购物车
  • TargetMol
    您的购物车当前为空

Anti-Phospho-CaMK2 alpha (Tyr230) Polyclonal Antibody

Synonyms: zgc:123320, zgc:112538, R74975, PKCCD, PK2CDD, p-CaMK2 alpha (Y230), p-CaMK2 alpha (Tyr230), mKIAA0968, MGC155201, MGC139375, MGC123320, KIAA0968, KCC2A, EC 2.7.11.17, CaMK-II subunit alpha, CaMKII alpha, CaMKII, CAMKB, CAMKA, CAMK2D, CAMK2B, CAMK2A, CaMK2 alpha (p-Y230), CaMK2 alpha (p-Tyr230), CaMK II delta subunit, CaMK II beta subunit, CaMK II alpha subunit, CAM2, CaM kinase II subunit alpha, CaM kinase II delta subunit, CaM kinase II delta chain, CaM kinase II beta subunit, CaM kinase II beta chain, CaM kinase II alpha subunit, CaM kinase II alpha chain, Calcium/calmodulin-dependent protein kinase(CaM kinase) II alpha, Calcium/calmodulin-dependent protein kinase type IIA, Calcium/calmodulin-dependent protein kinase type II subunit alpha, Calcium/Calmodulin Dependent Protein Kinase II G, Calcium/calmodulin dependent protein kinase II alpha, Calcium calmodulin dependent protein kinase II alpha-B subunit, Calcium calmodulin dependent protein kinase II, Calcium calmodulin dependent protein kinase CaM kinase II alpha, alpha CaMKII
货号 TMAB-01398 一键复制产品信息
Rating icon 还可以
202603开学季活动

Anti-Phospho-CaMK2 alpha (Tyr230) Polyclonal Antibody 是一种 Rabbit 抗体,靶向 Phospho-CaMK2 alpha (Tyr230)。Anti-Phospho-CaMK2 alpha (Tyr230) Polyclonal Antibody 可用于 FCM,IF,IHC-Fr,IHC-P,WB。

Anti-Phospho-CaMK2 alpha (Tyr230) Polyclonal Antibody

一键复制产品信息
Rating icon 还可以
202603开学季活动
货号 TMAB-01398

别名 zgc:123320, zgc:112538, R74975, PKCCD, PK2CDD, p-CaMK2 alpha (Y230), p-CaMK2 alpha (Tyr230), mKIAA0968, MGC155201, MGC139375, MGC123320, KIAA0968, KCC2A, EC 2.7.11.17, CaMK-II subunit alpha, CaMKII alpha, CaMKII, CAMKB, CAMKA, CAMK2D, CAMK2B, CAMK2A, CaMK2 alpha (p-Y230), CaMK2 alpha (p-Tyr230), CaMK II delta subunit, CaMK II beta subunit, CaMK II alpha subunit, CAM2, CaM kinase II subunit alpha, CaM kinase II delta subunit, CaM kinase II delta chain, CaM kinase II beta subunit, CaM kinase II beta chain, CaM kinase II alpha subunit, CaM kinase II alpha chain, Calcium/calmodulin-dependent protein kinase(CaM kinase) II alpha, Calcium/calmodulin-dependent protein kinase type IIA, Calcium/calmodulin-dependent protein kinase type II subunit alpha, Calcium/Calmodulin Dependent Protein Kinase II G, Calcium/calmodulin dependent protein kinase II alpha, Calcium calmodulin dependent protein kinase II alpha-B subunit, Calcium calmodulin dependent protein kinase II, Calcium calmodulin dependent protein kinase CaM kinase II alpha, alpha CaMKII

Anti-Phospho-CaMK2 alpha (Tyr230) Polyclonal Antibody 是一种 Rabbit 抗体,靶向 Phospho-CaMK2 alpha (Tyr230)。Anti-Phospho-CaMK2 alpha (Tyr230) Polyclonal Antibody 可用于 FCM,IF,IHC-Fr,IHC-P,WB。

Anti-Phospho-CaMK2 alpha (Tyr230) Polyclonal Antibody
规格价格库存数量
50 μL
¥ 1,165
5日内发货
100 μL
¥ 1,970
5日内发货
200 μL
¥ 2,785
5日内发货
库存状态实时更新,以官网显示为准,现货产品可直接加购物车下单
大包装 & 定制
加入购物车

TargetMol的所有产品仅用作科学研究或药证申报,不能被用于人体,我们不向个人提供产品和服务。请您遵守承诺用途,不得违反法律法规规定用于任何其他用途。

实验操作小课堂
常见问题解答
查看更多

资源下载:产品操作手册

产品介绍


生物活性
产品描述
Anti-Phospho-CaMK2 alpha (Tyr230) Polyclonal Antibody is a Rabbit antibody targeting Phospho-CaMK2 alpha (Tyr230). Anti-Phospho-CaMK2 alpha (Tyr230) Polyclonal Antibody can be used in FCM,IF,IHC-Fr,IHC-P,WB.
别名
zgc:123320, zgc:112538, R74975, PKCCD, PK2CDD, p-CaMK2 alpha (Y230), p-CaMK2 alpha (Tyr230), mKIAA0968, MGC155201, MGC139375, MGC123320, KIAA0968, KCC2A, EC 2.7.11.17, CaMK-II subunit alpha, CaMKII alpha, CaMKII, CAMKB, CAMKA, CAMK2D, CAMK2B, CAMK2A, CaMK2 alpha (p-Y230), CaMK2 alpha (p-Tyr230), CaMK II delta subunit, CaMK II beta subunit, CaMK II alpha subunit, CAM2, CaM kinase II subunit alpha, CaM kinase II delta subunit, CaM kinase II delta chain, CaM kinase II beta subunit, CaM kinase II beta chain, CaM kinase II alpha subunit, CaM kinase II alpha chain, Calcium/calmodulin-dependent protein kinase(CaM kinase) II alpha, Calcium/calmodulin-dependent protein kinase type IIA, Calcium/calmodulin-dependent protein kinase type II subunit alpha, Calcium/Calmodulin Dependent Protein Kinase II G, Calcium/calmodulin dependent protein kinase II alpha, Calcium calmodulin dependent protein kinase II alpha-B subunit, Calcium calmodulin dependent protein kinase II, Calcium calmodulin dependent protein kinase CaM kinase II alpha, alpha CaMKII
Ig Type
IgG
反应种属
Human,Mouse,Rat (predicted:Chicken,Dog,Pig,Cow,Horse,Rabbit,Sheep)
验证活性
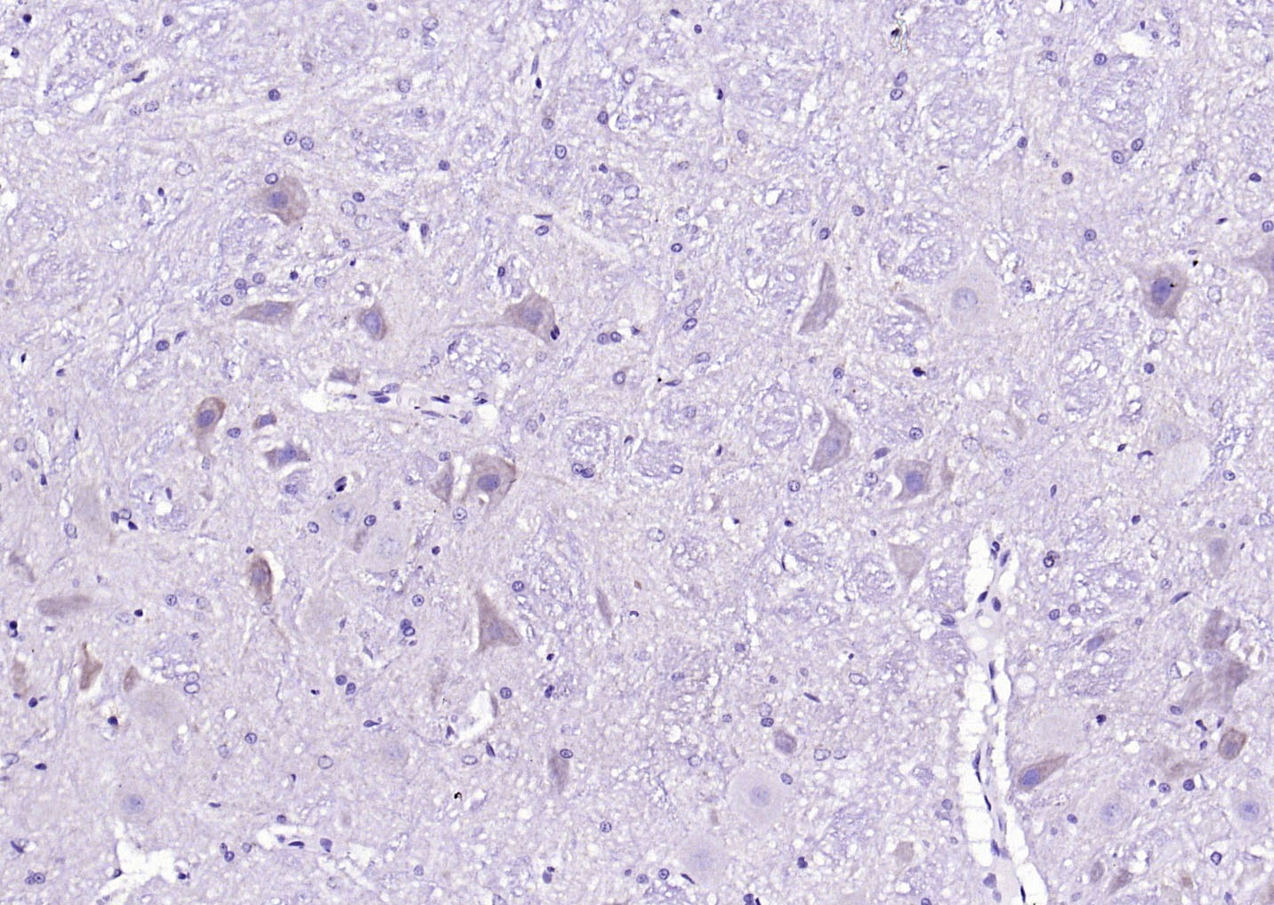
1. Paraformaldehyde-fixed, paraffin embedded (rat cerebellum); Antigen retrieval by boiling in sodium citrate buffer (pH6.0) for 15 min; Block endogenous peroxidase by 3% hydrogen peroxide for 20 min; Blocking buffer (normal goat serum) at 37°C for 30 min; Antibody incubation with (p-CaMK2 alpha (Tyr230)) Polyclonal Antibody, Unconjugated (TMAB-01398) at 1:200 overnight at 4°C, followed by operating according to SP Kit (Rabbit) instructionsand DAB staining.
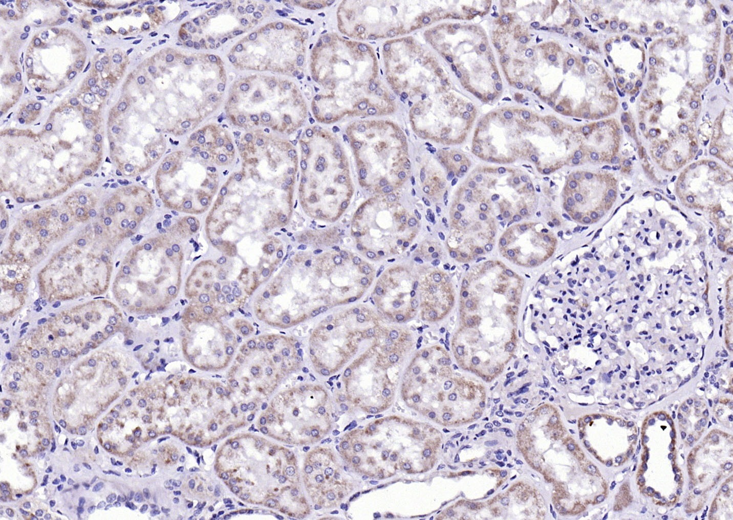
2. Paraformaldehyde-fixed, paraffin embedded (Human kidney); Antigen retrieval by boiling in sodium citrate buffer (pH6.0) for 15 min; Block endogenous peroxidase by 3% hydrogen peroxide for 20 min; Blocking buffer (normal goat serum) at 37°C for 30 min; Antibody incubation with (p-CaMK2 alpha (Tyr230)) Polyclonal Antibody, Unconjugated (TMAB-01398) at 1:200 overnight at 4°C, followed by operating according to SP Kit (Rabbit) instructionsand DAB staining.
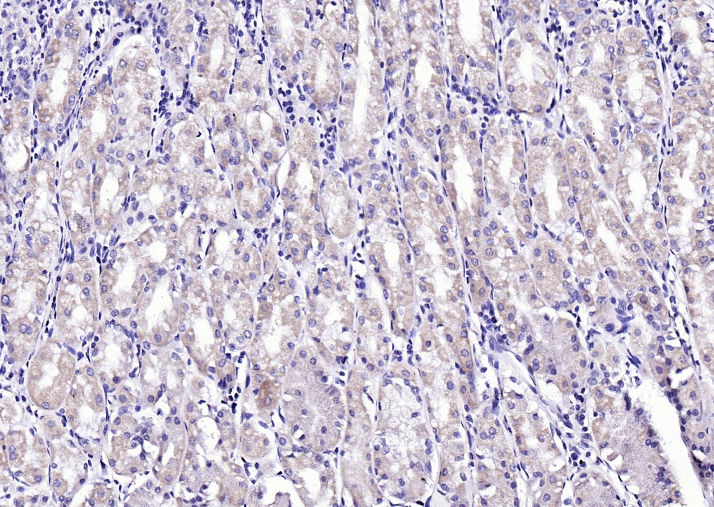
3. Paraformaldehyde-fixed, paraffin embedded (Human gastric); Antigen retrieval by boiling in sodium citrate buffer (pH6.0) for 15 min; Block endogenous peroxidase by 3% hydrogen peroxide for 20 min; Blocking buffer (normal goat serum) at 37°C for 30 min; Antibody incubation with (p-CaMK2 alpha (Tyr230)) Polyclonal Antibody, Unconjugated (TMAB-01398) at 1:200 overnight at 4°C, followed by operating according to SP Kit (Rabbit) instructionsand DAB staining.
4. Sample:
Cerebrum (Rat) cell Lysate at 40 μg
Primary: Anti-phospho-CaMK2 alpha (Tyr230) (TMAB-01398) at 1/300 dilution
Secondary: IRDye800CW Goat Anti-Rabbit IgG at 1/20000 dilution
Predicted band size: 54 kDa
Observed band size: 54 kDa
5. Blank control: K562. Primary Antibody (green line): Rabbit Anti-phospho-CaMK2 alpha (Tyr230) antibody (TMAB-01398) Dilution: 2 μg/Test; Secondary Antibody: Goat anti-rabbit IgG-FITC Dilution: 0.5 μg/Test. Protocol The cells were fixed with 4% PFA (10 min at room temperature) and then permeabilized with 0.1% PBST for 20 min at room temperature. The cells were then incubated in 5% BSA to block non-specific protein-protein interactions for 30 min at room temperature. Cells stained with Primary Antibody for 30 min at room temperature. The secondary antibody used for 40 min at room temperature.
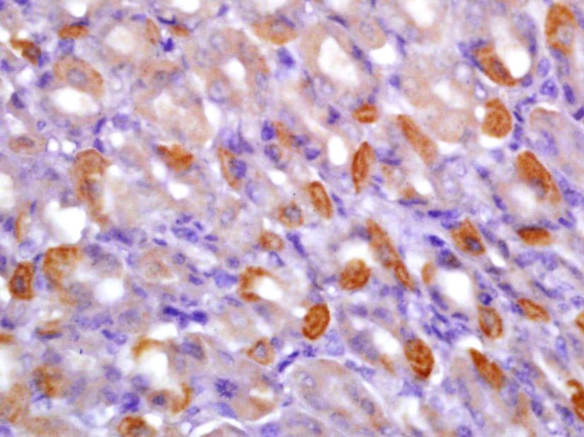
6. Paraformaldehyde-fixed, paraffin embedded (Mouse stomach); Antigen retrieval by boiling in sodium citrate buffer (pH6.0) for 15 min; Block endogenous peroxidase by 3% hydrogen peroxide for 20 min; Blocking buffer (normal goat serum) at 37°C for 30 min; Antibody incubation with (p-CaMK2 alpha) Polyclonal Antibody, Unconjugated (TMAB-01398) at 1:400 overnight at 4°C, followed by operating according to SP Kit (Rabbit) instructionsand DAB staining.
7. Sample:
Lane 1: Mouse Muscle tissue lysates
Lane 2: Mouse Heart tissue lysates
Primary: Anti-phospho-CaMK2 alpha (Tyr230) (TMAB-01398) at 1/1000 dilution
Secondary: IRDye800CW Goat Anti-Rabbit IgG at 1/20000 dilution
Predicted band size: 54 kDa
Observed band size: 50 kDa
verifiedActivityverifiedActivityverifiedActivityverifiedActivityverifiedActivityverifiedActivityverifiedActivity
应用FCMIFIHC-FrIHC-PWB
推荐剂量
WB: 1:500-2000; IHC-P: 1:100-500; IHC-Fr: 1:100-500; IF: 1:100-500; FCM: 2ug/Test
抗体种类
Polyclonal
宿主来源Rabbit
亚细胞定位Cell junction, synapse, presynaptic cell membrane. Cell junction, synapse. Note=Postsynaptic lipid rafts.
组织特异性Widely expressed. Expressed in adult and fetal brain. Expression is slightly lower in fetal brain. Expressed in skeletal muscle.
构建方式Polyclonal Antibody
纯化方式Protein A purified
性状Liquid
缓冲液0.01M TBS (pH7.4) with 1% BSA, 0.02% Proclin300 and 50% Glycerol.
浓度1 mg/mL
研究背景The product of this gene belongs to the serine/threonine protein kinase family and to the Ca(2+)/calmodulin-dependent protein kinase subfamily. Calcium signaling is crucial for several aspects of plasticity at glutamatergic synapses. In mammalian cells, the enzyme is composed of four different chains: alpha, beta, gamma, and delta. The product of this gene is a beta chain. It is possible that distinct isoforms of this chain have different cellular localizations and interact differently with calmodulin. Eight transcript variants encoding eight distinct isoforms have been identified for this gene. [provided by RefSeq, Jul 2008].
抗原信息
免疫原
KLH conjugated Synthesised phosphopeptide: human CaMK2 alpha around the phosphorylation site of Tyr231
抗原种属
Human
基因名称
CAMK2A
基因ID
蛋白名称
Calcium/calmodulin-dependent protein kinase type II subunit alpha
Uniprot ID
研究领域
Calmodulin / CaMK,Hypoxia,Hypertrophy,Response to hypoxia
功能
CaM-kinase II (CAMK2) is a prominent kinase in the central nervous system that may function in long-term potentiation and neurotransmitter release. Member of the NMDAR signaling complex in excitatory synapses it may regulate NMDAR-dependent potentiation of the AMPAR and synaptic plasticity.
化学信息
分子量Theoretical: 54 kDa. Actual: 50-54 kDa.
储存&溶解度
储存方式Store at -20°C or -80°C for 12 months. Avoid repeated freeze-thaw cycles.
运输方式Shipping with blue ice.

计算器

  • 稀释 计算器
  • 配液 计算器
Related Tags: buy Anti-Phospho-CaMK2 alpha (Tyr230) Polyclonal Antibody | purchase Anti-Phospho-CaMK2 alpha (Tyr230) Polyclonal Antibody | Anti-Phospho-CaMK2 alpha (Tyr230) Polyclonal Antibody cost | order Anti-Phospho-CaMK2 alpha (Tyr230) Polyclonal Antibody | Anti-Phospho-CaMK2 alpha (Tyr230) Polyclonal Antibody molecular weight