购物车
  • TargetMol
    您的购物车当前为空

Anti-ox-LDL Polyclonal Antibody

Synonyms: 氧化型低密度脂蛋白, ox-LDL: LDL(Copper oxidized), oxidized low density lipoprotein, MDA oxidized low density lipoprotein, MDA oxidized LDL, Low density lipoprotein, Cu2SO4 oxidized low density lipoprotein
货号 TMAB-01308 一键复制产品信息
Rating icon 还可以

Anti-ox-LDL Polyclonal Antibody 是一种 Rabbit 抗体,靶向 ox-LDL。Anti-ox-LDL Polyclonal Antibody 可用于 FCM,IF,IHC-Fr,IHC-P。

Anti-ox-LDL Polyclonal Antibody

一键复制产品信息
Rating icon 还可以
货号 TMAB-01308

别名 氧化型低密度脂蛋白, ox-LDL: LDL(Copper oxidized), oxidized low density lipoprotein, MDA oxidized low density lipoprotein, MDA oxidized LDL, Low density lipoprotein, Cu2SO4 oxidized low density lipoprotein

Anti-ox-LDL Polyclonal Antibody 是一种 Rabbit 抗体,靶向 ox-LDL。Anti-ox-LDL Polyclonal Antibody 可用于 FCM,IF,IHC-Fr,IHC-P。

Anti-ox-LDL Polyclonal Antibody
规格价格库存数量
50 μL
¥ 1,165
5日内发货
100 μL
¥ 1,960
5日内发货
200 μL
¥ 2,795
5日内发货
库存状态实时更新,以官网显示为准,现货产品可直接加购物车下单
大包装 & 定制
加入购物车
TargetMol的所有产品仅用作科学研究或药证申报,不能被用于人体,我们不向个人提供产品和服务。请您遵守承诺用途,不得违反法律法规规定用于任何其他用途。
实验操作小课堂
常见问题解答
查看更多

资源下载:产品操作手册

产品介绍


生物活性
产品描述
Anti-ox-LDL Polyclonal Antibody is a Rabbit antibody targeting ox-LDL. Anti-ox-LDL Polyclonal Antibody can be used in FCM,IF,IHC-Fr,IHC-P.
别名氧化型低密度脂蛋白, ox-LDL: LDL(Copper oxidized), oxidized low density lipoprotein, MDA oxidized low density lipoprotein, MDA oxidized LDL, Low density lipoprotein, Cu2SO4 oxidized low density lipoprotein
Ig Type
IgG
反应种属
Human
验证活性
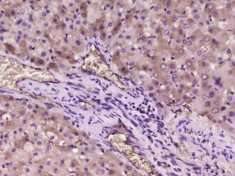
1. Paraformaldehyde-fixed, paraffin embedded (Human liver); Antigen retrieval by boiling in sodium citrate buffer (pH6.0) for 15 min; Block endogenous peroxidase by 3% hydrogen peroxide for 20 min; Blocking buffer (normal goat serum) at 37°C for 30 min; Antibody incubation with (ox-LDL) Polyclonal Antibody, Unconjugated (TMAB-01308) at 1:400 overnight at 4°C, followed by operating according to SP Kit (Rabbit) instructionsand DAB staining.
2. Blank control: A431. Primary Antibody (green line): Rabbit Anti-ox-LDL antibody (TMAB-01308) Dilution: 3 μg/10^6 cells; Isotype Control Antibody (orange line): Rabbit IgG. Secondary Antibody: Goat anti-rabbit IgG-AF647 Dilution: 3 μg/test. Protocol The cells were incubated in 5% BSA to block non-specific protein-protein interactions for 30 min at at room temperature. Cells stained with Primary Antibody for 30 min at room temperature. The secondary antibody used for 40 min at room temperature.
3. Blank control: HepG2. Primary Antibody (green line): Rabbit Anti-ox-LDL antibody (TMAB-01308)
Dilution: 2 μg/Test;
Secondary Antibody: Goat anti-rabbit IgG-FITC
Dilution: 0.5 μg/Test.
Protocol
The cells were incubated in 5% BSA to block non-specific protein-protein interactions for 30 min at room temperature. Cells stained with Primary Antibody for 30 min at room temperature. The secondary antibody used for 40 min at room temperature.
verifiedActivityverifiedActivityverifiedActivity
应用FCMIFIHC-FrIHC-P
推荐剂量
IHC-P: 1:100-500; IHC-Fr: 1:100-500; IF: 1:100-500; FCM: 2ug/Test
抗体种类
Polyclonal
宿主来源Rabbit
亚细胞定位Secreted.
构建方式Polyclonal Antibody
纯化方式Protein A purified
性状Liquid
缓冲液0.01M TBS (pH7.4) with 1% BSA, 0.02% Proclin300 and 50% Glycerol.
浓度1 mg/mL
研究背景Low-density lipoprotein (LDL) is the carrier protein for cholesterol in the blood. LDL binds to its receptor on the capillary walls and thereby mediates the uptake and clearence of cholesterol from the circulation. In atherosclerotic lesions oxidatively modified LDL is found and oxidized LDL is specifically recognized and ingested by macrophages via scavenger receptor A and CD36. Oxidized LDL may be a marker of atherosclerosis but the precise changes in oxidized LDL are not well described. Low-density lipoprotein oxidised with Cu2SO4.
抗原信息
免疫原
Full length protein from human plasma
抗原种属
Human
基因ID
蛋白名称
Mouse ox-LDL
化学信息
分子量Theoretical: 31 kDa.
储存&溶解度
储存方式Store at -20°C or -80°C for 12 months. Avoid repeated freeze-thaw cycles.
运输方式Shipping with blue ice.

计算器

  • 稀释 计算器
  • 配液 计算器
Related Tags: buy Anti-ox-LDL Polyclonal Antibody | purchase Anti-ox-LDL Polyclonal Antibody | Anti-ox-LDL Polyclonal Antibody cost | order Anti-ox-LDL Polyclonal Antibody | Anti-ox-LDL Polyclonal Antibody molecular weight