购物车
  • TargetMol
    您的购物车当前为空

Anti-Osteopontin Polyclonal Antibody 3

Synonyms: secreted phosphoprotein 1, OPN, ETA-1, BSPI, BNSP
货号 TMAB-01299 一键复制产品信息
Rating icon 还可以

Anti-Osteopontin Polyclonal Antibody 3 是一种 Rabbit 抗体,靶向 Osteopontin。Anti-Osteopontin Polyclonal Antibody 3 可用于 FCM,IF,IHC-Fr,IHC-P,WB。

Anti-Osteopontin Polyclonal Antibody 3

一键复制产品信息
Rating icon 还可以
货号 TMAB-01299

别名 secreted phosphoprotein 1, OPN, ETA-1, BSPI, BNSP

Anti-Osteopontin Polyclonal Antibody 3 是一种 Rabbit 抗体,靶向 Osteopontin。Anti-Osteopontin Polyclonal Antibody 3 可用于 FCM,IF,IHC-Fr,IHC-P,WB。

Anti-Osteopontin Polyclonal Antibody 3
规格价格库存数量
50 μL
¥ 1,160
5日内发货
100 μL
¥ 1,965
5日内发货
200 μL
¥ 2,785
5日内发货
库存状态实时更新,以官网显示为准,现货产品可直接加购物车下单
大包装 & 定制
加入购物车
TargetMol的所有产品仅用作科学研究或药证申报,不能被用于人体,我们不向个人提供产品和服务。请您遵守承诺用途,不得违反法律法规规定用于任何其他用途。
实验操作小课堂
常见问题解答
查看更多

资源下载:产品操作手册

产品介绍


生物活性
产品描述
Anti-Osteopontin Polyclonal Antibody 3 is a Rabbit antibody targeting Osteopontin. Anti-Osteopontin Polyclonal Antibody 3 can be used in FCM,IF,IHC-Fr,IHC-P,WB.
别名secreted phosphoprotein 1, OPN, ETA-1, BSPI, BNSP
Ig Type
IgG
反应种属
Human,Rat
验证活性
1. Sample:
Lane 1: HepG2 (Human) Cell Lysate at 30 μg
Lane 2: A549 (Human) Cell Lysate at 30 μg
Lane 3: U251 (Human) Cell Lysate at 30 μg
Primary: Anti-Osteopontin (TMAB-01299) at 1/1000 dilution
Secondary: IRDye800CW Goat Anti-Rabbit IgG at 1/20000 dilution
Predicted band size: 60-65 kDa
Observed band size: 60 kDa
2. Blank control: HepG2. Primary Antibody (green line): Rabbit Anti-Osteopontin antibody (TMAB-01299)
Dilution: 1 μg/10^6 cells;
Isotype Control Antibody (orange line): Rabbit IgG.
Secondary Antibody: Goat anti-rabbit IgG-AF647
Dilution: 1 μg/test.
Protocol
The cells were fixed with 4% PFA (10 min at room temperature) and then permeabilized with 0.1% PBST for 20 min at room temperature. The cells were then incubated in 5% BSA to block non-specific protein-protein interactions for 30 min at room temperature. Cells stained with Primary Antibody for 30 min at room temperature. The secondary antibody used for 40 min at room temperature.
3.
Lane 1: Human HepG2 cell lysates
Lane 2: Human U87MG cell lysates
Lane 3: Human MG63 cell lysates
Lane 4: Human U2OS Cell Lysates
Primary: Anti-Osteopontin (TMAB-01299) at 1/1000 dilution
Secondary: IRDye800CW Goat Anti-Rabbit IgG at 1/20000 dilution
Predicted band size: 60 kDa
Observed band size: 60 kDa
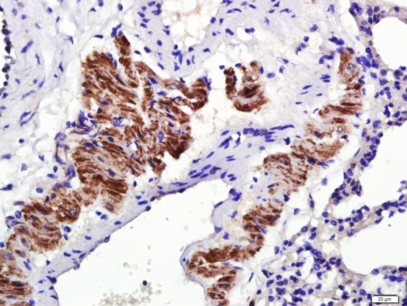
4. Paraformaldehyde-fixed, paraffin embedded (Rat lung); Antigen retrieval by boiling in sodium citrate buffer (pH6.0) for 15 min; Block endogenous peroxidase by 3% hydrogen peroxide for 20 min; Blocking buffer (normal goat serum) at 37°C for 30 min; Antibody incubation with (osteopontin) Polyclonal Antibody, Unconjugated (TMAB-01299) at 1:400 overnight at 4°C, followed by a conjugated secondary for 20 min and DAB staining.
verifiedActivityverifiedActivityverifiedActivityverifiedActivity
应用FCMIFIHC-FrIHC-PWB
推荐剂量
WB: 1:500-2000; IHC-P: 1:500-2000; IHC-Fr: 1:100-500; IF: 1:100-500; FCM: 1ug/Test
抗体种类
Polyclonal
宿主来源Rabbit
亚细胞定位Secreted.
组织特异性Bone. Found in plasma.
构建方式Polyclonal Antibody
纯化方式Protein A purified
性状Liquid
缓冲液0.01M TBS (pH7.4) with 1% BSA, 0.02% Proclin300 and 50% Glycerol.
浓度1 mg/mL
研究背景Osteopontin is the principal phosphorylated glycoprotein of bone and is expressed in a limited number of other tissues including dentine. Osteopontin is produced by osteoblasts under stimulation by calcitriol and binds tightly to hydroxyapatite. It is also involved in the anchoring of osteoclasts to the mineral of bone matrix via the vitronectin receptor, which has specificity for osteopontin. Osteopontin is overexpressed in a variety of cancers, including lung, breast, colorectal, stomach, ovarian, melanoma and mesothelioma.
抗原信息
免疫原
KLH conjugated synthetic peptide: rat osteopontin
抗原种属
Rat
基因名称
SPP1
基因ID
蛋白名称
Osteopontin
Uniprot ID
功能
Binds tightly to hydroxyapatite. Appears to form an integral part of the mineralized matrix. Probably important to cell-matrix interaction.
Acts as a cytokine involved in enhancing production of interferon-gamma and interleukin-12 and reducing production of interleukin-10 and is essential in the pathway that leads to type I immunity (By similarity).
化学信息
分子量Theoretical: 34 kDa.
储存&溶解度
储存方式Store at -20°C or -80°C for 12 months. Avoid repeated freeze-thaw cycles.
运输方式Shipping with blue ice.

计算器

  • 稀释 计算器
  • 配液 计算器

关键词

Related Tags: buy Anti-Osteopontin Polyclonal Antibody 3 | purchase Anti-Osteopontin Polyclonal Antibody 3 | Anti-Osteopontin Polyclonal Antibody 3 cost | order Anti-Osteopontin Polyclonal Antibody 3 | Anti-Osteopontin Polyclonal Antibody 3 molecular weight