购物车
  • TargetMol
    您的购物车当前为空

Anti-p16-INK4a Antibody (7Y998)

Synonyms: p19ARF, p16-INK4a, p16-INK4, p16Cdkn2a, p16, MTS1, INK4A, cyclin-dependent kinase inhibitor 2A, isoform 2, cyclin-dependent kinase inhibitor 2A, isoform 1, cyclin-dependent kinase inhibitor 2a p19Arf, cyclin-dependent kinase inhibitor 2a p16Ink4a, cyclin-dependent kinase inhibitor 2A, cyclin-dependent kinase 4 inhibitor A, Cyclin dependent kinase inhibitor 2A(p16, inhibits CDK4), cell cycle regulator, cell cycle inhibitor, Cdkn2a, CDK4I, CD2A2, Arf
货号 TMAC-02938 一键复制产品信息
Rating icon 还可以

Anti-p16-INK4a Antibody (7Y998) 是一种 Rabbit 抗体,靶向 p16-INK4a。Anti-p16-INK4a Antibody (7Y998) 可用于 FCM,ICC/IF,IHC,IP,WB。

Anti-p16-INK4a Antibody (7Y998)

一键复制产品信息
Rating icon 还可以
货号 TMAC-02938

别名 p19ARF, p16-INK4a, p16-INK4, p16Cdkn2a, p16, MTS1, INK4A, cyclin-dependent kinase inhibitor 2A, isoform 2, cyclin-dependent kinase inhibitor 2A, isoform 1, cyclin-dependent kinase inhibitor 2a p19Arf, cyclin-dependent kinase inhibitor 2a p16Ink4a, cyclin-dependent kinase inhibitor 2A, cyclin-dependent kinase 4 inhibitor A, Cyclin dependent kinase inhibitor 2A(p16, inhibits CDK4), cell cycle regulator, cell cycle inhibitor, Cdkn2a, CDK4I, CD2A2, Arf

Anti-p16-INK4a Antibody (7Y998) 是一种 Rabbit 抗体,靶向 p16-INK4a。Anti-p16-INK4a Antibody (7Y998) 可用于 FCM,ICC/IF,IHC,IP,WB。

Anti-p16-INK4a Antibody (7Y998)
规格价格库存数量
50 μL
¥ 1,490
5日内发货
100 μL
¥ 2,495
5日内发货
库存状态实时更新,以官网显示为准,现货产品可直接加购物车下单
大包装 & 定制
加入购物车
TargetMol的所有产品仅用作科学研究或药证申报,不能被用于人体,我们不向个人提供产品和服务。请您遵守承诺用途,不得违反法律法规规定用于任何其他用途。
实验操作小课堂
常见问题解答
查看更多

资源下载:产品操作手册

产品介绍


生物活性
产品描述
Anti-p16-INK4a Antibody (7Y998) is a Rabbit antibody targeting p16-INK4a. Anti-p16-INK4a Antibody (7Y998) can be used in FCM,ICC/IF,IHC,IP,WB.
别名p19ARF, p16-INK4a, p16-INK4, p16Cdkn2a, p16, MTS1, INK4A, cyclin-dependent kinase inhibitor 2A, isoform 2, cyclin-dependent kinase inhibitor 2A, isoform 1, cyclin-dependent kinase inhibitor 2a p19Arf, cyclin-dependent kinase inhibitor 2a p16Ink4a, cyclin-dependent kinase inhibitor 2A, cyclin-dependent kinase 4 inhibitor A, Cyclin dependent kinase inhibitor 2A(p16, inhibits CDK4), cell cycle regulator, cell cycle inhibitor, Cdkn2a, CDK4I, CD2A2, Arf
Ig Type
IgG
克隆号
7Y998
反应种属
Human
验证活性
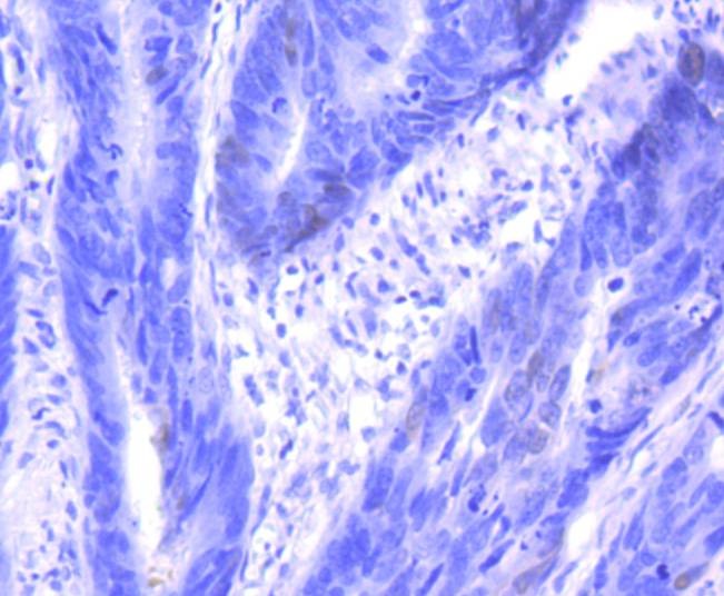
1. Immunohistochemical analysis of paraffin-embedded human colon cancer tissue using anti-p16INK4A antibody. Counter stained with hematoxylin.
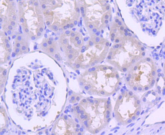
2. Immunohistochemical analysis of paraffin-embedded human kidney tissue using anti-p16INK4A antibody. Counter stained with hematoxylin.
3. ICC staining p16INK4A in HepG2 cells (green). The nuclear counter stain is DAPI (blue). Cells were fixed in paraformaldehyde, permeabilised with 0.25% Triton X100/PBS.
4. ICC staining p16INK4A in Hela cells (green). The nuclear counter stain is DAPI (blue). Cells were fixed in paraformaldehyde, permeabilised with 0.25% Triton X100/PBS.
5. ICC staining p16INK4A in PC-3M cells (green). The nuclear counter stain is DAPI (blue). Cells were fixed in paraformaldehyde, permeabilised with 0.25% Triton X100/PBS.
6. Flow cytometric analysis of Hela cells with p16INK4A antibody at 1/50 dilution (red) compared with an unlabelled control (cells without incubation with primary antibody; black). Alexa Fluor 488-conjugated goat anti rabbit IgG was used as the secondary antibody.
verifiedActivityverifiedActivityverifiedActivityverifiedActivityverifiedActivityverifiedActivity
应用FCMICC/IFIHCIPWB
推荐剂量
WB: 1:500-1000; IHC: 1:50-200; ICC/IF: 1:100-500; FCM: 1:50-100
抗体种类
Monoclonal
宿主来源Rabbit
构建方式Recombinant Antibody
纯化方式ProA affinity purified
性状Liquid
缓冲液1*TBS (pH7.4), 1%BSA, 40%Glycerol. Preservative: 0.05% Sodium Azide.
研究背景The progression of cells through the cell cycle is regulated by a family of proteins designated cyclin-dependent kinases (Cdks). Sequential activation of individual members of this family and their consequent phosphorylation of critical substrates, promote orderly progression through the cell cycle. The protein p16INK4A, identified as a negative regulator of the cell cycle, has been shown to bind to and inhibit the activity of the Cdk4/cyclin D complex. p19 ARF, which is unrelated to p16, arises from transcription of an alternative reading frame of the p16 gene. Like p16, p19 ARF has been shown to induce cell cycle arrest. Mice lacking p19 ARF but expressing functional p16 have been shown to develop tumors early in life. Further studies have indicated that p19 ARF may be disrupted in a large percentage of human T cell acute lymphoblastic leukemias.
偶联与修饰
偶联
Unconjugated
抗原信息
免疫原
Recombinant Protein
Uniprot ID
化学信息
分子量Theoretical: 17 kDa.
储存&溶解度
储存方式Store at -20°C or -80°C for 12 months. Avoid repeated freeze-thaw cycles.
运输方式Shipping with blue ice.

计算器

  • 稀释 计算器
  • 配液 计算器
Related Tags: buy Anti-p16-INK4a Antibody (7Y998) | purchase Anti-p16-INK4a Antibody (7Y998) | Anti-p16-INK4a Antibody (7Y998) cost | order Anti-p16-INK4a Antibody (7Y998) | Anti-p16-INK4a Antibody (7Y998) molecular weight