购物车
  • TargetMol
    您的购物车当前为空

Anti-PARP1 Polyclonal Antibody

Synonyms: PPOL, Poly-PARP, PARS, PARP-1, PARP, pADPRT-1, ARTD1, ADPRT1, ADPRT 1, ADPRT
货号 TMAB-01334 一键复制产品信息
Rating icon 还可以

Anti-PARP1 Polyclonal Antibody 是一种 Rabbit 抗体,靶向 PARP1。Anti-PARP1 Polyclonal Antibody 可用于 FCM,IF,IHC-Fr,IHC-P,WB。

Anti-PARP1 Polyclonal Antibody

一键复制产品信息
Rating icon 还可以
货号 TMAB-01334

别名 PPOL, Poly-PARP, PARS, PARP-1, PARP, pADPRT-1, ARTD1, ADPRT1, ADPRT 1, ADPRT

Anti-PARP1 Polyclonal Antibody 是一种 Rabbit 抗体,靶向 PARP1。Anti-PARP1 Polyclonal Antibody 可用于 FCM,IF,IHC-Fr,IHC-P,WB。

Anti-PARP1 Polyclonal Antibody
规格价格库存数量
50 μL
¥ 1,170
5日内发货
100 μL
¥ 1,965
5日内发货
200 μL
¥ 2,795
5日内发货
库存状态实时更新,以官网显示为准,现货产品可直接加购物车下单
大包装 & 定制
加入购物车
TargetMol的所有产品仅用作科学研究或药证申报,不能被用于人体,我们不向个人提供产品和服务。请您遵守承诺用途,不得违反法律法规规定用于任何其他用途。
实验操作小课堂
常见问题解答
查看更多

资源下载:产品操作手册

产品介绍


生物活性
产品描述
Anti-PARP1 Polyclonal Antibody is a Rabbit antibody targeting PARP1. Anti-PARP1 Polyclonal Antibody can be used in FCM,IF,IHC-Fr,IHC-P,WB.
别名PPOL, Poly-PARP, PARS, PARP-1, PARP, pADPRT-1, ARTD1, ADPRT1, ADPRT 1, ADPRT
Ig Type
IgG
反应种属
Human,Mouse,Rat (predicted:Pig,Cow,Rabbit,Sheep)
验证活性
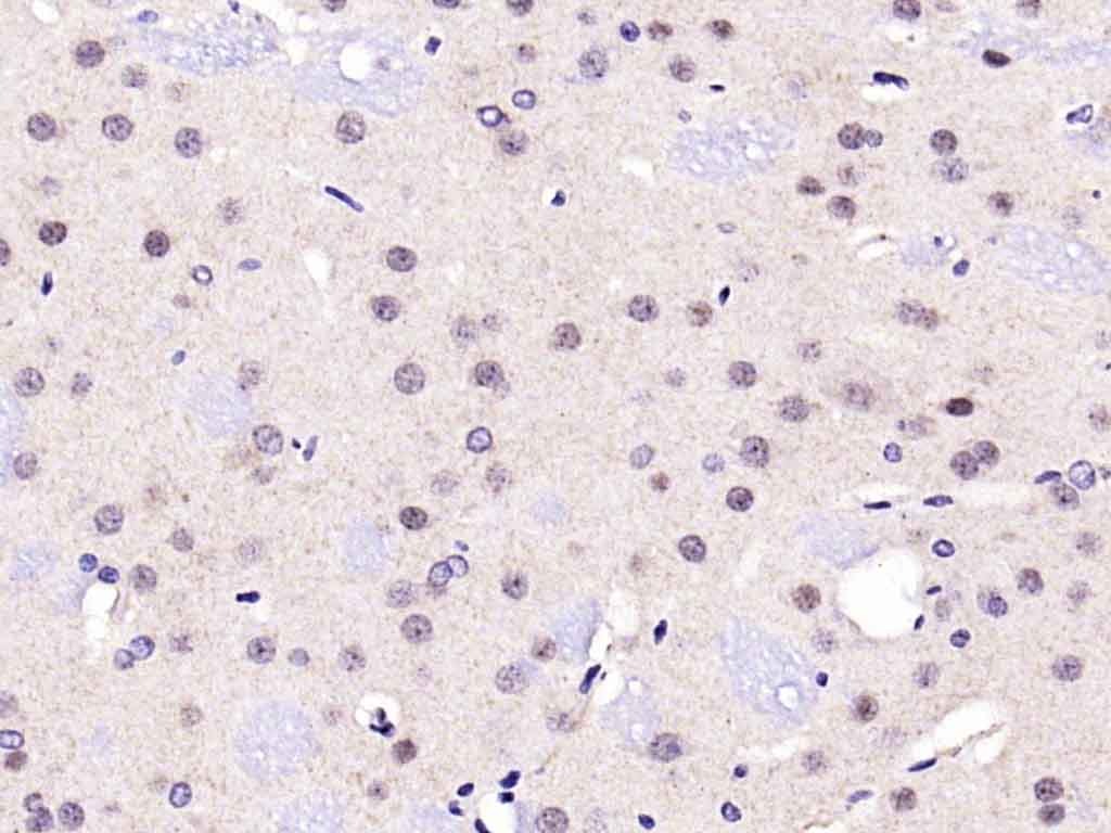
1. Paraformaldehyde-fixed, paraffin embedded (rat brain); Antigen retrieval by boiling in sodium citrate buffer (pH6.0) for 15 min; Block endogenous peroxidase by 3% hydrogen peroxide for 20 min; Blocking buffer (normal goat serum) at 37°C for 30 min; Antibody incubation with (PARP1) Polyclonal Antibody, Unconjugated (TMAB-01334) at 1:200 overnight at 4°C, followed by operating according to SP Kit (Rabbit) instructionsand DAB staining.
2. Blank control: 293T.
Primary Antibody (green line): Rabbit Anti-PARP1 antibody (TMAB-01334)
Dilution: 1 μg/10^6 cells;
Isotype Control Antibody (orange line): Rabbit IgG.
Secondary Antibody: Goat anti-rabbit IgG-AF647
Dilution: 1 μg/test.
Protocol
The cells were fixed with 4% PFA (10 min at room temperature) and then permeabilized with 90% ice-cold methanol for 20 min at-20°C. The cells were then incubated in 5% BSA to block non-specific protein-protein interactions for 30 min at room temperature. Cells stained with Primary Antibody for 30 min at room temperature. The secondary antibody used for 40 min at room temperature.
3. Sample:
Lane 1: K562 (Human) Cell Lysate at 30 μg
Lane 2: SH-SY5Y (Human) Cell Lysate at 30 μg
Lane 3: U251 (Human) Cell Lysate at 30 μg
Lane 4: Hela (Human) Cell Lysate at 30 μg
Primary: Anti-PARP1 (TMAB-01334) at 1/1000 dilution
Secondary: IRDye800CW Goat Anti-Rabbit IgG at 1/20000 dilution
Predicted band size: 115 kDa
Observed band size: 115 kDa
4. Sample:
Testis (Mouse) Lysate at 40 μg
Primary: Anti-PARP1 (TMAB-01334) at 1/300 dilution
Secondary: IRDye800CW Goat Anti-Rabbit IgG at 1/20000 dilution
Predicted band size: 112 kDa
Observed band size: 112 kDa
verifiedActivityverifiedActivityverifiedActivityverifiedActivity
应用FCMIFIHC-FrIHC-PWB
推荐剂量
WB: 1:500-2000; IHC-P: 1:100-500; IHC-Fr: 1:100-500; IF: 1:100-500; FCM: 1ug/Test
抗体种类
Polyclonal
宿主来源Rabbit
亚细胞定位Mitochondrion outer membrane; Single-pass membrane protein. Nucleus membrane; Single-pass membrane protein. Endoplasmic reticulum membrane; Single-pass membrane protein.Nucleus.
构建方式Polyclonal Antibody
纯化方式Protein A purified
性状Liquid
缓冲液0.01M TBS (pH7.4) with 1% BSA, 0.02% Proclin300 and 50% Glycerol.
浓度1 mg/mL
研究背景This gene encodes a chromatin-associated enzyme, poly(ADP-ribosyl)transferase, which modifies various nuclear proteins by poly(ADP-ribosyl)ation. The modification is dependent on DNA and is involved in the regulation of various important cellular processes such as differentiation, proliferation, and tumor transformation and also in the regulation of the molecular events involved in the recovery of cell from DNA damage. In addition, this enzyme may be the site of mutation in Fanconi anemia, and may participate in the pathophysiology of type I diabetes. [provided by RefSeq, Jul 2008].
抗原信息
免疫原
KLH conjugated synthetic peptide: human PARP1
抗原种属
Human
基因名称
PARP1
基因ID
蛋白名称
Poly [ADP-ribose] polymerase 1
Uniprot ID
研究领域
ADP-ribosylation,Base Excision Repair,DNA Damage Recognition
功能
Involved in the base excision repair (BER) pathway, by catalyzing the poly(ADP-ribosyl)ation of a limited number of acceptor proteins involved in chromatin architecture and in DNA metabolism. This modification follows DNA damages and appears as an obligatory step in a detection/signaling pathway leading to the reparation of DNA strand breaks. Mediates the poly(ADP-ribosyl)ation of APLF and CHFR. Positively regulates the transcription of MTUS1 and negatively regulates the transcription of MTUS2/TIP150. With EEF1A1 and TXK, forms a complex that acts as a T-helper 1 (Th1) cell-specific transcription factor and binds the promoter of IFN-gamma to directly regulate its transcription, and is thus involved importantly in Th1 cytokine production.
化学信息
分子量Theoretical: 112 kDa. Actual: 112 kDa.
储存&溶解度
储存方式Store at -20°C or -80°C for 12 months. Avoid repeated freeze-thaw cycles.
运输方式Shipping with blue ice.

计算器

  • 稀释 计算器
  • 配液 计算器
Related Tags: buy Anti-PARP1 Polyclonal Antibody | purchase Anti-PARP1 Polyclonal Antibody | Anti-PARP1 Polyclonal Antibody cost | order Anti-PARP1 Polyclonal Antibody | Anti-PARP1 Polyclonal Antibody molecular weight