购物车
  • TargetMol
    您的购物车当前为空

Anti-NKX2-1 Polyclonal Antibody

Synonyms: TTF-1, TTF1, TITF1, Thyroid-specific enhancer-binding protein, Thyroid transcription factor 1, Thyroid nuclear factor 1, T/EBP, NKX2A, Homeobox protein Nkx-2.1, Homeobox protein NK-2 homolog A
货号 TMAB-01242 一键复制产品信息
Rating icon 还可以

Anti-NKX2-1 Polyclonal Antibody 是一种 Rabbit 抗体,靶向 NKX2-1。Anti-NKX2-1 Polyclonal Antibody 可用于 FCM, ICC/IF, IF, IHC-Fr, IHC-P, WB。

Anti-NKX2-1 Polyclonal Antibody

一键复制产品信息
Rating icon 还可以
货号 TMAB-01242

别名 TTF-1, TTF1, TITF1, Thyroid-specific enhancer-binding protein, Thyroid transcription factor 1, Thyroid nuclear factor 1, T/EBP, NKX2A, Homeobox protein Nkx-2.1, Homeobox protein NK-2 homolog A

Anti-NKX2-1 Polyclonal Antibody 是一种 Rabbit 抗体,靶向 NKX2-1。Anti-NKX2-1 Polyclonal Antibody 可用于 FCM, ICC/IF, IF, IHC-Fr, IHC-P, WB。

Anti-NKX2-1 Polyclonal Antibody
规格价格库存数量
50 μL
¥ 1,170
5日内发货
100 μL
¥ 1,975
5日内发货
200 μL
¥ 2,780
5日内发货
库存状态实时更新,以官网显示为准,现货产品可直接加购物车下单
大包装 & 定制
加入购物车
TargetMol的所有产品仅用作科学研究或药证申报,不能被用于人体,我们不向个人提供产品和服务。请您遵守承诺用途,不得违反法律法规规定用于任何其他用途。
实验操作小课堂
常见问题解答
查看更多

资源下载:产品操作手册

产品介绍


生物活性
产品描述
Anti-NKX2-1 Polyclonal Antibody is a Rabbit antibody targeting NKX2-1. Anti-NKX2-1 Polyclonal Antibody can be used in FCM, ICC/IF, IF, IHC-Fr, IHC-P, WB.
别名TTF-1, TTF1, TITF1, Thyroid-specific enhancer-binding protein, Thyroid transcription factor 1, Thyroid nuclear factor 1, T/EBP, NKX2A, Homeobox protein Nkx-2.1, Homeobox protein NK-2 homolog A
Ig Type
IgG
反应种属
Human,Mouse,Rat
验证活性
1. 25 μg total protein per Lane of various lysates probed with TTF1/NKX2-1 polyclonal antibody, unconjugated (TMAB-01242) at 1:1000 dilution and 4°C overnight incubation. Followed by conjugated secondary antibody incubation at RT for 60 min.
2. Paraformaldehyde-fixed, paraffin embedded Human Lung cancer; Antigen retrieval by boiling in sodium citrate buffer (pH6.0) for 15 min; Antibody incubation with TTF1/NKX2-1 Polyclonal Antibody, Unconjugated (TMAB-01242) at 1:200 overnight at 4°C, followed by conjugation to the secondary antibody and DAB staining.
3. Paraformaldehyde-fixed, paraffin embedded Rat Thyroid Gland; Antigen retrieval by boiling in sodium citrate buffer (pH6.0) for 15 min; Antibody incubation with TTF1/NKX2-1 Polyclonal Antibody, Unconjugated (TMAB-01242) at 1:200 overnight at 4°C, followed by conjugation to the secondary antibody and DAB staining.
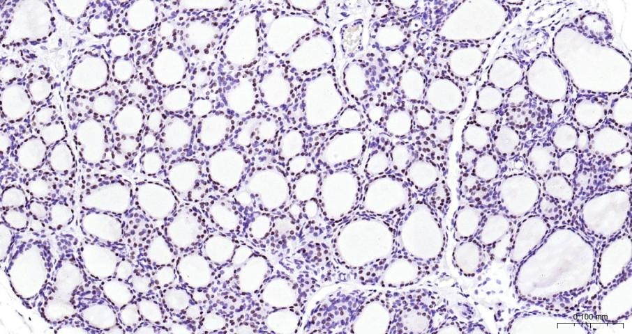
4. Paraformaldehyde-fixed, paraffin embedded Human Thyroid Gland; Antigen retrieval by boiling in sodium citrate buffer (pH6.0) for 15 min; Antibody incubation with TTF1/NKX2-1 Polyclonal Antibody, Unconjugated (TMAB-01242) at 1:200 overnight at 4°C, followed by conjugation to the secondary antibody and DAB staining.
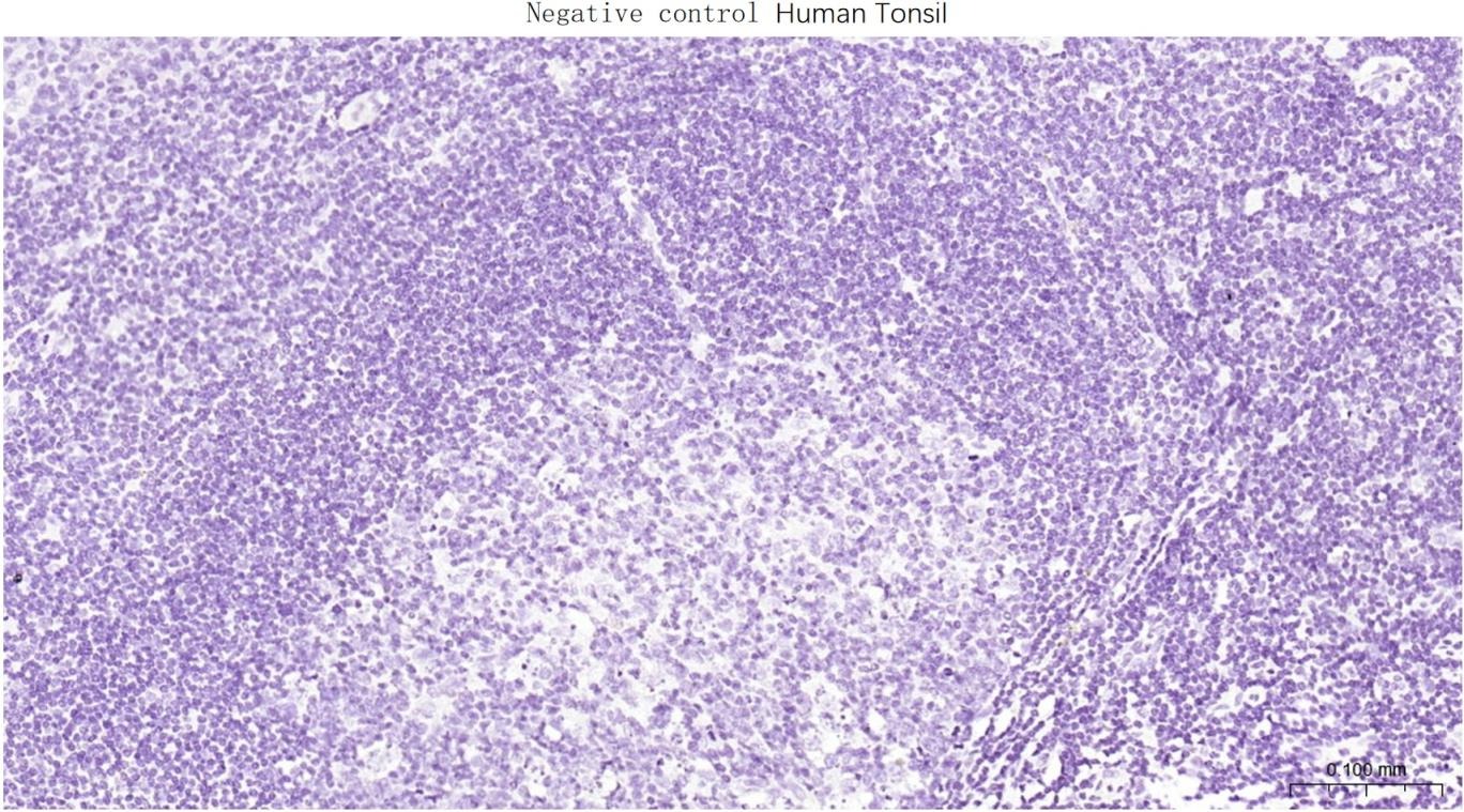
5. (Negative control) Paraformaldehyde-fixed, paraffin embedded Human Tonsil; Antigen retrieval by boiling in sodium citrate buffer (pH6.0) for 15 min; Antibody incubation with TTF1/NKX2-1 Polyclonal Antibody, Unconjugated (TMAB-01242) at 1:200 overnight at 4°C, followed by conjugation to the secondary antibody and DAB staining.
6. 4% Paraformaldehyde-fixed TT (H) cell; Triton X-100 at RT for 20 min; Antibody incubation with (TTF1/NKX2-1) polyclonal Antibody, unconjugated (TMAB-01242) 1:100, 90 min at 37°C; followed by conjugated Goat Anti-Rabbit IgG antibody (green ) at 37°C for 90 min, DAPI (blue) was used to stain the cell nucleus. PBS instead of the primary antibody was used as the blank control.
verifiedActivityverifiedActivityverifiedActivityverifiedActivityverifiedActivityverifiedActivity
应用FCMICC/IFIFIHC-FrIHC-PWB
推荐剂量
FCM=1 μg/Test; ICC/IF=1:50-200; IF=1:100-500; IHC-Fr=1:100-500; IHC-P=1:100-500; WB=1:500-2000
抗体种类
Polyclonal
宿主来源Rabbit
亚细胞定位Nucleus.
组织特异性Thyroid, lung and CNS. Expressed in restricted regions of the developing brain within the diencephalon, in parts of the hypothalamus and neurohypophysis, and in the telencephalon.
构建方式Polyclonal Antibody
纯化方式Protein A purified
性状Liquid
缓冲液0.01M TBS (pH7.4) with 1% BSA, 0.02% Proclin300 and 50% Glycerol.
浓度1 mg/mL
研究背景This gene encodes a protein initially identified as a thyroid-specific transcription factor. The encoded protein binds to the thyroglobulin promoter and regulates the expression of thyroid-specific genes but has also been shown to regulate the expression of genes involved in morphogenesis. Mutations and deletions in this gene are associated with benign hereditary chorea, choreoathetosis, congenital hypothyroidism, and neonatal respiratory distress, and may be associated with thyroid cancer. Multiple transcript variants encoding different isoforms have been found for this gene. This gene shares the symbol/alias 'TFF1' with another gene, transcription termination factor 1, which plays a role in ribosomal gene transcription. [provided by RefSeq, Apr 2011]
抗原信息
免疫原
KLH conjugated synthetic peptide: human TTF-1
抗原种属
Human
基因名称
NKX2-1
基因ID
蛋白名称
Homeobox protein Nkx-2.1
Uniprot ID
功能
Transcription factor that binds and activates the promoter of thyroid specific genes such as thyroglobulin, thyroperoxidase, and thyrotropin receptor. Crucial in the maintenance of the thyroid differentiation phenotype. May play a role in lung development and surfactant homeostasis.
化学信息
分子量Theoretical: 38 kDa. Actual: 40 kDa.
储存&溶解度
储存方式Store at -20°C or -80°C for 12 months. Avoid repeated freeze-thaw cycles.
运输方式Shipping with blue ice.

计算器

  • 稀释 计算器
  • 配液 计算器
Related Tags: buy Anti-NKX2-1 Polyclonal Antibody | purchase Anti-NKX2-1 Polyclonal Antibody | Anti-NKX2-1 Polyclonal Antibody cost | order Anti-NKX2-1 Polyclonal Antibody | Anti-NKX2-1 Polyclonal Antibody molecular weight