购物车
  • 全部删除
  • TargetMol
    您的购物车当前为空

Anti-Peroxiredoxin 2 Antibody (6A598)

Rating icon 还可以
产品编号 TMAC-03165
别名 TSA, TPX1, TDPX1, PTX1, PRXII, PRX2, PRP, peroxiredoxin 2, NKEF-B, NKEFB, HEL-S-2a

Anti-Peroxiredoxin 2 Antibody (6A598) 是一种 Rabbit 抗体,靶向 Peroxiredoxin 2。Anti-Peroxiredoxin 2 Antibody (6A598) 可用于 FCM,ICC/IF,IHC,WB。

Anti-Peroxiredoxin 2 Antibody (6A598)

Anti-Peroxiredoxin 2 Antibody (6A598)

一键复制产品信息
Rating icon 还可以
产品编号 TMAC-03165 别名 TSA, TPX1, TDPX1, PTX1, PRXII, PRX2, PRP, peroxiredoxin 2, NKEF-B, NKEFB, HEL-S-2a

Anti-Peroxiredoxin 2 Antibody (6A598) 是一种 Rabbit 抗体,靶向 Peroxiredoxin 2。Anti-Peroxiredoxin 2 Antibody (6A598) 可用于 FCM,ICC/IF,IHC,WB。

规格价格库存数量
50 μL
¥ 1,485
5日内发货
100 μL
¥ 2,480
5日内发货
大包装 & 定制
加入购物车
TargetMol 的所有产品仅用作科学研究或药证申报,不能被用于人体,我们不向个人提供产品和服务。请您遵守承诺用途,不得违反法律法规规定用于任何其他用途。
实验操作小课堂
常见问题解答
查看更多
联系我们获取更多批次信息
资源下载

产品介绍

生物活性
产品描述
Anti-Peroxiredoxin 2 Antibody (6A598) is a Rabbit antibody targeting Peroxiredoxin 2. Anti-Peroxiredoxin 2 Antibody (6A598) can be used in FCM,ICC/IF,IHC,WB.
别名TSA, TPX1, TDPX1, PTX1, PRXII, PRX2, PRP, peroxiredoxin 2, NKEF-B, NKEFB, HEL-S-2a
Ig Type
IgG
克隆号
6A598
交叉反应
Human,Mouse,Rat
验证活性
1. Western blot analysis of Peroxiredoxin 2 on different lysates using anti-Peroxiredoxin 2 antibody at 1/1,000 dilution. Positive control: Lane 1: Hela, Lane 2: HepG2.
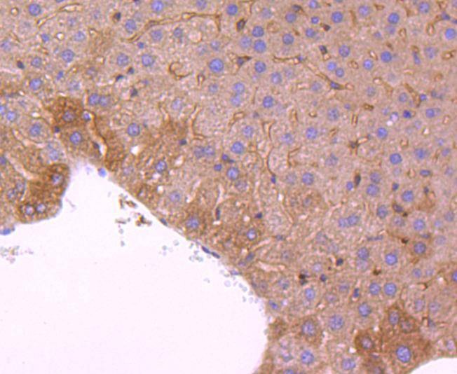
2. Immunohistochemical analysis of paraffin-embedded human liver tissue using anti-Peroxiredoxin 2 antibody. Counter stained with hematoxylin.
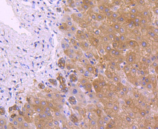
3. Immunohistochemical analysis of paraffin-embedded mouse liver tissue using anti-Peroxiredoxin 2 antibody. Counter stained with hematoxylin.
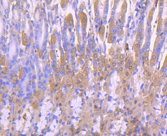
4. Immunohistochemical analysis of paraffin-embedded mouse stomach tissue using anti-Peroxiredoxin 2 antibody. Counter stained with hematoxylin.
5. ICC staining Peroxiredoxin 2 in Hela cells (green). The nuclear counter stain is DAPI (blue). Cells were fixed in paraformaldehyde, permeabilised with 0.25% Triton X100/PBS.
6. ICC staining Peroxiredoxin 2 in HepG2 cells (green). The nuclear counter stain is DAPI (blue). Cells were fixed in paraformaldehyde, permeabilised with 0.25% Triton X100/PBS.
7. ICC staining Peroxiredoxin 2 in RH-35 cells (green). The nuclear counter stain is DAPI (blue). Cells were fixed in paraformaldehyde, permeabilised with 0.25% Triton X100/PBS.
8. ICC staining Peroxiredoxin 2 in SW480 cells (green). The nuclear counter stain is DAPI (blue). Cells were fixed in paraformaldehyde, permeabilised with 0.25% Triton X100/PBS.
9. Flow cytometric analysis of Hela cells with Peroxiredoxin 2 antibody at 1/50 dilution (red) compared with an unlabelled control (cells without incubation with primary antibody; black). Alexa Fluor 488-conjugated goat anti rabbit IgG was used as the secondary antibody.
verifiedActivityverifiedActivityverifiedActivityverifiedActivityverifiedActivityverifiedActivityverifiedActivityverifiedActivityverifiedActivity
应用FCMICC/IFIHCWB
推荐剂量
WB: 1:1000-2000; IHC: 1:50-200; ICC/IF: 1:100-500; FCM: 1:10-50
抗体种类
Monoclonal
宿主来源Rabbit
构建方式Recombinant Antibody
纯化方式ProA affinity purified
性状Liquid
缓冲液1*TBS (pH7.4), 1%BSA, 40%Glycerol. Preservative: 0.05% Sodium Azide.
研究背景The peroxiredoxin (PRX) family comprises six antioxidant proteins, PRX I, II, III, IV, V and VI, which protect cells from reactive oxygen species (ROS) by preventing the metal-catalyzed oxidation of enzymes. The PRX proteins primarily utilize thioredoxin as the electron donor for antioxidation, although they are fairly promiscuous with regard to the hydroperoxide substrate. In addition to protection from ROS, peroxiredoxins are also involved in cell proliferation, differentiation and gene expression. PRX I, II, IV and VI show diffuse cytoplasmic localization, while PRX III and V exhibit distinct mitochondrial localization. PRX II is expressed in testis, while PRX III shows expression in lung. PRX I, II and III are overexpressed in breast cancer and may be involved in its development or progression. Upregulated protein levels of PRX I and II in Alzheimer's disease (AD) and Down syndrome (DS) indicate the involvement of PRX I and II in their pathogenesis.
偶联与修饰
偶联
Unconjugated
抗原信息
免疫原
Recombinant Protein
Uniprot ID
化学信息
分子量Theoretical: 22 kDa.
存储&运输
储存方式Store at -20°C or -80°C for 12 months. Avoid repeated freeze-thaw cycles.
运输方式Shipping with blue ice.

计算器

  • 稀释 计算器

关键词

评论列表

4个月前
5.0
Rating icon 很棒

评论内容

Related Tags: buy Anti-Peroxiredoxin 2 Antibody (6A598) | purchase Anti-Peroxiredoxin 2 Antibody (6A598) | Anti-Peroxiredoxin 2 Antibody (6A598) cost | order Anti-Peroxiredoxin 2 Antibody (6A598) | Anti-Peroxiredoxin 2 Antibody (6A598) molecular weight