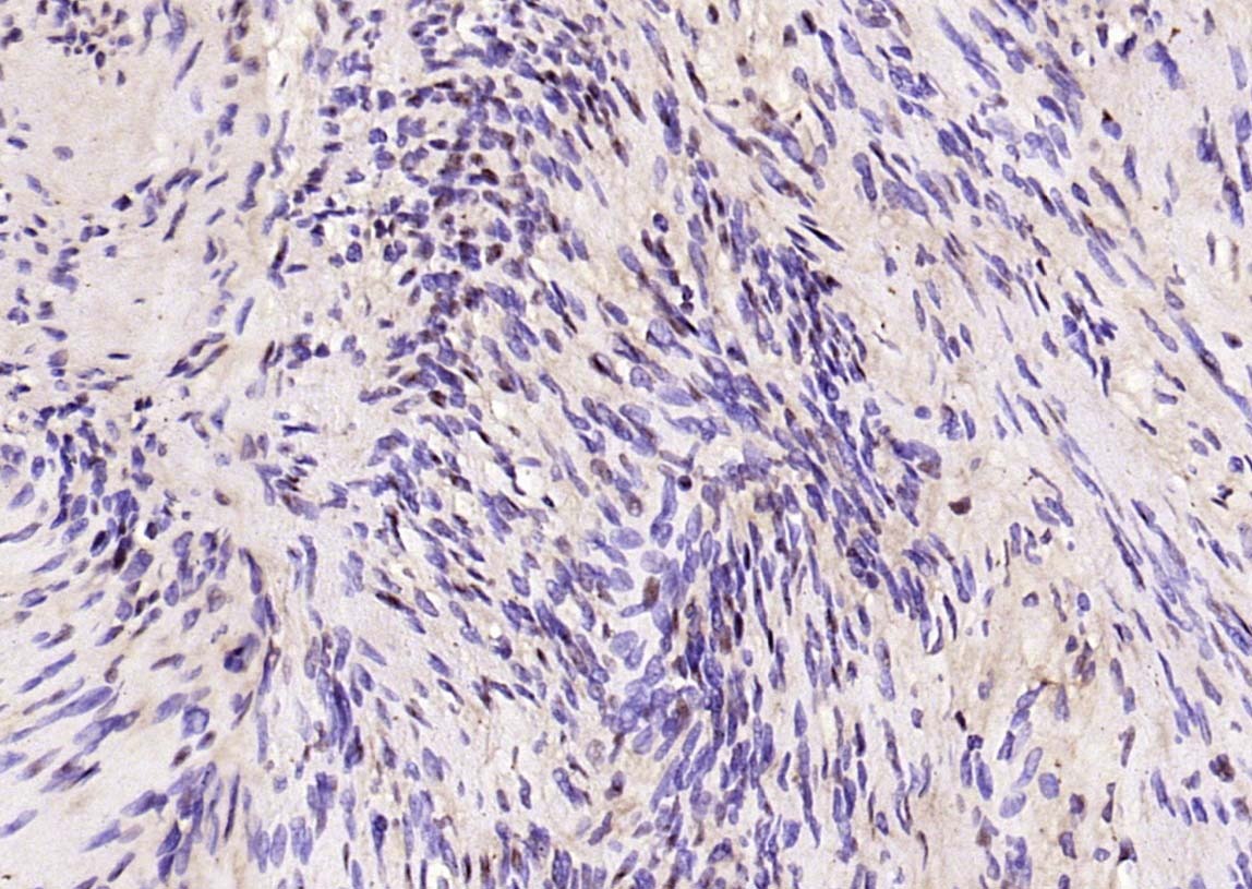
9. Paraformaldehyde-fixed, paraffin embedded (human Glioblastoma); Antigen retrieval by boiling in sodium citrate buffer (pH6.0) for 15 min; Block endogenous peroxidase by 3% hydrogen peroxide for 20 min; Blocking buffer (normal goat serum) at 37°C for 30 min; Antibody incubation with (phospho-ERK12 (Thr202 + Tyr204)) Polyclonal Antibody, Unconjugated (TMAB-01409) at 1:2000 overnight at 4°C, followed by operating according to SP Kit (Rabbit) instructionsand DAB staining.
verifiedActivityverifiedActivityverifiedActivityverifiedActivityverifiedActivityverifiedActivityverifiedActivityverifiedActivityverifiedActivity
应用FCMICC/IFIFIHC-FrIHC-P
推荐剂量
IHC-P: 1:100-500; IHC-Fr: 1:100-500; ICC/IF: 1:100; IF: 1:100-500; FCM: 1μg /test
抗体种类
Polyclonal
宿主来源Rabbit
亚细胞定位Cytoplasm, cytoskeleton, spindle. Nucleus. Cytoplasm, cytoskeleton, centrosome. Cytoplasm. Note=Associated with the spindle duringprometaphase and metaphase. PEA15-binding andphosphorylated DAPK1 promote its cytoplasmic retention.Phosphorylation at Ser-244 and Ser-246 as well asautophosphorylation at Thr-188 promote nuclear localization.
组织特异性Widely expressed.
构建方式Polyclonal Antibody
纯化方式Protein A purified
性状Liquid
缓冲液0.01M TBS (pH7.4) with 1% BSA, 0.02% Proclin300 and 50% Glycerol.
浓度1 mg/mL
研究背景The protein encoded by this gene is a member of the MAPkinase family. MAP kinases, also known as extracellularsignal-regulated kinases (ERKs), act in a signaling cascade thatregulates various cellular processes such as proliferation,differentiation, and cell cycle progression in response to avariety of extracellular signals. This kinase is activated byupstream kinases, resulting in its translocation to the nucleuswhere it phosphorylates nuclear targets. Alternatively splicedtranscript variants encoding different protein isoforms have beendescribed. [provided by RefSeq, Jul 2008].
抗原信息
免疫原
KLH conjugated Synthesised phosphopeptide: mouse p44/42 MAPK around the phosphorylation site of Thr202/Tyr204
抗原种属
Mouse
基因名称
MAPK3
蛋白名称
Mitogen-activated protein kinase 3
研究领域
Tangles & Tau,MAPK Pathway,Cytoplasmic
功能
Serine/threonine kinase which acts as an essentialcomponent of the MAP kinase signal transduction pathway. MAPK1/ERK2and MAPK3/ERK1 are the 2 MAPKs which play an important role in theMAPK/ERK cascade. They participate also in a signaling cascadeinitiated by activated KIT and KITLG/SCF. Depending on the cellularcontext, the MAPK/ERK cascade mediates diverse biological functionssuch as cell growth, adhesion, survival and differentiation throughthe regulation of transcription, translation, cytoskeletalrearrangements. The MAPK/ERK cascade plays also a role ininitiation and regulation of meiosis, mitosis, and postmitoticfunctions in differentiated cells by phosphorylating a number oftranscription factors. About 160 substrates have already beendiscovered for ERKs. Many of these substrates are localized in thenucleus, and seem to participate in the regulation of transcriptionupon stimulation. However, other substrates are found in thecytosol as well as in other cellular organelles, and those areresponsible for processes such as translation, mitosis andapoptosis. Moreover, the MAPK/ERK cascade is also involved in theregulation of the endosomal dynamics, including lysosome processingand endosome cycling through the perinuclear recycling compartment(PNRC); as well as in the fragmentation of the Golgi apparatusduring mitosis. The substrates include transcription factors (suchas ATF2, BCL6, ELK1, ERF, FOS, HSF4 or SPZ1), cytoskeletal elements(such as CANX, CTTN, GJA1, MAP2, MAPT, PXN, SORBS3 or STMN1),regulators of apoptosis (such as BAD, BTG2, CASP9, DAPK1, IER3,MCL1 or PPARG), regulators of translation (such as EIF4EBP1) and avariety of other signaling-related molecules (like ARHGEF2, DCC,FRS2 or GRB10). Protein kinases (such as RAF1, RPS6KA1/RSK1,RPS6KA3/RSK2, RPS6KA2/RSK3, RPS6KA6/RSK4, SYK, MKNK1/MNK1,MKNK2/MNK2, RPS6KA5/MSK1, RPS6KA4/MSK2, MAPKAPK3 or MAPKAPK5) andphosphatases (such as DUSP1, DUSP4, DUSP6 or DUSP16) are othersubstrates which enable the propagation the MAPK/ERK signal toadditional cytosolic and nuclear targets, thereby extending thespecificity of the cascade. Mediates phosphorylation of TPR inrespons to EGF stimulation. May play a role in the spindle assemblycheckpoint. Phosphorylates PML and promotes its interaction withPIN1, leading to PML degradation (By similarity).
Acts as a transcriptional repressor. Binds to a[GC]AAA[GC] consensus sequence. Repress the expression ofinterferon gamma-induced genes. Seems to bind to the promoter ofCCL5, DMP1, IFIH1, IFITM1, IRF7, IRF9, LAMP3, OAS1, OAS2, OAS3 andSTAT1. Transcriptional activity is independent of kinase activity.
化学信息
分子量Theoretical: 41 kDa.
存储&运输
储存方式Store at -20°C or -80°C for 12 months. Avoid repeated freeze-thaw cycles.
运输方式Shipping with blue ice.

计算器

  • 稀释 计算器

关键词

评论列表

4个月前
5.0
Rating icon 很棒

评论内容

Related Tags: buy Anti-Phospho-ERK1/2 (Thr202 , Tyr204) Polyclonal Antibody | purchase Anti-Phospho-ERK1/2 (Thr202 , Tyr204) Polyclonal Antibody | Anti-Phospho-ERK1/2 (Thr202 , Tyr204) Polyclonal Antibody cost | order Anti-Phospho-ERK1/2 (Thr202 , Tyr204) Polyclonal Antibody | Anti-Phospho-ERK1/2 (Thr202 , Tyr204) Polyclonal Antibody molecular weight