购物车
  • 全部删除
  • TargetMol
    您的购物车当前为空

Anti-NR3C1 Polyclonal Antibody

Rating icon 还可以
产品编号 TMAB-01266
别名 nuclear receptor subfamily 3, group C, member 1 (glucocorticoid receptor), GRL, GR, GCRST, GCR, GCCR

Anti-NR3C1 Polyclonal Antibody 是一种 Rabbit 抗体,靶向 NR3C1。Anti-NR3C1 Polyclonal Antibody 可用于 FCM,IF,IHC-Fr,IHC-P。

Anti-NR3C1 Polyclonal Antibody

Anti-NR3C1 Polyclonal Antibody

一键复制产品信息
Rating icon 还可以
产品编号 TMAB-01266 别名 nuclear receptor subfamily 3, group C, member 1 (glucocorticoid receptor), GRL, GR, GCRST, GCR, GCCR

Anti-NR3C1 Polyclonal Antibody 是一种 Rabbit 抗体,靶向 NR3C1。Anti-NR3C1 Polyclonal Antibody 可用于 FCM,IF,IHC-Fr,IHC-P。

规格价格库存数量
50 μL
¥ 1,175
5日内发货
100 μL
¥ 1,975
5日内发货
200 μL
¥ 2,780
5日内发货
大包装 & 定制
加入购物车
TargetMol 的所有产品仅用作科学研究或药证申报,不能被用于人体,我们不向个人提供产品和服务。请您遵守承诺用途,不得违反法律法规规定用于任何其他用途。
实验操作小课堂
常见问题解答
查看更多
联系我们获取更多批次信息
资源下载

产品介绍

生物活性
产品描述
Anti-NR3C1 Polyclonal Antibody is a Rabbit antibody targeting NR3C1. Anti-NR3C1 Polyclonal Antibody can be used in FCM,IF,IHC-Fr,IHC-P.
别名nuclear receptor subfamily 3, group C, member 1 (glucocorticoid receptor), GRL, GR, GCRST, GCR, GCCR
Ig Type
IgG
交叉反应
Human,Mouse,Rat
验证活性
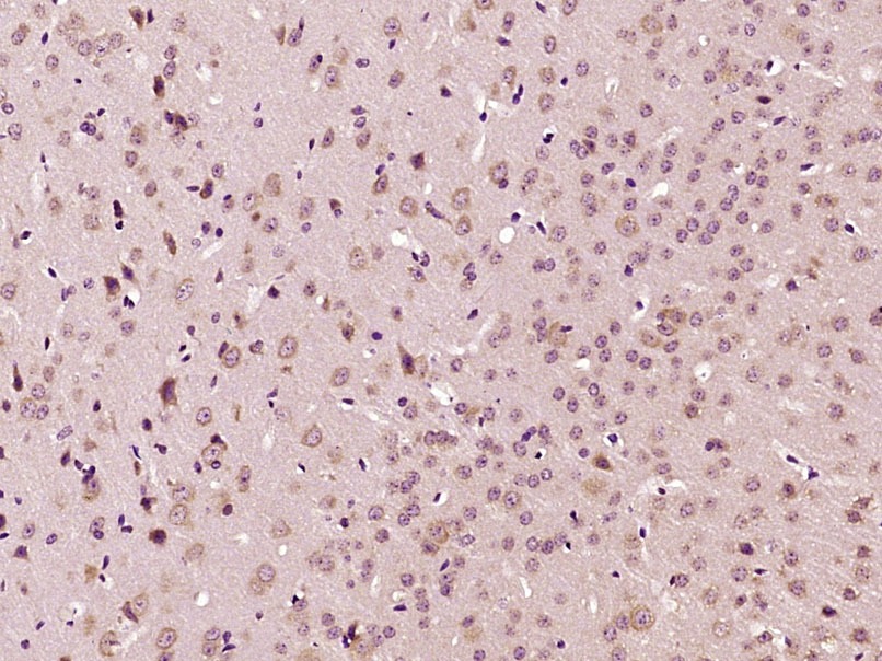
1. Paraformaldehyde-fixed, paraffin embedded (Mouse brain); Antigen retrieval by boiling in sodium citrate buffer (pH6.0) for 15 min; Block endogenous peroxidase by 3% hydrogen peroxide for 20 min; Blocking buffer (normal goat serum) at 37°C for 30 min; Antibody incubation with (Glucocorticoid receptor) Polyclonal Antibody, Unconjugated (TMAB-01266) at 1:400 overnight at 4°C, followed by operating according to SP Kit (Rabbit) instructionsand DAB staining.
2. Cell: H-4-II-E
Concentration:1:100
Host/Isotype: Rabbit/IgG
Flow cytometric analysis of primary antibody (Cat#: TMAB-01266) on H-4-II-e (green) compared with control in the absence of primary antibody (blue) followed by Alexa Fluor 488-conjugated goat anti-rabbit Igg (H+L) secondary antibody.
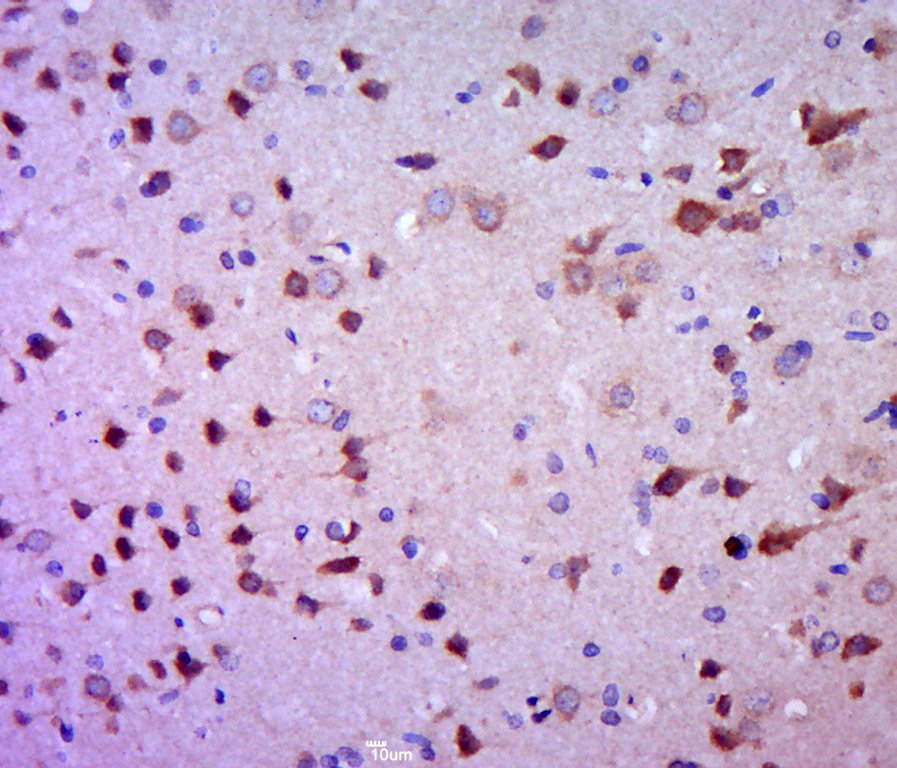
3. Paraformaldehyde-fixed, paraffin embedded (rat brain tissue); Antigen retrieval by boiling in sodium citrate buffer (pH6.0) for 15 min; Block endogenous peroxidase by 3% hydrogen peroxide for 20 min; Blocking buffer (normal goat serum) at 37°C for 30 min; Antibody incubation with (GCR) Polyclonal Antibody, Unconjugated (TMAB-01266) at 1:400 overnight at 4°C, followed by a conjugated secondary for 20 min and DAB staining.
4. Blank control: A549. Primary Antibody (green line): Rabbit Anti-Glucocorticoid receptor antibody (TMAB-01266)
Dilution: 1 μg/10^6 cells;
Isotype Control Antibody (orange line): Rabbit IgG.
Secondary Antibody: Goat anti-rabbit IgG-AF647
Dilution: 1 μg/test.
Protocol
The cells were fixed with 4% PFA (10 min at room temperature) and then permeabilized with 0.1% PBST for 20 min at room temperature. The cells were then incubated in 5% BSA to block non-specific protein-protein interactions for 30 min at room temperature. Cells stained with Primary Antibody for 30 min at room temperature. The secondary antibody used for 40 min at room temperature.
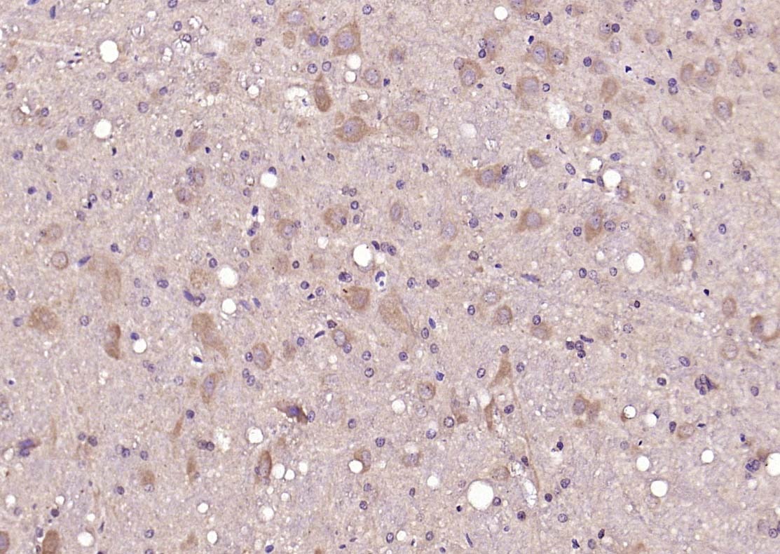
5. Paraformaldehyde-fixed, paraffin embedded (rat brain); Antigen retrieval by boiling in sodium citrate buffer (pH6.0) for 15 min; Block endogenous peroxidase by 3% hydrogen peroxide for 20 min; Blocking buffer (normal goat serum) at 37°C for 30 min; Antibody incubation with (Glucocorticoid receptor) Polyclonal Antibody, Unconjugated (TMAB-01266) at 1:200 overnight at 4°C, followed by operating according to SP Kit (Rabbit) instructionsand DAB staining.
verifiedActivityverifiedActivityverifiedActivityverifiedActivityverifiedActivity
应用FCMIFIHC-FrIHC-P
推荐剂量
IHC-P: 1:100-500; IHC-Fr: 1:100-500; IF: 1:100-500; FCM: 1μg/Test
抗体种类
Polyclonal
宿主来源Rabbit
亚细胞定位Cytoplasm. Nucleus. Note=Cytoplasmic in the absence of ligand, nuclear after ligand-binding. Isoform Beta: Nucleus. Note=Localized largely in the nucleus.
组织特异性Widely expressed. In the heart, detected in left and right atria, left and right ventricles, aorta, apex, intraventricular septum, and atrioventricular node as well as whole adult and fetal heart.
构建方式Polyclonal Antibody
纯化方式Protein A purified
性状Liquid
缓冲液0.01M TBS (pH7.4) with 1% BSA, 0.02% Proclin300 and 50% Glycerol.
浓度1 mg/mL
研究背景Steroid receptors are ligand-dependent, intracellular proteins that stimulate transcription of specific genes by binding to specific DNA sequences following activation by the appropriate hormone. Glucocorticoids are a family of steroids necessary for the regulation of energy metabolism and the immune and inflammatory responses. These compounds exert their effect through their interaction with the glucocoticoid receptor (GR) and that complex's subsequent association with DNA. All normal mammalian tissues examined to date have been shown to contain glucocorticoid receptor.
抗原信息
免疫原
KLH conjugated synthetic peptide: human Glucocorticoid receptor
抗原种属
Human
基因名称
NR3C1
基因ID
蛋白名称
Glucocorticoid receptor
Uniprot ID
研究领域
Nuclear hormone receptors,Corticoid,Corticoid
功能
Receptor for glucocorticoids (GC). Has a dual mode of action: as a transcription factor that binds to glucocorticoid response elements (GRE) and as a modulator of other transcription factors. Affects inflammatory responses, cellular proliferation and differentiation in target tissues. Could act as a coactivator for STAT5-dependent transcription upon growth hormone (GH) stimulation and could reveal an essential role of hepatic GR in the control of body growth. Involved in chromatin remodeling. Plays a significant role in transactivation. Involved in nuclear translocation.
化学信息
分子量Theoretical: 85 kDa.
存储&运输
储存方式Store at -20°C or -80°C for 12 months. Avoid repeated freeze-thaw cycles.
运输方式Shipping with blue ice.

计算器

  • 稀释 计算器

关键词

评论列表

4个月前
5.0
Rating icon 很棒

评论内容

Related Tags: buy Anti-NR3C1 Polyclonal Antibody | purchase Anti-NR3C1 Polyclonal Antibody | Anti-NR3C1 Polyclonal Antibody cost | order Anti-NR3C1 Polyclonal Antibody | Anti-NR3C1 Polyclonal Antibody molecular weight