购物车
  • 全部删除
  • TargetMol
    您的购物车当前为空

Anti-Phospho-ERK1/2 (Thr185) Antibody (1B497)

Rating icon 还可以
产品编号 TMAC-03213
别名 PRKM3, Phospho-ERK1/2 (T185), p-ERK1/2 (Thr185), p-ERK1/2 (T185), p44-MAPK, P44MAPK, p44-ERK1, P44ERK1, HUMKER1A, HS44KDAP, ERT2, ERK-2, Erk2, ERK1/2 (p-Thr185), ERK1/2 (p-T185), ERK-1, ERK1

Anti-Phospho-ERK1/2 (Thr185) Antibody (1B497) 是一种 Rabbit 抗体,靶向 Phospho-ERK1/2 (Thr185)。Anti-Phospho-ERK1/2 (Thr185) Antibody (1B497) 可用于 WB,ICC,IHC,FCM。

Anti-Phospho-ERK1/2 (Thr185) Antibody (1B497)

Anti-Phospho-ERK1/2 (Thr185) Antibody (1B497)

一键复制产品信息
Rating icon 还可以
产品编号 TMAC-03213 别名 PRKM3, Phospho-ERK1/2 (T185), p-ERK1/2 (Thr185), p-ERK1/2 (T185), p44-MAPK, P44MAPK, p44-ERK1, P44ERK1, HUMKER1A, HS44KDAP, ERT2, ERK-2, Erk2, ERK1/2 (p-Thr185), ERK1/2 (p-T185), ERK-1, ERK1

Anti-Phospho-ERK1/2 (Thr185) Antibody (1B497) 是一种 Rabbit 抗体,靶向 Phospho-ERK1/2 (Thr185)。Anti-Phospho-ERK1/2 (Thr185) Antibody (1B497) 可用于 WB,ICC,IHC,FCM。

规格价格库存数量
50 μL
¥ 1,485
5日内发货
100 μL
¥ 2,495
5日内发货
大包装 & 定制
加入购物车
TargetMol 的所有产品仅用作科学研究或药证申报,不能被用于人体,我们不向个人提供产品和服务。请您遵守承诺用途,不得违反法律法规规定用于任何其他用途。
实验操作小课堂
常见问题解答
查看更多
联系我们获取更多批次信息
资源下载

产品介绍

生物活性
产品描述
Anti-Phospho-ERK1/2 (Thr185) Antibody (1B497) is a Rabbit antibody targeting Phospho-ERK1/2 (Thr185). Anti-Phospho-ERK1/2 (Thr185) Antibody (1B497) can be used in FCM,ICC,IHC,WB.
别名PRKM3, Phospho-ERK1/2 (T185), p-ERK1/2 (Thr185), p-ERK1/2 (T185), p44-MAPK, P44MAPK, p44-ERK1, P44ERK1, HUMKER1A, HS44KDAP, ERT2, ERK-2, Erk2, ERK1/2 (p-Thr185), ERK1/2 (p-T185), ERK-1, ERK1
Ig Type
IgG
克隆号
1B497
交叉反应
Human
验证活性
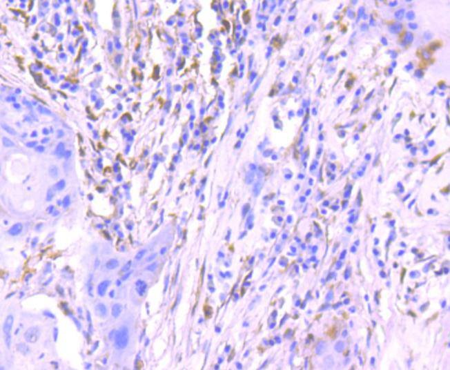
1. Immunohistochemical analysis of paraffin-embedded human lung cancer tissue using anti-Phospho-Erk1 (T202)+Erk2 (T185) antibody. Counter stained with hematoxylin.
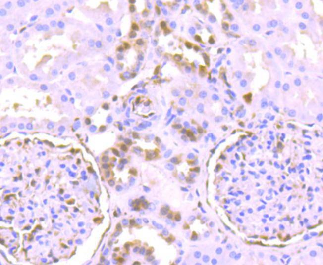
2. Immunohistochemical analysis of paraffin-embedded human kidney tissue using anti-Phospho-Erk1 (T202)+Erk2 (T185) antibody. Counter stained with hematoxylin.
3. ICC staining Phospho-Erk1 (T202)+Erk2 (T185) in A549 cells (green). The nuclear counter stain is DAPI (blue). Cells were fixed in paraformaldehyde, permeabilised with 0.25% Triton X100/PBS.
4. ICC staining Phospho-Erk1 (T202)+Erk2 (T185) in NIH/3T3 cells (green). The nuclear counter stain is DAPI (blue). Cells were fixed in paraformaldehyde, permeabilised with 0.25% Triton X100/PBS.
5. ICC staining Phospho-Erk1 (T202)+Erk2 (T185) in MCF-7 cells (green). The nuclear counter stain is DAPI (blue). Cells were fixed in paraformaldehyde, permeabilised with 0.25% Triton X100/PBS.
6. Flow cytometric analysis of MCF-7 cells with Phospho-Erk1 (T202)+Erk2 (T185) antibody at 1/50 dilution (red) compared with an unlabelled control (cells without incubation with primary antibody; black). Alexa Fluor 488-conjugated goat anti rabbit IgG was used as secondary antibody.
verifiedActivityverifiedActivityverifiedActivityverifiedActivityverifiedActivityverifiedActivity
应用FCMICCIHCWB
推荐剂量
WB: 1:1000; IHC: 1:50-200; ICC: 1:100-500; FCM: 1:50-100
抗体种类
Monoclonal
宿主来源Rabbit
构建方式Recombinant Antibody
纯化方式ProA affinity purified
性状Liquid
缓冲液1*TBS (pH7.4), 1%BSA, 40%Glycerol. Preservative: 0.05% Sodium Azide.
研究背景Mitogen-activated protein kinases (MAPKs) are a widely conserved family of serine/threonine protein kinases involved in many cellular programs, such as cell proliferation, differentiation, motility, and death. The p44/42 MAPK (Erk1/2) signaling pathway can be activated in response to a diverse range of extracellular stimuli including mitogens, growth factors, and cytokines, and research investigators consider it an important target in the diagnosis and treatment of cancer. Upon stimulation, a sequential three-part protein kinase cascade is initiated, consisting of a MAP kinase kinase kinase (MAPKKK or MAP3K), a MAP kinase kinase (MAPKK or MAP2K), and a MAP kinase (MAPK). Multiple p44/42 MAP3Ks have been identified, including members of the Raf family, as well as Mos and Tpl2/COT. MEK1 and MEK2 are the primary MAPKKs in this pathway. MEK1 and MEK2 activate p44 and p42 through phosphorylation of activation loop residues Thr202/Tyr204 and Thr185/Tyr187, respectively. Several downstream targets of p44/42 have been identified, including p90RSK and the transcription factor Elk-1. p44/42 are negatively regulated by a family of dual-specificity (Thr/Tyr) MAPK phosphatases, known as DUSPs or MKPs, along with MEK inhibitors, such as U0126 and PD98059.
偶联与修饰
偶联
Unconjugated
其他可选修饰符
Phospho
抗原信息
免疫原
A synthesized phosphopeptide: human Erk2 around the phosphorylation site of Thr185
抗原种属
human
Uniprot ID
化学信息
分子量Theoretical: 42/44 kDa.
存储&运输
储存方式Store at -20°C or -80°C for 12 months. Avoid repeated freeze-thaw cycles.
运输方式Shipping with blue ice.

计算器

  • 稀释 计算器

关键词

评论列表

4个月前
5.0
Rating icon 很棒

评论内容

Related Tags: buy Anti-Phospho-ERK1/2 (Thr185) Antibody (1B497) | purchase Anti-Phospho-ERK1/2 (Thr185) Antibody (1B497) | Anti-Phospho-ERK1/2 (Thr185) Antibody (1B497) cost | order Anti-Phospho-ERK1/2 (Thr185) Antibody (1B497) | Anti-Phospho-ERK1/2 (Thr185) Antibody (1B497) molecular weight