购物车
  • TargetMol
    您的购物车当前为空

Anti-NR3C1 Polyclonal Antibody 2

Synonyms: nuclear receptor subfamily 3, group C, member 1 (glucocorticoid receptor), GRL, GR, GCRST, GCR, GCCR
货号 TMAB-01267 一键复制产品信息
Rating icon 还可以

Anti-NR3C1 Polyclonal Antibody 2 是一种 Rabbit 抗体,靶向 NR3C1。Anti-NR3C1 Polyclonal Antibody 2 可用于 FCM, IF, IHC-Fr, IHC-P, WB。

Anti-NR3C1 Polyclonal Antibody 2

一键复制产品信息
Rating icon 还可以
货号 TMAB-01267

别名 nuclear receptor subfamily 3, group C, member 1 (glucocorticoid receptor), GRL, GR, GCRST, GCR, GCCR

Anti-NR3C1 Polyclonal Antibody 2 是一种 Rabbit 抗体,靶向 NR3C1。Anti-NR3C1 Polyclonal Antibody 2 可用于 FCM, IF, IHC-Fr, IHC-P, WB。

Anti-NR3C1 Polyclonal Antibody 2
规格价格库存数量
50 μL
¥ 1,165
5日内发货
100 μL
¥ 1,970
5日内发货
200 μL
¥ 2,785
5日内发货
库存状态实时更新,以官网显示为准,现货产品可直接加购物车下单
大包装 & 定制
加入购物车
TargetMol的所有产品仅用作科学研究或药证申报,不能被用于人体,我们不向个人提供产品和服务。请您遵守承诺用途,不得违反法律法规规定用于任何其他用途。
实验操作小课堂
常见问题解答
查看更多

资源下载:产品操作手册

产品介绍


生物活性
产品描述
Anti-NR3C1 Polyclonal Antibody 2 is a Rabbit antibody targeting NR3C1. Anti-NR3C1 Polyclonal Antibody 2 can be used in FCM, IF, IHC-Fr, IHC-P, WB.
别名nuclear receptor subfamily 3, group C, member 1 (glucocorticoid receptor), GRL, GR, GCRST, GCR, GCCR
Ig Type
IgG
反应种属
Human,Mouse,Rat (predicted:Chicken,Dog,Pig,Cow,Horse,Sheep,GuineaPig)
验证活性
1. Blank control: A549. Primary Antibody (green line): Rabbit Anti-Glucocorticoid Receptor antibody (TMAB-01267)
Dilution: 1 μg/10^6 cells;
Isotype Control Antibody (orange line): Rabbit IgG.
Secondary Antibody: Goat anti-rabbit IgG-AF647
Dilution: 1 μg/test.
Protocol
The cells were fixed with 4% PFA (10 min at room temperature) and then permeabilized with 0.1% PBST for 20 min at room temperature. The cells were then incubated in 5% BSA to block non-specific protein-protein interactions for 30 min at room temperature. Cells stained with Primary Antibody for 30 min at room temperature. The secondary antibody used for 40 min at room temperature.
2. Sample:
Lane 1: Raw264.7 (Mouse) Cell Lysate at 30 μg
Lane 2: Stomach (Rat) Lysate at 40 μg
Lane 3: Stomach (Mouse) Lysate at 40 μg
Lane 4: Cerebrum (Rat) Lysate at 40 μg
Lane 5: Cerebrum (Mouse) Lysate at 40 μg
Lane 6: Testis (Rat) Lysate at 40 μg
Lane 7: Testis (Mouse) Lysate at 40 μg
Lane 8: Liver (Rat) Lysate at 40 μg
Lane 9: Liver (Mouse) Lysate at 40 μg
Primary: Anti-Glucocorticoid Receptor (TMAB-01267) at 1/1000 dilution
Secondary: IRDye800CW Goat Anti-Rabbit IgG at 1/20000 dilution
Predicted band size: 90 kDa
Observed band size: 87 kDa
3. Blank control: Mouse spleen.
Primary Antibody (green line): Rabbit Anti-Glucocorticoid Receptor beta antibody (TMAB-01267)
Dilution: 3 μg/10^6 cells;
Isotype Control Antibody (orange line): Rabbit IgG.
Secondary Antibody: Goat anti-rabbit IgG-AF647
Dilution: 3 μg/test.
Protocol
The cells were fixed with 4% PFA (10 min at room temperature) and then permeabilized with 90% ice-cold methanol for 20 min at-20°C. The cells were then incubated in 5% BSA to block non-specific protein-protein interactions for 30 min at at room temperature. Cells stained with Primary Antibody for 30 min at room temperature. The secondary antibody used for 40 min at room temperature.
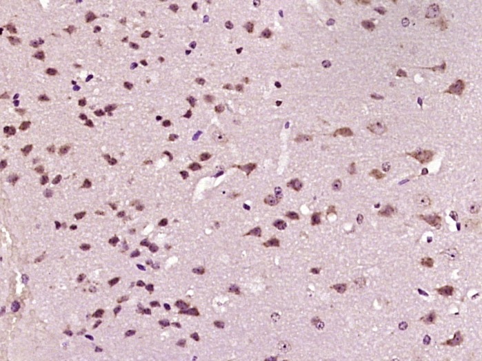
4. Paraformaldehyde-fixed, paraffin embedded (mouse brain tissue); Antigen retrieval by boiling in sodium citrate buffer (pH6.0) for 15 min; Block endogenous peroxidase by 3% hydrogen peroxide for 20 min; Blocking buffer (normal goat serum) at 37°C for 30 min; Antibody incubation with (GCR) Polyclonal Antibody, Unconjugated (TMAB-01267) at 1:400 overnight at 4°C, followed by operating according to SP Kit (Rabbit) instructionsand DAB staining.
verifiedActivityverifiedActivityverifiedActivityverifiedActivity
应用FCMIFIHC-FrIHC-PWB
推荐剂量
WB: 1:500-2000; IHC-P: 1:100-500; IHC-Fr: 1:100-500; IF: 1:100-500; FCM: 1ug/Test
抗体种类
Polyclonal
宿主来源Rabbit
亚细胞定位Cytoplasm. Nucleus. Note=Cytoplasmic in the absence of ligand, nuclear after ligand-binding. Isoform Beta: Nucleus. Note=Localized largely in the nucleus.
组织特异性Widely expressed. In the heart, detected in left and right atria, left and right ventricles, aorta, apex, intraventricular septum, and atrioventricular node as well as whole adult and fetal heart.
构建方式Polyclonal Antibody
纯化方式Protein A purified
性状Liquid
缓冲液0.01M TBS (pH7.4) with 1% BSA, 0.02% Proclin300 and 50% Glycerol.
浓度1 mg/mL
研究背景Steroid receptors are ligand-dependent, intracellular proteins that stimulate transcription of specific genes by binding to specific DNA sequences following activation by the appropriate hormone. Glucocorticoids are a family of steroids necessary for the regulation of energy metabolism and the immune and inflammatory responses. These compounds exert their effect through their interaction with the glucocoticoid receptor (GR) and that complex's subsequent association with DNA. All normal mammalian tissues examined to date have been shown to contain glucocorticoid receptor.
抗原信息
免疫原
KLH conjugated synthetic peptide: human Glucocorticoid Receptor beta
抗原种属
Human
基因名称
NR3C1
基因ID
蛋白名称
Glucocorticoid receptor
Uniprot ID
研究领域
Nuclear hormone receptors,Corticoid,Corticoid
功能
Receptor for glucocorticoids (GC). Has a dual mode of action: as a transcription factor that binds to glucocorticoid response elements (GRE) and as a modulator of other transcription factors. Affects inflammatory responses, cellular proliferation and differentiation in target tissues. Could act as a coactivator for STAT5-dependent transcription upon growth hormone (GH) stimulation and could reveal an essential role of hepatic GR in the control of body growth. Involved in chromatin remodeling. Plays a significant role in transactivation. Involved in nuclear translocation.
化学信息
分子量Theoretical: 86 kDa. Actual: 87 kDa.
储存&溶解度
储存方式Store at -20°C or -80°C for 12 months. Avoid repeated freeze-thaw cycles.
运输方式Shipping with blue ice.

计算器

  • 稀释 计算器
  • 配液 计算器
Related Tags: buy Anti-NR3C1 Polyclonal Antibody 2 | purchase Anti-NR3C1 Polyclonal Antibody 2 | Anti-NR3C1 Polyclonal Antibody 2 cost | order Anti-NR3C1 Polyclonal Antibody 2 | Anti-NR3C1 Polyclonal Antibody 2 molecular weight