购物车
  • 全部删除
  • TargetMol
    您的购物车当前为空

Anti-Phospho-CBL (Tyr700) Polyclonal Antibody

Rating icon 还可以
产品编号 TMAC-00638
别名 RNF55, Proto-oncogene c-Cbl, p-CBL (Y700), p-CBL (Tyr700), CBL2, CBL (p-Y700), CBL (p-Tyr700)

Anti-Phospho-CBL (Tyr700) Polyclonal Antibody 是一种 Rabbit 抗体,靶向 Phospho-CBL (Tyr700)。Anti-Phospho-CBL (Tyr700) Polyclonal Antibody 可用于 IF,IHC,WB。

Anti-Phospho-CBL (Tyr700) Polyclonal Antibody

Anti-Phospho-CBL (Tyr700) Polyclonal Antibody

一键复制产品信息
Rating icon 还可以
产品编号 TMAC-00638 别名 RNF55, Proto-oncogene c-Cbl, p-CBL (Y700), p-CBL (Tyr700), CBL2, CBL (p-Y700), CBL (p-Tyr700)

Anti-Phospho-CBL (Tyr700) Polyclonal Antibody 是一种 Rabbit 抗体,靶向 Phospho-CBL (Tyr700)。Anti-Phospho-CBL (Tyr700) Polyclonal Antibody 可用于 IF,IHC,WB。

规格价格库存数量
50 μL
¥ 1,485
5日内发货
100 μL
¥ 2,235
5日内发货
大包装 & 定制
加入购物车
TargetMol 的所有产品仅用作科学研究或药证申报,不能被用于人体,我们不向个人提供产品和服务。请您遵守承诺用途,不得违反法律法规规定用于任何其他用途。
实验操作小课堂
常见问题解答
查看更多
联系我们获取更多批次信息
资源下载

产品介绍

生物活性
产品描述
Anti-Phospho-CBL (Tyr700) Polyclonal Antibody is a Rabbit antibody targeting Phospho-CBL (Tyr700). Anti-Phospho-CBL (Tyr700) Polyclonal Antibody can be used in IF,IHC,WB.
别名RNF55, Proto-oncogene c-Cbl, p-CBL (Y700), p-CBL (Tyr700), CBL2, CBL (p-Y700), CBL (p-Tyr700)
Ig Type
IgG
交叉反应
Human
验证活性
1. Western blot analysis of extracts from HT29 cells untreated or treated with UV using c-Cbl (phospho-Tyr700) Antibody TMAC-00638.
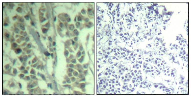
2. Immunohistochemical analysis of paraffin-embedded human breast carcinoma tissue using c-Cbl (Phospho-Tyr700) Antibody TMAC-00638(left) or the same antibody preincubated with blocking peptide (right).
3. Immunofluorescence staining of methanol-fixed Hela cells using c-Cbl (phospho-Tyr700) Antibody TMAC-00638.
verifiedActivityverifiedActivityverifiedActivity
应用IFIHCWB
抗体种类
Polyclonal
宿主来源Rabbit
构建方式Polyclonal Antibody
纯化方式Antibodies were produced by immunizing rabbits with synthetic phosphopeptide and KLH conjugates. Antibodies were purified by affinity-chromatography using epitope-specific phosphopeptide. Non-phospho specific antibodies were removed by chromatogramphy using non-phosphopeptide.
性状Liquid
缓冲液Supplied at 1.0mg/mL in phosphate buffered saline (without Mg2+ and Ca2+), pH 7.4, 150mM NaCl, 0.02% sodium azide and 50% glycerol.
研究背景Participates in signal transduction in hematopoietic cells. Adapter protein that functions as a negative regulator of many signaling pathways that start from receptors at the cell surface. Acts as an E3 ubiquitin-protein ligase, which accepts ubiquitin from specific E2 ubiquitin-conjugating enzymes, and then transfers it to substrates promoting their degradation by the proteasome. Recognizes activated receptor tyrosine kinases, including PDGFA, EGF and CSF1, and terminates signaling.
偶联与修饰
偶联
Unconjugated
其他可选修饰符
Phospho
抗原信息
免疫原
Peptide sequence around phosphorylation site of tyrosine 770 (T-E-Y(p)-M-T) derived from Human c-Cbl
抗原种属
human
Uniprot ID
存储&运输
储存方式Store at 2°C-8°C for 1 month. Store at -20°C or -80°C for 12 months. Avoid repeated freeze-thaw cycles.
运输方式Shipping with blue ice.

计算器

  • 稀释 计算器

关键词

评论列表

4个月前
5.0
Rating icon 很棒

评论内容

Related Tags: buy Anti-Phospho-CBL (Tyr700) Polyclonal Antibody | purchase Anti-Phospho-CBL (Tyr700) Polyclonal Antibody | Anti-Phospho-CBL (Tyr700) Polyclonal Antibody cost | order Anti-Phospho-CBL (Tyr700) Polyclonal Antibody