购物车
  • 全部删除
  • TargetMol
    您的购物车当前为空

Anti-ORP150 Antibody (6Q346)

Rating icon 还可以
产品编号 TMAC-02925
别名 ORP-150, ORP150, hypoxia up-regulated 1, HSP12A, GRP-170, Grp170

Anti-ORP150 Antibody (6Q346) 是一种 Rabbit 抗体,靶向 ORP150。Anti-ORP150 Antibody (6Q346) 可用于 FCM,IHC,WB。

Anti-ORP150 Antibody (6Q346)

Anti-ORP150 Antibody (6Q346)

一键复制产品信息
Rating icon 还可以
产品编号 TMAC-02925 别名 ORP-150, ORP150, hypoxia up-regulated 1, HSP12A, GRP-170, Grp170

Anti-ORP150 Antibody (6Q346) 是一种 Rabbit 抗体,靶向 ORP150。Anti-ORP150 Antibody (6Q346) 可用于 FCM,IHC,WB。

规格价格库存数量
50 μL
¥ 1,485
5日内发货
100 μL
¥ 2,485
5日内发货
大包装 & 定制
加入购物车
TargetMol 的所有产品仅用作科学研究或药证申报,不能被用于人体,我们不向个人提供产品和服务。请您遵守承诺用途,不得违反法律法规规定用于任何其他用途。
实验操作小课堂
常见问题解答
查看更多
联系我们获取更多批次信息
资源下载

产品介绍

生物活性
产品描述
Anti-ORP150 Antibody (6Q346) is a Rabbit antibody targeting ORP150. Anti-ORP150 Antibody (6Q346) can be used in FCM,IHC,WB.
别名ORP-150, ORP150, hypoxia up-regulated 1, HSP12A, GRP-170, Grp170
Ig Type
IgG
克隆号
6Q346
交叉反应
Human,Mouse,Rat
验证活性
1. Western blot analysis of ORP150 on mouse prostate tissue lysate using anti-ORP150 antibody at 1/5,000 dilution.
2. Immunohistochemical analysis of paraffin-embedded rat testis tissue using anti-ORP150 antibody. Counter stained with hematoxylin.
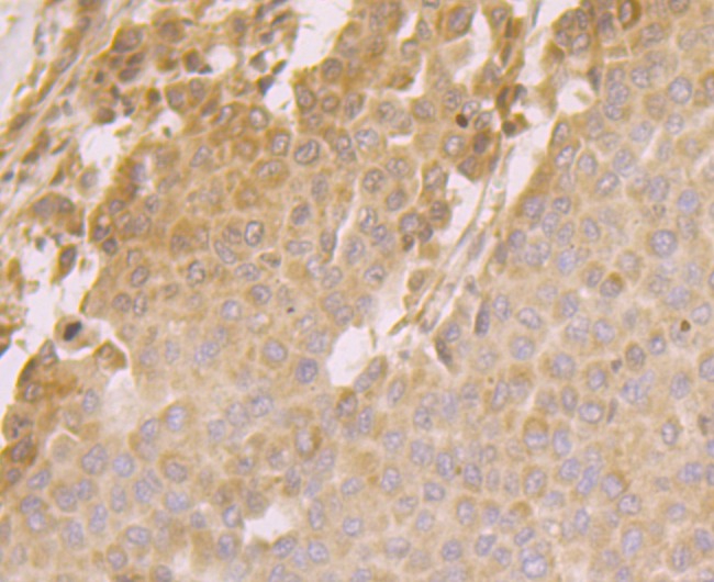
3. Immunohistochemical analysis of paraffin-embedded human liver cancer tissue using anti-ORP150 antibody. Counter stained with hematoxylin.
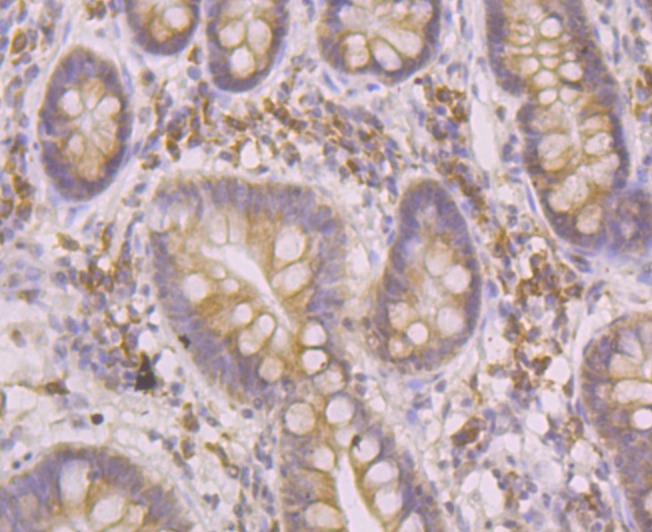
4. Immunohistochemical analysis of paraffin-embedded human small intestine tissue using anti-ORP150 antibody. Counter stained with hematoxylin.
5. Immunohistochemical analysis of paraffin-embedded mouse testis tissue using anti-ORP150 antibody. Counter stained with hematoxylin.
6. Flow cytometric analysis of HepG2 cells with ORP150 antibody at 1/100 dilution (purple) compared with an unlabelled control (cells without incubation with primary antibody; yellow). Alexa Fluor 488-conjugated goat anti-rabbit IgG was used as the secondary antibody.
verifiedActivityverifiedActivityverifiedActivityverifiedActivityverifiedActivityverifiedActivity
应用FCMIHCWB
推荐剂量
WB: 1:5000-10000; IHC: 1:50-200; FCM: 1:50-100
抗体种类
Monoclonal
宿主来源Rabbit
构建方式Recombinant Antibody
纯化方式ProA affinity purified
性状Liquid
缓冲液1*TBS (pH7.4), 1%BSA, 40%Glycerol. Preservative: 0.05% Sodium Azide.
研究背景ORP150, also known as HYOU1 (hypoxia upregulated 1), is a 999 amino acid protein that localizes to the lumen of the endoplasmic reticulum (ER) and is a member of the heat shock protein 70 (HSP 70) family. ORP150 is highly expressed in tissues that have well-developed ERs and a large number of secretory proteins (such as liver and pancreas). It is expressed at lower levels in kidney and brain, and plays an essential role in cytoprotective cellular responses to hypoxia (oxygen deprivation). Specifically, ORP150 participates in protein folding and secretion in the ER and functions to protect cells from hypoxia-induced apoptosis, thereby playing a crucial role in cell survival. ORP150 expression is upregulated in a variety of tumors, such as breast cancer, suggesting an important role in tumorigenesis. The gene encoding ORP150 has two translation initiation sites, resulting in a truncated transcript that lacks an ER signal peptide, but is thought to function as a housekeeping protein in the cytoplasm.
偶联与修饰
偶联
Unconjugated
抗原信息
免疫原
Recombinant Protein: human ORP150 aa 800-950
抗原种属
human
Uniprot ID
化学信息
分子量Theoretical: 111 kDa.
存储&运输
储存方式Store at -20°C or -80°C for 12 months. Avoid repeated freeze-thaw cycles.
运输方式Shipping with blue ice.

计算器

  • 稀释 计算器

关键词

评论列表

4个月前
5.0
Rating icon 很棒

评论内容

Related Tags: buy Anti-ORP150 Antibody (6Q346) | purchase Anti-ORP150 Antibody (6Q346) | Anti-ORP150 Antibody (6Q346) cost | order Anti-ORP150 Antibody (6Q346) | Anti-ORP150 Antibody (6Q346) molecular weight