购物车
  • TargetMol
    您的购物车当前为空

Anti-PAK2 Antibody (7G572)

Synonyms: Serine/threonine-protein kinase PAK 2, S6/H4 kinase, PAK65, PAK-2, p58, p21-activated kinase 2, Gamma-PAK, EC 2.7.11.1
货号 TMAC-03056 一键复制产品信息
Rating icon 还可以
202603开学季活动

Anti-PAK2 Antibody (7G572) 是一种 Rabbit 抗体,靶向 PAK2。Anti-PAK2 Antibody (7G572) 可用于 FCM,ICC,IF,IHC,WB。

Anti-PAK2 Antibody (7G572)

一键复制产品信息
Rating icon 还可以
202603开学季活动
货号 TMAC-03056

别名 Serine/threonine-protein kinase PAK 2, S6/H4 kinase, PAK65, PAK-2, p58, p21-activated kinase 2, Gamma-PAK, EC 2.7.11.1

Anti-PAK2 Antibody (7G572) 是一种 Rabbit 抗体,靶向 PAK2。Anti-PAK2 Antibody (7G572) 可用于 FCM,ICC,IF,IHC,WB。

Anti-PAK2 Antibody (7G572)
规格价格库存数量
50 μL
¥ 1,490
5日内发货
100 μL
¥ 2,490
5日内发货
库存状态实时更新,以官网显示为准,现货产品可直接加购物车下单
大包装 & 定制
加入购物车

TargetMol的所有产品仅用作科学研究或药证申报,不能被用于人体,我们不向个人提供产品和服务。请您遵守承诺用途,不得违反法律法规规定用于任何其他用途。

实验操作小课堂
常见问题解答
查看更多

资源下载:产品操作手册

产品介绍


生物活性
产品描述
Anti-PAK2 Antibody (7G572) is a Rabbit antibody targeting PAK2. Anti-PAK2 Antibody (7G572) can be used in FCM,ICC,IF,IHC,WB.
别名
Serine/threonine-protein kinase PAK 2, S6/H4 kinase, PAK65, PAK-2, p58, p21-activated kinase 2, Gamma-PAK, EC 2.7.11.1
Ig Type
IgG
克隆号
7G572
反应种属
Human,Mouse,Rat
验证活性
1. Western blot analysis of PAK2 on mouse thymus tissue (1) and MCF-7 cell (2) lysate using anti-PAK2 antibody at 1/500 dilution.
2. Immunohistochemical analysis of paraffin-embedded human colon cancer tissue using anti-PAK2 antibody. Counter stained with hematoxylin.
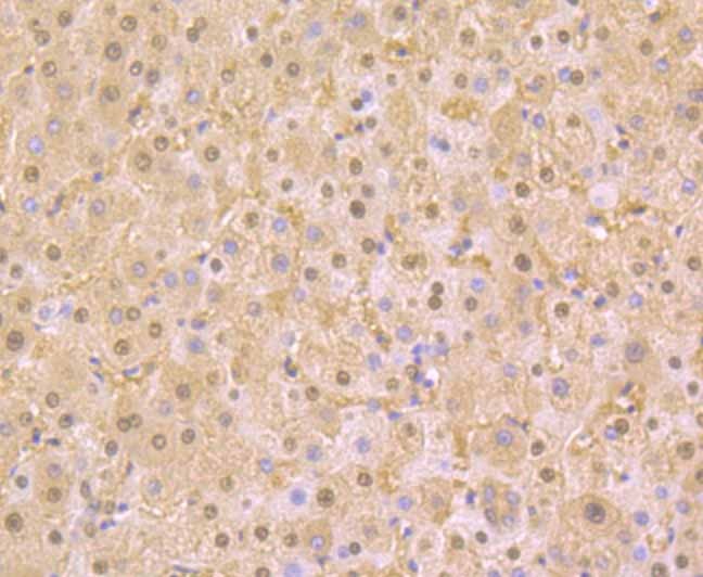
3. Immunohistochemical analysis of paraffin-embedded human liver tissue using anti-PAK2 antibody. Counter stained with hematoxylin.
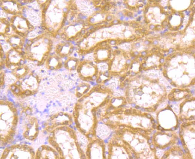
4. Immunohistochemical analysis of paraffin-embedded rat kidney tissue using anti-PAK2 antibody. Counter stained with hematoxylin.
5. ICC staining PAK2 in A431 cells (green). The nuclear counter stain is DAPI (blue). Cells were fixed in paraformaldehyde, permeabilised with 0.25% Triton X100/PBS.
6. ICC staining PAK2 in SiHa cells (green). The nuclear counter stain is DAPI (blue). Cells were fixed in paraformaldehyde, permeabilised with 0.25% Triton X100/PBS.
7. Flow cytometric analysis of A431 cells with PAK2 antibody at 1/100 dilution (red) compared with an unlabelled control (cells without incubation with primary antibody; black). Alexa Fluor 488-conjugated goat anti rabbit IgG was used as the secondary antibody.
verifiedActivityverifiedActivityverifiedActivityverifiedActivityverifiedActivityverifiedActivityverifiedActivity
应用FCMICCIFIHCWB
推荐剂量
WB: 1:500-1000; IHC: 1:100-500; ICC: 1:100-500; FCM: 1:50-100
抗体种类
Monoclonal
宿主来源Rabbit
构建方式Recombinant Antibody
纯化方式ProA affinity purified
性状Liquid
缓冲液1*TBS (pH7.4), 1%BSA, 40%Glycerol. Preservative: 0.05% Sodium Azide.
研究背景Three recently identified isoforms of serine/threonine kinases, designated αPAK p68, βPAK p65 and γPAK p62, have been shown to exhibit a high degree of sequence homology with the S. cerevisiae kinase STE20, involved in pheromone signaling. The α, β, and γPAK isoforms complex specifically with Rac1 and Cdc42 in their active GTP bound state, inhibiting their intrinsic GTPase activity leading to their autophosphorylation. Once phosphorylated and their affinity for Rac/Cdc42 reduced, the PAK isoforms disassociate from the complex to seek downstream substrates. One such putative substrate is MEK kinase, an upstream effector of MEK4 which is involved in the JNK signaling pathway. While the PAK isoforms interact in a GTP-dependent manner with Rac1 and Cdc42, they do not interact with Rho.
偶联与修饰
偶联
Unconjugated
抗原信息
免疫原
Recombinant Protein
Uniprot ID
化学信息
分子量Theoretical: 58 kDa.
储存&溶解度
储存方式Store at -20°C or -80°C for 12 months. Avoid repeated freeze-thaw cycles.
运输方式Shipping with blue ice.

计算器

  • 稀释 计算器
  • 配液 计算器
Related Tags: buy Anti-PAK2 Antibody (7G572) | purchase Anti-PAK2 Antibody (7G572) | Anti-PAK2 Antibody (7G572) cost | order Anti-PAK2 Antibody (7G572) | Anti-PAK2 Antibody (7G572) molecular weight