购物车
  • TargetMol
    您的购物车当前为空

Anti-PDGF-BB Polyclonal Antibody

Synonyms: 血小板源生长因子, PDGF-BB, PDGFBB
货号 TMAB-01352 一键复制产品信息
Rating icon 还可以
202603开学季活动

Anti-PDGF-BB Polyclonal Antibody 是一种 Rabbit 抗体,靶向 PDGF-BB。Anti-PDGF-BB Polyclonal Antibody 可用于 FCM,IF,IHC-Fr,WB。

Anti-PDGF-BB Polyclonal Antibody

一键复制产品信息
Rating icon 还可以
202603开学季活动
货号 TMAB-01352

别名 血小板源生长因子, PDGF-BB, PDGFBB

Anti-PDGF-BB Polyclonal Antibody 是一种 Rabbit 抗体,靶向 PDGF-BB。Anti-PDGF-BB Polyclonal Antibody 可用于 FCM,IF,IHC-Fr,WB。

Anti-PDGF-BB Polyclonal Antibody
规格价格库存数量
50 μL
¥ 1,165
5日内发货
100 μL
¥ 1,960
5日内发货
200 μL
¥ 2,790
5日内发货
库存状态实时更新,以官网显示为准,现货产品可直接加购物车下单
大包装 & 定制
加入购物车

TargetMol的所有产品仅用作科学研究或药证申报,不能被用于人体,我们不向个人提供产品和服务。请您遵守承诺用途,不得违反法律法规规定用于任何其他用途。

实验操作小课堂
常见问题解答
查看更多

资源下载:产品操作手册

产品介绍


生物活性
产品描述
Anti-PDGF-BB Polyclonal Antibody is a Rabbit antibody targeting PDGF-BB. Anti-PDGF-BB Polyclonal Antibody can be used in FCM,IF,IHC-Fr,WB.
别名
血小板源生长因子, PDGF-BB, PDGFBB
Ig Type
IgG
反应种属
Human,Mouse,Rat (predicted:Dog,Cow,Horse,Rabbit,Sheep)
验证活性
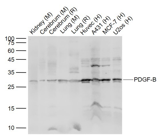
1. Sample:
Lane 1: Kidney (Mouse) Lysate at 40 μg
Lane 2: Cerebrum (Mouse) Lysate at 40 μg
Lane 3: Cerebrum (Rat) Lysate at 40 μg
Lane 4: Lung (Mouse) Lysate at 40 μg
Lane 5: Lung (Rat) Lysate at 40 μg
Lane 6: Huvec (Human) Cell Lysate at 30 μg
Lane 7: A431 (Human) Cell Lysate at 30 μg
Lane 8: MCF-7 (Human) Cell Lysate at 30 μg
Lane 9: U2os (Human) Cell Lysate at 30 μg
Primary: Anti-PDGF-B (TMAB-01352) at 1/1000 dilution
Secondary: IRDye800CW Goat Anti-Rabbit IgG at 1/20000 dilution
Predicted band size: 25 kDa
Observed band size: 28 kDa
2. Blank control (blue line): Hela (blue).
Primary Antibody (green line): Rabbit Anti-PDGF-B antibody (TMAB-01352)
Dilution: 1 μg/10^6 cells;
Isotype Control Antibody (orange line): Rabbit IgG.
Secondary Antibody (white blue line): f (ab/)2 fragment goat anti-rabbit IgG-FITC
Dilution: 1 μg/test.
Protocol
The cells were fixed with 2% paraformaldehyde (10 min), then permeabilized with 90% ice-cold methanol for 30 min on ice. Cells stained with Primary Antibody for 30 min at room temperature. The cells were then incubated in 1 X PBS/2% BSA/10% goat serum to block non-specific protein-protein interactions followed by the antibody for 15 min at room temperature. The secondary antibody used for 40 min at room temperature.
3. Sample:
Stomach (Rat) Lysate at 40 μg
Primary: Anti-PDGF-B (TMAB-01352) at 1/1000 dilution
Secondary: IRDye800CW Goat Anti-Rabbit IgG at 1/20000 dilution
Predicted band size: 27 kDa
Observed band size: 32 kDa
verifiedActivityverifiedActivityverifiedActivity
应用FCMIFIHC-FrWB
推荐剂量
WB: 1:500-2000; IHC-Fr: 1:100-500; IF: 1:100-500; FCM: 1μg/Test
抗体种类
Polyclonal
宿主来源Rabbit
亚细胞定位Secreted. Note=Released by platelets upon wounding.
组织特异性Expressed at high levels in the heart, brain (sustantia nigra), placenta and fetal kidney. Expressed at moderate levels in the brain (hippocampus), skeletal muscle, kidney and lung.
构建方式Polyclonal Antibody
纯化方式Protein A purified
性状Liquid
缓冲液0.01M TBS (pH7.4) with 1% BSA, 0.02% Proclin300 and 50% Glycerol.
浓度1 mg/mL
研究背景Platelet-derived growth factor is a potent mitogen for cells of mesenchymal origin. Binding of this growth factor to its affinity receptor elicits a variety of cellular responses. It is released by platelets upon wounding and plays an important role in stimulating adjacent cells to grow and thereby heal the wound. [SUBUNIT] Antiparallel disulfide-linked dimer of nonidentical (A and B) chains. Homodimers of A and B chains are implicated in transformation processes. A-A and B-B, as well as A-B, dimers can bind to the PDGF receptor. Belongs to the PDGF/VEGF growth factor family.
抗原信息
免疫原
KLH conjugated synthetic peptide: human PDGF-B
抗原种属
Human
基因名称
PDGFB
基因ID
蛋白名称
Platelet-derived growth factor subunit B
Uniprot ID
研究领域
Response to hypoxia,PDGF,Inflammatory mediators,Serum Proteins,Angiogenesis and vasculogenesis,Hypoxia,Heart disease,PDGF
功能
Growth factor that plays an essential role in the regulation of embryonic development, cell proliferation, cell migration, survival and chemotaxis. Potent mitogen for cells of mesenchymal origin. Required for normal proliferation and recruitment of pericytes and vascular smooth muscle cells in the central nervous system, skin, lung, heart and placenta. Required for normal blood vessel development, and for normal development of kidney glomeruli. Plays an important role in wound healing. Signaling is modulated by the formation of heterodimers with PDGFA.
化学信息
分子量Theoretical: 27 kDa. Actual: 27 kDa.
储存&溶解度
储存方式Store at -20°C or -80°C for 12 months. Avoid repeated freeze-thaw cycles.
运输方式Shipping with blue ice.

计算器

  • 稀释 计算器
  • 配液 计算器
Related Tags: buy Anti-PDGF-BB Polyclonal Antibody | purchase Anti-PDGF-BB Polyclonal Antibody | Anti-PDGF-BB Polyclonal Antibody cost | order Anti-PDGF-BB Polyclonal Antibody | Anti-PDGF-BB Polyclonal Antibody molecular weight