购物车
  • TargetMol
    您的购物车当前为空

Anti-Noxa Antibody (1A221)

Synonyms: Protein Noxa, PMA-responsive gene, Pmaip1, PMA-induced protein 1, PMA induced protein 1, Phorbol-12-myristate-13-acetate-induced protein 1, Phorbol 12 myristate 13 acetate induced protein 1, NOXA, Immediate-early-response protein APR, Immediate early response protein APR, ATL-derived, APR_HUMAN, APR, Adult T cell leukemia derived PMA responsive
货号 TMAC-02879 一键复制产品信息
Rating icon 还可以

Anti-Noxa Antibody (1A221) 是一种 Rabbit 抗体,靶向 Noxa。Anti-Noxa Antibody (1A221) 可用于 FCM,IHC,WB。

Anti-Noxa Antibody (1A221)

一键复制产品信息
Rating icon 还可以
货号 TMAC-02879

别名 Protein Noxa, PMA-responsive gene, Pmaip1, PMA-induced protein 1, PMA induced protein 1, Phorbol-12-myristate-13-acetate-induced protein 1, Phorbol 12 myristate 13 acetate induced protein 1, NOXA, Immediate-early-response protein APR, Immediate early response protein APR, ATL-derived, APR_HUMAN, APR, Adult T cell leukemia derived PMA responsive

Anti-Noxa Antibody (1A221) 是一种 Rabbit 抗体,靶向 Noxa。Anti-Noxa Antibody (1A221) 可用于 FCM,IHC,WB。

Anti-Noxa Antibody (1A221)
规格价格库存数量
50 μL
¥ 1,495
5日内发货
100 μL
¥ 2,490
5日内发货
库存状态实时更新,以官网显示为准,现货产品可直接加购物车下单
大包装 & 定制
加入购物车
TargetMol的所有产品仅用作科学研究或药证申报,不能被用于人体,我们不向个人提供产品和服务。请您遵守承诺用途,不得违反法律法规规定用于任何其他用途。
实验操作小课堂
常见问题解答
查看更多

资源下载:产品操作手册

产品介绍


生物活性
产品描述
Anti-Noxa Antibody (1A221) is a Rabbit antibody targeting Noxa. Anti-Noxa Antibody (1A221) can be used in FCM,IHC,WB.
别名Protein Noxa, PMA-responsive gene, Pmaip1, PMA-induced protein 1, PMA induced protein 1, Phorbol-12-myristate-13-acetate-induced protein 1, Phorbol 12 myristate 13 acetate induced protein 1, NOXA, Immediate-early-response protein APR, Immediate early response protein APR, ATL-derived, APR_HUMAN, APR, Adult T cell leukemia derived PMA responsive
Ig Type
IgG
克隆号
1A221
反应种属
Human
验证活性
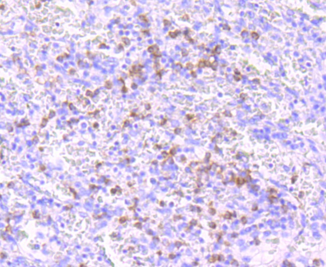
1. Immunohistochemical analysis of paraffin-embedded human spleen tissue using anti-Noxa antibody. Counter stained with hematoxylin.
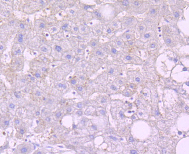
2. Immunohistochemical analysis of paraffin-embedded human liver tissue using anti-Noxa antibody. Counter stained with hematoxylin.
3. Flow cytometric analysis of Jurkat cells with Noxa antibody at 1/100 dilution (red) compared with an unlabelled control (cells without incubation with primary antibody; black).
verifiedActivityverifiedActivityverifiedActivity
应用FCMIHCWB
推荐剂量
WB: 1:500; IHC: 1:50-200; FCM: 1:50
抗体种类
Monoclonal
宿主来源Rabbit
构建方式Recombinant Antibody
纯化方式ProA affinity purified
性状Liquid
缓冲液1*TBS (pH7.4), 1%BSA, 40%Glycerol. Preservative: 0.05% Sodium Azide.
研究背景Members of the Bcl-2 family of proteins interact to regulate programmed cell death (apoptosis) under a broad range of physiological conditions. Bcl-2, Bcl-xL, and several related proteins inhibit apoptosis, whereas other members of the Bcl-2 family, such as Bax and Bak, enhance cell death. NOXA, a pro-apoptotic member of the Bcl-2 family, contains the Bcl-2 homology 3 (BH3) region, but does not contain other BH domains. Murine cells constitutively express NOXA mRNA in small amounts in various organs; X-ray irradiation increases NOXA mRNA and protein expression levels. In human cells, NOXA, alternatively designated PMA-induced protein 1 or APR, displays high expression in the adult T cell leukemia cell line IKD, where it may function as an immediate-early-response gene. The NOXA protein selectively localizes to mitochondria.
偶联与修饰
偶联
Unconjugated
抗原信息
免疫原
Recombinant Protein
Uniprot ID
化学信息
分子量Theoretical: 6 kDa.
储存&溶解度
储存方式Store at -20°C or -80°C for 12 months. Avoid repeated freeze-thaw cycles.
运输方式Shipping with blue ice.

计算器

  • 稀释 计算器
  • 配液 计算器
Related Tags: buy Anti-Noxa Antibody (1A221) | purchase Anti-Noxa Antibody (1A221) | Anti-Noxa Antibody (1A221) cost | order Anti-Noxa Antibody (1A221) | Anti-Noxa Antibody (1A221) molecular weight