购物车
  • TargetMol
    您的购物车当前为空

Anti-PCNA Antibody (8X645)

Synonyms: proliferating cell nuclear antigen, ATLD2
货号 TMAC-03098 一键复制产品信息
Rating icon 还可以

Anti-PCNA Antibody (8X645) 是一种 Mouse 抗体,靶向 PCNA。Anti-PCNA Antibody (8X645) 可用于 FCM,IHC,WB。

Anti-PCNA Antibody (8X645)

一键复制产品信息
Rating icon 还可以
货号 TMAC-03098

别名 proliferating cell nuclear antigen, ATLD2

Anti-PCNA Antibody (8X645) 是一种 Mouse 抗体,靶向 PCNA。Anti-PCNA Antibody (8X645) 可用于 FCM,IHC,WB。

Anti-PCNA Antibody (8X645)
规格价格库存数量
50 μL
¥ 1,990
5日内发货
100 μL
¥ 2,990
5日内发货
库存状态实时更新,以官网显示为准,现货产品可直接加购物车下单
大包装 & 定制
加入购物车
TargetMol的所有产品仅用作科学研究或药证申报,不能被用于人体,我们不向个人提供产品和服务。请您遵守承诺用途,不得违反法律法规规定用于任何其他用途。
实验操作小课堂
常见问题解答
查看更多

资源下载:产品操作手册

产品介绍


生物活性
产品描述
Anti-PCNA Antibody (8X645) is a Mouse antibody targeting PCNA. Anti-PCNA Antibody (8X645) can be used in FCM,IHC,WB.
别名proliferating cell nuclear antigen, ATLD2
克隆号
8X645
反应种属
Human,Mouse,Rat
验证活性
1. Western blot analysis of PCNA on different cell lysates using anti-PCNA antibody at 1/1000 dilution. Positive control: Line 1: L929, Line 2: MCF-7, Line 3: PC12, Line 4: Raji, Line 5: F9, Line 6: A549.
2. Immunohistochemical analysis of paraffin-embedded mouse spleen tissue using anti-PCNA antibody. Counter stained with hematoxylin.
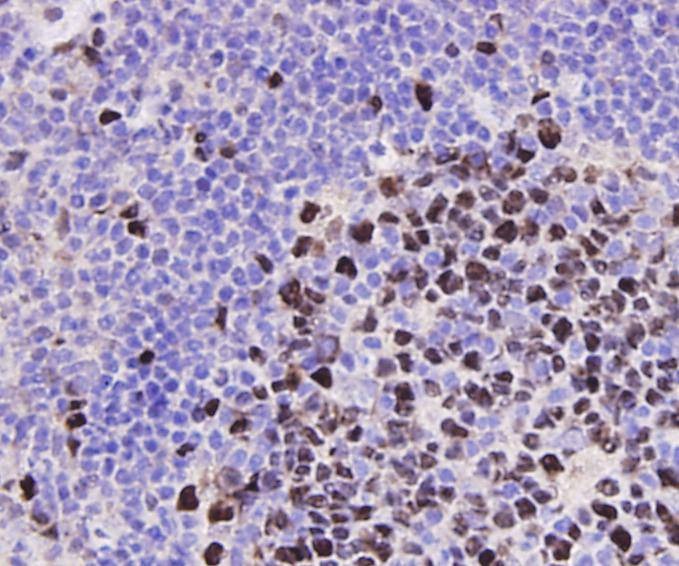
3. Immunohistochemical analysis of paraffin-embedded human tonsil tissue using anti-PCNA antibody. Counter stained with hematoxylin.
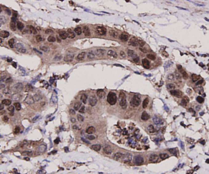
4. Immunohistochemical analysis of paraffin-embedded human stomach carcinoma tissue using anti-PCNA antibody. Counter stained with hematoxylin.
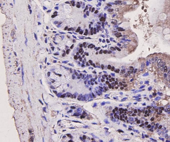
5. Immunohistochemical analysis of paraffin-embedded mouse large intestine tissue using anti-PCNA antibody. Counter stained with hematoxylin.
6. Flow cytometric analysis of Hela cells with PCNA antibody at 1/100 dilution (blue) compared with an unlabelled control (cells without incubation with primary antibody; red). Goat anti mouse IgG (FITC) was used as the secondary antibody.
verifiedActivityverifiedActivityverifiedActivityverifiedActivityverifiedActivityverifiedActivity
应用FCMIHCWB
推荐剂量
WB: 1:1000-2000; IHC: 1:200; FCM: 1:100
抗体种类
Monoclonal
宿主来源Mouse
构建方式Hybridoma Monoclonal Antibody
纯化方式ProA affinity purified
性状Liquid
缓冲液1*TBS (pH7.4), 1%BSA, 40%Glycerol. Preservative: 0.05% Sodium Azide.
研究背景PCNA (Proliferating cell nuclear antigen) is an auxiliary protein of DNA polymerase delta and is involved in the control of eukaryotic DNA replication by increasing the polymerase's processibility during elongation of the leading strand. It induces a robust stimulatory effect on the 3'-5' exonuclease and 3'-phosphodiesterase, but not apurinic-apyrimidinic (AP) endonuclease, APEX2 activities.
偶联与修饰
偶联
Unconjugated
抗原信息
免疫原
Recombinant Protein
Uniprot ID
化学信息
分子量Theoretical: 29 kDa.
储存&溶解度
储存方式Store at -20°C or -80°C for 12 months. Avoid repeated freeze-thaw cycles.
运输方式Shipping with blue ice.

计算器

  • 稀释 计算器
  • 配液 计算器

关键词

Related Tags: buy Anti-PCNA Antibody (8X645) | purchase Anti-PCNA Antibody (8X645) | Anti-PCNA Antibody (8X645) cost | order Anti-PCNA Antibody (8X645) | Anti-PCNA Antibody (8X645) molecular weight