购物车
  • TargetMol
    您的购物车当前为空

Anti-Neuropeptide Y Polyclonal Antibody

Synonyms: PYY4, neuropeptide Y
货号 TMAB-01221 一键复制产品信息
Rating icon 还可以
202603开学季活动

Anti-Neuropeptide Y Polyclonal Antibody 是一种 Rabbit 抗体,靶向 Neuropeptide Y。Anti-Neuropeptide Y Polyclonal Antibody 可用于 IF, IHC-Fr, IHC-P。

Anti-Neuropeptide Y Polyclonal Antibody

一键复制产品信息
Rating icon 还可以
202603开学季活动
货号 TMAB-01221

别名 PYY4, neuropeptide Y

Anti-Neuropeptide Y Polyclonal Antibody 是一种 Rabbit 抗体,靶向 Neuropeptide Y。Anti-Neuropeptide Y Polyclonal Antibody 可用于 IF, IHC-Fr, IHC-P。

Anti-Neuropeptide Y Polyclonal Antibody
规格价格库存数量
50 μL
¥ 1,170
5日内发货
100 μL
¥ 1,975
5日内发货
200 μL
¥ 2,790
5日内发货
库存状态实时更新,以官网显示为准,现货产品可直接加购物车下单
大包装 & 定制
加入购物车

TargetMol的所有产品仅用作科学研究或药证申报,不能被用于人体,我们不向个人提供产品和服务。请您遵守承诺用途,不得违反法律法规规定用于任何其他用途。

实验操作小课堂
常见问题解答
查看更多

资源下载:产品操作手册

产品介绍


生物活性
产品描述
Anti-Neuropeptide Y Polyclonal Antibody is a Rabbit antibody targeting Neuropeptide Y. Anti-Neuropeptide Y Polyclonal Antibody can be used in IF, IHC-Fr, IHC-P.
别名
PYY4, neuropeptide Y
Ig Type
IgG
反应种属
Mouse,Rat (predicted:Human,Cow,Horse,Rabbit)
验证活性
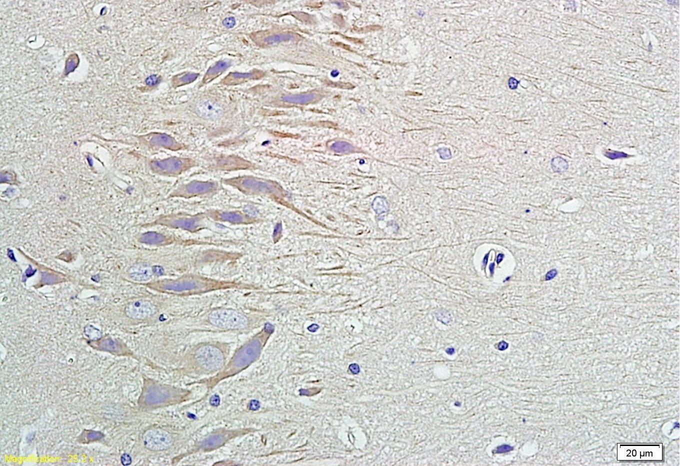
1. Tissue/cell: rat brain tissue; 4% Paraformaldehyde-fixed and paraffin-embedded; Antigen retrieval: citrate buffer (0.01M, pH6.0), Boiling bathing for 15 min; Block endogenous peroxidase by 3% Hydrogen peroxide for 30 min; Blocking buffer (normal goat serum) at 37°C for 20 min; Incubation: Anti-NPY/Neuropeptide Y Polyclonal Antibody, Unconjugated (TMAB-01221) 1:400, overnight at 4°C, followed by conjugation to the secondary antibody and DAb staining.
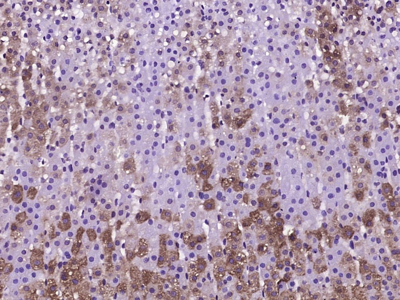
2. Paraformaldehyde-fixed, paraffin embedded (Rat adrenal gland); Antigen retrieval by boiling in sodium citrate buffer (pH6.0) for 15 min; Block endogenous peroxidase by 3% hydrogen peroxide for 20 min; Blocking buffer (normal goat serum) at 37°C for 30 min; Antibody incubation with (Neuropeptide Y) Polyclonal Antibody, Unconjugated (TMAB-01221) at 1:400 overnight at 4°C, followed by operating according to SP Kit (Rabbit) instructionsand DAB staining.
verifiedActivityverifiedActivity
应用IFIHC-FrIHC-P
推荐剂量
IHC-P: 1:100-500; IHC-Fr: 1:100-500; IF: 1:100-500
抗体种类
Polyclonal
宿主来源Rabbit
亚细胞定位Secreted.
组织特异性One of the most abundant peptides in the nervous system. Also found in some chromaffin cells of the adrenal medulla.
构建方式Polyclonal Antibody
纯化方式Protein A purified
性状Liquid
缓冲液0.01M TBS (pH7.4) with 1% BSA, 0.02% Proclin300 and 50% Glycerol.
浓度1 mg/mL
研究背景This gene encodes a neuropeptide that is widely expressed in the central nervous system and influences many physiological processes, including cortical excitability, stress response, food intake, circadian rhythms, and cardiovascular function. The neuropeptide functions through G protein-coupled receptors to inhibit adenylyl cyclase, activate mitogen-activated protein kinase (MAPK), regulate intracellular calcium levels, and activate potassium channels. A polymorphism in this gene resulting in a change of leucine 7 to proline in the signal peptide is associated with elevated cholesterol levels, higher alcohol consumption, and may be a risk factor for various metabolic and cardiovascular diseases. The protein also exhibits antimicrobial activity against bacteria and fungi. [provided by RefSeq, Oct 2014]
抗原信息
免疫原
KLH conjugated synthetic peptide: human NPY
抗原种属
Human
基因名称
NPY
基因ID
蛋白名称
Pro-neuropeptide Y
研究领域
Angiogenic Factors,Inotropics,Hypertrophy,Vasoconstriction,Metabolism,Hormones,More Neuropeptides
功能
NPY is implicated in the control of feeding and in secretion of gonadotrophin-release hormone.
化学信息
分子量Theoretical: 4/8 kDa.
储存&溶解度
储存方式Store at -20°C or -80°C for 12 months. Avoid repeated freeze-thaw cycles.
运输方式Shipping with blue ice.

计算器

  • 稀释 计算器
  • 配液 计算器

关键词

Related Tags: buy Anti-Neuropeptide Y Polyclonal Antibody | purchase Anti-Neuropeptide Y Polyclonal Antibody | Anti-Neuropeptide Y Polyclonal Antibody cost | order Anti-Neuropeptide Y Polyclonal Antibody | Anti-Neuropeptide Y Polyclonal Antibody molecular weight