购物车
  • TargetMol
    您的购物车当前为空

Anti-PARP1 Antibody (4Z18)

Synonyms: PPOL, Poly-PARP, PARS, PARP-1, PARP, pADPRT-1, ARTD1, ADPRT1, ADPRT 1, ADPRT
货号 TMAC-03070 一键复制产品信息
Rating icon 还可以

Anti-PARP1 Antibody (4Z18) 是一种 Rabbit 抗体,靶向 PARP1。Anti-PARP1 Antibody (4Z18) 可用于 FCM,ICC/IF,IHC,WB。

Anti-PARP1 Antibody (4Z18)

一键复制产品信息
Rating icon 还可以
货号 TMAC-03070

别名 PPOL, Poly-PARP, PARS, PARP-1, PARP, pADPRT-1, ARTD1, ADPRT1, ADPRT 1, ADPRT

Anti-PARP1 Antibody (4Z18) 是一种 Rabbit 抗体,靶向 PARP1。Anti-PARP1 Antibody (4Z18) 可用于 FCM,ICC/IF,IHC,WB。

Anti-PARP1 Antibody (4Z18)
规格价格库存数量
50 μL
¥ 1,480
5日内发货
100 μL
¥ 2,480
5日内发货
库存状态实时更新,以官网显示为准,现货产品可直接加购物车下单
大包装 & 定制
加入购物车

TargetMol的所有产品仅用作科学研究或药证申报,不能被用于人体,我们不向个人提供产品和服务。请您遵守承诺用途,不得违反法律法规规定用于任何其他用途。

实验操作小课堂
常见问题解答
查看更多

资源下载:产品操作手册

产品介绍


生物活性
产品描述
Anti-PARP1 Antibody (4Z18) is a Rabbit antibody targeting PARP1. Anti-PARP1 Antibody (4Z18) can be used in FCM,ICC/IF,IHC,WB.
别名
PPOL, Poly-PARP, PARS, PARP-1, PARP, pADPRT-1, ARTD1, ADPRT1, ADPRT 1, ADPRT
Ig Type
IgG
克隆号
4Z18
反应种属
Human,Mouse,Rat
验证活性
1. Western blot analysis of PARP on different lysates using anti-PARP antibody at 1/1,000 dilution. Positive control: Lane 1: A549, Lane 2: Jurkat, Lane 3: Hela.
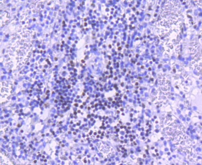
2. Immunohistochemical analysis of paraffin-embedded human spleen tissue using anti-PARP antibody. Counter stained with hematoxylin.
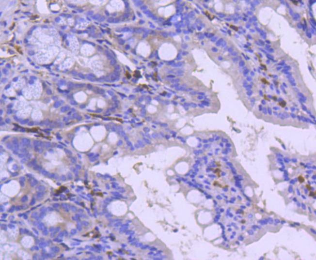
3. Immunohistochemical analysis of paraffin-embedded mouse colon tissue using anti-PARP antibody. Counter stained with hematoxylin.
4. ICC staining PARP in Hela cells (green). The nuclear counter stain is DAPI (blue). Cells were fixed in paraformaldehyde, permeabilised with 0.25% Triton X100/PBS.
5. Flow cytometric analysis of Hela cells with PARP antibody at 1/50 dilution (red) compared with an unlabelled control (cells without incubation with primary antibody; black). Alexa Fluor 488-conjugated goat anti rabbit IgG was used as the secondary antibody.
verifiedActivityverifiedActivityverifiedActivityverifiedActivityverifiedActivity
应用FCMICC/IFIHCWB
推荐剂量
WB: 1:1000; IHC: 1:50-200; ICC/IF: 1:50-200; FCM: 1:50-100
抗体种类
Monoclonal
宿主来源Rabbit
构建方式Recombinant Antibody
纯化方式ProA affinity purified
性状Liquid
缓冲液1*TBS (pH7.4), 1%BSA, 40%Glycerol. Preservative: 0.05% Sodium Azide.
研究背景PARP, a 116 kDa nuclear poly (ADP-ribose) polymerase, appears to be involved in DNA repair in response to environmental stress. This protein can be cleaved by many ICE-like caspases in vitro and is one of the main cleavage targets of caspase-3 in vivo. In human PARP, the cleavage occurs between Asp214 and Gly215, which separates the PARP amino-terminal DNA binding domain (24 kDa) from the carboxy-terminal catalytic domain (89 kDa). PARP helps cells to maintain their viability; cleavage of PARP facilitates cellular disassembly and serves as a marker of cells undergoing apoptosis.
偶联与修饰
偶联
Unconjugated
抗原信息
免疫原
Recombinant Protein
Uniprot ID
化学信息
分子量Theoretical: 113/89 kDa.
储存&溶解度
储存方式Store at -20°C or -80°C for 12 months. Avoid repeated freeze-thaw cycles.
运输方式Shipping with blue ice.

计算器

  • 稀释 计算器
  • 配液 计算器
Related Tags: buy Anti-PARP1 Antibody (4Z18) | purchase Anti-PARP1 Antibody (4Z18) | Anti-PARP1 Antibody (4Z18) cost | order Anti-PARP1 Antibody (4Z18) | Anti-PARP1 Antibody (4Z18) molecular weight