购物车
  • 全部删除
  • TargetMol
    您的购物车当前为空

Anti-Phospho-CREB1 (Ser133) Antibody (4I795)

Rating icon 还可以
产品编号 TMAC-03204
别名 p-CREB1 (Ser133), p-CREB1 (S133), CREB1 (p-Ser133), CREB1 (p-S133)

Anti-Phospho-CREB1 (Ser133) Antibody (4I795) 是一种 Rabbit 抗体,靶向 Phospho-CREB1 (Ser133)。Anti-Phospho-CREB1 (Ser133) Antibody (4I795) 可用于 WB,ICC,IF,IHC,IP,FCM。

Anti-Phospho-CREB1 (Ser133) Antibody (4I795)

Anti-Phospho-CREB1 (Ser133) Antibody (4I795)

一键复制产品信息
Rating icon 还可以
产品编号 TMAC-03204 别名 p-CREB1 (Ser133), p-CREB1 (S133), CREB1 (p-Ser133), CREB1 (p-S133)

Anti-Phospho-CREB1 (Ser133) Antibody (4I795) 是一种 Rabbit 抗体,靶向 Phospho-CREB1 (Ser133)。Anti-Phospho-CREB1 (Ser133) Antibody (4I795) 可用于 WB,ICC,IF,IHC,IP,FCM。

规格价格库存数量
50 μL
¥ 1,490
5日内发货
100 μL
¥ 2,485
5日内发货
大包装 & 定制
加入购物车
TargetMol 的所有产品仅用作科学研究或药证申报,不能被用于人体,我们不向个人提供产品和服务。请您遵守承诺用途,不得违反法律法规规定用于任何其他用途。
实验操作小课堂
常见问题解答
查看更多
联系我们获取更多批次信息
资源下载

产品介绍

生物活性
产品描述
Anti-Phospho-CREB1 (Ser133) Antibody (4I795) is a Rabbit antibody targeting Phospho-CREB1 (Ser133). Anti-Phospho-CREB1 (Ser133) Antibody (4I795) can be used in FCM,ICC,IF,IHC,IP,WB.
别名p-CREB1 (Ser133), p-CREB1 (S133), CREB1 (p-Ser133), CREB1 (p-S133)
Ig Type
IgG
克隆号
4I795
交叉反应
Human,Mouse
验证活性
1. Western blot analysis of Phospho-Creb (S133) on human colon tissue lysates using anti-Phospho-Creb (S133) antibody at 1/500 dilution.
2. Immunohistochemical analysis of paraffin-embedded human spleen tissue using anti-Phospho-Creb (S133) antibody. Counter stained with hematoxylin.
3. Immunohistochemical analysis of paraffin-embedded mouse colon tissue using anti-Phospho-Creb (S133) antibody. Counter stained with hematoxylin.
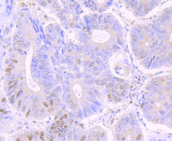
4. Immunohistochemical analysis of paraffin-embedded human colon cancer tissue using anti-Phospho-Creb (S133) antibody. Counter stained with hematoxylin.
5. ICC staining Phospho-Creb (S133) in SH-SY-5Y cells (green). The nuclear counter stain is DAPI (blue). Cells were fixed in paraformaldehyde, permeabilised with 0.25% Triton X100/PBS.
6. ICC staining Phospho-Creb (S133) in HUVEC cells (green). The nuclear counter stain is DAPI (blue). Cells were fixed in paraformaldehyde, permeabilised with 0.25% Triton X100/PBS.
7. Flow cytometric analysis of HUVEC cells with Phospho-Creb (S133) antibody at 1/100 dilution (red) compared with an unlabelled control (cells without incubation with primary antibody; black). Alexa Fluor 488-conjugated goat anti rabbit IgG was used as the secondary antibody.
verifiedActivityverifiedActivityverifiedActivityverifiedActivityverifiedActivityverifiedActivityverifiedActivity
应用FCMICCIFIHCIPWB
推荐剂量
WB: 1:500-2000; IHC: 1:50-200; ICC: 1:50-100; IP: 1:10-50; FCM: 1:50-100
抗体种类
Monoclonal
宿主来源Rabbit
构建方式Recombinant Antibody
纯化方式ProA affinity purified
性状Liquid
缓冲液1*TBS (pH7.4), 1%BSA, 40%Glycerol. Preservative: 0.05% Sodium Azide.
研究背景Phosphorylation-dependent transcription factor that stimulates transcription upon binding to the DNA cAMP response element (CRE), a sequence present in many viral and cellular promoters. Transcription activation is enhanced by the TORC coactivators which act independently of Ser-133 phosphorylation. Involved in different cellular processes including the synchronization of circadian rhythmicity and the differentiation of adipose cells.
偶联与修饰
偶联
Unconjugated
其他可选修饰符
Phospho
抗原信息
免疫原
A synthesized phosphopeptide: human Creb around the phosphorylation site of Ser133
抗原种属
human
Uniprot ID
化学信息
分子量Theoretical: 37 kDa.
存储&运输
储存方式Store at -20°C or -80°C for 12 months. Avoid repeated freeze-thaw cycles.
运输方式Shipping with blue ice.

计算器

  • 稀释 计算器

关键词

评论列表

4个月前
5.0
Rating icon 很棒

评论内容

Related Tags: buy Anti-Phospho-CREB1 (Ser133) Antibody (4I795) | purchase Anti-Phospho-CREB1 (Ser133) Antibody (4I795) | Anti-Phospho-CREB1 (Ser133) Antibody (4I795) cost | order Anti-Phospho-CREB1 (Ser133) Antibody (4I795) | Anti-Phospho-CREB1 (Ser133) Antibody (4I795) molecular weight