购物车
  • 全部删除
  • TargetMol
    您的购物车当前为空

Anti-OCT4 Antibody (4Q101)

Rating icon 还可以
产品编号 TMAC-02915

Anti-OCT4 Antibody (4Q101) 是一种 Rabbit 抗体,靶向 45934。Anti-OCT4 Antibody (4Q101) 可用于 ChIP,ICC/IF,IHC,IP,WB。

Anti-OCT4 Antibody (4Q101)

Anti-OCT4 Antibody (4Q101)

一键复制产品信息
Rating icon 还可以
产品编号 TMAC-02915

Anti-OCT4 Antibody (4Q101) 是一种 Rabbit 抗体,靶向 45934。Anti-OCT4 Antibody (4Q101) 可用于 ChIP,ICC/IF,IHC,IP,WB。

规格价格库存数量
50 μL
¥ 1,495
5日内发货
100 μL
¥ 2,480
5日内发货
大包装 & 定制
加入购物车
TargetMol 的所有产品仅用作科学研究或药证申报,不能被用于人体,我们不向个人提供产品和服务。请您遵守承诺用途,不得违反法律法规规定用于任何其他用途。
实验操作小课堂
常见问题解答
查看更多
联系我们获取更多批次信息
资源下载

产品介绍

生物活性
产品描述
Anti-OCT4 Antibody (4Q101) is a Rabbit antibody targeting 45934. Anti-OCT4 Antibody (4Q101) can be used in ChIP,ICC/IF,IHC,IP,WB.
Ig Type
IgG
克隆号
4Q101
交叉反应
Human,Mouse
验证活性
1. Western blot analysis of Oct4 on different lysates using anti-Oct4 antibody at 1/1,000 dilution. Positive control: Lane 1: F9, Lane 2: NCCIT, Lane 3: hES.
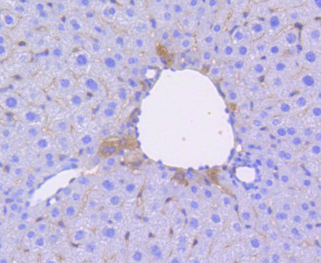
2. Immunohistochemical analysis of paraffin-embedded mouse liver tissue using anti-Oct4 antibody. Counter stained with hematoxylin.
3. ICC staining Oct4 in N2A cells (green). The nuclear counter stain is DAPI (blue). Cells were fixed in paraformaldehyde, permeabilised with 0.25% Triton X100/PBS.
4. ICC staining Oct4 in MCF-7 cells (green). The nuclear counter stain is DAPI (blue). Cells were fixed in paraformaldehyde, permeabilised with 0.25% Triton X100/PBS.
verifiedActivityverifiedActivityverifiedActivityverifiedActivity
应用ChIPICC/IFIHCIPWB
推荐剂量
WB: 1:1000-5000; IHC: 1:50-200; ICC/IF: 1:50-200
抗体种类
Monoclonal
宿主来源Rabbit
构建方式Recombinant Antibody
纯化方式ProA affinity purified
性状Liquid
缓冲液1*TBS (pH7.4), 1%BSA, 40%Glycerol. Preservative: 0.05% Sodium Azide.
研究背景POU5F1 (POU domain, class 5, transcription factor 1), also known as octamer-binding transcription factor-3 (Oct-3, OTF3), octamer-binding transcription factor-4 (Oct-4, Otf-4) and Oct-3/4, modulates embryonic stem (ES) cell populations by influencing lineage commitment. Oct-3/4 sustains stem-cell self-renewal and differentiation pathways. Transcription factors containing the POU homeodomain regulate tissue-specific gene expression in lymphoid and pituitary differentiation and in early mammalian development. Oct-3/4 is capable of inducing rapid proliferation and tumorigenic properties of ES cells through activation of the UTF1 gene. In humans, two Oct-3/4 isoforms contribute to influencing the undifferentiated phenotype of ES cells. Oct-3/4 pseudogenes localizing to human chromosomes 10 and 8 are reported to be transcribed in certain cancer cell lines and tissues.
偶联与修饰
偶联
Unconjugated
抗原信息
免疫原
Recombinant Protein
Uniprot ID
化学信息
分子量Theoretical: 39 kDa.
存储&运输
储存方式Store at -20°C or -80°C for 12 months. Avoid repeated freeze-thaw cycles.
运输方式Shipping with blue ice.

计算器

  • 稀释 计算器

关键词

评论列表

4个月前
5.0
Rating icon 很棒

评论内容

Related Tags: buy Anti-OCT4 Antibody (4Q101) | purchase Anti-OCT4 Antibody (4Q101) | Anti-OCT4 Antibody (4Q101) cost | order Anti-OCT4 Antibody (4Q101) | Anti-OCT4 Antibody (4Q101) molecular weight