购物车
  • 全部删除
  • TargetMol
    您的购物车当前为空

Anti-Notch 1 Antibody (6A911)

Rating icon 还可以
产品编号 TMAC-02876
别名 TAN1, notch 1, hN1, AOVD1, AOS5

Anti-Notch 1 Antibody (6A911) 是一种 Rabbit 抗体,靶向 Notch 1。Anti-Notch 1 Antibody (6A911) 可用于 FCM,ICC/IF,IHC,IP,WB。

Anti-Notch 1 Antibody (6A911)

Anti-Notch 1 Antibody (6A911)

一键复制产品信息
Rating icon 还可以
产品编号 TMAC-02876 别名 TAN1, notch 1, hN1, AOVD1, AOS5

Anti-Notch 1 Antibody (6A911) 是一种 Rabbit 抗体,靶向 Notch 1。Anti-Notch 1 Antibody (6A911) 可用于 FCM,ICC/IF,IHC,IP,WB。

规格价格库存数量
50 μL
¥ 1,495
5日内发货
100 μL
¥ 2,495
5日内发货
大包装 & 定制
加入购物车
TargetMol 的所有产品仅用作科学研究或药证申报,不能被用于人体,我们不向个人提供产品和服务。请您遵守承诺用途,不得违反法律法规规定用于任何其他用途。
实验操作小课堂
常见问题解答
查看更多
联系我们获取更多批次信息
资源下载

产品介绍

生物活性
产品描述
Anti-Notch 1 Antibody (6A911) is a Rabbit antibody targeting Notch 1. Anti-Notch 1 Antibody (6A911) can be used in FCM,ICC/IF,IHC,IP,WB.
别名TAN1, notch 1, hN1, AOVD1, AOS5
Ig Type
IgG
克隆号
6A911
交叉反应
Human,Mouse
验证活性
1. Western blot analysis of Notch 1 on HepG2 cell lysates using anti-Notch 1 antibody at 1/1,000 dilution.
2. Immunohistochemical analysis of paraffin-embedded human lung tissue using anti-Notch 1 antibody. Counter stained with hematoxylin.
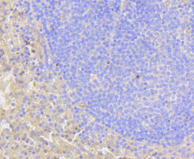
3. Immunohistochemical analysis of paraffin-embedded human spleen tissue using anti-Notch 1 antibody. Counter stained with hematoxylin.
4. Immunohistochemical analysis of paraffin-embedded mouse spleen tissue using anti-Notch 1 antibody. Counter stained with hematoxylin.
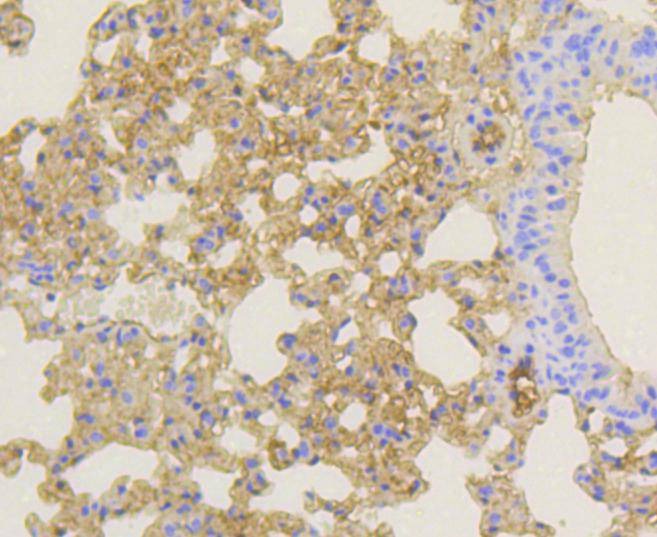
5. Immunohistochemical analysis of paraffin-embedded mouse lung tissue using anti-Notch 1 antibody. Counter stained with hematoxylin.
6. ICC staining Notch 1 in Hela cells (green). The nuclear counter stain is DAPI (blue). Cells were fixed in paraformaldehyde, permeabilised with 0.25% Triton X100/PBS.
7. ICC staining Notch 1 in HepG2 cells (green). The nuclear counter stain is DAPI (blue). Cells were fixed in paraformaldehyde, permeabilised with 0.25% Triton X100/PBS.
8. ICC staining Notch 1 in NIH/3T3 cells (green). The nuclear counter stain is DAPI (blue). Cells were fixed in paraformaldehyde, permeabilised with 0.25% Triton X100/PBS.
9. Flow cytometric analysis of Hela cells with Notch 1 antibody at 1/50 dilution (blue) compared with an unlabelled control (cells without incubation with primary antibody; red). Alexa Fluor 488-conjugated goat anti rabbit IgG was used as the secondary antibody.
verifiedActivityverifiedActivityverifiedActivityverifiedActivityverifiedActivityverifiedActivityverifiedActivityverifiedActivityverifiedActivity
应用FCMICC/IFIHCIPWB
推荐剂量
WB: 1:1000-2000; IHC: 1:50-200; ICC/IF: 1:50-200; FCM: 1:50-100
抗体种类
Monoclonal
宿主来源Rabbit
构建方式Recombinant Antibody
纯化方式ProA affinity purified
性状Liquid
缓冲液1*TBS (pH7.4), 1%BSA, 40%Glycerol. Preservative: 0.05% Sodium Azide.
研究背景The LIN-12/notch family of transmembrane receptors is believed to play a central role in development by regulating cell fate decisions. To date, four notch homologs have been identified in mammals and have been designated Notch 1, Notch 2, Notch 3 and Notch 4. The notch genes are expressed in a variety of tissues in both the embryonic and adult organism, suggesting that the genes are involved in multiple signaling pathways. The notch proteins have been found to be overexpressed or rearranged in human tumors. Ligands for notch include Jagged1, Jagged2 and Delta. Jagged can activate notch and prevent myoblast differentiation by inhibiting the expression of muscle regulatory and structural genes. Jagged2 is thought to be involved in the development of various tissues whose development is dependent upon epithelial-mesenchymal interactions. Normal Delta expression is restricted to the adrenal gland and placenta. Delta expression has also been found in neuroendocrine tumors such as neuroblastomas and pheochromocytomas.
偶联与修饰
偶联
Unconjugated
抗原信息
免疫原
Recombinant Protein
Uniprot ID
化学信息
分子量Theoretical: 125 kDa.
存储&运输
储存方式Store at -20°C or -80°C for 12 months. Avoid repeated freeze-thaw cycles.
运输方式Shipping with blue ice.

计算器

  • 稀释 计算器

关键词

评论列表

4个月前
5.0
Rating icon 很棒

评论内容

Related Tags: buy Anti-Notch 1 Antibody (6A911) | purchase Anti-Notch 1 Antibody (6A911) | Anti-Notch 1 Antibody (6A911) cost | order Anti-Notch 1 Antibody (6A911) | Anti-Notch 1 Antibody (6A911) molecular weight