购物车
  • TargetMol
    您的购物车当前为空

Anti-Niemann Pick C1/NPC1 Antibody (1B891)

Synonyms: NPC, Niemann-Pick disease, type C1
货号 TMAC-02848 一键复制产品信息
Rating icon 还可以

Anti-Niemann Pick C1/NPC1 Antibody (1B891) 是一种 Rabbit 抗体,靶向 Niemann Pick C1/NPC1。Anti-Niemann Pick C1/NPC1 Antibody (1B891) 可用于 FCM,ICC,IF,IHC,WB。

Anti-Niemann Pick C1/NPC1 Antibody (1B891)

一键复制产品信息
Rating icon 还可以
货号 TMAC-02848

别名 NPC, Niemann-Pick disease, type C1

Anti-Niemann Pick C1/NPC1 Antibody (1B891) 是一种 Rabbit 抗体,靶向 Niemann Pick C1/NPC1。Anti-Niemann Pick C1/NPC1 Antibody (1B891) 可用于 FCM,ICC,IF,IHC,WB。

Anti-Niemann Pick C1/NPC1 Antibody (1B891)
规格价格库存数量
50 μL
¥ 1,480
5日内发货
100 μL
¥ 2,480
5日内发货
库存状态实时更新,以官网显示为准,现货产品可直接加购物车下单
大包装 & 定制
加入购物车

TargetMol的所有产品仅用作科学研究或药证申报,不能被用于人体,我们不向个人提供产品和服务。请您遵守承诺用途,不得违反法律法规规定用于任何其他用途。

实验操作小课堂
常见问题解答
查看更多

资源下载:产品操作手册

产品介绍


生物活性
产品描述
Anti-Niemann Pick C1/NPC1 Antibody (1B891) is a Rabbit antibody targeting Niemann Pick C1/NPC1. Anti-Niemann Pick C1/NPC1 Antibody (1B891) can be used in FCM,ICC,IF,IHC,WB.
别名
NPC, Niemann-Pick disease, type C1
Ig Type
IgG
克隆号
1B891
反应种属
Human,Mouse,Rat
验证活性
1. Western blot analysis of Niemann Pick C1 on SiHa cell lysate using anti-Niemann Pick C1 antibody at 1/500 dilution.
2. Immunohistochemical analysis of paraffin-embedded human kidney tissue using anti-Niemann Pick C1 antibody. Counter stained with hematoxylin.
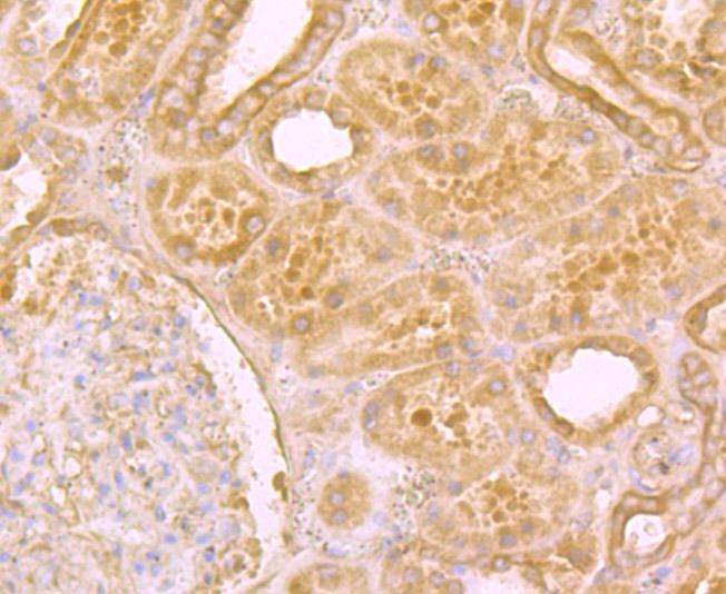
3. Immunohistochemical analysis of paraffin-embedded rat kidney tissue using anti-Niemann Pick C1 antibody. Counter stained with hematoxylin.
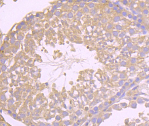
4. Immunohistochemical analysis of paraffin-embedded mouse testis tissue using anti-Niemann Pick C1 antibody. Counter stained with hematoxylin.
5. ICC staining Niemann Pick C1 in A549 cells (green). The nuclear counter stain is DAPI (blue). Cells were fixed in paraformaldehyde, permeabilised with 0.25% Triton X100/PBS.
6. ICC staining Niemann Pick C1 in HepG2 cells (green). The nuclear counter stain is DAPI (blue). Cells were fixed in paraformaldehyde, permeabilised with 0.25% Triton X100/PBS.
7. ICC staining Niemann Pick C1 in PC-3M cells (green). The nuclear counter stain is DAPI (blue). Cells were fixed in paraformaldehyde, permeabilised with 0.25% Triton X100/PBS.
8. Flow cytometric analysis of SH-SY-5Y cells with Niemann Pick C1 antibody at 1/100 dilution (red) compared with an unlabelled control (cells without incubation with primary antibody; black). Alexa Fluor 488-conjugated goat anti rabbit IgG was used as the secondary antibody.
verifiedActivityverifiedActivityverifiedActivityverifiedActivityverifiedActivityverifiedActivityverifiedActivityverifiedActivity
应用FCMICCIFIHCWB
推荐剂量
WB: 1:500-1000; IHC: 1:50-200; ICC:IF: 1:50-200; FCM: 1:50-100
抗体种类
Monoclonal
宿主来源Rabbit
构建方式Recombinant Antibody
纯化方式ProA affinity purified
性状Liquid
缓冲液1*TBS (pH7.4), 1%BSA, 40%Glycerol. Preservative: 0.05% Sodium Azide.
研究背景Cells obtain cholesterol via two distinct pathways, endogenous synthesis in the endoplasmic reticulum and exogenous uptake through the low-density lipoprotein (LDL) receptor pathway. NPC1 is a protein that resides in late endosomes and lysosomes and is involved in the intracellular trafficking of cholesterol. The human NPC1 gene maps to chromosome 18q11.2 and produces proteins which undergo N-glycosylation and are expressed in brain and liver. NPC1 contains a cysteine-rich domain, which is critical for proper protein function, but is highly mutated. Mutations in NPC1 result in Niemann-Pick disease type C (NPC), an autosomal recessive disease characterized by the accumulation of unesterified cholesterol in the endosomal/lysosomal system. The accumulation of cholesterol results in progressive neurodegeneration and death. More than 90% of cases of NPC are due to mutations in NPC1 and patients with NPC display multiple neurological symptoms, such as hepatosplenomegaly, ataxia, dystonia and dementia.
偶联与修饰
偶联
Unconjugated
抗原信息
免疫原
Recombinant Protein
Uniprot ID
化学信息
分子量Theoretical: 142 kDa.
储存&溶解度
储存方式Store at -20°C or -80°C for 12 months. Avoid repeated freeze-thaw cycles.
运输方式Shipping with blue ice.

计算器

  • 稀释 计算器
  • 配液 计算器
Related Tags: buy Anti-Niemann Pick C1/NPC1 Antibody (1B891) | purchase Anti-Niemann Pick C1/NPC1 Antibody (1B891) | Anti-Niemann Pick C1/NPC1 Antibody (1B891) cost | order Anti-Niemann Pick C1/NPC1 Antibody (1B891) | Anti-Niemann Pick C1/NPC1 Antibody (1B891) molecular weight